Эхинококкоз – это одно из многочисленных паразитарных заболеваний, часто встречающихся у людей. По современным данным эхинококкоз неравномерно распространен на земном шаре. Наиболее многочисленные случаи заболевания наблюдаются в странах, где доминирует сельскохозяйственная деятельность. Эхинококк может поражать любой орган, но в большинстве случаев доминирующее положение занимают поражения таких органов как печень, легкие и головной мозг.
- Эхинококк – что это?
- Пути передачи эхинококкоза
- Симптомы эхинококкоза
- Общая симптоматика
- Симптомы при поражении печени
- Симптомы эхинококкоза лёгких
- Эхинококкоз других органов
- Диагностика эхинококкоза
- Лабораторные анализы
- Инструментальные методы диагностики эхинококкоза
- Лечение эхинококкоза
- Критерии выздоровления
- Профилактика эхинококкоза
- Как восстановиться после операции по поводу эхинококкоза?
- Можно ли вылечить эхинококкоз с помощью средств народной медицины и без операции?
- Передается ли эхинококк от человека к человеку?
- Бывает ли эхинококк у детей? Каковы признаки, диагностика и лечение эхинококкоза в детском возрасте?
- Как выглядит эхинококк (фото)?
- Что делать, если при исследовании на глисты выявили положительные антитела к эхинококку, а симптомов заболевания нет?
- Как распознать эхинококк у своего домашнего питомца (у собаки, кошки, овцы, свиньи)?
Эхинококк – что это?
Так все-таки, что такое эхинококкоз? Чтобы отчетливо ответить на этот вопрос необходимо разобраться в многочисленных видах паразитов. Эхинококки относятся к ленточным червям, паразитирующим в кишечнике преимущественно собак, волков, лисиц. Общие размеры червей не превышают нескольких миллиметров, если присмотреться внимательней, то их можно заметить невооруженным глазом.
Различают два вида эхинококка:
- Гидатиозный эхинококкоз – чаще поражает печень у человека
- Альвеолярный эхинококкоз – преимущественно поражает легкие
В организме человека паразиты существуют только в виде личинки, которая выглядит как однокамерный пузырь (гидатиозный эхинококкоз), или многокамерный пузырь (альвеолярный эхинококкоз). Пузырь, или по-другому, эхинококковая киста состоит из двух оболочек: наружная и внутренняя. Внутри пузыря находится жидкость и в ней плавают новые зародыши – сколексы. Во внутренней оболочке находятся специальные участки, которые обладают способностью рождать новые личинки. Пузырь медленно, но верно увеличивается в размерах, при этом сдавливая окружающие ткани и нарушая их функции.
Информация в статье носит справочный характер и не заменяет консультацию врача. Перед применением рекомендаций обратитесь к специалисту.
Пути передачи эхинококкоза
Эхинококк при развитии проходит несколько стадий последовательно переходящих одна в другую. Среди домашних животных окончательным хозяином считается собака, но может в некоторых случаях встречаться и у кошек. Зрелые черви паразитируют в кишечнике указанных животных. Яйца вместе с каловыми массами выделяются в окружающую среду и попадают: на землю, в воду, овощи, фрукты, в общем, на то, что соприкасается с фекалиями во внешней среде. Дальше пути распространения несколько расходятся, есть несколько вариантов:
- Одна часть яиц проглатывается мелкими грызунами – крысами, мышами, ондатрами. Личинки, попав в кишечник, проникают в кровь и с током крови заносятся в печень, где и начинают созревать. При поедании дикими животными указанных мелких животных паразиты заражают их. При охоте убитая дичь может служить источником заражения человека, в особенности в тех случаях, когда охотники плохо ее прожаривают и затем поедают.
- Другая часть попадает в кишечник сельскохозяйственных животных (коз, овец, свиней, крупного и мелкого рогатого скота), вместе с поедаемой травой, зараженными кормами, инфицированной водой. Внутри их организма личинки также попадают в печень, легкие, и реже другие органы, где и находятся длительное время. Человек может свободно заразиться эхинококком, если съест термически плохо обработанное мясо зараженных животных.
- Третий путь распространения и пожалую один из самых важных – это несоблюдение правил обычной гигиены. Когда, например ребенок или взрослый, не помыв свежесобранную клубнику, или поиграв с собакой во дворе, также не помоет руки и начнет грызть ногти или принимать пищу, то соответственно у этой категории людей есть все шансы заразиться данным заболеванием.
Попав в организм человека личинки, первоначально всасываются из кишечника и попадают в печень. Большая часть паразитов, не может пройти печеночный барьер и остается.
Симптомы эхинококкоза
Исходя из путей распространения паразитов, в организме человека выделяют несколько клинических форм заболевания. Каждая клиническая форма характеризуется только ей присущей симптоматикой. Но, несмотря на возможные поражения различных органов всё, же остаются симптомы заболевания общие для каждой из них.
