Перелом лодыжки – самое частое повреждение костей, именно с этой проблемой встречаются травматологи в 20% случаев от всех повреждений скелета и до 60% от всех повреждений голени. Пик таких перелом приходится на зимний период, особенно в населенных пунктах, в которых «не принято» вовремя бороться со снегом и гололедом. Весомый вклад в эту статистику вносят и дети, спортсмены, женщины на каблуках.
Частые случаи переломов именно лодыжки связаны с ее анатомической особенностью, наибольшей весовой нагрузке на эту часть ноги.
Перелом лодыжки «заработать» легко, но полноценно восстановится после него, не всегда удается, а в 10% случаев такие переломы могут привести к инвалидности, особенно взрослых пациентов. Это связано с тем, что в лечении такого перелома необходимо восстанавливать не только целостность кости, но и нормальную работу суставов, кровообращения и иннервации области перелома.
- Анатомия голеностопа
- Причины перелома лодыжки
- Виды переломов лодыжек
- Симптомы перелома лодыжки
- Диагностика перелома лодыжки
- Первая помощь при подозрении на перелом лодыжки
- Лечение перелома лодыжки
- Консервативное лечение перелома лодыжки
- Оперативное лечение переломов лодыжек
- Реабилитация после перелома лодыжки
- Период восстановления после операции
- Физиотерапия при переломе лодыжек
- Профилактика переломов лодыжки
Анатомия голеностопа
Лодыжка – одна из частей голеностопного сустава, представляет собой дистальную (нижнюю) выступающую часть голени.
Голеностопный сустав – единственная анатомическая структура, соединяющая стопу с костями голени. Представляет собой сложное прочное соединение костей.
Особенности голеностопного сустава:
- соединение в суставе по типу шарнира;
- блоковидный сустав (движение сустава в одной плоскости: изгиб назад и сгибание подошвы, вращение стопы, радиус этих движений до 65 градусов); возможны небольшие боковые движения в суставе только во время сгибания подошвы;
- стабильный сустав (эта особенность позволяет выдерживать большой вес тела);
- взаимодействует с другими суставами: подтаранный и таранно-пяточно-ладьевидный;
Функции голеностопного сустава:
Информация в статье носит справочный характер и не заменяет консультацию врача. Перед применением рекомендаций обратитесь к специалисту.
- обеспечение работы стопы,
- опора для тела человека,
- ходьба, бег, спускание по лестнице,
- амортизатор тела при ходьбе,
- повороты тела вокруг своей оси, не отрывая стопы от земли и др.
Костные составные голеностопа:
- наружная лодыжка,
- внутренняя лодыжка,
- дистальные концы малоберцовой и большеберцовой костей,
- блок таранной кости.
Рис. 1. Схематическое изображение костного компонента голеностопного сустава, вид спереди.
Кости голени (а именно лодыжки) как вилка охватывают таранную кость, образуя голеностопный сустав. Все поверхности костей, находящиеся внутри сустава называются суставными поверхностями. Суставные поверхности голеностопа покрыты гиалиновым хрящом, в полости сустава синовиальной оболочкой вырабатывается синовиальная (суставная) жидкость, ее функции:
- внутрисуставная смазка,
- предотвращает «стирание» суставных поверхностей,
- питает гиалиновые хрящи,
- осуществляет амортизацию сустава при движении и другие.
Суставные поверхности голеностопного сустава (рис. 2)
A. внутренняя поверхность латеральной лодыжки, соединяется с латеральной лодыжковой поверхностью таранной кости;
B. нижний конец большеберцовой кости (свод голеностопного сустава);
C. внутренняя поверхность медиальной лодыжки, движения осуществляются относительно медиальной лодыжковой поверхности таранной кости;
D. блок таранной кости, соединяется с дистальными концами малоберцовой и большеберцовой костей;
E. латеральная и медиальная лодыжковые поверхности таранной кости.
Рис. 2. Голеностопный сустав, поверхности голеностопного сустава, распил во фронтальной плоскости.
Связочный аппарат голеностопного сустава
Связка – это плотная соединительная ткань, которая удерживает кость, поддерживает работу и сохраняет целостность суставов, способствует движению в суставе. Связки связывают кости, сухожилия мышц, способствуя взаимодействию этих структур и образованию движения.
Сухожилие – это часть скелетной мышцы, формирующаяся из соединительной ткани, соединяет мышцы с костями. С помощью сухожилий происходит передача импульсов костному рычагу во время движений.
