Пульпит острый и хронический - причины, симптомы, диагностика, осложнения и лечение пульпита. Виды пульпита: фибринозный, гангренозный, гнойный, гипертрофический

Содержание статьи:


Сайт предоставляет справочную информацию. Адекватная диагностика и лечение болезни возможны под наблюдением добросовестного врача. У любых препаратов есть противопоказания. Необходима консультация специалиста, а также подробное изучение инструкции!

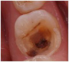
Пульпит зуба – воспалительный процесс, возникающий в мягких тканях зуба, расположенных внутри коронки. При данном заболевании воспаление затрагивает кровеносные сосуды и нервные окончания, которые находятся в пульповой камере и в каналах корня. Это довольно распространенная проблема, она занимает второе место среди стоматологических заболеваний и составляет 15% от всех обращений к стоматологу.

Анатомия зуба

Зуб представляет собой окостеневший сосочек слизистой оболочки. В норме у человека 28-32 постоянных зуба: 8 резцов, 4 клыка, 8 малых коренных и 8-12 больших коренных.

Анатомически различают:
  • коронку зуба – часть, выступающую над десной;
  • шейку зуба – суженый участок с наиболее тонкой эмалью, где коронка переходит в корень зуба;
  • корень зуба – часть, расположенная в альвеолярном отростке челюсти и покрытая десной.
Основная часть зуба состоит из твердых тканей. Зубная эмаль покрывает зуб снаружи, дентин составляет основную массу зуба, а зубной цемент покрывает корень. А внутри зуба находится пульпа – мягкая соединительная ткань, пронизанная кровеносными капиллярами и нервными волокнами. Она располагается в пульповой камере и корневом канале зуба. Сосуды и нервы заходят через апикальное отверстие, которое находится в верхушке зуба.

Причины пульпита

Пульпит – это основная причина, вызывающая зубную боль. Факторы, вызывающие воспаление пульпы, бывают разнообразные.
  1. Запущенный кариес. Разрушив эмаль, кариес поражает глубокие слои зуба. Постепенно процесс доходит до мягких тканей и бактерии проникают в пульпу, вызывая ее воспаление – пульпит зуба. На этом этапе человек начинает ощущать сильную боль.

  2. Пульпит после пломбирования зуба. Он возникает в том случае, когда во время лечения врач не обеспечил достаточное водное охлаждение. В результате происходит ожог мягких тканей зуба. В этом случае речь идет об асептическом пульпите. Он развивается без участия бактерий. Существует и другой вариант: пульпит после лечения начинается из-за того, что кариозные участки не были полностью удалены перед пломбированием. Микроорганизмы продолжают свою разрушительную деятельность и постепенно достигают пульпы. В этом случае постепенно развивается пульпит под пломбой.

  3. Пульпит после травмы зуба. Это заболевание может начаться вскоре после того, как в результате травмы произошел ушиб или откол части коронки зуба. Особенно часто это случается у детей. Пульпит молочного зуба возникает даже после незначительного надкола. Причиной стремительного развития этой болезни у детей являются широкие дентинные каналы в молочных зубах.

  4. Пульпит после воздействия химических и температурных раздражителей. Некоторые медикаменты, кислоты и щелочи могут вызвать разрушение тканей зуба. Они способны проникать по дентинным каналам и провоцировать воспаление в пульпе.

  5. Распространение инфекции с током крови. В ряде случаев бактерии попадают в пульпу с током крови из очагов хронической инфекции (гайморит, тонзиллит). При этом целостность зуба бывает не нарушена.




Подпишитесь на Здоровьесберегающий видеоканал

Симптомы пульпита

Разнообразие форм пульпита приводит к тому, что жалобы пациентов с этим диагнозом могут значительно отличаться. Боль при пульпите вызвана повышением давления в полости зуба. Это происходит за счет выхода воспалительного экссудата (плазмы крови) через стенки капилляров. Постепенно лишняя жидкость проталкивается через дентинные канальцы, и боль стихает на 4-5 часов.

При острой форме пульпита возникают следующие симптомы:
  • боли продолжаются длительно после устранения раздражителей
  • самопроизвольные боли, которые не являются реакцией на холодную, горячую или кислую пищу
  • усиление болевых ощущений ночью
  • приступообразные боли (периоды затишья чередуются периодами усиления неприятных ощущений, которые длятся 20-30 минут)
  • боли могут иррадиировать по ходу тройничного нерва в ухо, челюсть или в висок
При хроническом пульпите отмечаются такие симптомы:
  • боль имеет меньшую интенсивность и возникает периодически
  • неприятные ощущения усиливаются после приема горячей или холодной пищи
  • возникают слабые самопроизвольные боли
Следует отметить, что 10% людей, у которых обнаруживается эта проблема, могут не жаловаться на зубные боли при пульпите. Однако это не означает, что можно откладывать лечение.