Общая симптоматика
Эхинококкоз – это не острое заболевание, которое проявляется внезапно высокой температурой, ознобами, проливными потами или сильной болью. Нет, наоборот симптомы болезни могут не проявляться или не ощущаться зараженным человеком на протяжении многих месяцев и даже лет с момента заболевания. Данная особенность затрудняет постановку правильного диагноза и зачастую больной обращается за помощью к разным специалистам, пока не попадает, в конце концов, на операционный стол по поводу удаления эхинококковой кисты.
К общим симптомам заболевания относят, прежде всего:
- Слабость и повышенную утомляемость
- Снижение общей работоспособности
- Периодические головные боли
- Высыпания на коже в виде мелкоточечных красных пятен
- Повышения температуры тела, которые носят временный характер
Данные симптомы обусловлены выделениями токсичных продуктов обмена паразитов, а также реакцией организма на внедрение инфекции в организм человека.
Симптомы при поражении печени
Поражение печени занимает более 60% всех случаев эхинококкоза. Развитие инфекции условно можно разделить на несколько этапов, на каждом из которых присутствуют свои, в некоторых случаях пусть даже и незначительных отличительных симптомах заболевания.
Первый этап в подавляющем большинстве случаев проходит незаметно. Больной чувствует себя вполне здоровым и работоспособным. Обусловлен внедрением паразитов в ткань печени с постепенным формированием защитной капсулы. В некоторых случаях пациенты могут чувствовать тяжесть в правом подреберье после обильного приема жирной пищи.
Второй этап наряду с проявлением общей симптоматики, описанной выше, характеризуется появлением симптомами поражения печени. Больные теряют аппетит постепенно снижается вес тела. При приеме лекарственных средств возможны нежелательные побочные реакции, связанные со сниженной способностью печени обезвреживать химические вещества.
К специфическим симптомам при поражении печени относятся:
- Тошнота или рвота, которые появляются вслед за съеденной: жаренной, жирной, пищи, или других пикантных блюд.
- Появление тяжести в правом подреберье и болей в верхней части живота со смещением её в правое подреберье, также после приема пищи или после повышенной физической нагрузки.
- Расстройство стула в виде периодически появляющейся диареи. Возникает вследствие нарушения переваривания жиров в кишечнике из-за нарушения выделения желчи печенью.
При обследовании пациента можно обнаружить значительное увеличение размеров печени. При ощупывании печень болезненна и плотная. Данные патологические симптомы характерны для гепатита (воспаления печени). При неправильно поставленном диагнозе можно долго и безуспешно лечить воспаление печени. Поскольку печень обладает большой регенераторной способностью, несмотря на существенное поражение печеночной ткани, печеночная недостаточность не возникает.
Третий этап или стадия болезни характеризуется появлением осложнений связанных с разрывом эхинококковой кисты и распространением яиц гельминтов по всему организму. Если на протяжении первых стадий болезни присутствовали только общие симптомы и признаки поражения печени, то сейчас будут серьезные нарушения работы со стороны других органов и систем. Наиболее часто встречающимися осложнениями могут быть:
- Нагноение кисты с образованием внутри нее гнойного содержимого. При разрыве гнойника возможно попадание гноя в полость живота с развитием перитонита (острое гнойное воспаление брюшины – оболочки органов брюшной полости). При прорыве кисты в грудную полость развивается воспаление оболочек легких – гнойный плеврит.
- Разрыв кисты часто сопровождается попадание её содержимого в кровь. При этом почти во всех случаях появляется резко выраженная аллергическая реакция, так как высвобождается большое количество биологически активных веществ, которые способствуют образованию отека тканей, появлению различной интенсивности высыпаний на коже, сужению просвета дыхательных путей с появлением одышки и многими другими проявлениями, характерными для аллергии. Кроме того эхинококки распространяются по всему организму и попадают в легкие, головной мозг, кости и другие органы.
- Большая киста может сдавливать окружающие ткани, в том числе воротную вену и внутрипеченочные желчные протоки. При этом могут наблюдаться следующие симптомы:
- При сдавливании внутрипеченочных желчных протоков возникают симптомы, обусловленные застоем желчи в них и повышением давления в печеночной ткани. В норме желчь вырабатывается в печени из разрушенных эритроцитов и желчных кислот, далее поступает в желчный пузырь, затем в тонкий кишечник. Функция желчи состоит в том, что она помогает переваривать поступающие жиры с принимаемой пищей. Если указанного физиологического цикла не происходит, то постепенное нарастание давления желчи в мелких печеночных желчных протоках приведет к тому что, в конечном итоге желчь будет просачиваться в кровь. Данное осложнение называется механической или обтурационной желтухой. Больной весь желтый с зеленоватым оттенком, постоянно ощущает зуд кожных покровов, и моча становится «цвета крепкого чая или пива».