Влагалище сухожилия — оболочка сухожилия, которая выполняет функцию изоляции друг от друга, защиты сухожилий от трения и смазки сухожилий. Влагалища сухожилий расположены в голеностопе и запястье, где соединяется большое количество мышечных сухожилий.
Суставная капсула голеностопа – своеобразный футляр сустава, который образуется связками, непосредственно связана с сухожилиями мышц. Капсула голеностопного сустава прикрепляется к хрящам суставных поверхностей по бокам, спереди — к шейке таранной кости.
Группы связок суставной капсулы голеностопа (рис. 3):
- Медиальная дельтовидная группа:
- большеберцово-ладьевидная связка
- передняя и задняя большеберцово-таранные связки
- большеберцово-пяточная часть
- Латеральная группа связок:
- передняя таранно-малоберцовая связка
- пяточно-малоберцовая связка
- задняя таранно-малоберцовая связка
- Передние и задние связки представляют собой утолщения капсулы голеностопа.
Рис. 3. Голеностопный сустав, вид наружной (справа) и внутренней (слева) поверхностей. Связочный аппарат голеностопа.
Сухожилия области голеностопного сустава:
- ахиллово сухожилие,
- сухожилие передней большеберцовой мышцы,
- сухожилие задней большеберцовой мышцы,
- сухожилия длинных сгибателей стопы,
- сухожилия разгибателей стопы,
- сухожилие длинной малоберцовой мышцы,
- сухожилие короткой малоберцовой мышцы и др.
Рис. 4. Схематическое изображение самых крупных сухожилий области голеностопного сустава.
Причины перелома лодыжки
Основной причиной перелома лодыжки является травма:
- Прямая травма (удар), приводит к повреждению суставов, перелому одной из лодыжек (например, ДТП, землетрясение, падение тяжелых предметов на ногу и другое).
- Непрямая травма (подворачивание ноги), встречается чаще, чем прямая травма, перелом сопровождается образованием осколков поверхностей голеностопного сустава, вывихами и подвывихами голеностопного сустава и стопы наружу или вовнутрь, разрывом или растяжением связок. Примеры причин непрямой травмы лодыжки: подскальзывание на льду, скользком полу, катание на коньках и роликах, соскальзывание на ступеньках, занятие спортом, неаккуратная ходьба по неровной поверхности и другое.
Факторы, увеличивающие риск перелома лодыжки
- Физиологический недостаток кальция:
- Детский и подростковый возраст во время интенсивного роста
- Пожилой возраст. В пожилом возрасте переломами чаще страдают женщины, что связано с климаксом и нехваткой женских гормонов, регулирующих обмен кальция в организме.
- Беременность и лактация.
- Дефицит кальция:
- прием женской оральной контрацепции,
- неправильное питание с малым содержанием кальция,
- некоторые заболевания почек и желудочно-кишечного тракта (плохое усваивание и быстрое выведение кальция),
- заболевания щитовидной и паращитовидных желез, состояния после удаления щитовидки,
- акромегалия,
- заболевания надпочечников,
- недостаток витамина Д3 и другие состояния.
- Заболевания костей могут привести к патологическим переломам (как говорят, «перелом на ровном месте»):
- остеопороз, деформирующий артроз,
- пороки развития костей (остеопатии),
- некоторые генетические заболевания, хондродисплазии (синдром Морфана, болезнь Педжета, болезнь Волкова и др.),
- специфические воспалительные заболевания костей (сифилис, туберкулез),
- неспецифические воспалительные заболевания костей (остеит, остеомиелит, артрит),
- опухоли костной ткани и другие заболевания костей.
Виды переломов лодыжек
- закрытый* перелом латеральной лодыжки,
- закрытый перелом медиальной лодыжки,
- перелом со смещением** латеральной лодыжки,
- перелом со смещением медиальной лодыжки,
- перелом обеих лодыжек без смещения,
- перелом обеих лодыжек со смещением,
- перелом обеих лодыжек с вывихом или подвывихом стопы,
- открытый*** перелом лодыжек.
*закрытый перелом – перелом кости без повреждения мягких тканей,
**перелом со смещением – перелом, при котором части костей расходятся относительно оси кости под действием силы мышц.
***открытый перелом – перелом с повреждением мягких тканей осколками костей.
Виды переломов лодыжек в зависимости от механизма травмы:
- Пронационный перелом происходит при подворачивании стопы наружу.
