То, что мы называем «подвернул ногу», на языке врачей звучит, как «травма голеностопного сустава». Это одно из самых распространенных повреждений опорно-двигательного аппарата. Ведь именно в этом месте нога наиболее уязвима, потому что на этот сустав приходится самая большая нагрузка, в 7 раз превышающая вес тела.
15-20% всех обращений к травматологам связано с этой травмой. Опасность травмы голеностопного сустава в том, что она может привести к длительной потере трудоспособности и даже к инвалидности.
Около 50-60% случаев повреждения голени заканчиваются переломом голеностопного сустава. Когда человек подвернул ногу, то 20-25% травм связаны с повреждением связок, 3-5% приходятся на вывихи и подвывихи.
Чаще всего, в 75% случаев повреждения случаются, если повреждающая сила поворачивает стопу кнаружи. 25% травм происходит, если стопа поворачивается кнутри в вилке голеностопного сустава.
Информация в статье носит справочный характер и не заменяет консультацию врача. Перед применением рекомендаций обратитесь к специалисту.
Подвернуть ногу можно не только занимаясь спортом. Спортивные травмы – это только одна шестая часть повреждений. Остальные случаи происходят в быту, буквально на ровном месте. Подвернуть ногу можно при ходьбе, беге, прыжках, даже с небольшой высоты.
Преимущественно с этой проблемой сталкиваются женщины из-за их пристрастия к обуви на высоких каблуках. У людей старше 50-ти лет неосторожные движения чаще оканчиваются травмами. Это связано с меньшей эластичностью связок и хрупкостью костей в этом возрасте. Количество обращений к врачу увеличивается в зимний период, когда травматизм повышается из-за гололеда. Располагающими факторами также являются: врожденные пороки развития голеностопа, слабость связочного аппарата, гиподинамия, лишний вес.
- Анатомия голеностопного сустава
- Какими могут быть последствия, когда подвернул ногу
- Разрыв связок голеностопа
- Симптомы разрыва связок
- Первая помощь при травме
- Диагностика разрыва связок голеностопа
- Лечение разрыва связок
- Растяжение связок голеностопа
- Симптомы
- Первая помощь при растяжении связок голеностопа
- Диагностика растяжения связок голеностопного сустава
- Лечение растяжения связок
- Перелом костей голеностопа
- Симптомы перелома костей голеностопного сустава
- Первая помощь при переломе голеностопного сустава
- Диагностика перелома голеностопного сустава
- Лечение перелома
Анатомия голеностопного сустава
Голеностопный сустав – блоковидный сустав, соединяющий голень со стопой. Его прочность и подвижность обеспечивают кости, связки и мышцы.
- Кости:
- малоберцовая;
- большеберцовая;
- таранная.
Суставные поверхности костей голени (малоберцовой и большеберцовая) и обхватывают таранную кость наподобие вилки. Снизу этот блок опирается на пяточную кость. Суставные поверхности костей окружены двухслойной суставной сумкой. Для облегчения скольжения в суставе содержится небольшое количество синовиальной жидкости.
- Связки – прочные пучки соединительных волокон, которые обеспечивают правильное положение костей, относительно друг друга. Их разделяют на три группы.
- Наружная группа связок. Они удерживают таранную кость от бокового смещения. Проходят по наружной поверхности лодыжки по наружной стороне сустава. Сустава пяточно-малоберцовая, передняя и задняя таранно-малоберцовая связки. Именно эти наружные связки травмируются чаще всего.
- Внутренняя группа связок. По внутренней стороне сустава проходит дельтовидная связка. Она соединяет между собой лодыжку и кости стопы.
- Связки межберцового синдесмоза. Третья группа связок соединяет между собой берцовые кости, препятствует чрезмерному вращению стопы внутрь и наружу. К ней относятся: межберцовый синдесмоз, задняя поперечная, задняя и передняя межберцовые связки.
У человека, который подвернул ногу, чаще всего страдает наружная группа связок, а именно передняя таранно-малоберцовая связка.
- Сухожилья – пучки соединительной ткани, которые прикрепляют мышцы к костям. В состав голеностопного сустава входит ахиллово сухожилье.
Ахиллово сухожилье самое мощное в теле человека. Оно прикрепляет к пяточной кости 3 мышцы голени, обеспечивая сгибание стопы. Ахиллово сухожилье проходит по задней стороне сустава, оно подвергается большим нагрузкам и поэтому часто травмируется.
- Мышцы голеностопного сустава
Мышцы сгибатели стопы. Проходят по задней поверхности сустава.
- задняя большеберцовая;
- трехглавая мышца голени;
- длинный сгибатель большого пальца стопы;
- подошвенная;
- длинный сгибатель всех остальных пальцев стопы.
Мышцы разгибатели стопы. Расположены на передней поверхности голеностопного сустава.
- длинный разгибатель большого пальца;
- длинный разгибатель других пальцев стопы;
- передняя большеберцовая.
Мышцы голеностопного сустава травмируются редко. Исключение составляет открытый перелом голеностопа.
- Сосуды голеностопного сустава. Кровоснабжение сустава обеспечивают артерии: передняя и задняя большеберцовая и малоберцовая. Они многократно разветвляются, снабжая кровью мышцы, связки и капсулу сустава. Отработанную кровь от сустава отводят вены. Ток лимфы происходит по лимфатическим сосудам.