- При закрывании просвета воротной вены происходит повышение давления крови в кровеносной системе тех органов брюшной полости, отток крови от которых направлен к печени. К ним относятся: желудок, часть пищевода, тонкий и толстый кишечник, селезенка. Наблюдается клиническая картина нарушения этих органов. Но главными признаками нарушения оттока крови является увеличение селезенки и появление асцита (скопление жидкости в брюшной полости). Происходит из-за повышенного давления крови в системе воротной вены.
- При закрытии просвета нижней полой вены, кровь из которой поступает в правые отделы сердца, наблюдается картина сердечно-сосудистой недостаточности. Симптомы обусловлены недостаточным поступлением крови к сердцу и легким. Кровь не насыщается кислородом – появляется одышка, плюс ко всему страдает кровоснабжение всех органов организма, и в первую очередь сердца, почек и головного мозга. Появляются частые потери сознания, боли в области сердца, нарушение работы почек и многие другие расстройства, связанные с недостаточным кровоснабжением органов и систем.
Симптомы эхинококкоза лёгких
В развитии клинической картины, которая складывается при поражении легких, также имеет место несколько этапов. На первоначальном этапе при проникновении эхинококка в легочную систему формируется киста, которая медленно, но растет и увеличивается в размерах. Таких кист может быть несколько, в таком случае симптомы заболевания начинают проявляться быстрее. Параллельно со специфической симптоматикой поражения легких, существуют и общие симптомы недомогания, хронической усталости и снижением общей работоспособности, как и при поражении печени.
На ранней стадии поражения легких встречаются такие симптомы как:
Сухой надсадный кашель, который со временем приобретает специфический неприятный запах и становиться влажным, пенистым. В дальнейшем временами появляются прожилки крови, что можно спутать с туберкулезным процессом или раковой опухолью легких.
Боли в грудной клетке наблюдаются в тех случаях, когда киста становится больших размеров и сдавливает плевру (оболочка легких), которая обильно снабжена чувствительными рецепторами.
В поздней стадии клинические симптомы весьма значительно изменяются и не в лучшую сторону, поскольку киста достигает больших размеров, сдавливает окружающую легочную ткань, а что еще хуже может и вовсе разорваться, и личинки паразитов попадая в кровь, распространяются по всему организму. Выделяют следующие варианты развития поздней стадии поражения легочной ткани:
- При нагноении и кисты и распространении гноя в легких начинаются воспалительные процессы, что проявляется в виде упорно и длительно протекающих пневмоний (воспаление легких), а также агрессивными аллергическими реакциями.
- Если киста прорывается через оболочку легких и рядом находящуюся оболочку сердца, то это может вызвать шок и немедленную смерть. Если оболочка сердца не задета, и нет шокового состояния, тогда развивается тяжелый экссудативный плеврит (воспаление плевры – оболочки легких, с накоплением большого количества жидкости между ними). Легкое при этом сдавливается и постепенно перестает участвовать в акте дыхания. Кроме симптомов общей интоксикации (высокая температура тела – 38-39 градусов, лихорадка, боли в мышцах, повышенное потоотделение и некоторых других симптомов, ухудшающих общее состояние больного), у пациента резко развивается одышка и он задыхается.
Эхинококкоз других органов
в редких случаях бывает так, что мелкие личинки, пройдя печень и легкие, попадают в кровяное русло и могут забрасываться в любой орган. В литературе описаны случаи заноса паразитов в головной мозг, почки, кости и другие органы. Находясь в них, происходит образование кисты, как и при патологии печени или легких. Отличительным признаком проявлений эхинококкоза данной локализации является то, что, к примеру, головной мозг, как наиболее уязвимый орган, находится в полости черепной коробки и паразиты не могут длительно расти и развиваться незаметно, поскольку любое, пусть даже малейшее повышение давление в полости черепа немедленно вызывает ответную реакцию со стороны головного мозга. Та же ситуация складывается если паразиты попадают в почки или кости. К счастью, такие явления встречаются очень редко, и нет необходимости, заранее беспокоится об этом.
Альвеолярный эхинококкоз
Один из подвидов эхинококка, вызывает точно такую же клиническую картину заболевания, как и при гидатиозном эхинококкозе. Отличие лишь заключается в том, что данный эхинококк образует не одну большую кисту, а несколько кистозных пузырей небольшого диаметра. К тому же они обладают способностью проникать в окружающие ткани и соответственно разрушают их. Симптомы заболевания проявляются намного раньше и более сильно выражены. Последствия альвеолярного эхинококкоза намного плачевнее, так как, разрушая орган, кисты приводят к его недостаточности, а также быстро распространяются через кровь во все органы и ткани. Лечить такой эхинококкоз уже невозможно.