Компоненты пронационного перелома:
- перелом латеральной лодыжки, может сочетаться с растяжением или разрывом латеральной группы связок;
- перелом медиальной лодыжки, возможно сочетание с переломом нижних отделов малоберцовой кости;
- разрыв межберцового соединения;
- перелом Дюпюитрена (перелом латеральной лодыжки, нижней части малоберцовой кости, разрыв межберцового соединения),
- вывих или подвывих стопы наружу.
При наличии всех компонентов пронационный перлом считается завершенным.
- Супинационный перелом происходит при подворачивании стопы вовнутрь.
Компоненты супинационного перелома:
- отрыв латеральной лодыжки;
- перелом медиальной лодыжки;
- перелом дистальной части большеберцовой кости;
- подвывих или вывих стопы внутрь.
При наличии всех компонентов супинационный перелом считается завершенным.
- Ротационный перелом происходит при повороте голени вокруг оси при фиксированном положении стопы.
Компоненты ротационного перелома:
- вывих или подвывих стопы вперед или назад;
- ротационный перелом малоберцовой кости;
- оскольчатый перелом большеберцовой кости;
- разрыв межберцового соединения;
- перелом или отрыв медиальной и/или латеральной лодыжек.
Перелом в сочетании с вывихом называется переломо-вывихом, это самый тяжелый и сложный перлом.
Рис. 5. Схематическое изображение некоторых видов переломов лодыжки:
1 – перелом латеральной лодыжки без смещения (косой и поперечный) – пронация.
2 – перелом латеральной и медиальной лодыжек со смещением, вывих стопы наружу – пронация.
3 – перелом медиальной лодыжки, косой перлом большеберцовой кости без смещения, разрыв межберцового соединения, перелом малоберцовой кости и латеральной лодыжки со смещением, вывих стопы внутрь – супинация.
4 – перелом большеберцовой кости в дистальной части, отрыв латеральной лодыжки, разрыв межберцового соединения, разрыв медиальных связок, подвывих стопы наружу – супинация.
5 – перелом с осколками малоберцовой кости в дистальном отделе, перелом без смещения латеральной лодыжки, косой перелом большеберцовой кости в дистальном отделе, отрыв медиальной лодыжки, разрыв межберцового соединения – супинация.
Симптомы перелома лодыжки
- Хруст во время травмы может указывать на перелом кости.
- Боль в области поврежденной лодыжки или голеностопного сустава. Боль часто возникает сразу после травмы, но может отсрочиться на некоторое время (например, когда мать спасает своего ребенка или спортсмен «на адреналине» заканчивает соревнование). Боль носит острый характер, усиливается при нагрузке, больной не может стать на ногу. При пальпации – резкая болезненность в области голеностопного сустава и по ходу малоберцовой кости.
Причины боли – нарушение целостности надкостницы, которая имеет множество нервных окончаний.
При массивных переломах со сдавливанием конечности (например, при ДТП, падении тяжелых предметов на конечности) может развиться болевой шок – состояние опасное для жизни человека. Требует экстренного введения сильных обезболивающих средств (вплоть до наркотических).
-
Отек мягких тканей проявляется увеличением щиколотки в размерах, сглаженностью контуров лодыжек, симптом появляется не сразу после травмы. При нажатии пальцем в этой области образуется ямка, которая выравнивается через некоторое время, при пальпации мягкие ткани имеют деревянистую плотность. Причиной отека является повреждение капилляров, обеспечивающих обмен жидкости между кровью и тканями. Жидкость из кровеносного русла быстро попадает в поврежденную ткань, а отток жидкости назад затруднен. Травма связок и мышц также приводят к задержке жидкости в тканях.
При обширных переломах отек может распространяться на всю ногу, что связано с повреждением более крупных сосудов.
- Гематомы и кровоизлияния в области перелома (синяки) сине-фиолетового цвета, может распространяться ниже голеностопа, в пяточную область. Причиной гематомы, также как и при отеке, является поражение сосудов с вытеканием крови в мягкие ткани. Чаще встречается при переломе лодыжек со смещением.
-
Нарушение функции сустава. Проявляется невозможностью или ограничением нормальных движений стопы, возможным появлением аномальных движений, хруста во время движений, ненормальным положение стопы. Это связано с повреждением компонентов сустава: костей, связок и сухожилий мышц. Нарушение положения стопы (поворот наружу или вовнутрь) происходит при переломо-вывихах.
