Гемангиома – это детская доброкачественная опухоль, развивающаяся из клеток сосудистой ткани, и представляющая собой объемное новообразование, состоящее из множества мельчайших сосудов (капилляров). Ребенок либо рождается с гемангиомой (в 30% случаев), либо она развивается в первые недели жизни.
Наиболее интенсивный рост отмечается в первые полгода жизни ребенка, после чего процессы роста замедляются или вовсе прекращаются, и может начинаться процесс обратного развития. В более тяжелых случаях возможно продолжение роста гемангиомы в старшем возрасте, увеличение ее размеров и прорастание в близлежащие органы и ткани с последующим их разрушением. Это приводит как к серьезному косметическому дефекту, так и к нарушению функций различных органов и систем, что может иметь самые неблагоприятные последствия.
Гемангиома довольно распространена и встречается у каждого десятого новорожденного. В три раза чаще появляется у девочек, чем у мальчиков. Наиболее часто поражаются области лица, шеи и волосистой части головы (до 80% всех гемангиом кожи).
Интересные факты
- Количество гемангиом у ребенка может варьировать от одной – двух до нескольких сотен.
- Встречаются как небольшие гемангиомы (2 – 3 мм), так и огромные (до нескольких метров в диаметре).
- Гемангиомы у взрослых выявляются крайне редко и являются следствием неполного их излечения в детском возрасте.
- Небольшие гемангиомы могут самостоятельно исчезать к пятилетнему возрасту.
- Гемангиома характеризуется самым агрессивным ростом среди всех доброкачественных опухолей.
- Причины возникновения гемангиомы
- Образование сосудов плода
- Теории возникновения гемангиомы
- Механизм возникновения гемангиомы
- Развитие гемангиомы
- Виды гемангиом
- Как выглядят гемангиомы на коже?
- Диагностика гемангиомы
- Обследование у врача
- Инструментальные исследования
- Лабораторные исследования
- Консультации других специалистов
- Лечение гемангиом
- Физические методы удаления гемангиом
- Хирургический метод удаления гемангиом
- Медикаментозное лечение гемангиом
- Последствия гемангиомы
Причины возникновения гемангиомы
На сегодняшний день у науки нет однозначного мнения о причинах возникновения гемангиомы. Известно, что развитие данной опухоли связано с нарушением процесса образования сосудов в период внутриутробного развития плода.
Образование сосудов плода
В процессе роста плода в утробе матери первые кровеносные сосуды начинают образовываться в конце 3 недели развития эмбриона из особой эмбриональной ткани – мезенхимы. Данный процесс называется ангиогенез.
В зависимости от механизма развития сосудов различают:
- первичный ангиогенез;
- вторичный ангиогенез.
Первичный ангиогенез
Характеризуется образованием первичных капилляров (самых маленьких и тонких кровеносных сосудов) непосредственно из мезенхимы. Данный тип образования сосудов характерен только для раннего периода эмбрионального развития. Первичные капилляры не содержат крови и представляют собой один слой эндотелиальных клеток (во взрослом организме эндотелиальные клетки выстилают внутреннюю поверхность сосудов).
Вторичный ангиогенез
Характеризуется ростом новых сосудов из уже сформировавшихся. Этот процесс обусловлен генетически, а также контролируется местными регуляторными факторами.
Так, при развитии органа и увеличении его массы более глубокие отделы начинают испытывать недостаток в кислороде (гипоксию). Это запускает ряд определенных внутриклеточных процессов, результатом которых становится выделение особого вещества – фактора роста эндотелия сосудов (VEGF, Vascular endothelial growth factor).
Данный фактор, действуя на эндотелий уже сформировавшихся сосудов, активирует его рост и развитие, в результате чего начинают образовываться новые сосуды. Это приводит к увеличению доставляемого к тканям кислорода, что угнетает выработку VEGF. Таким образом контролируется ангиогенез на более поздних стадиях развития плода и после рождения ребенка.
Важно отметить, что ткани плода обладают выраженной способностью к восстановлению после различного рода травм и повреждений. В результате любой, даже самой незначительной травмы (сдавливания, разрыва мелкого сосуда и кровоизлияния) активируются процессы заживления, в том числе вторичный ангиогенез с возможным последующим развитием гемангиом.
Информация в статье носит справочный характер и не заменяет консультацию врача. Перед применением рекомендаций обратитесь к специалисту.
Теории возникновения гемангиомы
На сегодняшний день существует более десятка теорий, пытающихся объяснить механизмы появления и развития гемангиом, однако ни одна из них не способна самостоятельно охватить все аспекты данного заболевания.