- Нервы голеностопного сустава. За иннервацию голеностопа отвечают два нерва: большеберцовый и глубокий малоберцовый нерв. Раздражение их нервных окончаний вызывает болевой синдром при травмах.
Какими могут быть последствия, когда подвернул ногу
Последствия травмы голеностопа зависят от того, какие структуры сустава повреждены.
- Растяжение связок голеностопного сустава – микроскопические повреждения отдельных коллагеновых волокон, из которых состоит связка. При растяжении повреждения происходят на уровне клеток. Чаще всего растяжение появляется, после того, как пятка подвернулась вовнутрь. Человек может ходить, но испытывает при этом боль. Благодаря хорошей способности клеток к регенерации, через 8-10 дней связка восстанавливается. Такая травма хоть и болезненна, но при правильном лечении проходит бесследно через 2-3 недели.
- Надрыв связок голеностопного сустава – неполный разрыв одной или нескольких связок. Связка частично разрывается, но при этом продолжает выполнять свою функцию. Эта травма сопровождается сильной болью и нестабильностью сустава. Человек может наступать на ногу, но испытывает острую боль. Выздоровление наступает через 3-4 недели, при условии правильного лечения.
- Разрыв связок голеностопного сустава – полный разрыв связки или отрыв ее от кости в месте крепления. Во время травмы слышен хлопок разрывающейся связки. После этого человек испытывает сильную пронизывающую боль при попытке встать на ногу. Необходима гипсовая повязка, в тяжелых случаях операция. Лечение длится 6-8 недель.
- Подвывих голеностопного сустава – при отрыве наружных связок таранная кость может смещаться относительно костей лодыжки. Подвывих от вывиха отличается углом смещения таранной кости, определяемом на рентгеновском снимке.
- Вывих голеностопного сустава – повреждение целостности сустава, при котором нарушается структура суставной капсулы. Вывих возможен только при разрыве связки. Угол смещения таранной кости достигает 30-40 градусов. Лечение продолжается 8-10 недель. Опасность этой травмы в том, что при неправильном лечении и при преждевременном снятии гипсовой повязки может развиться привычный вывих голеностопа.
- Перелом костей голеностопа – перелом костей, составляющих голеностопный сустав. Эта травма часто сопровождается вывихом сустава и частичным или полным разрывом связок. Перелом может произойти при падении с высоты на прямые ноги, беге, прыжках. Механизм – подворачивание стопы или внешнее воздействие, то есть удар. Реабилитация перелома без смещения осколков занимает 4-6 недель. Лечение перелома обеих костей лодыжки со смещением может занять более 4 месяцев.
Разрыв связок голеностопа
Связки предохраняют суставные поверхности костей от повреждений, укрепляют сустав и обеспечивают его подвижность. Но одновременно они ограничивают объем движений, поэтому стопа может двигаться только в одной плоскости.
Если в силу внешних причин (резкое торможение при беге, ходьба по неровной поверхности) стопа совершает движение не свойственное ей, то связки испытывают большое напряжение. Они не могут растягиваться и поэтому на их волокнах образуются разрывы. От величины разрыва зависит тяжесть повреждения.
Симптомы разрыва связок
- Отечность. Из-за отека пораженная конечность в области голеностопа значительно увеличивается в размере. Причиной тому – избыточное скопление жидкости в межклеточном пространстве. Это свидетельствует о воспалении, нарушении кровообращения и оттока.
- Кровоподтек. Одновременно с разрывом связок рвутся и кровеносные капилляры, питающие их. Кровь выходит из сосудов и пропитывает ткани. На коже появляются багрово-синие пятна.
- Трудности при ходьбе. На поврежденную ногу больно ступать – при травме повреждаются нервные окончания, иннервирующие сустав. Человек, который подвернул ногу и порвал связки, теряет способность передвигаться самостоятельно.
- Нарушение движения и нестабильность в суставе. Связки ограничивают движения в суставе, что придает ноге устойчивость при ходьбе. При разрыве связок стопа может двигаться в разных плоскостях, что приводит к повторным вывихам.
Первая помощь при травме
- Обеспечить покой. Не наступайте на больную ногу. Сядьте или лягте, придав конечности возвышенное положение. Подложите под ногу подушку, чтобы стопа оказалась выше уровня сердца. Такое положение помогает уменьшить отек околосуставных тканей.
- Приложить холод. Емкость с колотым льдом оборачивают полотенцем и прикладывают к голеностопу. Лед можно заменить пакетом с замороженными ягодами, бутылкой с холодной водой, мокрым полотенцем. Холод держат 20 минут. Процедуру повторяют каждые 3-4 часа на протяжении 2-х дней. Холод вызывает сужение сосудов, помогает уменьшить отек и снять боль.
- Примите нестероидные противовоспалительные препараты: нимесулид, парацетамол, ибупрофен или анальгин для облегчения боли. Местно можно использовать охлаждающие мази с Диклофенаком.
-
Тугая повязка. Для предупреждения отека и фиксации сустава используют тугую восьмиобразную повязку. Первый тур должен быть возле пятки. Повязку накладывают таким образом, чтобы каждый следующий слой на 4 см накрывал предыдущий. - Обездвижить сустав. Если появилась патологическая подвижность и стопа двигается из стороны в сторону, то ее необходимо зафиксировать. Для этого подойдет Г-образная шина из подручных материалов. К ней приматывают ногу с помощью бинта или шарфа.