Диагностика перелома лодыжки
При наличии вышеуказанных симптомов для диагностики наличия и вида перелома обязательно проведение рентгенограммы костей голеностопного сустава в следующих проекциях:
- прямая (обязательная проекция), проводится в положении пациента лежа на спине с согнутой больной ногой в коленном суставе;
- косая проекция проводится в положении больного на здоровом боку с согнутыми ногами, при этом между ногами ложат подушку, а больная конечность находится под углом к столу;
- боковая проекция проводится в положении на больном боку и согнутыми конечностями, больную конечность укладывают кпереди.
Рис. 6. Рентгенограмма здорового голеностопного сустава, прямая проекция.
Tibia – большеберцовая кость, Talus – таранная кость, Fibula – малоберцовая кость, medialis malleolus – медиальная лодыжка, lateralis malleolus – латеральная лодыжка.
Рентгенография проводится в начале для уточнения диагноза, после оперативного вмешательства, после реабилитации для оценки эффективности от проведенного лечения и восстановления.
Рентген — признаки перелома лодыжек:
- Линия перелома кости: косая, продольная и спиралевидная. Может определяться на одной или нескольких костях, в зависимости от сложности перелома.
- Расширение щели голеностопного сустава появляется при разрыве связок. В зависимости от группы поврежденных связок, расширение щели отмечается в соответственной части.
- Деформация щели голеностопного сустава в виде клина выявляется при подвывихе стопы.
- Наличие смещения отломков кости на рентгенограммах определяется в виде разнообразных комбинаций плоскостей кости.
- Утолщение мягких тканей в области перелома
На рентгенограммах при переломах голеностопа могут быть различные изменения, это зависит от вида перелома и механизма травмы.
В сложных случаях, возможно поведение других исследований голеностопного сустава:
- компьютерная томография (КТ),
- магнитно-резонансная томография МРТ (позволит оценить не только состояние костей, а также состояние связок, сухожилий, мышц, сосудов и нервов),
- эхография (УЗИ) голеностопного сустава позволяет оценить состояние гематомы мягких тканей, связок и мышц.
Рис. 7. МРТ- срез голеностопного сустава, норма
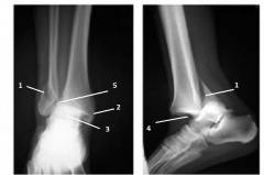
Рис.7. Рентгенограмма правого голеностопного сустава, прямая и боковая проекция. Закрытый перелом обеих лодыжек со смещением латеральной лодыжки и подвывихом стопы вперед, повреждение всех групп связок голеностопного сустава.(супинационный механизм травмы).
1- линия перелома со смещением латеральной лодыжки,
2- линия перелома без смещения медиальной лодыжки,
3- деформация щели голеностопного сустава, что говорит о повреждении связок латеральной и медиальной групп,
4- смещение голеностопного сустава вперед,
5- субъективный признак повреждения межберцового соединения.
Рис. 8. Прямая рентгенограмма левого голеностопного сустава. Перелом обеих лодыжек с подвывихом стопы наружу, повреждение медиальной группы связок и межберцового соединения.
Первая помощь при подозрении на перелом лодыжки
Если случилась травма и есть подозрение на перелом лодыжек (боль, нарушение работы голеностопного сустава, отек, гематома), то больного обязательно необходимо доставить в травматологический пункт. Лучше вызвать карету скорой медицинской помощи. Но до приезда медиков может пройти не одна десятка минут, а если это сельская местность, то и часы. Поэтому необходимо до приезда скорой начать оказывать первую помощь.
При неправильном оказании первой помощи могут быть осложнения:
- переход закрытого перелома в открытый,
- смещение отломков костей,
- травматический или болевой шок,
- усиление кровотечения,
- вывих или подвывих стопы,
- повреждение кровеносных сосудов и нервов отломками костей и другие.
Принципы оказания первой помощи при подозрении перелома лодыжек:
- Во-первых, необходимо успокоится и успокоить пострадавшего!
- Вызвать скорую медицинскую помощь.
Скорую помощь при такой травме необходимо вызывать обязательно и в срочном порядке. При неправильной транспортировке больного могут возникнуть осложнения. Но бывают места и ситуации, когда вызвать скорую помощь не возможно, тогда для больного необходимо организовать носилки из подручных материалов и срочно доставить пострадавшего в травматологический пункт или другое медицинское учреждение. - Не давать больному становиться на поврежденную ногу.
- Освободить конечность от факторов, сдавливающих ее: завалины плит, обломки транспортного средства и другие механические предметы, снять обувь и тесную одежду с ноги (если это возможно не травмируя ногу дополнительно).