Наиболее правдоподобными и научно обоснованными считаются:
- теория заблудших клеток;
- фиссуральная (щелевая) теория;
- плацентарная теория.
Теория заблудших клеток
Наиболее современная и научно обоснованная теория, согласно которой гемангиома возникает в результате нарушения развития капилляров из мезенхимы. В процессе эмбриогенеза в органах образуются скопления незрелых кровеносных сосудов (капилляров), которые потом превращаются в вены и артерии. По окончании формирования органа в нем может оставаться некоторое количество неиспользованной незрелой сосудистой ткани, исчезающей с течением времени.
Под влиянием определенных факторов данный процесс нарушается, в результате чего инволюции капилляров не наблюдается, а, наоборот, отмечается активация их роста. Этим можно объяснить рождение детей с гемангиомой, либо ее появление в первые недели жизни ребенка. Также становится понятной возможность образования данной опухоли практически в любой ткани организма.
Фиссуральная теория
На начальных стадиях развития эмбриона в области черепа различаются так называемые эмбриональные щели – места будущего расположения органов чувств (глаза, уха, носа) и ротового отверстия. На 7 неделе в эти щели прорастают кровеносные сосуды и нервы, принимающие участие в формировании органов.
Согласно фиссуральной теории, гемангиома возникает у плода в результате нарушения развития сосудистых зачатков в указанных областях. Этим объясняется более частое расположение данных новообразований в области естественных отверстий лица (вокруг рта, глаз, носа, ушей), однако остается необъясненным механизм развития гемангиом на других участках кожи (на туловище и конечностях) и во внутренних органах.
Плацентарная теория
Предполагается, что клетки эндотелия плаценты попадают в кровоток плода и задерживаются в его органах и тканях. В период внутриутробного развития материнские факторы угнетения ангиогенеза не позволяют сосудистой ткани активно разрастаться, однако поле рождения их действие прекращается и начинается интенсивный рост гемангиомы.
Механизм возникновения гемангиомы
Несмотря на разнообразность теорий, общим для них является наличие незрелой эмбриональной сосудистой ткани в коже и в других органах, где в норме ее быть не должно. Однако для развития гемангиомы этого недостаточно. Основным фактором, запускающим процесс роста капилляров и образование опухоли, является тканевая гипоксия (недостаток кислорода).
Следовательно, различные патологические состояния, приводящие к нарушению доставки кислорода к плоду или новорожденному ребенку, потенциально являются факторами риска возникновения гемангиомы. Эти данные были подтверждены множеством научных исследований.
Появлению гемангиомы может способствовать:
- Многоплодная беременность. При развитии в матке двух и более плодов вероятность рождения детей с гемангиомой повышена.
- Фетоплацентарная недостаточность. Характеризуется недостаточной доставкой кислорода (и других веществ) к плоду из-за нарушения структуры или функции плаценты.
- Травма во время родов. При прохождении ребенка через родовые пути ткани головки довольно сильно сжимаются, что нарушает нормальную циркуляцию крови в них. Длительные (или, наоборот, слишком быстрые) роды, узкие родовые пути или большой размер плода могут спровоцировать развитие местной гипоксии с последующим образованием гемангиомы в области волосистой части головы и лица.
- Эклампсия. Данное состояние развивается во время беременности или родов и характеризуется выраженным подъемом артериального давления матери с возможной потерей сознания и судорогами, в результате чего нарушается доставка кислорода через плаценту к плоду.
- Курение во время беременности. При курении часть легких заполняется табачным дымом, в результате чего количество поступающего в организм кислорода уменьшается. Если материнский организм в состоянии относительно легко переносить такое состояние, то в организме плода гипоксия может вызвать усиленный рост капиллярной ткани и развитие гемангиомы.
- Интоксикация. Воздействие различных профессиональных вредностей, а также злоупотребление алкоголем во время беременности повышает риск рождения ребенка с гемангиомой.
- Возраст матери. Научно доказано, что роды после 40 лет сопряжены с повышенным риском наличия у плода различных аномалий развития, в том числе сосудистых новообразований.
- Недоношенность. Начиная с 20 – 24 неделей беременности в легких плода вырабатывается сурфактант – особое вещество, без которого невозможно легочное дыхание. Достаточное его количество накапливается только к 36 неделе беременности, поэтому процессы дыхания у недоношенных детей нарушены, что приводит к тканевой гипоксии.
Развитие гемангиомы
Отличительной особенностью данных новообразований является четкая стадийность их течения.