- Обратитесь к травматологу. Он проведет обследование, определит, насколько серьезна травма и назначит соответствующее лечение.
Помните, что от того правильно ли оказана помощь зависит скорость выздоровления и подвижность сустава в будущем.
Диагностика разрыва связок голеностопа
Осмотр. При осмотре у травматолога выявляется:
- отек стопы и лодыжки;
- кровоподтек в месте разрыва связки;
- патологическая подвижность в суставе;
- резкая боль при прощупывании поврежденной связки;
- боль усиливается при воспроизведении действия, при котором получена травма;
- при кровоизлиянии в полость голеностопного сустава, суставная сумка наполняется кровью – гемартроз. При прощупывании чувствуются колебания жидкости внутри полости.
При осмотре врач одной рукой фиксирует нижнюю часть голени, а другой рукой смещает стопу вперед и в стороны. Для сравнения подвижности то же самое проделывают со здоровой ногой. Если в каком-то направлении больная нога двигается с большей амплитудой, это свидетельствует о разрыве связки.
Для уточнения диагноза врач назначает дополнительное обследование: УЗИ, рентген, КТ или ЯМР.
УЗИ (ультразвуковое исследование) позволяет увидеть связки, сухожилья и подробно изучить пораженный участок конечности. Недостаток этого метода, в том, что при УЗИ не видны следы перелома. Можно заметить лишь внешние очертания костей.
Показания:
- травма голеностопного сустава;
- отек;
- болезненность, ограничение движений;
- гематомы и новообразования в области голеностопа;
- наблюдение в ходе лечения.
Противопоказания отсутствуют.
При УЗИ выявляются такие признаки разрыва связок:
- Повреждения связок. Частичный или полный разрыв, окруженный скоплением жидкости;
- Продольные разрывы. Связки имеют вид гипоэхогенных участков, которые плохо отражают рентгеновские лучи;
- Скопление жидкости в синовиальном влагалище сухожилия;
- При полном разрыве связки образуется жидкостная гематома – скопление жидкости на ограниченном участке.
Оно имеет большие размеры и нечеткие границы. Это скопление жидкости плохо отражает УЗ-волны;
- Наличие избыточного количества жидкости в суставной сумке.
Рентгенография. На рентгеновском снимке видны трещины кости, переломы, смещение лодыжки. Но для оценки состояния мягких околосуставных тканей рентген неинформативен.
Показания: травмы голеностопа.
Противопоказания: при подозрении на перелом противопоказаний нет.
Признаки разрыва связок на рентгене:
- несоответствие суставных концов костей, их смещение вследствие разрыва связки;
- увеличение щели между таранной костью и берцовыми костями голени;
- увеличение объема мягких тканей.
Рентген делают в двух проекциях, это позволяет определить угол между костями голени и таранной костью. Если есть необходимость, то делают снимок с нагрузкой. Для этого, после обезболивания, стопе предают такое положение, чтобы напрячь исследуемые связки.
КТ компьютерная томография основана на рентгеновском излучении. При ЯМР (ядерный магнитный резонанс) или МРТ – используется радиоволновой диапазон. Оба эти метода дают послойное изображение пораженного сустава.
Показания:
- травма голеностопного сустава;
- подозрение на скрытый перелом или наличие новообразований;
- болезненность и нарушение подвижности голеностопа;
- хронические боли в голеностопном суставе;
- гематомы;
- при планировании операции.
Противопоказания к ЯМР:
- беременность;
- наличие кардиостимулятора;
- импланты которые подвержены действию магнитного поля;
татуировки, выполненные с помощью красителей, содержащих титан и металлические соединения.
Абсолютных противопоказаний к КТ нет.
С помощью КТ и ЯМР выявляют:
- разрыв связок и сухожилья;
- отрыв связки от кости;
- гематому в месте разрыва связки;
- разрыв суставной капсулы;
- повреждения костей.
Лечение разрыва связок
Лечение без операции
При разрыве связок голеностопного сустава обязательно необходима квалифицированная медицинская помощь. Лечение тяжелых травм проводят в травматологическом отделении больницы. Самолечение разрыва связок может вызвать нарушение функции голеностопного сустава и стать причиной инвалидности.