В запущенных случаях часто возникают тяжелые осложнения пульпита: периодонтит, киста, некроз челюсти.

Дифференциальная диагностика пульпита


Необходимо отличить глубокий кариес от хронического пульпита, так как эти заболевания требуют различных методов лечения. При пульпите ноющая боль, возникающая после воздействия раздражителей, не проходит более 20 минут. Если же зуб поражен кариесом, то неприятные ощущения стихают после устранения раздражителя.

Чтобы дифференцировать пульпит от обострения хронического периодонтита достаточно постучать по больному зубу. При периодонтите это действие вызовет неприятные ощущения.

При гипертрофическом пульпите болезненность выражена слабо, но зуб сильно кровоточит при механическом раздражении.

При фиброзном пульпите под тонким слоем дентина в кариозной полости просвечивает пульпа. Касание зондом в этом месте вызывает сильную резкую боль.

При диагностике гипертрофического пульпита необходимо отличить его от разрастания десневого сосочка. В последнем случае разросшийся сосочек можно оттеснить зондом, проведя им по внешнему краю кариозной полости.
При дифференциальной диагностике пульпита и воспаления тройничного нерва важно помнить, что при патологии зуба боль усиливается в ночное время. При невралгии, наоборот, ночью боль почти полностью проходит.

Диагностика пульпита

В современной стоматологии для диагностики пульпита применяются и традиционные методы, и современные разработки.
 
Методы диагностики Описание
Детальный опрос
 
Врач собирает жалобы, выясняет причину появления, характер и интенсивность боли. Это значительно помогает правильно поставить диагноз.
Осмотр полости рта
 
Проводится с помощью специальных стоматологических инструментов. Врач обращает внимание на все зубы и поставленные ранние пломбы, наличие воспаления десен.
Зондирование
 
Обследование полости больного зуба с помощью стоматологического зонда. Эта манипуляция позволяет точно определить степень развития заболевания. Во время зондирования удается установить состояние дентина на дне и стенках кариозной полости, ее глубину, а также внешний вид пульпы. Важным этапом является установление соединения кариозной полости с пульповой камерой.
Температурные пробы
 
Метод диагностики основанный на воздействии высоких и низких температур на пульпу зуба. С его помощью удается дополнить полученные сведенья о состоянии мягкой части зуба.
Электроодонтодиагностика
 
Метод основан на реакции пульпы зуба на электрический ток. Чем сильнее выражены воспалительные изменения, тем выше сила тока, которая вызывает реакцию у пациента. Эта процедура помогает определить глубину поражения нервно-сосудистого пучка и выявить точное расположение воспалительного очага. Чем глубже он находится, тем сильнее сила тока, которая вызывает ощущения покалывания. если же пульпа полностью погибла, то пациент почувствует только легкий толчок или касание.
Рентгенография Этот метод широко применяется для того, чтобы выяснить особенности строения зуба, степень развития болезни и результаты лечения, которое проводилось ранее. В том случае, когда необходим снимок коренного зуба нижней челюсти проводят внеротовое рентгенографическое обследование. Для того, чтобы получить снимок остальных зубов используют внутриротовой способ.

Классификация пульпитов

После проведения обследования стоматолог может поставить точный диагноз. Пульпит зуба, в зависимости от стадии и особенностей течения болезни, имеет несколько форм.
 
Острый пульпит подразделяют на:
  •         очаговый пульпит
  •         диффузный пульпит
Острый очаговый пульпит – это начальная стадия заболевания. Очаг воспаления расположен около кариозной полости.

Симптомы очагового пульпита: резкая самопроизвольная боль, которая длится от нескольких минут до получаса. Она может стихнуть на 3-5 часов и резко усилиться в ночное время. Неприятные ощущения в больном зубе, которые возникают в ответ на воздействие раздражителей, не проходят длительное время.

Больной может четко указать, какой зуб у него болит. При зондировании отмечается резкая боль в одной точке, чаще в районе рога пульпы зуба. При этом полость зуба остается не вскрытой.