Диагностика эхинококкоза
Для диагностики эхинококкоза необходимо осуществить как лабораторные, так и инструментальные методы исследования, прибегая к помощи современных компьютеризированных аппаратов. Немаловажную роль играют также и клинические симптомы поражения того или иного органа. Без современных методов диагностики, конечно же, не обойтись, но своевременно проведенный опрос об истории жизни пациента, о роде его деятельности, и когда впервые обнаружил первые признаки заболевания, могут в иной раз навести на мысль о существовании эхинококкоза.
К примеру, мужчина 40 лет занимается животноводством, постоянно находится в контакте с овцами, свиньями и другим скотом. Также очень любит собак, подолгу может играть с ними. Жалуется на периодические боли в правом подреберье.
В этом случае сразу можно заподозрить о том, что у него, возможно, паразитируют какие-либо гельминты, паразитирующие в печени.
Лабораторные анализы
Лабораторные анализы делятся на две категории: те, которые подтверждают диагноз, и те которые отражают степень нарушения работы, пораженного органа.
К первой группе, то есть подтверждающей диагноз относятся иммунологические тесты, которые проводятся в биохимических лабораториях. На данный момент имеется ряд тестов, подтверждающих присутствуют ли в крови или содержимом кисты специфические белки – антигены характерные именно для эхинококкоза. Также при помощи данных реакций можно установить наличие защитных белков, вырабатываемых организмом для нейтрализации антигенов.
К данной категории тестов относятся:
- РСК – реакция связывания комплемента
- РНГА – реакция непрямой гемагглютинации
Сюда же можно включить аллергическую пробу Каццони.
Скарификатором делают небольшую царапину на передней поверхности предплечья, затем капают сверху небольшое количество жидкости из эхинококковой кисты. Жидкость приготовлена заранее и хранится длительное время в специальных условиях. В жидкости содержатся эхинококковые антигены Сущность метода заключается в том, что если у больного есть эхинококкоз, то у него обязательно присутствуют и антитела к ним. При связывании антител с антигенами происходит местная воспалительная реакция, которая проявляется в виде локального покраснения и небольшого отека тканей в области царапины.
Вторая группа лабораторных анализов предусматривает выявление специфических изменений в крови при поражении органов мишеней.
При повреждении печени выявляют патологические печеночные пробы.
Общий анализ крови при эхинококкозе
- Выраженная эозинофилия — повышение количества эозинофилов. Норма – от 1% до 5%. Концентрация эозинофилов всегда увеличивается при попадании в организм любых видов паразитов.
- Увеличение скорости оседания эритроцитов (СОЭ). Наблюдается при всех воспалительных процессах, как патологическая реакция на внедрение бактерий, вирусов, и других инфекционных агентов. Норма составляет 2-15мм/час.
Инструментальные методы диагностики эхинококкоза
Инструментальные методы диагностики проводятся для того, чтобы определить величину объёмных процессов, то есть наличие кист в печени, легких, и в редких случаях головного мозга, почек и других органов. Также с помощью специальной аппаратуры определяют степень увеличения, и разрушительных процессов в пораженных органах. Ко всему этому можно добавить, что вся современная аппаратура не в состоянии поставить точный, утвердительный диагноз – эхинококкоз.
Ультразвуковое исследование печени
Преимущественно используют для исследования органов брюшной полости, выявляют увеличение печени или кистозоподобные образования.
Рентгенологические методы. К ним относят:
Обзорную рентгенограмму грудной клетки – при помощи, которой определяют кистовидные образования в легких. Также при затяжном процессе выявляют отложение солей кальция вокруг кист.
Компьютерная томография – также рентгенологический метод, выявляющий более глубоко расположенные дефекты ткани. Используется как в диагностике эхинококкоза лёгких, печени и других органов.
Лапараскопический метод
Является инвазивным методом, так как в полость живота вводят специальную эндоскопическую трубку, при помощи которой осуществляют осмотр печени и других органов внутри живота. Изображение выводится на экран, и позволяет обнаружить поверхностно расположенные кисты, а также размеры и поверхность самой печени.
Лечение эхинококкоза

Эхинококкоз – это паразитарное заболевание, которое никогда не излечивается самостоятельно без осуществления лечебных мероприятий. Встречаются редкие случаи выздоровления только при использовании медикаментозной терапии.
Лечение эхнококкоза осуществляется только хирургическим путем. В период до, и после проведенной операции проводят сопутствующее лечение противогельминтным препаратом – мебендазолом (вермокс).
Дозу назначают индивидуально в зависимости от стадии патологического процесса. В некоторых случаях такой подход с использованием мебендазола позволяет на время задержать рост кисты и даже уменьшает её в размерах.