| Методика | Механизм лечебного действия | Как назначается | Эффект от лечения |
| Удаление крови из суставной сумки. | Кровь в суставной сумке затрудняет движение и может вызвать нагноение. Поэтому ее удаляют при помощи шприца. В полость вводят раствор обезболивающих средств. | Инъекция 10—15 мл 1—2% раствора новокаина или тримекаина в полость сустава. | Уменьшается отек и обезболивается сустав. |
| Гипсовая шина первые 2 недели. В дальнейшем ее заменяют жесткой лангетой, которую можно снимать для проведения процедур. | Гипс лишает сустав подвижности и снижает нагрузку на поврежденные связки. Это дает им возможность самостоятельно срастись. | Гипсовую шину накладывают от пальцев до коленного сустава на 2-3 недели. Гипс снимают после того, как спадет отек и исчезнут боли. | Происходит самостоятельное восстановление волокон связки и ее разорванные концы срастаются. |
| Артрадол | Обладает противовоспалительным и обезболивающим свойством, способствует скорейшему восстановлению соединительной ткани. | 0,1 г препарата вводят внутримышечно через день. Курс лечения 25-35 инъекций. | Ускоряет восстановление связок и сухожильев. Улучшает подвижность сустава. |
| Препараты кальция Кальция глюконат Кальцимин |
Способствуют построению костной ткани, укрепляют стенки сосудов, регулирует их проницаемость | По 1 таблетке 2 раза в сутки длительно | |
| Хондропротекторы: Алфлутоп Терафлекс |
укрепляют опорно-двигательную систему и делают связки более эластичными. |
Алфлутоп по 1 мл внутримышечно 20 дней. Терафлекс адванс по 2 капсулы 3 раза в день 20 дней. |
Обеспечивается питание хряща и связок. Ускоряется регенерация повреждений. |
| Нестероидные противовоспалительные средства Ибупрофен, кеторолак, нимесулид |
Средства угнетают синтез простагландинов в организме. Эти вещества ответственны за появление боли, отека и развития воспаления. | Обычно препарат принимают 2 раза в сутки. Таблетки принимают утром и вечером после еды. | Препараты обезболивают и снимают отек в пораженном суставе. |
| Нагрузка на ногу | С первого дня необходимо двигать пальцами ноги и сгибать ногу в коленном суставе. Упражнения не дают мышцам ослабнуть и улучшают кровообращение. | Необходимо совершать движения пальцами поврежденной ноги и в коленном суставе. После того, как гипс высохнет – через 2-3 дня рекомендуют ходить, опираясь на больную ногу, чтобы не допустить атрофии мышц. | Мышцы поддерживаются в тонусе, что ускоряет выздоровление и сокращает реабилитацию после снятия шины. |
| УВЧ-терапия, СВЧ, магнитотерапия | Улучшает кровообращение и питание тканей, снимает воспаление. Способствует рассасыванию отеков и кровоизлияний. | Назначается с 3-го дня после наложения шины ежедневно или через день. Курс лечения 7-10 сеансов. | Снимает воспаление и ускоряет регенерацию связок. |
| Теплые ванночки | Тепло расширяет сосуды и способствует притоку крови к суставу, повышению эластичности связки. | Температура воды 36-38 градусов. Ванночки делают 2 раза в день после снятия гипсовой шины. | Способствует скорейшему восстановлению функции сустава. |
| Тугое бинтование | Тугая повязка способствует стабилизации сустава, пока связки еще не окрепли. | Обычным бинтом (не эластичным) фиксируют сустав. Для этого накладывают 8-миобразную повязку. Ногу бинтуют утром, а снимают повязку на ночь. По мере ослабления повязку подтягивают. | Фиксация сустава для профилактики вывиха. |
Необходимо на протяжении 6 месяцев носить обувь, которая бы хорошо поддерживала сустав. Она должна отвечать следующим требованиям:
- каблук высотой до 2 см;
- высокий твердый задник;
- жесткий супинатор;
- специальная подкладка под пятку для устойчивости.
Операция при разрыве связок голеностопа
Показания:
- полный разрыв одной или нескольких связок голеностопного сустава;
- открытая травма с разрывом связок;
- разрыв, который сопровождается массивным кровоизлиянием в сустав и окружающие ткани.
Противопоказания:
- старческий возраст;
- тяжелые патологии сердца, системы кроветворения, легких, печени и почек;
- шоковое состояние больного.
Малотравматичная операция при разрыве связок голеностопного сустава проводится только первые 3-7 суток после травмы. Хирурги производят сшивание связок под контролем артроскопа. Для этого через небольшие отверстия под кожу вводят хирургический инструмент и миниатюрную камеру. В этом случае удается избежать разреза сустава, благодаря чему период реабилитации сокращается до 3-х недель.
Операция по традиционной методике проводится через 6-7 недель после травмы, когда удалось снять воспалительный процесс. В этот период связка лучше срастается, реже возникают осложнения операции в виде контрактур.
Методика: хирург делает надрез над разорванной связкой, длинной 5-7 см. Удаляет поврежденные ткани и сшивает связку или подшивает ее к кости.
Реабилитация после открытой операции занимает около 6-8 недель. Для стабилизации сустава накладывают гипс или жесткий фиксатор связок голеностопа.
Реабилитация после операции включает в себя:
- прием болеутоляющих и противовоспалительных средств;
- обогащенную белком диету для скорейшего восстановления связок и мягких тканей;
- физиотерапию – УВЧ, магнитотерапию, индукционную терапию;
- лечебную физкультуру;
- массаж.
Если у вас произошел разрыв связок голеностопного сустава, то вы потеряете трудоспособность на 2-2,5 месяца.
После снятия гипса, возможно нога отечет, и появятся боли. Это связано с увеличением нагрузки на сустав. В этом случае наружно используют Дип Релиф гель.
В последнее время используются ортезы, которые можно носить самостоятельно или с обувью. Они разгружают сустав и обеспечивают ему боковую стабильность.
Ежедневно делайте ванночки с морской солью или отваром хвои. Температура воды 36-37 градусов, продолжительность 20 минут.
Утром и вечером самостоятельно делайте массаж. Осторожно растирайте, разминайте и пощипывайте мягкие ткани вокруг сустава. Для улучшения кровообращения и восстановления работы поврежденных сосудов используют Троксевазин гель, Хирудоид. Продолжительность 15 минут. Конечно, наилучшим вариантом будет, пройти курс массажей у опытного специалиста-реабилитолога.