Острый диффузный пульпит – на этой стадии воспалительный процесс охватывает всю пульпу. Возникают длительные приступы сильной боли. Периоды уменьшения неприятных ощущений становятся кратковременными. Когда процесс из серозного превращается в гнойный – боль усиливается и становится постоянной. Человек начинает чувствовать болевые ощущения в виске, ухе и всей половине челюсти, на которой находится зуб с пульпитом. От горячего боль становится сильнее, а от холодного может несколько ослабеть. Это говорит о том, что воспаление перешло в гнойную стадию.

Острый диффузный пульпит может продолжаться от 2 до 14 дней. Потом процесс переходит в хроническую стадию.

Хронический пульпит подразделяют на:
  •       фиброзный пульпит
  •       гипертрофический пульпит
  •       гангренозный пульпит
  •       ретроградный пульпит
Хронический фиброзный пульпит – возникает, когда острое воспаление переходит в хроническое. На этом этапе сильная боль становится слабой и ноющей. Она возникает периодически от пищевых раздражителей, от вдыхания холодного воздуха. Также эта стадия может протекать скрыто, не вызывая жалоб у больного.
При осмотре у стоматолога обнаруживается глубокая кариозная полость. Она может соединяться с пульповой камерой. Пульпа зуба резко болезненна и кровоточит. При постукивании по зубу неприятных ощущений не возникает.

Хронический гипертрофический пульпит – форма развития болезни, при которой кариозная полость соединяется с полостью зуба. При этом пульпа разрастается и образует отросток – полип, который заполняет все свободное пространство. У больного возникает болезненность во время жевания, часто отмечается кровоточивость из зуба. Эти ощущения приходят на смену сильным болям, которые бывают в остром периоде заболевания.

Хронический гангренозный пульпит – развивается на фоне хронического фиброзного пульпита, после попадания гнилостной инфекции. При этом отмечается гнилостный запах изо рта, длительная ноющая боль от раздражителей, которая особенно усиливается после употребления горячей пищи.
Часто больной зуб имеет глубокую и обширную кариозную полость, внутри которой можно увидеть пульпу грязно-серого цвета. Ее чувствительность в верхних слоях обычно снижена. Это происходит из-за того, что при гангренозном пульпите нервные волокна атрофируются.

Хронический ретроградный пульпит – хроническая форма, для которой характерно образование пародонтальных карманов. Они занимают значительную часть корня. Именно там находится источник инфекции. Бактерии распространяются через корневые каналы и вызывают воспаление мягких тканей зуба. При этом костная ткань корня рассасывается, что хорошо видно на рентгеновском снимке.

Лечение пульпита

Каждая из форм пульпита зуба имеет свои особенности лечения. Всем стоматологическим процедурам по лечению острого или хронического пульпита предшествует местная анестезия и удаление всех пораженных кариесом тканей. А рентгенологический снимок всегда является заключительным этапом лечения пульпита зуба. Это необходимо для контроля эффективности проведенного лечения.

Метод Описание
Консервативные или биологические методики лечения пульпита: при таком способе лечения пульпа зуба полностью сохраняется и восстанавливается.
Лечебные и противовоспалительные пасты «Кальцидонт», «Life», «Dical» имеют сильное противовоспалительное действие. Закладываются на дно полости очищенной от кариеса.
Протеолитические ферменты Обладают противоотечным, некролитическим, противовоспалительным действием, стимулируют регенерацию тканей.
Препараты па основе гидроксида кальция
 
Наносятся на дно очищенной полости возле пульпы и стимулируют образование дентина, препятствуют попаданию патогенных микроорганизмов в пульпу зуба, имеют противовоспалительное действие.
Физиотерапевтическое лечение Процедуры, направленные на лечение воспаления в пульпе зуба (лечение лазером, депофорезом, УВЧ)
Установка временной пломбы Полость зуба закрывается на 2-5 дней для наблюдения за реакцией пульпы.
Установка постоянной пломбы Врач выбирает, какой материал наилучшим образом подойдет для пломбирования зуба.
Хирургические или оперативные методики лечения пульпита: заключаются в частичном или полном удалении пульпы и заполнении корневого канала и полости зуба пломбировочным материалом.
Метод витальной ампутации Частичное удаление пульпы. Коронковая ее часть удаляется, а корневая остается жизнеспособной и продолжает питать зуб. Процедура проводится под проводниковым обезболиванием. Часто используется для лечения пульпита молочных зубов у детей. Применяется у людей до 40 лет при остром очаговом пульпите и хроническом фиброзном пульпите в многокорневых зубах, где четко выражена граница между коронковой и корневой пульпой.
Метод девитальной ампутации
 
Полное удаление пульпы. В последующем корневой канал и полость зуба пломбируется. Такой метод позволяет вылечить пульпит зуба за одно посещение стоматологического кабинета. Однако после этого зуб остается без питания. В некоторых случаях есть необходимость ставить коронку.
Комбинированный метод лечения пульпита
 
Сочетает в себе полное удаление пульпы из каналов с хорошей проходимостью и мумификацию пульпы в труднопроходимых каналах. Используется при острых диффузных, хронических фиброзных и гипертрофических пульпитах.