В процессе развития гемангиомы различают:
- Период интенсивного роста. Характерен для первых недель или месяцев после возникновения гемангиомы и, как правило, прекращается к концу первого года жизни (возможны исключения). Внешне опухоль ярко-красного цвета, постоянно увеличивается в диаметре, а также в высоту и вглубь. Скорость роста варьирует в различных пределах — от незначительной до весьма выраженной (по несколько миллиметров в день). Данный период наиболее опасен с точки зрения развития осложнений (изъязвления опухоли, прорастания в соседние органы и их разрушения).
- Период остановки роста. В большинстве случаев к концу первого года жизни рост сосудистого новообразования прекращается, и до 5 – 6 лет оно увеличивается незначительно, соответствуя росту ребенка.
- Период обратного развития. Примерно в 2% случаев отмечается полное самопроизвольное исчезновение гемангиомы. Через некоторое время после остановки роста (через месяцы или годы) поверхность опухоли становится менее яркой, может изъязвляться. Постепенно исчезает капиллярная сеть, которая замещается либо нормальной кожей (при небольших, поверхностно расположенных гемангиомах), либо рубцовой тканью (в случае объемных образований, прорастающих в глубокие слои кожи и в подкожные ткани).
Виды гемангиом
В зависимости от характера роста, строения и расположения гемангиомы выбирается метод ее лечения, поэтому при установлении диагноза необходимо также определить вид опухоли.
В зависимости от строения различают:
- Капиллярные (простые) гемангиомы. Встречаются в 96% случаев и представляют собой густую капиллярную сеть ярко-красного или темно-малинового цвета, возвышающуюся над поверхностью и прорастающую в глубокие слои кожи. Данная форма считается начальной стадией развития заболевания и характеризуется интенсивным образованием новых капилляров, склонных к прорастанию в окружающие ткани разрушению последних.
- Кавернозные гемангиомы. Являются результатом дальнейшего развития капиллярных гемангиом. В процессе роста и увеличения размеров, в результате переполнения капилляров кровью, происходит расширение и разрыв некоторых из них с последующим кровоизлиянием в ткань гемангиомы. Следствием этого процесса является образование небольших, заполненных кровью полостей (каверн), внутренняя поверхность которых выстлана эндотелиальной тканью.
- Комбинированные гемангиомы. Комбинированную гемангиому относят к переходной стадии от капиллярной к кавернозной форме. Она представляет собой опухоль, в которой отмечается чередование незрелой капиллярной ткани с полостями, заполненными кровью (кавернами). Увеличение размеров опухоли происходит, главным образом, за счет образования новых капилляров, которые впоследствии также подвергаются трансформации в каверны, вплоть до полного замещения гемангиомы.
В зависимости от локализации различают:
- Гемангиомы кожи. Встречаются в 90% случаев. Могут быть единичными или множественными, капиллярного или кавернозного типа.
- Гемангиомы внутренних органов. Почти всегда сопровождают множественные гемангиомы кожных покровов. Могут различаться в зависимости от строения и формы. Наиболее частым и опасным считается поражение печени, позвоночника, костей и мышц.
Как выглядят гемангиомы на коже?
Гемангиомы могут поражать любой участок кожных покровов, однако наиболее часто наблюдаются в области лица, шеи и волосистой части головы. Их внешний вид различается в зависимости от структуры.
Диагностика гемангиомы
Несмотря на то, что гемангиома относится к доброкачественным опухолям, ее интенсивный рост может сопровождаться серьезным косметическим дефектом (при расположении в области лица, головы, шеи). Кроме того, при расположении во внутренних органах, данное новообразование может приводить к их разрушению, представляя опасность для здоровья и даже жизни человека.
Диагностикой и лечением гемангиом занимается детский хирург, который, при необходимости, может привлечь других специалистов.
Процесс диагностики включает:
- обследование у врача;
- инструментальные исследования;
- лабораторные исследования;
- консультации других специалистов.
Обследование у врача
Если при рождении или в первые недели жизни на коже ребенка обнаружено красное пятнышко, быстро увеличивающееся в размерах, необходимо как можно скорее обратиться к врачу, так как гемангиомы часто характеризуются очень быстрым, разрушающим ростом.
Какие вопросы задаст хирург?
- Когда появилось образование?
- Изменяются ли размеры опухоли (насколько и за какой промежуток времени)?
- Применялось ли какое-либо лечение и было ли оно эффективно?
- Имелись ли гемангиомы у родителей ребенка, бабушек или дедушек, и если да – каково было их течение?