Это необходимо делать очень аккуратно, чтобы дополнительно не травмировать голеностопный сустав. Освобождение ноги позволит предупредить возможное осложнение перелома, восстановление кровообращения в ноге. Длительное сдавление (более 20 минут) и нарушение кровоснабжения может привести к некротизации (отмиранию) тканей конечности, что в дальнейшем грозит ампутацией.
- Придать конечности удобное положение. При подозрении на перелом конечность необходимо приподнять, путем формирования мягкого валика под ногу. Валик можно сделать из ткани, одеяла, верхней одежды и т. д. Высота подъема конечности должна быть комфортной для пострадавшего. Это необходимо для снятия нагрузки с поврежденной конечности и уменьшения оттока крови и тканевой жидкости, что предупреждает развитие выраженного отека.
- Если перелом открытый (наблюдается рана в месте травмы, в которой могут визуализироваться отломки костей), то ни в коем случае нельзя трогать рану, самостоятельно пытаться вправить перелом или вытягивать из раны даже самые мелкие осколки кости.
- При наличии кровотечения из раны необходимо его остановить: обложить вокруг льдом или другим источником холода и, по возможности, наложить жгут выше поврежденного сосуда. Необходимо помнить, что жгут надо снимать каждые 20 минут на 20 секунд, чтобы не привести к некротизации ткани. Полностью жгут снимут в медицинском учреждении.
- Холод на конечность необходимо наложить при любой травме лодыжек. Это поможет облегчить боль пациента, уменьшить отек мягких тканей, остановить внутреннее кровотечение. Для охлаждения места травмы можно использовать лед, холодную воду, снег, и, при наличии, жидкий азот.
- Выбор шины.
Виды шин для иммобилизации голеностопного сустава:
- импровизированная шина из подручных средств: фанера, доска, длинные ветки деревьев, веник, лопата, лыжа и т. д.;
- лестничная проволочная шина;
- специальная фанерная шина и шина Дитерихса – есть только в специализированных бригадах скорой помощи и медицинских учреждениях;
- пневматические, пластмассовые, вакуумные шины, пневматические носилки также являются специализированными медицинскими шинами, которые есть в специализированных бригадах скорой помощи.
- При отсутствии специальных шин или подручных средств можно зафиксировать поврежденную конечность к здоровой.
- Транспортная иммобилизация конечности (фиксация) необходима для профилактики осложнений перелома, так как при «путешествии» пострадавшего в медицинское учреждение возможна дополнительная травма поврежденного участка.
Этапы иммобилизации (наложение шины):
- Прикрыть выступающие части голени (лодыжки) мягкой тканью для предотвращения натирания шиной.
- При наличии открытого перелома наложить стерильную повязку на рану.
- Поврежденную конечность привести в физиологическое положение: легкое сгибание в коленном суставе и слегка подтянуть пятку, чтобы стопа находилась под углом 90 градусов по отношению к голени.
- Наложение шины: с наружной и внутренней стороны голени шину прибинтовывают бинтом, поясом, тканью или другими подручными средствами.
- Введение обезболивающих средств необходимо при нестерпимых болях, открытом переломе голени, нарушении или потере сознания пострадавшего (возможное начало травматического или болевого шока), а также при сдавливании конечности тяжелыми предметами, защемлении между плитами, частями транспорта и т. д.
При сильных болях и сохраненном сознании пациента можно дать ненаркотическое обезболивающее средство, анальгетик, внутрь (ибупрофен, диклофенак, индометацин, парацетамол, нимесулид и другие).
При сдавливании конечности или потере сознания необходимо применить инъекционные ненаркотические анальгетики или, при наличии, наркотические анальгетики (морфин, промедол и др.).
- Транспортировка пострадавшего в травматологический пункт или другое медицинское учреждение.
Рис. 9. Примеры иммобилизации нижней конечности.
Лечение перелома лодыжки
После оказания первой помощи при переломе лодыжки пострадавший обследуется в медицинском учреждении, где врач травматолог определяет вид перелома и подбирает дальнейшую тактику лечения и реабилитации пациента.
В лечении перелома используют консервативное или оперативное лечение. Но, учитывая сложность голеностопного сустава, переломы в этой области также случаются сложные, что требует оперативного вмешательства.