Хирургическая операция заключается в том, что удаляют эхинококковую кисту с капсулой и окружающими, патологически измененными тканями. Удаление кисты производят в тех случаях, когда она небольших размеров и расположена ближе к поверхности органа.
В случаях глубокого расположения кистозного образования, во избежание осложнений, связанных с повреждением глубоко расположенных сосудов и желчных ходов, применяют другой оперативный подход. Кисту вместе с капсулой не удаляют, а предварительно пунктируют и отсасывают ее содержимое. Затем вычищают изнутри внутренние слои кисты, после чего обрабатывают полость 2% раствором формалина и ушивают.
Операции следует проводить очень внимательно во избежание вытекания жидкости кисты вместе с яйцами паразитов. Неосторожность при проводимой операции может привести к пагубным последствиям и распространению инфекции на близлежащие органы или по всему организму с током крови.
При альвеолярном эхинококкозе выполняют, так называемые паллиативные операции, которые не излечивают полностью заболевание, а лишь временно облегчают страдания больного. Осуществляются путем удаления части, самых больших кист, для уменьшения сдавливания здоровой части органа. Паллиативные операции проделывают для увеличения длительности жизни пациента, а также для улучшения его самочувствия.
Критерии выздоровления
Человек считается здоровым, если на протяжении четырех лет у него берут иммунологические анализы крови, и они показывают отрицательный результат.
Профилактика эхинококкоза
Профилактические мероприятия включают целый комплекс мер, предпринимаемых для предотвращения возможного заражения эхинококкозом. В первую очередь необходимо помнить о путях передачи инфекции, чтобы снизить риск заражения до минимальных цифр.
- Людям, чья работа связана с собаководством, охотой, животноводством, и членам их семей необходимо в первую очередь с большим вниманием относиться к гигиеническим правилам, которые выполняются:
- После контакта с собаками и другими животными
- Перед приемом пищи
- После туалета
- Своевременное мытье рук с использованием мыла после вышеописанных действий предотвратит попадание инфекции внутрь организма.
- Важно знать, что воду из родников, колодцев и других природных источников в первую очередь кипятят, а потом уже пьют.
- Тщательная термическая обработка мяса также очень важна, потому что в нем могут содержаться личинки эхинококка.
- Заболевшие эхинококкозом после проведенного лечения должны находиться на диспансерном учете, и посещать врача и обследоваться не реже 1 раза в 2 года. Диспансеризация проводится на протяжении 8-10 лет.
Как восстановиться после операции по поводу эхинококкоза?
В любом случае операция по поводу удаления эхинококковой кисты нарушает работу поврежденного органа. И очень важно правильно реабилитироваться после операции, максимально восстановить функцию органа и предупредить развитие рецидивов заболевания.
Рецидив эхинококкоза – это не совсем рецидив, а часто осложнение заболевания или его хирургического лечения:
- обсеменение личинками близлежащих органов во время пункции или удаления кисты;
- разрыв кисты с поражением окружающих органов или обсеменение по всему организму с кровью, что может привести к развитию множественного эхинококкоза;
- неполное выявление эхинококковых кист в оперируемом или другом органе;
- неполное удаление кисты или капсулы органа, технические ошибки во время операции;
- повторное заражение паразитом после хирургического лечения эхинококкоза.
Подобные ситуации развиваются, в среднем, в 15% случаев.
Что нужно делать после операции по поводу эхинококкоза?
1. Принимать противогельминтные средства согласно схемам (Мебендазол).
2. Реабилитация после операций по поводу эхинококка длится не менее 2-4 месяцев (больному рекомендован больничный лист на период восстановления).
3. Обязательное обследование 2 раза в год первые 2 года, затем 1 раз в год на протяжении 8-10 лет:
- кровь на антитела к эхинококку;
- УЗИ печени;
- рентгенография легких;
- печеночные пробы и биохимия крови;
- компьютерная томография головы (после операции по поводу эхинококкоза головного мозга или при наличии неврологических симптомов);
- общий анализ крови и мочи;
- другие виды обследования по показаниям.
4. Соблюдение правил личной гигиены.
5. Употребление в пищу термически обработанных продуктов.
6. Ограничить контакт с животными, которые могут стать причиной повторного заражения гельминтом, или же строго придерживаться гигиены после контакта с ними.
7. Здоровый образ жизни, отказ от курения, алкоголя, наркотических средств, ежедневная нетяжелая физическая активность.
8. После операции на печени:
- необходимо соблюдать диету, стол №5а: полноценное питание с высоким содержанием белка, углеводов, витаминов и микроэлементов, с исключением жиров, холестерина и грубой клетчатки;
- принимать препараты, восстанавливающие клетки печени: эссенциальные фосфолипиды – Эссенциале, Энерлив, Ливолин, Лив-52 и другие.