Какое обследование проведет врач при первом обращении?
- Внимательно осмотрит новообразования и прилежащие области.
- Детально изучит структуру опухоли под увеличительным стеклом.
- Определит консистенцию образования, характер изменений при надавливании.
- Произведет изменение размеров опухоли (для определения интенсивности роста при последующих визитах).
- Внимательно осмотрит все кожные покровы ребенка с целью выявления необнаруженных ранее гемангиом.
Инструментальные исследования
Обычно трудностей в диагностике гемангиомы не возникает, и диагноз ставится на основании опроса и внимательного обследования. Инструментальные методы диагностики используются для выявления поражений внутренних органов, а также при планировании хирургического удаления опухоли.
В инструментальной диагностике гемангиом применяются:
- термометрия;
- термография;
- ультразвуковое исследование;
- компьютерная томография;
- магнитно-резонансная томография;
- ангиография;
- биопсия.
Термометрия
Метод исследования, позволяющий измерять и сравнивать температуру определенных участков кожных покровов. С этой целью применяется специальный прибор – термопара, представляющий собой два электрода, соединенные с электрическим датчиком. Один из электродов устанавливается на поверхности опухоли, второй – на симметричном, но непораженном участке кожи. Датчик позволяет установить разницу в температуре с точностью до 0,01ºС.
Гемангиома, представляя собой густую сеть капилляров, кровоснабжается лучше, чем нормальные кожные покровы, следовательно, и температура в области данной опухоли будет немного выше. Повышение температуры на 0,5 – 1ºС в сравнении с непораженной кожей свидетельствует об активном росте опухоли.
Термография
Безопасный, быстрый и недорогой метод исследования, позволяющий определить участки кожных покровов с повышенной температурой. Принцип метода основан на тех же явлениях, что и термометрия.
Пациент усаживается перед специальной инфракрасной камерой, которая в течение определенного времени регистрирует тепловые излучения с поверхности кожных покровов. После цифровой обработки полученной информации на мониторе появляется тепловая карта исследуемой области, на которой более теплые очаги отображаются красным цветом, а относительно холодные – синим.
В отличие от термометрии, позволяющей определить температуру только на поверхности опухоли, термография дает более точную информацию о распространении гемангиомы и позволяет более четко определить ее границы, часто находящиеся в глубине мягких тканей.
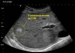
Ультразвуковое исследование (УЗИ)
Ультразвуковое исследование – безопасный, не имеющий противопоказаний метод, позволяющий определить наличие объемных образований во внутренних органах, а также выявить наличие каверн в кожных и подкожных гемангиомах. Современные аппараты для УЗИ довольно компактны и просты в применении, что позволяет провести диагностическую процедуру прямо в кабинете врача.
Метод основан на принципе эхогенности – способности различных тканей организма отражать звуковые волны, при этом степень отражения будет различной в зависимости от плотности и состава ткани. Отражаемые волны регистрируются специальными датчиками, и после компьютерной обработки на мониторе формируется изображение исследуемого органа, отражающее плотность и состав различных его структур.
Показаниями к проведению УЗИ являются:
- определение структуры гемангиомы (кавернозная или капиллярная);
- определение глубины расположения гемангиомы;
- подозрение на гемангиомы внутренних органов (печени, почки, селезенки и другой локализации).
- уточнение размеров опухоли при планировании хирургической операции.
При помощи УЗИ может быть выявлен:
- Капиллярный компонент гемангиомы. Представляет собой мелкие участки средней или повышенной эхогенности (густая сеть капилляров в большей степени, чем окружающие ткани, отражает звуковые волны), с неоднородной структурой и нечеткими контурами.
- Кавернозный компонент. Каверна представляет собой полость, заполненную кровью. Плотность крови, а, следовательно, и ее способность отражать звуковые волны, меньше, чем у густой капиллярной сети, поэтому на УЗИ каверны определяются как участки пониженной эхогенности (на фоне гиперэхогенной капиллярной сети), округлой или овальной формы, размерами от 0,1 до 8 – 10 миллиметров.
На основании данных УЗИ можно предположить наличие гемангиомы во внутреннем органе, однако для установки окончательного диагноза требуются дополнительные исследования.
Компьютерная томография (КТ)
Современный высокоточный метод, позволяющий выявить опухоли внутренних органов размерами от нескольких миллиметров.