Консервативное лечение перелома лодыжки
Показания к консервативному лечению:
- закрытый перелом лодыжек без смещения,
- небольшое повреждение связок голеностопного сустава,
- возможно консервативное лечение при переломе лодыжки со смещением:
- смещение обломков при условии максимально эффективного одномоментного вправления их врачом травматологом,
- невозможность проведения оперативного вмешательства и/или противопоказания к общей анестезии (отказ больного, старческий возраст, сопутствующие заболевания – тяжелый сахарный диабет, некоторые заболевания сердца, центральной нервной системы и прочее).
- смещение обломков при условии максимально эффективного одномоментного вправления их врачом травматологом,
Закрытое вправление обломков костей (закрытая ручная репозиция) проводится под местной или, реже, под общей анестезией. Вправление должно проводиться только специально обученным врачом. Больному необходимо согнуть ногу в тазобедренном и коленном суставах под прямым углом. Помощник руками фиксирует бедро. Травматолог одной рукой захватывает голеностоп спереди или пятку (в зависимости от вида вывиха), а другой голень снизу, сзади и по бокам (противотяга), стопа при этом должна быть в положении сгибания. Руками врач поворачивает стопу до нормального положения голеностопного сустава и когда он ощущает, что кости вправлены, фиксирует руку на стопе, придерживая ее в положении сгибания или разгибания (зависит от вида вывиха). Помощник накладывает гипс.
Накладывание гипса. При переломе лодыжки гипс накладывают на всю заднюю поверхность голени и стопу. Гипсовую лангету фиксируют при помощи бинтования снизу вверх, а в области стопы наоборот. Для надежной фиксации лангеты наматывают равномерно несколько слоев бинта. При этом у пациента не должны возникать чувства сдавливания, онемения конечности, трения кожи выступающих участков лодыжек.
Во время сращения костей больному категорически противопоказано вставать на загипсованную ногу, рекомендовано передвижение на костылях.
После наложения гипса рекомендовано повторить рентгенограмму голеностопного сустава для того, чтобы убедиться, что во время наложения лангеты не произошло смещение обломков или обломки вправлены правильно.
Всегда ли необходимо накладывать гипс?
Иммобилизировать поврежденную часть ноги необходимо всегда. Медицина не стоит на месте и на данный момент аптечная сеть предлагает нам большой ассортимент специальных лангет – бандажей-иммобилизаторов.
Бандажи – это каркас из легких металлов или прочной пластмассы, натянутый плотным материалом, к ноге фиксируется при помощи липучек. Такой бандаж можно регулировать по ноге и при необходимости снимать. Но при такой иммобилизации врач не всегда уверен, что пациент не снимает его на длительный период, а это может привести к неправильному сращению костей.
Как долго необходим гипс?
Срок ношения гипсовой лангеты или бандажа индивидуален и определяется врачом травматологом. В первую очередь это зависит от возраста пациента, чем моложе возраст, тем быстрее заживают переломы. Если это ребенок – то гипс накладывается сроком от 1 месяца, молодому взрослому человеку – от 6 недель, а пожилому человеку – от 2 месяцев.
Также срок такой иммобилизации зависит от тяжести перелома.
Снятие гипса проводят после рентгенологического контроля, когда кость полностью срослась.
Осложнения при неправильном сращении костей после перелома лодыжек:
- артроз суставных поверхностей голеностопного сустава,
- образование ложного сустава – сустав в месте сращения костей, в котором его быть не должно,
- привычный вывих ил подвывих стопы,
- деформация вилки голеностопного сустава и другие.
Как результат: нарушение движения в голеностопном суставе, хромота, дискомфорт при ходьбе, частые боли в области сустава, «на погоду кости ломит» и прочее.
Оперативное лечение переломов лодыжек
Показания к оперативному лечению:
- открытые переломы лодыжки,
- при неэффективном ручном вправлении или невозможности провести репозицию из-за сложности перелома (смещение в двух и более структурах, интерпозиция обломков – полное откалывание осколка кости, обломки легко смещаются),
- застарелые переломы (позднее обращение, когда кости начали сращиваться неправильно),
- перелом нижнего заднего отдела большеберцовой и малоберцовой костей более чем на треть поверхности со смещением в комбинации с переломами лодыжек. Такие переломы заживают очень долго и возможны неправильные сращения, формирование артроза голеностопного сустава,
- перелом обеих лодыжек,
- разрыв межберцового соединения и сложные разрывы связок голеностопного сустава.
