Дефект мембраны эритроцитов: микроцитоз, овалоцитоз, акантоцитоз – причины, симптомы и лечение

Содержание статьи:


Сайт предоставляет справочную информацию. Адекватная диагностика и лечение болезни возможны под наблюдением добросовестного врача. У любых препаратов есть противопоказания. Необходима консультация специалиста, а также подробное изучение инструкции!

Дефект мембраны эритроцитов (микросфероцитарная, овалоцитарная, акантоцитарная анемия). Наследственные заболевания крови, характеризуются изменением формы эритроцитов, что приводит к их преждевременной гибели.

Лабораторные показатели

Общий анализ крови
  • Эритроциты: снижены менее 3,5·1012/л;
  • Гемоглобин: снижен менее 120г/л;
  • Ретикулоциты: резко повышены от 8% до 25%, во время кризов до 50%. Данный показатель указывает на массивные потери эритроцитов, костный мозг старается восстановить потери клеток крови (ретикулоцит – это незрелый эритроцит).
  • СОЭ: повышена при кризах
  • Лейкоциты: возможно повышение во время кризов
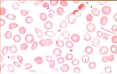
Форма эритроцитов в мазке крови
  • Микросфероцитарная анемия – эритроциты малого диаметра (менее 7 микрометра (мкм), норма 7-8 мкм), форма в виде сферы.
  • Овалоцитарная анемия – форма эритроцитов овальная.
  • Акантоцитарная анемия – форма эритроцита напоминает лист аканта, с зазубренными краями.
Биохимический анализ крови
  • Для акантацитарной анемии характерно снижение холестерина, триглицеридов, фосфолипидов и жирных кислот в плазме крови.

Симптомы

Симптомы, вызванные снижением количества эритроцитов:
  • Слабость
  • Снижение работоспособности
  • Головная боль
  • Головокружение
  • Звон в ушах
  • Учащенное сердцебиение
  • Одышка при физических нагрузках
Симптомы, вызванные избыточным разрушением эритроцитов:
  • Желтушность склер и кожных покровов (бледно - лимонная окраска)
  • Тёмная моча
  • Трофические язвы на ногах, как результат нарушения кровообращения
Если болезнь начинается в раннем возрасте, организм тратит вещества необходимые для нормального роста и развития на восстановление утраченных эритроцитов. В связи с этим развиваются следующие симптомы:
  • Нарушается формирование костей, изменяется форма черепа (башенный череп, седловидный нос)
  • Ребенок отстает в росте и умственном развитии


Подпишитесь на Здоровьесберегающий видеоканал

Причина

Наследственное нарушение структуры белка (спектрина), который отвечает за форму, эластичность и прочность эритроцитов. В результате данного дефекта, натрий и вода легко проникает в эритроцит, он набухает и уменьшается в диаметре. Всё это приводит к быстрому повреждению эритроцита и сокращению его жизни. При акантоцитарной анемии нарушается структура жиров в стенке эритроцита, что ведет к изменению его формы, прочности и продолжительности жизни.

Как лечить?

  • Единственным эффективным методом лечения микросфероцитарной и овалоцитарной анемии является удаление селезенки (спленэктомия).
  • Для акантоцитоза нет специфического лечения. Для улучшения состояния назначают диету с исключением натуральных жиров , витамины А ,D, E, и препараты кальция.

Прогноз

Прогноз для микросфероцитарной и овалоцитарной анемии благоприятный. Данные болезни излечимы.
Туров Владислав Игоревич
Автор:
Специальность: практикующий врач гастроэнтеролог