Суть метода заключается в способности тканей поглощать рентгеновские лучи, проходящие через них. Для проведения исследования пациент ложится на специальный выдвижной стол компьютерного томографа и помещается внутрь аппарата. Вокруг него начинает вращаться специальный прибор, излучающий рентгеновские лучи, которые при прохождении через ткани организма частично ими поглощаются. Степень поглощения зависит от типа ткани (максимальная способность поглощать рентгеновские лучи отмечается у костной ткани, в то время как через воздушные пространства и полости они проходят практически полностью).
Прошедшие через организм лучи регистрируются специальным прибором, и после компьютерной обработки на мониторе появляется детальное и четкое изображение всех органов и тканей исследуемой области.
Необходимо помнить, что проведение компьютерной томографии сочетается с получением определенной дозы радиации, в связи с чем назначение данного исследования должно быть строго обоснованным.
Показаниями к проведению КТ являются:
- подозрение на гемангиому печени и других органов;
- неточные данные на УЗИ;
- планирование хирургического удаления гемангиомы (с целью уточнения размеров опухоли и вовлеченности соседних органов).
С помощью КТ можно определить:
- Гемангиому печени (и других внутренних органов). Представляет собой образование пониженной плотности, округлой или овальной формы с неровными краями и неоднородной структурой.
- Гемангиому костей. Так как костная ткань максимально поглощает рентгеновские лучи, ее нормальное изображение при КТ будет наиболее плотным (белого цвета). При прорастании гемангиомы происходит разрушение костной ткани и ее замещение капиллярной сетью, в результате чего плотность костей снижается, в их проекции отмечаются более темные участки, соответствующие распространенности опухоли. Могут регистрироваться переломы, возникающие в результате разрушения костной ткани.
Противопоказаниями к проведению КТ являются:
- ранний детский возраст (в связи с высокой лучевой нагрузкой);
- клаустрофобия (боязнь ограниченных пространств);
- наличие опухолевых заболеваний (возможно негативное влияние КТ на их течение);
- наличие металлических конструкций (протезов, имплантатов) в области исследования.
Магнитно-резонансная томография позвоночника (МРТ)
Современный высокоточный диагностический метод, позволяющий детально исследовать строение позвоночника и спинного мозга. Выполнение МРТ абсолютно безопасно и безвредно, единственным противопоказанием является наличие металлических деталей в теле человека (имплантатов, протезов).
Принцип выполнения магнитно-резонансной томографии такой же, как при КТ, только вместо рентгеновских лучей используется явление ядерного резонанса, которое проявляется при помещении тела человека в сильное электромагнитное поле. В результате ядра атомов высвобождают определенный вид энергии, который регистрируется специальными датчиками, и после цифровой обработки представляется на мониторе в виде изображения внутренних структур организма.
Основными преимуществами МРТ перед КТ являются отсутствие облучения и более четкое изображение мягких тканей организма (нервов, мышц, связок, кровеносных сосудов).
Показаниями к проведению МРТ позвоночника являются:
- Подозрение на сдавливание спинного мозга опухолью. Такие подозрения могут быть вызваны наличием множественных гемангиом на коже в сочетании с постепенно развивающимися клиническими симптомами повреждения спинного мозга (нарушением чувствительности и двигательных функций рук, ног и других частей тела).
- Планирование операции по удалению опухоли.
- Неточные данные при других методах исследования.
МРТ позвоночника позволяет выявить:
- Прорастание гемангиомы в тела позвонков. При этом их костная структура нарушена, частично или полностью замещена капиллярной тканью.
- Степень сдавливания спинного мозга опухолью. Определяется сосудистое образование, выступающее в просвет спинномозгового канала и сдавливающее спинной мозг, либо прорастающее в него (в таком случае ткань спинного мозга на уровне поражения не определяется).
- Степень прорастания опухоли в связочный аппарат позвоночника.
Ангиография
Данный метод позволяет наиболее точно определить структуру и размеры гемангиомы, оценить вовлеченность соседних органов и тканей.
Суть метода заключается во введении специального контрастного вещества в вену или в артерию, из которой кровоснабжается опухоль. Данная процедура проводится под контролем КТ или МРТ, что позволяют оценить скорость и интенсивность распространения контрастного вещества в капиллярной сети гемангиомы.
Ангиография является довольно опасным методом диагностики, поэтому назначают его только в крайних случаях, когда необходимо максимально точно определить размеры опухоли (при планировании хирургических операций в области лица, головы, шей).
Абсолютными противопоказаниями для ангиографии являются:
- аллергия на контрастное вещество;
- почечная недостаточность и/или печеночная недостаточность.
Биопсия
Данное исследование включает прижизненный забор тканей организма с целью последующего исследования под микроскопом их строения и клеточного состава.