Цели оперативного лечения:
- хирургическая обработка раны при открытом переломе, остановка кровотечения,
- восстановление анатомической формы кости,
- открытая репозиция обломков костей,
- фиксация костных отломков (остеосинтез),
- восстановление связок голеностопного сустава, межберцового соединения,
- и как итог – полное восстановление целостности и функции костей, связок и мышц голени, голеностопного сустава и стопы.
Виды операций при переломе лодыжек (рис. 10)
- Скрепление межберцового соединения (восстановление вилки) – болт закрепляют через малоберцовую и большеберцовую кости под углом от латеральной лодыжки, дополнительная фиксация с помощью гвоздя медиальной лодыжки.
Все каналы предварительно формируют сверлом.
Показания к операции: перелом малоберцовой кости и медиальной лодыжки (ротационные переломы), другие переломы с разрывом межберцового соединения.
- Остеосинтез латеральной лодыжки – через лодыжку вдоль оси малоберцовой кости вводят штифт, дополнительно гвоздем фиксируют штифтом медиальную лодыжку. При разрыве межберцового соединения – скрепляют его.
Показания к операции: пронационные переломы.
- Остеосинтез медиальной лодыжки – медиальную лодыжку фиксируют двухлопастным гвоздем под прямым углом к линии перелома. Дополнительно штифтом фиксируют и латеральную лодыжку. Возможны дополнительные прикрепления отломков винтами.
Показания к операции: супинационные переломы.
- Остеосинтез отломков большеберцовой кости – через вскрытый голеностопный сустав длинным шурупом соединяют отломки большеберцовой кости, иногда требуется дополнительный шуруп, который прикрепляют вдоль оси кости.
Показания к операции: перелом большеберцовой кости по заднему отделу дистального конца.
Рис. 10. Схематическое изображение основных видов операций при переломе лодыжек.
После операции ногу иммобилизируют в гипсовую лангету. Гипс накладывают таким путем, чтобы оставался доступ к послеоперационной ране для ее дальнейшей обработки.
Обязательное проведение контрольной рентгенограммы голеностопного сустава сразу после операции и во время восстановления.
Реабилитация после перелома лодыжки
Период восстановления после операции
Первые три недели после хирургического лечения вставать на ногу абсолютно противопоказано, и только через 3-4 недели возможно передвижение пациента на костылях. Гипсовая повязка после операции необходима в течение 2-3 месяцев. После снятия лангеты временно накладывают эластичный бинт в область голеностопного сустава.
Все фиксирующие болты, гвозди, винты, штифты могут быть удалены через 4-6 месяцев. Это тоже оперативное вмешательство. С металлическими конструкциями человек может жить много лет, особенно, если использовались фиксаторы из титана. Но фиксаторы из других желательно удалить.
Полную нагрузку на ногу (передвижение без костылей) можно дать через 3-4 месяца.
Полное восстановление функции голеностопного сустава наступает через период от 3 месяцев до 2-х лет.
Факторы, от которых зависит скорость восстановления сустава:
- Возраст, чем моложе, тем быстрее;
- Отсутствие сопутствующих заболеваний костей (артроз, остеопороз, артрит, хондродисплазии, остеопатии и другие) и других факторов, усиливающих риск перелома костей;
- Соблюдение постельного режима в послеоперационном периоде ускоряет восстановление;
- Период восстановления также напрямую зависит от сложности самого перелома и объема проведенной операции;
- При восстановлении необходима специальная диета, богатая кальцием;
- Физиотерапия, массаж и лечебная гимнастика также влияет на скорость полного восстановления после перелома.
Лечебная гимнастика после перелома необходима для устранения тугоподвижности в голеностопном суставе. Ее можно начинать через 1 неделю после того, как полностью снимут гипс. Комплекс упражнений должен быть подобран индивидуально инструктором ЛФК. Первые занятия можно начинать в ванночке с теплой водой. В ванночку также можно добавить морскую соль, что позволит устранить отеки, возникшие после длительного ношения гипса.
Основной принцип такой гимнастики заключается в том, что нагрузка увеличивается постепенно. В гимнастику входят сгибания и разгибания в коленном и голеностопном суставе, удерживание пальцами ног мелких предметов, катание мячика стопой. Также эффективной гимнастикой для голеностопного сустава является ходьба на пальцах и пятках, езда на велосипеде и плавание.
После перелома желательно носить обувь с ортопедической стелькой.
Отек голени можно уменьшить, если в положении лежа приподнять ноги, а после этого начать занятия с нагрузкой на голеностопный сустав.