Опубликовано: 02.4.2013

Дополнено: 25.2.2021

Просмотров: 46234

Поделиться
12 показателей биохимического анализа крови, которые должны знать все
143459
0
12 показателей биохимического анализа крови, которые должны знать все
11 основных показателей крови, которые укажут на то, что вы нездоровы
76375
0
11 основных показателей крови, которые укажут на то, что вы нездоровы
Гематолог. Чем занимается данный специалист, какие исследования производит, какие заболевания лечит?
83059
0
Гематолог. Чем занимается данный специалист, какие исследования производит, какие заболевания лечит?
Что делать, если эритроциты повышены? Какие патологии могут приводить к повышению количества эритроцитов?
238163
0
Что делать, если эритроциты повышены? Какие патологии могут приводить к повышению количества эритроцитов?
Что делать, если эритроциты понижены? Какие патологии могут приводить к снижению количества эритроцитов?
160566
0
Что делать, если эритроциты понижены? Какие патологии могут приводить к снижению количества эритроцитов?
Что делать, если гемоглобин повышен? Какие патологии могут приводить к повышению уровня гемоглобина?
216469
0
Что делать, если гемоглобин повышен? Какие патологии могут приводить к повышению уровня гемоглобина?
Одышка. Причины одышки - сердечная, легочная, при анемии. Диагностика и лечение причин
328024
0
Одышка. Причины одышки - сердечная, легочная, при анемии. Диагностика и лечение причин
Как повысить гемоглобин? Как поднять гемоглобин в домашних условиях? Продукты, поднимающие гемоглобин
407228
1
Как повысить гемоглобин? Как поднять гемоглобин в домашних условиях? Продукты, поднимающие гемоглобин
Железодефицитная анемия. Причины, симптомы, диагностика и лечение патологии
234670
0
Железодефицитная анемия. Причины, симптомы, диагностика и лечение патологии
Серповидноклеточная анемия. Причины, симптомы, диагностика и лечение патологии
60529
0
Серповидноклеточная анемия. Причины, симптомы, диагностика и лечение патологии
Гемолитическая анемия. Причины, симптомы, диагностика и лечение патологии
157901
0
Гемолитическая анемия. Причины, симптомы, диагностика и лечение патологии
Эритроцитоз – причины первичного и вторичного эритроцитоза
84546
1
Эритроцитоз – причины первичного и вторичного эритроцитоза
Аутоиммунная анемия
61350
0
Аутоиммунная анемия
Серповидноклеточная анемия – причины, симптомы, лечение
110966
0
Серповидноклеточная анемия – причины, симптомы, лечение
Анемия связанная с нарушением обмена порфиринов
26885
1
Анемия связанная с нарушением обмена порфиринов
Гемолитическая анемия - аутоиммунная, приобретенная, врожденные
64218
0
Гемолитическая анемия - аутоиммунная, приобретенная, врожденные
Фолиеводефицитная анемия – причины, симптомы, диагностика и лечение
121417
0
Фолиеводефицитная анемия – причины, симптомы, диагностика и лечение
Талассемия – диагностика, причины, симптомы и лечение
82741
2
Талассемия – диагностика, причины, симптомы и лечение
Железодефицитная анемия – причины, симптомы, диагностика и лечение
69217
0
Железодефицитная анемия – причины, симптомы, диагностика и лечение
В12 дефицитная анемия – причины, симптомы, диагностика и лечение
316411
1
В12 дефицитная анемия – причины, симптомы, диагностика и лечение
Апластическая анемия – причины, симптомы, лечение
136756
0
Апластическая анемия – причины, симптомы, лечение
Анализ мочи по Нечипоренко - расшифровка. Норма эритроцитов, лейкоцитов и цилиндров, причины повышения значений показателей
1369895
6
Анализ мочи по Нечипоренко - расшифровка. Норма эритроцитов, лейкоцитов и цилиндров, причины повышения значений показателей
Лейкоз - причины, факторы риска, симптомы, диагностика и лечение
266113
0
Лейкоз - причины, факторы риска, симптомы, диагностика и лечение
Анемия - железодефицитная, гемолитическая, В12 дефицитная, апластическая.  Причины, диагностика и степени анемии
695847
3
Анемия - железодефицитная, гемолитическая, В12 дефицитная, апластическая. Причины, диагностика и степени анемии
Анализ мочи, расшифровка -  нормы белка, эритроцитов, лейкоцитов, глюкозы, эпителия, билирубина, цилиндров и бактерий
5552450
17
Анализ мочи, расшифровка - нормы белка, эритроцитов, лейкоцитов, глюкозы, эпителия, билирубина, цилиндров и бактерий
Общий анализ крови расшифровка, нормы анализа крови у детей. Нейтрофилы, лейкоциты, эозинофилы, базофилы, лимфоциты, эритроциты, тромбоциты, MCH, MCHC, MCV
6915850
17
Общий анализ крови расшифровка, нормы анализа крови у детей. Нейтрофилы, лейкоциты, эозинофилы, базофилы, лимфоциты, эритроциты, тромбоциты, MCH, MCHC, MCV
Клетки крови - строение клеток крови, эритроциты, лейкоциты, тромбоциты,  резус фактор – что это?
418688
1
Клетки крови - строение клеток крови, эритроциты, лейкоциты, тромбоциты, резус фактор – что это?

Комментировать или поделиться опытом:


Архивы:

Регистрация временно закрыта

Вход в профиль

Войдите при помощи профиля в социальной сети или ранее зарегистрированного профиля на сайте

Ваша эл. почта
Проверочный код
Вернуться к логину
Ваша эл. почта
Пароль
Я забыл пароль
Закрыть