Выполнение биопсии сопряжено с определенными рисками, наиболее опасным из которых является кровотечение. Кроме того, подтвердить диагноз можно и без данного исследования, поэтому единственным обоснованным показанием для проведения биопсии является подозрение на злокачественное перерождение гемангиомы.
Ранними признаками озлокачествления гемангиомы могут быть:
- Изменение поверхности опухоли – нарушение привычной структуры, интенсивный рост в высоту и вглубь, изъязвление или шелушение.
- Изменение консистенции – структура становится неоднородной, появляются более плотные участки.
- Изменение окраски — появляются более темные зоны коричневого или черного цвета.
- Изменение близлежащих участков кожи — появляются признаки воспаления (покраснение, отечность, болезненность, местное повышение температуры).
В зависимости от техники взятия материала различают:
- Инцизионную биопсию. Наиболее часто применяется для взятия образцов гемангиомы кожи. В стерильных условиях после обработки опухоли и окружающих тканей этиловым спиртом производится местное обезболивание участка, из которого планируется производить забор материала. Скальпелем иссекается определенный участок кожных покровов, который обязательно должен включать ткань опухоли и прилежащую к ней неповрежденную кожу.
- Пункционную биопсию. Чаще применяется для забора материала из внутренних органов (печени, селезенки, мышц и костей). Под контролем УЗИ специальная полая игра с острыми краями вводится непосредственно в ткань опухоли, при этом в иглу попадают как периферические, так и центральные отделы новообразования.
Гистологическое исследование
Материал, полученный при биопсии (биоптат), помещается в стерильную пробирку и отправляется в лабораторию, где после специально обработки и окраски производится микроскопическое исследование структуры и клеточного состава опухоли, а также производится сравнение с неповрежденными участками кожи.
Все гемангиомы, удаленные хирургическим путем, также должны быть направлены на гистологическое исследование в обязательном порядке.
Лабораторные исследования
Лабораторные методы исследования малоинформативны в процессе диагностики гемангиом и чаще используются для выявления осложнений заболевания, а также для контроля состояния пациента в процессе лечения.
Наиболее информативным является общий анализ крови (ОАК), хотя его изменения неспецифичны и могут встречаться при других заболеваниях.
Забор крови производится утром натощак. После предварительной обработки спиртом кожа безымянного пальца прокалывается специальной иглой на глубину 2 – 4 мм, после чего в пипетку набирается несколько миллилитров крови.
Характерными изменениями ОАК являются:
- Тромбоцитопения. Состояние, характеризующееся уменьшением количества тромбоцитов в крови из-за усиленного их разрушения в ткани гемангиомы, что клинически проявляется повышенной кровоточивостью кожи и слизистых оболочек.
- Анемия. Уменьшение количества гемоглобина и эритроцитов в крови. Анемия является следствием кровоточивости и кровоизлияний, обусловленных тромбоцитопенией.
Консультации других специалистов
Для помощи в установлении диагноза, а также при возникновении различных осложнений гемангиомы, детскому хирургу может понадобиться консультация специалистов из других областей медицины.
В процесс диагностики могут быть вовлечены:
- Онколог – при подозрении на злокачественное перерождение опухоли.
- Дерматолог – при изъязвлении гемангиом либо при наличии сопутствующих поражений кожи.
- Инфекционист – при развитии инфекционного процесса в области гемангиомы.
- Гематолог – при развитии осложнений со стороны системы крови (выраженной тромбоцитопении и/или анемии).
Лечение гемангиом
Раньше в отношении гемангиом у детей рекомендовалась выжидательная тактика, однако данные последних исследований говорят об обратном — чем раньше начинается лечение заболевания, тем меньше осложнений и остаточных явлений может развиться.
Данное утверждение обусловлено непредсказуемым и часто стремительным ростом опухоли, которая в относительно короткие сроки может увеличиваться в несколько раз и прорастать в соседние органы и ткани. В пользу скорейшего начала лечения также свидетельствуют данные статистических исследований, согласно которым всего 2% гемангиом кожи подвергаются полному самостоятельному обратному развитию, а более чем в 50% случаев остаются видимые косметические дефекты на коже (рубцы).
В лечении гемангиомы применяют:
- физические методы удаления;
- хирургический метод удаления;
- медикаментозную терапию.
Физические методы удаления гемангиом
В данную группу входят методы физического воздействия на ткань гемангиомы, в результате чего происходит ее разрушение и последующее удаление.