Массаж после снятия гипса очень эффективен для восстановления нормальной работы кровеносных и лимфатических сосудов и нервов голени и стопы. Во время первых сеансов массажа может понадобиться использование обезболивающих мазей или гелей из-за сильных болезненных ощущений, но постепенно после разработки мышц и связок дискомфорт проходит.
Массаж можно проводить и самостоятельно в утреннее и вечернее время – разминать, потряхивать, гладить, нажимать в области голеностопа.
Физиотерапия при переломе лодыжек
| Вид процедуры | Показания | Механизм действия | Длительность лечения |
| Электрофорез кальция | Минимум через 10-12 дней после наложения гипса или операции. | Электрофорез способствует легкому попаданию кальция непосредственно в костную ткань, способствуя более быстрому ее заживлению. Используют ток 10мА в течение 20 минут | От 10 до 12 процедур, ежедневно. |
| Магнитотерапия | Не ранее 10-12 дней после наложения гипса. Противопоказано при наличии металлических фиксаторов кости. | Высокоинтенсивные импульсы магнитного поля стимулируют мышцы и нервы, способствуя профилактике атрофии мышц и улучшению кровообращения и иннервации. Индукция 1000 мТл в течение 15 минут. | От 10 до 12 процедур, ежедневно. |
| Ультрафиолетовое облучение | С 3-го дня после наложения гипса, вправления обломков или операции | Способствует выработке витамина Д3 для лучшего усвоения кальция и фосфора, что ускоряет заживление кости. | От 10 до 12 процедур, ежедневно. |
| УВЧ | С 3-го дня после наложения гипса, вправления обломков или операции, а также в период после снятия гипса, при наличии отека области голеностопа (бывает практически всегда после длительного ношения гипса). | Воздействие высоких частот электромагнитного поля в глубокие слои мышц и костей, способствуя улучшению работы кровеносных и лимфатических сосудов. Это способствует уменьшению воспалительного процесса в послеоперационном периоде и снятию отека мягких тканей. Применяют непрерывный ток 40-60 Вт в течение 15 минут. |
В среднем 10 процедур, ежедневно. |
| Инфракрасная лазерная терапия на место перелома | Не ранее 10-12 дней после наложения гипса или операции. | Тонкий луч электромагнитного излучения поглощается тканями костей, способствуя локальному метаболизму кальция, ускоряет сращение костей, заживление связок и мышц. Используют 5-10 Гц в течение 10 минут. |
От 8 до 10 процедур, ежедневно. |
| Экстракорпоральная ударно-волновая терапия | При длительном несращении большеберцовой и малоберцовой костей, возможно через 2 недели от наложения гипса. Противопоказано при наличии металлических фиксаторов кости. | Стимулирует остеогенез (формирование костной ткани), уменьшает боли, нормализует кровообращение. Режим импульсов подбирается индивидуально. | Несколько процедур, частота – 1 раз в 14 – 21 день. |
Обычно для эффективного восстановления после перелома лодыжки применяют не один метод реабилитации, а индивидуально подбирают комплекс необходимых процедур.
Профилактика переломов лодыжки
Несчастные случаи, которые могут привести к травмам, предупредить зачастую невозможно. Как у М. А. Булгакова: «Аннушка уже купила подсолнечное масло, и не только купила, но даже и разлила» (цитата из романа «Мастер и Маргарита»).
Но можно подготовить свое тело так, чтобы при травме риск перелома уменьшился.
Меры профилактики перелома костей:
- Сбалансированное питание, ежедневный рацион должен содержать продукты богатые кальцием:
- молочные продукты, особенно сыр, брынза, творог и другие кисломолочные продукты;
- мясо, яйца,
- крупы: овсянка, гречка, ячка;
- орехи и семена – миндаль, фундук, грецкий орех, фисташки, кунжут, укроп, горчица и другие;
- бобы: фасоль, горох, соя;
- рыба, особенно засоленная;
- овощи: брокколи, шпинат, щавель, капуста и другие зеленые овощи,
- патока,
- фрукты, фруктовые соки (особенно цитрусовые).
- Солнечные ванны позволят коже вырабатывать витамин Д3, который способствует усвоению кальция в организме. Поэтому необходимо ежедневно гулять на свежем воздухе в дневное время, умеренно загорать.
- Гимнастика с включением упражнений на мышцы голени, голеностопа и стопы поможет сформировать каркас из крепких мышц и связок, который защитит кости и суставы от повреждений.
- Своевременное выявление, лечение и профилактика хронических и воспалительных заболеваний костно-суставной системы.
Будьте здоровы!