В различных случаях пульпита цена лечения будет значительно отличаться. Стоимость полного лечения пульпита зуба зависит не только от выбора клиники. Хирургические методы лечения пульпита с последующим пломбированием обойдется от 2000 руб. Стоимость лечения биологическим методом от 4000 руб. На сумму будет влиять множество факторов: количество корней в зубе, форма и стадия заболевания, качество стоматологических материалов.

Осложнения пульпита

Пульпит – это не только боль в зубе! Если не лечить это заболевание, то возникает опасность возникновения осложнений пульпита: острого и хронического периодонтита, некроза пульпы, периапикального абсцесса. Распространение инфекции с током крови может привести к развитию гнойного синусита, менингита, абсцесса мозга и окологлоточного абсцесса. Вылечить пульпит в домашних условиях невозможно! Удается лишь временно избавиться от зубной боли. Поэтому очень важно своевременно обратиться к стоматологу за квалифицированной медицинской помощью.


Профилактика пульпита


Профилактика пульпита молочных и коренных зубов заключается в правильном уходе за полостью рта. качественная чистка зубов и выбор подходящей пасты и зубной щетки. Это один из важнейших этапов предупреждения заболевания.
Своевременное лечение кариеса – основная мера профилактики пульпита.

Необходимо посещать стоматологический кабинет не реже 2 раз в год.
Эти несложные мероприятия сохранят здоровье ваших зубов и красоту улыбки.

Почему болит зуб после пульпита?

Не стоит паниковать, если болит зуб после пульпита. Врачи считают нормой, что неприятные ощущения сохраняются от нескольких часов до 2-3 дней после посещения стоматолога. Для облегчения состояния в этот период можно принять обезболивающие (Найз, Ибуфен). Если зуб пролечен правильно, то через 3 дня боль постепенно пройдет.

Причины боли в зубе после правильного лечения пульпита:

  • Врач оставил здоровую часть пульпы, и зуб сохранил свою чувствительность. Если ткани пульпы были сдавлены или обожжены, то раздражения нервных окончаний в зубе будут вызывать боль.
  • После удаления пульпы корневые каналы промывают сильными антисептиками. Они могут оказывать раздражающее действие на ткани вокруг верхушки корня зуба.
  • При глубокой пломбировке каналов кончики инструментов могут незначительно травмировать ткани верхушки корня зуба.

Пульпит – довольно сложная задача для стоматолога. К сожалению, повторное воспаление пульпы и тканей, окружающих зуб, встречается у 50-60% пациентов. Преимущественно это происходит, когда врач пытался сохранить питание зуба и оставил часть пульпы (консервативные или биологические методики).

Какие признаки должны вас насторожить:

  • Обезболивающие не приносят облегчения или снимают боль на 1-2 часа.
  • Через 2-3 суток боль остается все такой же интенсивной.
  • Припухла десна над пролеченным зубом. Она красная, отечная и болезненная при прикосновении.
  • Повысилась температура.

Если зуб после пульпита болит сильно, это может говорить о некачественном лечении. Проблема может крыться в следующем:

  • Врач оставил поврежденный бактериями участок пульпы.
  • Корневой канал запломбирован не до конца. В этом случае через отверстие на верхушке корня может проникнуть инфекция из окружающих тканей.
  • Во время лечения бактерии осеменили здоровый участок пульпы, и под пломбой началось воспаление.
  • Инфекция через отверстие на верхушке корня вышла наружу в периодонт, и образовался периодонтальный абсцесс, который со временем может превратиться в радикулярную кисту.
  • Для лечения использовались агрессивные антисептики, которые вызвали ожог тканей периодонта.

Что может сделать врач, чтобы не допустить повторного пульпита в пролеченном зубе. Опытные стоматологи советуют пломбировать все каналы и сделать контрольный снимок. На рентгене каналы должны быть равномерно и плотно заполнены материалом, чтобы не оставалось никаких пустот. Именно на этих участках могут размножаться бактерии, которые приводят к потере зуба.