К физическим методам относятся:
- криодеструкция;
- лазерное облучение;
- склерозирующая терапия;
- электрокоагуляция;
- близкофокусная рентгенотерапия.
Криодеструкция
Применяется для удаления поверхностных или неглубоко расположенных гемангиом кожи, размеры которых не превышают 2 см в диаметре. Суть метода заключается в воздействии на опухоль жидким азотом, температура которого составляет -196ºС. При этом происходит замораживание ткани опухоли, ее гибель и отторжение с последующим замещением нормальной тканью. Удаление опухолей больших размеров может привести к образованию обширных рубцов, представляющих серьезный косметический дефект.
Основными преимуществами данного метода являются:
- высокоточное разрушение ткани опухоли;
- минимальное повреждение здоровых тканей;
- относительная безболезненность;
- минимальный риск кровотечения;
- быстрое восстановление после процедуры.
Сама процедура криодеструкции безопасна, почти безболезненна и может быть выполнена в кабинете врача. Пациент усаживается в кресло, после чего на область гемангиомы накладывается специальная формочка, полностью окружающая границы опухоли. В данную формочку заливается жидкий азот, при этом первые несколько секунд пациент может испытывать небольшое жжение.
Вся процедура занимает несколько минут, после чего область гемангиомы обрабатывается раствором марганцовки, и пациент может идти домой. Обычно требуется 2 – 3 сеанса криотерапии с перерывами в 3 – 5 дней. После окончания лечения область, где раньше была гемангиома, необходимо обрабатывать зеленкой в течение 7 – 10 дней, пока не образуется плотная корочка. Полное заживление происходит в течение месяца.
Лазерное облучение
Современный метод удаления поверхностных и более глубоких гемангиом кожи с диаметром до 2 см с помощью лазера.
Основными эффектами лазерного излучения являются:
- термическое разрушение облученных тканей (обугливание и испарение);
- свертывание крови в сосудах, подвергшихся воздействия лазера (препятствует кровотечению);
- стимуляция процесса восстановления нормальной ткани;
- предупреждение формирования рубцов.
Техника выполнения процедуры довольно проста, но, в то же время, должна выполняться опытным специалистом, так как сопряжена с определенными рисками (возможным повреждением здоровых тканей). После местного обезболивания на область гемангиомы в течение нескольких минут воздействуют лазерным лучом, диаметр которого подбирается в зависимости от размеров опухоли (луч не должен попадать на неповрежденную кожу).
В месте воздействия образуется плотная корка, которая самостоятельно отторгается через 2 – 3 недели. Под ней может формироваться небольшой рубец (при больших размерах удаленной гемангиомы).
Склерозирующая терапия
Данный метод может использоваться для удаления более крупных гемангиом, расположенных на коже или во внутренних органах. Принцип метода основан на прижигающей и свертывающей способности некоторых химических веществ, которые вводятся в ткани гемангиомы, вызывая разрушение сосудов и каверн с последующим замещением их рубцовой тканью.
В настоящее время с целью склерозирования гемангиом используют 70% спирт. Процедура должна выполняться опытным хирургом в стерильных условиях. Участок кожи вокруг гемангиомы обкалывается раствором новокаина (с целью обезболивания), после чего в ткань опухоли шприцем вводится от 1 до 10 мл спирта (в зависимости от размеров новообразования).
Через 2 – 3 часа в месте инъекции появляется воспаление и отек тканей, а через 2 – 3 дня область гемангиомы уплотняется и становится болезненной. Процедура повторяется несколько раз с перерывом в 7 – 10 дней. Полное исчезновение гемангиомы отмечается в период от 3 месяцев до 2 лет с момента окончания лечения.
Электрокоагуляция
Метод разрушения ткани опухоли посредством воздействия высокочастотного импульсного электрического тока. При воздействии тока на живые ткани происходит быстрое повышение их температуры до нескольких сотен градусов с последующим разрушением, обугливанием и отторжением омертвевших масс.
Основным преимуществом данного метода является минимальный риск кровотечений, так как высокие температуры приводят к свертыванию крови в питающих гемангиому сосудах и склерозированию (рубцеванию) их просвета.
С помощью электроножа можно удалять поверхностные и внутрикожные гемангиомы, а также электрокоагуляция может быть использована как вспомогательный метод при хирургическом удалении опухоли.
Близкофокусная рентгенотерапия
Заключается в местном воздействии рентгеновскими лучами на ткань гемангиомы, что приводит к разрушению капилляров опухоли. Рентгенотерапия редко применяется как самостоятельный метод лечения гемангиомы и чаще используется в предоперационном периоде с целью уменьшения размеров новообразования, что позволит сократить объем операции.