9. После операции на легких: через месяц рекомендована специальная дыхательная гимнастика и ЛФК, направленные на улучшение вентиляции легких.
10. После операции по поводу эхинококкоза головного мозга:
- препараты, улучшающие кровообращение мозга: Актовегин, Церебролизин, Пирацетам и так далее;
- физиотерапия, направленная на восстановление двигательных функций;
- занятия с логопедом при нарушении функции речи;
- психотерапия при нарушении психики у пациента.
От чего надо воздержаться после операции по поводу эхинококкоза?
1. От тяжелой физической нагрузки в течение 4-х месяцев,
2. от физиотерапии ранее, чем через 2 месяца после операции,
3. женщинам не желательно беременеть,
4. от психоэмоциональных стрессов.
Можно ли вылечить эхинококкоз с помощью средств народной медицины и без операции?
В излечении эхинококкоза народная медицина без операции бессильна, так как нет таких средств, которые бы «рассасывали» эхинококковые или альвеококковые кисты.
Однако средства народной медицины можно использовать в качестве профилактики рецидивов после операции или при множественном эхинококкозе, когда хирургическое лечение не представляется возможным.
Для этого используют различные растительные ингредиенты, обладающие противоглистным действием, а также содержащие необходимые вещества для восстановления в послеоперационном периоде.
Средства народной медицины против эхинококка:
1. Полынь: высушить траву и измельчить, принимать от одной щепотки, постепенно увеличивая дозу до четверти столовой ложки, 1 раз в день ежедневно, всего 3 недели; обильно запивают водой, после рекомендован прием полыни 1 раз в неделю на протяжении нескольких лет.
2. Цедра лимона + имбирь в соотношении 1:1, высушить и измельчить, размешать, перед приемом смесь залить 50,0 мл воды или молока, пить утром натощак ежедневно.
3. Лимон + чеснок +мед: 1 лимон измельчить, добавить пару головок измельченного чеснока и 10 мл меда, залить все это 1000,0 мл воды, принимать по 30,0 мл натощак ежедневно, лечение длительное.
4. Настой пижмы (нельзя беременным): 1 столовую ложку травы залить 200,0 мл кипятка и настоять 4 часа, принимать по 10 мл 4 раза в сутки за 15 минут до еды, курс лечения – 1 неделя.
5. Горошек черного перца: по 1 горошку принимать ежедневно утром натощак, запивая стаканом воды.
6. Полынь + пижма + полынь: взять равные порции трав, высушить и измельчить, принимать по 1 чайной ложке натощак, запивая стаканом жидкости на протяжении 10-ти дней, далее курс повторять каждые несколько месяцев.
Передается ли эхинококк от человека к человеку?
Человек заражается эхинококком при контакте с больными животными и употреблении зараженных продуктов питания (как мясных, так и растительных).
Человек в цепи жизнедеятельности эхинококка является промежуточным хозяином. В этом плане человек стоит на одной нише со свиньями, овцами и другими травоядными животными. Промежуточный хозяин нужен для гельминта только для созревания личинок. Созревшие личинки попадают в организм окончательного хозяина (собак, кошек, волков и других хищников) после поедания ими мяса или внутренних органов больных животных. Человек не поедает себе подобных (по крайней мере, в современном цивилизованном обществе), поэтому он является тупиком биологической цепочки для развития эхинококка. То есть человек не может заразиться от человека бытовым и контактным путем.
Теоретически, от человека, больного эхинококком, имеет минимальный риск заразиться хирург во время проведения операции или патологоанатом при вскрытии трупа, страдавшего эхинококкозом. Это может произойти при несоблюдении врачами элементарных правил гигиены, что в принципе является нонсенсом.
Бывает ли эхинококк у детей? Каковы признаки, диагностика и лечение эхинококкоза в детском возрасте?
Дети также болеют эхинококкозом, причем риск заболеть глистными инвазиями у них намного выше. Ведь малыши очень любят поиграться и поцеловаться с кошечками и собачками, поесть прямо с грядки и ужасно не любят мыть руки по поводу и без повода.
Другой вопрос, когда выявляется заболевание, ведь эхинококковая киста растет медленно, годами, а иногда и десятками лет, при этом симптомы заболевания часто отсутствуют, поэтому эхинококкоз больше выявляют у детей подросткового возраста и молодых людей. В детском возрасте эхинококковые кисты выявляют, в большинстве случаев, как случайную находку (рентгенограмма по поводу положительной пробы Манту, пневмонии, УЗИ живота при подозрении на дискинезию желчевыводящих путей и так далее).