Гимнастика направлена на восстановление работы сустава. Во время выполнения упражнений возможны незначительные боли – это разрабатываются поврежденные ткани. Но не допускайте появления резкой боли.
Комплекс упражнений после разрыва связок:
- сгибание и разгибание стопы;
- вращение стопы;
- подъем на носки;
- приседание с фитболом за спиной;
- ходьба приставным шагом;
- катание массажного мячика по полу ступней больной ноги.
При правильно оказанной первой помощи и грамотном лечении разрыв связок голеностопа заканчивается полным выздоровлением через 2-2,5 месяца.
Растяжение связок голеностопа
Растяжение связок голеностопного сустава – представляет собой частичный разрыв связки. На самом деле связка не может растянуться. Ее длина несколько увеличивается, только если разорвались отдельные волокна связки.
Симптомы
- резкие боли в голеностопном суставе при попытке стать на ногу и при прощупывании пораженной связки;
- боль и нестабильность сустава при ходьбе;
- усиление боли при разгибании стопы;
- отек сустава;
- плохая подвижность сустава;
- покраснение и кровоподтек над пораженной связкой.
Первая помощь при растяжении связок голеностопа
- Обеспечить покой. Усадите пострадавшего. Помогите снять обувь;
- Приложить лед. Подойдет и пластиковая бутылка с холодной водой или пакет замороженных ягод. Лед заворачивают в ткань и прикладывают на 20 минут, чтобы вызвать сужение сосудов. Таким образом удается уменьшить отек околосуставных тканей;
- Нанести обезболивающую мазь. Обезболить и предотвратить отек помогают Доллобене, мази с Индометацином и Вольтареном, аэрозоль Хлорэтил. Не стоит использовать обезболивающие согревающие мази. Сразу после травмы они усиливают отек и ухудшают состояние.
- Наложить тугую повязку. С помощью восьмиобразной повязки стопу фиксируют под прямым углом к голени. Таким образом придают связкам физиологичное положение и уменьшают кровоток на поврежденном участке. Это помогает предотвратить образование отеков. При этом необходимо следить, чтобы стопа не побледнела. Это свидетельствует, что повязка наложена слишком туго. Повязку накладывают на 2-3 часа, чтобы не произошло передавливание сосудов;
- Доставить пострадавшего в медицинское учреждение для оказания квалифицированной медицинской помощи.
Диагностика растяжения связок голеностопного сустава
Осмотр травматологом. При растяжении связок врач выявляет симптомы повреждения голеностопа:
- отек голеностопного сустава;
- покраснение или кровоподтек на месте повреждения связки;
- боль в ноге усиливается при выполнении действия повлекшего за собой травму;
- усиление боли при прощупывании поврежденной связки.
Рентгенография голеностопного сустава проводится в прямой и боковой проекции. Желательно предварительно сделать обезболивание. Это позволяет фиксировать ногу в нужном положении и сделать рентген с нагрузкой – выгнуть стопу, чтобы лучше рассмотреть сустав.
Показания:
- при всех повреждениях и травмах голеностопа;
- нарушение функции и внешние изменения сустава;
- подозрение на перелом костей.
Противопоказания:
- беременность. Однако если есть подозрение на перелом, то тело женщины защищают экраном. Это позволяет не облучать плод.
Признаки растяжения связок на рентгене:
- смещение таранной кости;
- увеличение щели между таранной костью и костями голени;
Сами связки на рентгене не видны. Врач судит об их состоянии по расположению костей.
УЗИ позволяет оценить состояние мягких тканей. Поэтому при исследовании связок, сухожильев и суставной сумки УЗИ более информативно.
Показания:
- травмы голеностопного сустава;
- хронические боли;
- нарушения подвижности сустава.
Противопоказания отсутствуют.
Признаки растяжения:
- смещение таранной кости;
- скопление жидкости в месте повреждения связки;
- разволокнение связки на поврежденном участке;
- утолщение связки за счет отека, что проявляется в снижении эхогенности (ухудшении отражения УЗ-волн);
- изменение нормального направления хода волокон связки.
ЯМР и КТ. Магнитно-резонансная томография (МРТ или ЯМР) позволяет получить послойное изображение всех органов и тканей с помощью ядерного магнитного резонатора. Компьютерная томография (КТ) это множество двухмерных рентгеновских снимков, которые объединены с помощью компьютера. КТ более информативна для изучения состояния костей.
Показания:
- подозрение на наличие перелома;
- необходимость в послойной визуализации мышц, костей, связок и сухожилий;
- боли в покое и при движении;
- воспалительные заболевания сустава;
- не удается разобрать характер изменений на рентгенограмме;
- пред- и послеоперационный контроль.
Противопоказания к МРТ:
- беременность;
- психические заболевания;
- наличие имплантантов.
Абсолютных противопоказаний к КТ нет.
Признаки растяжения связок:
- разволокнение участка связки;
- скопление жидкости на поврежденном участке связки;
- разрыв отдельных волокон связки.