Воздействие рентгеновского излучения на организм, особенно детский, связано с рядом побочных явлений, самым опасным из которых является возможность развития злокачественного новообразования. В связи с этим близкофокусная рентгенография применяется в исключительно редких случаях при неэффективности других методов лечения.
Хирургический метод удаления гемангиом
Как самостоятельный метод лечения применяется при небольших поверхностных образованиях кожи, расположенных в областях тела, где послеоперационный рубец менее значим в косметическом плане (у мужчин в области спины, ног).
Во время операции, под общим наркозом производится удаление всей опухоли и 1 – 2 мм окружающей здоровой кожи. При расположении гемангиомы в более глубоких тканях и во внутренних органах объем операции определяется размерами опухоли и степенью прорастания в пораженный орган.
Довольно часто в предоперационном периоде применяются консервативные методы лечения (медикаментозная терапия, лучевая терапия), в результате которых происходит уменьшение размеров опухоли, что позволяет сократить объем операции и в меньшей степени травмировать близлежащие органы (мышцы, кости).
Медикаментозное лечение гемангиом
До недавнего времени медикаментозная терапия практически не применялась в лечении гемангиом. Однако научные исследования последних лет установили, что некоторые препараты оказывают благоприятный эффект на течение заболевания, замедляя процессы роста и уменьшая размеры опухоли.
Тем не менее, полное исчезновение гемангиомы в результате только лекарственной терапии наблюдается лишь в 1 – 2 % случаев, поэтому данный метод лечения чаще применяется как подготовительный этап перед хирургическим или физическим удалением опухоли.
| Название медикамента | Механизм действия | Способ применения и дозы |
| Пропранолол | Препарат блокирует определенные сосудистые рецепторы (B2-адренорецепторы), что оказывает влияние на гемангиому. Действие пропранолола обусловлено:
|
Принимается внутрь. Начальная доза – 1 мг на килограмм массы тела в сутки, разделенная на два приема (утром и вечером). При отсутствии эффекта (проявляющегося в замедлении роста гемангиомы и уменьшении ее размеров) доза может быть увеличена до 3 мг/кг/в сутки. Курс лечения – от 6 месяцев. Во время лечения необходимо еженедельно контролировать показатели работы сердечно-сосудистой системы (измерять артериальное давление, частоту сердечных сокращений, проводить электрокардиограмму). |
| Преднизолон | Стероидный гормональный препарат, действие которого обусловлено активацией образования рубцовой ткани в области гемангиомы. В результате происходит сжатие капилляров, кровоток по ним прекращается, они запустевают и разрушаются, замещаясь рубцовой тканью. Эффектами преднизолона являются:
|
Принимается внутрь, после еды, запивая стаканом воды.
Отмену препарата нужно производить медленно, постепенно уменьшая дозу, чтобы избежать побочных реакций и рецидива (повторного проявления) гемангиомы. |
| Винкристин | Противоопухолевый препарат, действие которого обусловлено блокированием процессов деления клеток, в результате чего замедляется и прекращается рост гемангиомы. Препарат обладает массой побочных эффектов, в связи с чем назначается только при неэффективности других медикаментов. | Вводится внутривенно, 1 раз в неделю, в дозе 0,05 – 1 мг на квадратный метр поверхности тела. В процессе лечения необходимо регулярно контролировать состав периферической крови (проводить общий анализ крови не реже чем 2 раза в месяц). |
Последствия гемангиомы
При неправильном и несвоевременно начатом лечении гемангиомы может развиваться ряд осложнений, представляющих угрозу для здоровья и жизни человека.
Наиболее грозными осложнениями гемангиомы являются:
- прорастание и разрушение близлежащих органов;
- разрушение мышц, костей, позвоночника;
- сдавливание и/или разрушение спинного мозга (с развитием паралича);
- разрушение внутренних органов (печени, почек, селезенки и других);
- изъязвление гемангиомы и присоединение инфекции;
- озлокачествление;
- тромбоцитопения и анемия;
- косметический дефект (нелеченные гемангиомы и их рубцы могут сохраняться на протяжении всей жизни).
Прогноз при гемангиоме определяется:
- первоначальным расположением опухоли;
- скоростью и характером роста;
- временем начала лечения;
- адекватностью лечебных мероприятий.
При своевременно поставленном диагнозе, своевременной и правильной лечебной тактике прогноз благоприятный — отмечается полное исчезновение гемангиомы без каких-либо видимых дефектов кожи.





