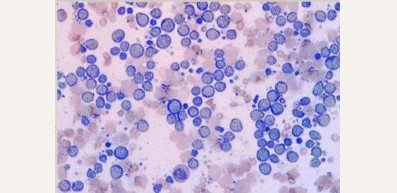
Лейкоциты

Лейкоциты - белые кровяные тельца, которые обеспечивают иммунную защиту организма. Представлены различными видами клеток со специфическими функциональными особенностями.

Наши видеоканалы



Регистрация временно закрыта

Вход в профиль

Войдите при помощи профиля в социальной сети или ранее зарегистрированного профиля на сайте

Ваша эл. почта
Проверочный код
Вернуться к логину
Ваша эл. почта
Пароль
Я забыл пароль
Закрыть