Лечение растяжения связок
| Метод лечения | Механизм лечебного действия | Как назначается | Эффект от лечения |
Обезболивающие и противовоспалительные мази и гели:
|
Нестероидные противовоспалительные средства, входящие в состав этих мазей, проникают через кожу. Эти вещества блокируют нервные рецепторы и передачу болевых импульсов в мозг. Также мази уменьшают отек и воспаление в пораженном участке. | Небольшое количество мази или геля (столбик 2 см) наносят тонким слоем на пораженный сустав. Осторожно распределяют массажными движениями. Процедуру повторяют 2-4 раза в день. Продолжительность лечения устанавливают индивидуально. Назначают в первые дни после травмы. Не наносить на поврежденную кожу и открытые раны. | Препараты обезболивают и уменьшают отек. |
|
Препараты уменьшают концентрацию в крови простагландинов, которые вызывают воспаление и боль. |
Препараты принимают внутрь 2-3 раза в день после еды. Доза не должна превышать 100мг/сутки. Длительность лечения 3-5 дней. |
Обезболивают и уменьшают признаки воспаления. |
| Обездвиживание сустава | Фиксация сустава позволяет уменьшить нагрузку на травмированную связку во время ходьбы. Повышает устойчивость сустава. | Бинтование эластичным бинтом каждое утро на срок 5-10 дней. Можно использовать ортезы. Их подбирают индивидуально. |
Уменьшает боль при ходьбе. |
| Физиотерапия УВЧ-терапия, магнитная терапия, ультразвук с Фастум гелем |
Улучшает тонус сосудов, кровообращение и питание тканей, повышает обмен веществ. | Назначают с 5-7 дня после травмы. Процедуры проводят ежедневно или через день. Курс лечения 10-15 процедур. При необходимости курс повторяют через 6 месяцев. | Устраняет отечность, боль и воспаление. |
|
Средства обезболивают, активируют кровообращение и усиливают приток крови к пораженному участку. За счет этого улучшается питание тканей и ускоряется восстановление поврежденной связки. | Втирают тонким слоем в кожу 2-3 раза в день. Назначают с 5-го дня после травмы, когда сошла гематома. Иначе эти средства могут усилить отек. | Устраняют отек, снимают боль, ускоряют регенерацию связок. |
|
Тепло вызывает расширение сосудов и прилив крови к пораженному участку. Благодаря этому ускоряется заживление поврежденной связки. | Процедуру проводят ежедневно на протяжении 30 минут. Курс лечения состоит из 20 сеансов. Прогретый песок можно использовать в домашних условиях. Его прогревают до 40 градусов, насыпают в плотный полотняный мешочек и прикладывают к ноге на 30 мин. |
Процедуры снимают боль и воспаление, способствуют регенерации. |
| Лечебная физкультура | ЛФК увеличивает эластичность связок и подвижность сустава. Повышается прочность связок, и они надежно фиксируют кости сустава. | Начинают на 3-4 день после травмы. Вращение голеностопа вокруг своей оси.
|
Увеличивается подвижность и выносливость сустава. Укрепляются связки и мышцы. |
Растяжение связок голеностопа лечится консервативно. Операция в этом случае не требуется.
Перелом костей голеностопа
Перелом костей голеностопного сустава – сложная травма, которая возникает при воздействии внешней силы на сустав. Перелом может быть закрытым или открытым, когда в ране видны обломки костей. Последний считается более сложным, так как повреждены и кости и мягкие ткани.
Самым тяжелым считается перелом таранной кости из-за особенностей ее кровоснабжения. Он случается при падении с высоты на прямые ноги.
Симптомы перелома костей голеностопного сустава
- резкая боль в движении и в покое;
- невозможность стать на ногу;
- деформация сустава, изменение формы конечности;
- ненормальная подвижность конечности;
- выраженный отек;
- онемение конечности;
- невозможно пошевелить пальцами ноги.
Первая помощь при переломе голеностопного сустава
Первая помощь направлена на иммобилизацию конечности. Это необходимо сделать, чтобы избежать смещения обломков, которые травмируют мягкие ткани.
- остановить кровотечение. При открытом переломе сильное кровотечение останавливают с помощью жгута. Так как потеря большого количества крови страшнее, чем перелом. Если кровь вытекает под небольшим давлением, то выше перелома накладывают тугую повязку;
- не пытайтесь самостоятельно вправить сустав, удалить из раны обломки кости или посторонние предметы. Не исправляйте деформацию конечности. Это может вызвать сильное кровотечение;
- обработать рану. Кожу вокруг раны обрабатывают спиртовым раствором йода или перекисью и накладывают асептическую повязку;
- создание шины из подручных материалов: доски, палки, полоски плотного картона. Их приматывают бинтом по наружной и внутренней стороне ноги, фиксируя коленный и голеностопный суставы. Необходимо положить доску под заднюю поверхность ноги, чтобы предупредить ее сгибание. В крайнем случае, можно примотать больную ногу к здоровой конечности. Если есть возможность вызвать скорую, то не трогайте пострадавшую конечность. Предоставьте наложить шину медикам;
- шину накладывают на месте травмы и после этого транспортируют больного. Во время транспортировки нельзя опираться на поврежденную ногу, это может вызвать смещение обломков кости.