Также выявляют эхинококкоз при серологических исследованиях крови при подозрении на другие глистные инвазии (лямблиоз, аскаридоз, токсокароз и прочие). А в стандартную планшетку входят и исследования на эхинококк. При выявлении антител к эхинококкам проводят дополнительные инструментальные исследования печени, легких, головного мозга и других органов.
Признаки и симптомы эхинококкоза у детей:
- плохой аппетит, как результат потеря массы тела;
- слабость, отставание в учебе, нарушение концентрации внимания;
- субъективный признак: скрип зубами во сне;
- беспокойство, раздражительность, психическое возбуждение у ребенка без причин;
- часто выявляют и другие виды глистов (острицы, лямблии, аскариды);
- боли в животе, чаще в правом подреберье, тошнота, рвота, нарушение стула (понос или запор);
- желтушность кожных покровов, возможны разнообразные высыпания;
- сухой кашель, чаще по ночам;
- одышка, боли в грудной клетке – при эхинококкозе легких;
- сильные головные боли (при локализации кисты в головном мозгу);
- повышение количества эозинофилов в общем анализе крови и уровня иммуноглобулина Е в крови;
- при разрыве кист общее состояние резко ухудшается, повышается температура тела, появляется резкая одышка, слабость, возможно кровохарканье, в тяжелых случаях при альвеококкозе печени развивается печеночная недостаточность.
Принципы диагностики эхинококкоза у детей такие же, как и у взрослых:
- анализ крови на антитела к эхинококку;
- УЗИ брюшной полости и почек;
- рентгенограмма органов грудной клетки;
- компьютерная томография печени, головного мозга и других органов, в зависимости от клиники заболевания;
- клинические анализы крови и мочи, печеночные пробы, биохимия крови и так далее.
Лечение эхинококкоза в детском возрасте, как и у взрослых, чаще всего хирургическое с удалением кист или их вскрытием, изъятием содержимого и промывания эхинококковых кист. Также назначаются противогельминтные препараты: Мебендазол, Альбендазол и их производные в течение длительного периода (до 10 месяцев) согласно индивидуальным схемам.
Восстановление в послеоперационном периоде у детей происходит даже легче, чем у взрослых, так как у них более развиты компенсаторные механизмы и регенеративные и заживляющие способности.
Как выглядит эхинококк (фото)?

Фото: Послеоперационный материал (макропрепарат) удаленной альвеококковой кисты огромных размеров.

А так выглядит эхинококк с яйцом под микроскопом.

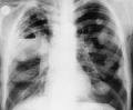
Фото: обзорная рентгенограмма органов грудной клетки больного эхинококкозом. В верхней доле левого легкого округлая тень с просветлением в центре. Рентгенологическая картина очень схожа с картиной инфильтративного туберкулеза легких с деструкцией легочной ткани (каверной). Без дополнительных исследований не разобраться. Часто эхинококк обнаруживают во время операции по поводу туберкулеза легких.

Срез компьютерной томографии печени с эхинококковой кистой.

А так выглядят опустошенные эхинококковые кисты, как видно, стенки кисты очень толстые, а сами кисты крупных размеров. Поэтому единственным способом лечения эхинококкоза является хирургический метод, у организма и лекарственных средств нет столько возможностей, чтобы способствовать рассасыванию данных образований.


А так выглядит печень больного эхинококкозом животного. Обнаруживши такую печень, ее ни в коем случае нельзя готовить и употреблять в пищу, а также кормить домашних животных, это наиболее частая причина заражения человека, собак и кошек эхинококком.
Что делать, если при исследовании на глисты выявили положительные антитела к эхинококку, а симптомов заболевания нет?
Как уже было сказано, от момента заражения яйцами эхинококка до появления первых симптомов заболевания проходит не один год. А вот иммунная система реагирует выделением антител в первые месяцы после попадания паразита в печень. Поэтому могут выявляться антитела к эхинококку еще до проявления симптомов, и даже до формирования эхинококковой кисты. В такой ситуации антитела могут быть выявлены при серологическом обследовании на основные виды гельминтов, к которым относятся и эхинококки, в связи с различными показаниями.
Показания к проведению серологического исследования на глисты:
- выявление яиц любых глистов в кале или соскобе;
- оценка эффективности лечения по поводу эхинококкоза и наблюдение после излечения;
- длительная эозинофилия (повышение уровня эозинофилов более 6% в общем анализе крови);
- дефицитные анемии (низкий уровень гемоглобина);
- любые заболевания желчевыводящей системы и кишечника;
- плохой аппетит, недостаточный рост и малый вес ребенка;
- раздражительность, утомляемость, скрип зубами во сне без наличия на то причин;
- зуд в области анального отверстия или половых губ, длительные инфекции мочевыводящих путей (уретриты, вульвиты и прочее);
- проявления аллергии без явного внешнего аллергена (длительный кашель, насморк, коньюктивит, приступы спазма бронхов, высыпания на коже и так далее);
- пневмонии, не поддающиеся стандартной антибактериальной терапии более 3-х недель, и некоторые другие индивидуальные показания.