Диагностика перелома голеностопного сустава
Осмотр травматологом. Врач обращает внимание на такие признаки перелома:
- боль и припухлость в области лодыжки;
- деформация конечности;
- отек голеностопного сустава;
- багрово-синяя гематома в области лодыжки;
- мягкие ткани деревянистые на ощупь, лодыжка не прощупывается;
- попытки отвести стопу вызывают сильную боль;
- движения в суставе ограничены;
- сжатие средней трети голени вызывает сильные боли. Этот симптом вызван особенностью иннервации голеностопного сустава.
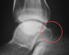
Рентгенография – основной метод диагностики переломов голеностопного сустава. Рентген делают в двух проекциях в передней и боковой. Это необходимо, чтобы не пропустить перелом.
Показания: все травмы голеностопного сустава.
Противопоказания: при подозрении на перелом абсолютных противопоказаний для проведения рентгенотерапии нет.
Признаки перелома голеностопа на рентгене:
- линия перелома на наружной, внутренней лодыжке или таранной кости. Линия может проходить горизонтально, вертикально или винтообразно;
- нарушение контура кости в месте перелома;
- смещение суставных концов кости вследствие перелома и разрыва связок;
- смещение осколков кости. Между фрагментами кости видны клиновидные щели;
- признаки вывиха стопы – смещение таранной кости по отношению к костям голени.
УЗИ. При переломах голеностопа УЗ-диагностика малоинформативная. Она позволяет увидеть только общие очертания костей.
КТ и МРТ (ЯМР)
В некоторых случаях на рентгеновском снимке плохо просматривается линия перелома. Тогда назначается компьютерная томография (КТ) или магнитно-резонансная томография (МРТ или ЯМГ). Эти методы позволяют получить послойное трехмерное изображение повреждений голеностопного сустава.
Показания:
- трудно диагностируемый перелом;
- подготовка к операции для выявления точного расположения осколков кости;
- контроль динамики лечения.
Противопоказания к ЯМР:
- кардиостимулятор;
- электронный имплантат среднего уха;
- металлические имплантаты или клипсы в сосудах;
- беременность;
- наличие татуировок выполненных с помощью металлических соединений.
Абсолютных противопоказаний к КТ нет.
Признаки перелома
- трещины в костях;
- гематома – скопление жидкости в местах повреждения связок и мягких тканей;
- наличие и расположение отломков кости;
- повреждение костного мозга;
- скопление жидкости в суставной сумке или ее разрыв;
- повреждение связок:
- смещение костей.
Лечение перелома
Лечение перелома голеностопного сустава может быть консервативное и хирургическое. Для каждого из них существуют строгие показания.
Длительность лечения зависит от тяжести перелома. Если повреждена одна кость без смещения, то для реабилитации достаточно 2-3 месяца. Если травма вызвала перелом 2-х и более костей, есть смещение осколков и вывих сустава, то лечение продлится 6-8 месяцев.
- Лечение без операции
Консервативное лечение проводят в том случае, если возможно соединить костные отломки без операции. Предварительно делают обезболивание. После этого врач сопоставляет фрагменты кости и накладывает гипсовую повязку.
Алгоритм консервативного лечения переломов голеностопного сустава
Методика Механизм лечебного действия Как назначается Эффект Рентгенограмма Врач определяет, какая кость повреждена, есть ли смещение и вывих. Принимает решение о методах лечения. Анестезия места перелома Анастетики блокируют образование и проведение нервных импульсов по чувствительным нервным волокнам. Таким образом в мозг не поступают болевые сигналы. 2% раствор новокаина (20-30 мл) в место перелома в гематому.
Если необходимо вправление вывиха, то часть новокаина (15 мл) вводят в суставную сумку.Обезболивает сустав на 40-60 минут. Вправление
При переломе с вывихом и подвывихом стопыХирург вправляет вывих, устанавливая на место суставные поверхности костей. Хирург одной рукой фиксирует голень, другую кладет на стопу и совершает движение противоположное тому, что вызвало травму. Проводить вправление должен только опытный специалист после ознакомления с рентгеновским снимком. Восстанавливается физиологическая ось конечности. Гипсовая лонгетная повязка Фиксирует сустав, сближает отломки кости. Способствует скорейшему восстановлению кости. После вправления накладывают гипсовую повязку. Она бывает двух видов: U-образная лонгетная повязка или "сапожок". Повязку оставляют на 8-10 дней пока не спадет отек. Потом ее снимают, и заменяют другой.
При переломе одной лодыжки без смещения гипс накладывают на 4 недели, со смещением 6 недель. Перелом двух лодыжек – 8 недель. Таким образом, каждое новое повреждение добавляет 2 недели ношения гипсовой повязки.Нога надежно фиксируется. Обездвиживание и снятие нагрузки позволяют уменьшить боль. Контрольная рентгенограмма Во время наложения гипсовой повязки может произойти смещение костных отломков. Поэтому после высыхания гипса делают контрольную рентгенограмму. Нестероидные противовоспалительные препараты
Немид, Диклофенак,
НурофенОтмирание поврежденных клеток сопровождается сильной болью, отеком и воспалением. Препараты данной группы эффективно борются с этими явлениями. Принимать их можно по инструкции на протяжении первой недели после травмы. Обезболивание, уменьшение отека. Средства для ускорения регенерации соединительной ткани.
Хондроитин и глюкозамин, Артра, ТазанУскоряют образование костной мозоли на месте перелома. Улучшают состояние хрящевой ткани и работу сустава. Назначают через неделю после травмы сроком на 2-6 месяцев. Ускоряет заживление кости, укрепляет связочный аппарат. Витаминно-минеральные комплексы, содержащие, кальций, магний, кремний и витамин D.