Что указывает на положительный результат наличия антител к эхинококкам?
Наличие антител, а именно иммуноглобулинов G, к эхинококку в титре более чем 1:100. В некоторых лабораториях, зависимо от методик проведения исследования контрольные значения нормы могут отличаться, о чем будет указано в результатах анализа.
Что делать, если выявили антитела к эхинококку, а симптомов, указывающих на наличие кист, нет?
1. Обратиться к инфекционисту или паразитологу.
2. Пройти дополнительное исследование:
- УЗИ брюшной полости и почек;
- рентгенография органов грудной клетки;
- общие анализы крови и мочи;
- кал и соскоб на наличие яиц глистов;
- при необходимости компьютерная томография головы и так далее.
3. При выявлении эхинококковых кист назначается соответствующее лечение и решается вопрос о возможности оперативного вмешательства.
4. Если при всех исследованиях эхинококковую кисту выявить не удалось, то это может указывать на наличие паразита еще до образования видимых кист. В таком случае рекомендовано пройти курс лечения Мебендазолом и Альбендазолом, и повторить анализ через 2 месяца.
5. Положительный результат на антитела к эхинококку может быть ложноположительным в некоторых ситуациях:
- заболевания, сопровождающиеся некрозом (разрушением) каких-либо тканей, это туберкулез с образованием каверн, цирроз печени, раковые опухоли, инфаркт миокарда и другие патологии;
- наличие другой глистной инвазии (цистицеркоз, описторхоз, лямблиоз и так далее);
- тяжелые аллергические реакции.
Если на результат анализа повлияли данные факторы, то необходимо повторить серологические исследования к эхинококку через 2-3 месяца.
Как распознать эхинококк у своего домашнего питомца (у собаки, кошки, овцы, свиньи)?
Самым опасным источником эхинококкоза для человека являются домашние животные, причем как в сельской местности, так и в крупном городе. И сколько бы мы не выявляли и не лечили эхинококкоз у себя или своих близких, источник под боком в виде животных будет способствовать все новым и новым случаям заболевания, и даже к множественному эхинококкозу, что лечить очень тяжело. Поэтому очень важно вовремя обследовать и выявить паразитов у своих домашних животных, еще до выявления заболевания у человека.
Эхинококкоз у собак и кошек
Кошки и собаки являются окончательными хозяевами эхинококка, взрослая особь паразита (эхинококковый цепень) живет в кишечнике животных и выделяет в окружающую среду с калом свои яйца. В результате яйца эхинококка находятся на шерсти животных, в его испражнениях и везде, где обитает питомец.
Симптомы эхинококкоза у собак и кошек:
- плохой аппетит;
- нарушение стула в виде поноса;
- потеря массы тела животного;
- шерсть у таких животных тусклая, массивно лезет;
- из игривых животных они стают вялыми, утомляемыми, сонливыми;
- кошки и собаки начинают интенсивно вылизывать область анального отверстия, трутся этой областью о землю или стену;
- в общем анализе крови повешено количество эозинофилов, понижен уровень гемоглобина и эритроцитов.
Эхинококкоз у овец, свиней и другого скота
Овцы, свиньи, коровы и другой скот, как и человек, являются промежуточными хозяевами эхинококка, проявления данного заболевания очень схожи с таковыми у людей. То есть у скота формируются эхинококковые кисты, чаще всего в печени и легких.
Симптомы эхинококкоза у овец, коров, свиней и другого скота:
- часто наблюдается бессимптомное течение заболевания, что связано с забоями скота в возрасте 1-2 лет, за это время эхинококковые кисты не достигают больших размеров и, следовательно, не вызывают симптомов;
- падение скота – животные умирают, и только при вскрытии их туш можно выявить эхинококковые кисты;
- кашель, одышка (при эхинококкозе легких);
- отказ от еды, потеря массы тела, поносы (при эхинококкозе печени);
- положительная внутрикожная проба Казони (специальный диагностический тест на выявление антител к эхинококку).
При забое и употреблении мяса таких животных необходимо тщательно просматривать внутренние органы, особенно печень и легкие. Насторожить должно изменение их цвета, размера, сморщенность, наличие различных пузырьков и других включений. Подозрительные органы необходимо утилизировать. Мясо таких животных, прежде чем попадет на стол, должно проходить тщательную термическую обработку. Во время разделывания туши необходимо соблюдать правила личной гигиены, тщательно вымыть руки, провести тщательную обработку досок, ножей, топоров и других разделочных предметов.