Компливит, Кальций Д3
Мульти-ТабсНасыщают кости полезными минералами и укрепляют их. Принимают ежедневно во время или после еды. Ускоряют образование костной мозоли, сокращает сроки реабилитации. Важно, чтобы врач контролировал процесс лечения. Сообщайте ему обо всех неприятных ощущениях и ухудшении состояния. Это поможет своевременно исправить ситуацию и не допустить неправильного срастания кости.
- Операция
Показания:
- перелом нескольких костей составляющих голеностопный сустав;
- открытый перелом;
- перелом, сопровождающийся разрывом связок;
- смещение костных отломков;
- неудачное сопоставление кости;
- неправильно сросшийся перелом.
Противопоказания:
- нарушения свертывания крови;
- тяжелые патологии сердца, почек и печени;
- остеомиелит.
Если есть противопоказания к операции, то отломки устанавливают на место с помощью скелетного вытяжения или специальной металлической конструкции — аппарата Илизарова.
Методика проведения операции. Хирург делает надрез со стороны поврежденной кости. Он удаляет гематому, зачищает края кости. При повреждении связок сшивает их.Для фиксации кости голени хирург вводит в костномозговой канал штифт или спицу. Металлическую пластину могут закрепить на поверхности кости.
Для сближения отломков используются винты. В отверстие одного отломка вводится винт. Хирург соединяет элементы, вворачивая винт с помощью резьбы в другой отломок кости.
После сопоставления обломков рану зашивают и накладывают шину таким образом, чтобы можно было обрабатывать послеоперационный шов. После операции делают контрольный рентгеновский снимок, чтобы удостовериться, что все отломки кости заняли свои места. Через 10-14 дней отек спадает гипсовая повязка становится свободной и ее заменяют на новую.
Гипсовая повязка удерживается около 3-х месяцев. Восстановление трудоспособности происходит через 6-8 месяцев. Ускорить реабилитацию могут:
- лечебная физкультура;
- физиотерапия;
- ванны;
- ношение ортопедической обуви.
После снятия гипса больному рекомендуют ходить с двумя костылями. Их высоту регулируют таким образом, чтобы они не давили в подмышечные впадины. В этот период разрешается несильно опираться на больную ногу.
Постепенно один костыль заменяют палкой. Через несколько недель отказываются от второго костыля. Трость помогает уменьшить нагрузку на поврежденный сустав. Ее оставляют после того, как исчезают боли при ходьбе.
Ортопедическую обувь необходимо носить на протяжении 6-12 месяцев. Она надежно фиксирует голеностопный сустав и придает ему устойчивости, пока нога окончательно не окрепнет. Важно, чтобы подбор ортопедических ботинок осуществлялся индивидуально. Высокий задник и жесткий супинатор должны обеспечивать надежную фиксацию пятки при ходьбе.
ЛФК при переломе голеностопного сустава. Комплекс упражнений выполняют после снятия гипсовой связки. Он направлен на восстановление функции сустава и укрепление мышц. Все движения выполняются в медленном темпе по 10-20 раз.
- Сгибание и разгибание стопы.
- Круговые движения в голеностопе в обе стороны.
- Сгибание и разгибание пальцев ног.
- Поочередное подтягивание (сгибание) ног к животу. Носки на себя.
- В положении лежа выполнять максимальное разведение носков в стороны.
- Поочередно поднимать ноги до прямого угла в тазобедренном суставе. Носок тянуть на себя.
Все упражнения повторяются дважды. Если возникла боль, сделайте перерыв 3-5 минут.
В дальнейшем врачи рекомендуют заниматься плаваньем, бегом трусцой, прыжками. Эти виды спорта вернут суставу силу.
Самомассаж. Утром и вечером делайте массаж. Положите больную ногу на колено здоровой и выполняйте массажные движения: поглаживание, пощипывание, постукивание, выкручивание, растирание. Каждое движение повторяйте 10-12 раз. Особое снимание уделяйте суставу, пятке и лодыжке. Во время массажа используйте хондропротекторные мази и кремы: Хондроарт, Хондроитин, Траумель С.
Парафинно-озокеритовые аплекации можно сделать и в домашних условиях. Смешайте парафин и озокерит в соотношении 1: 1 и растопите на водяной бане. Вылейте в емкость, застеленную медицинской клеенкой, и дайте застыть. Масса должна загустеть и стать на ощупь, как теплый пластилин слоем 2 см. Приложите озокерит к пораженному участку на 40 минут. Чтобы уменьшить отдачу тепла накройте сверху одеялом. Такие прогревания улучшают питание тканей, ускоряют заживление и снимают отек.
Ванночки с морской солью. 100 г морской соли на 5 литров воды. Температуру воды поддерживайте на уровне 36-38 градусов. Продолжительность 15 минут. После ванночки сполосните ноги пресной водой. Соль воздействует на нервные окончания и улучшает обменные процессы. Такие процедуры необходимо делать ежедневно на протяжении месяца.
Прогноз при переломе голеностопного сустава благоприятный. Свыше 85% людей полностью восстанавливают трудоспособность. Однако при переломах со смещением придется пройти длительный период реабилитации, который включает ежедневные тренировки и массажи.