Подытожим: если зуб после пульпита болит более трех дней, необходимо идти к стоматологу и выяснять причину. Боль, возникшая через несколько дней или недель после лечения, однозначно говорит о повторном развитии инфекции и требует срочного лечения. В этой ситуации необходимо незамедлительно обратиться к врачу. Кстати, стоматологи должны исправлять ошибки в своей работе бесплатно.

Бывает ли пульпит молочного зуба? Как проводят лечение пульпита у детей?

Многие родители ошибочно считают, что во временных зубах нет пульпы, и поэтому у ребенка не может развиться пульпит молочного зуба. Это далеко не так. Передние зубы могут поражаться уже в 2-хлетем возрасте, тогда как «дальние и большие» моляры страдают от пульпита в возрасте 3-7 лет.

Причины развития пульпита молочного зуба

  • Острое инфекционное заболевание, сопровождающееся бактериемией. Бактерии попадают в пульпу через кровеносные сосуды.
  • Кариес. Микроорганизмы и их токсины проникают через кариозную полость.
  • Неосторожная обработка зуба при лечении кариеса. Врач может случайно вскрыть полость зуба, где находится пульпа.
  • Неправильно выбранный пломбировочный материал. Некоторые вещества слишком агрессивные и оказывают раздражающее действие на пульпу.
  • Обработка полости зуба спиртом и другими сильными антисептиками во время лечения кариеса. Эти вещества вызывают химический ожог пульпы.
  • Недостаточное охлаждение водой при лечении зуба. Зуб нагревается от трения стоматологического бура, что может спровоцировать термический ожог пульпы.
  • Травма зуба, надкол, при котором вскрывается пульповая камера и в нее проникают бактерии.

Симптомы пульпита у детей

У детей разделяют острый и хронический пульпит. Эти два состояния можно легко различить по симптоматике.

1. Симптомы острого пульпита

Острый пульпит бывает у детей в возрасте 3-6 лет. Острое воспаление возникает в полностью сформированном зубе, корни которого еще не начали рассасываться (зуб не шатается). На зубе может быть небольшая кариозная полость или внешне зуб может казаться полностью здоровым.

Проявления болезни:
  • Внезапно возникшая острая сильная боль.
  • Боль усиливается от холодного и теплого. Если в пульповой камере есть гной, то боль усиливается от горячего и уменьшается от холодного.
  • Боль возникает при сжимании челюстей.
  • Боль при жевании и попадании пищи на зуб.
  • Боль распространяется на половину челюсти и ребенок не может указать, какой именно зуб болит.
  • Для уменьшения боли ребенок ложится на больную сторону.
  • Небольшой отек щеки.
  • Незначительное увеличение подчелюстных лимфатических узлов.

2. Симптомы хронического пульпита

Хронический пульпит возникает в зубе с большой кариозной полостью или в зубе с пломбой. Неприятные ощущения возникают после воздействия раздражителей: попадания пищи в кариозную полость, охлаждения зуба (мороженое, холодные напитки, холодный воздух на улице).

Часто этот хронический пульпит протекает бессимптомно – у ребенка нет никаких жалоб. Но при снижении иммунитета случаются обострения, тогда возникает сильная боль и другие симптомы острого пульпита.

Проявления болезни зависят от формы хронического пульпита.

Формы хронического пульпита Симптомы заболевания
Фиброзный пульпит
(самый распространенный)
  • Боль во время еды;
  • Ребенок жует на одну сторону;
  • На поврежденной стороне больше зубного налета;
  • Боль при питье холодной воды, при полоскании зубов.
Гангренозный пульпит
 
  • Зуб серого цвета;
  • Боли нет в связи с гибелью нервных волокон пульпы;
  • Неприятные ощущения после горячего, как правило, они возникают не сразу, а через некоторое время после раздражителя;
  • Чувство тяжести и распирания в зубе;
  • Неприятный запах от полости зуба.
Гипертрофический пульпит
Встречается редко при сильном разрушении коронки зуба
 
  • Кровоточивость при жевании пищи и чистке зубов;
  • Внутри глубокой полости можно заметить розовую массу – разрастание пульпы.

При хроническом пульпите у детей часто воспаляются ткани, окружающие зуб – развивается периодонтит, который может протекать бессимптомно. Выявить воспаление помогает рентгеновский снимок.

Лечение хронического пульпита молочных зубов

Консервативный метод обеспечивает сохранение жизнеспособности пульпы.

Показания:

  • Острый частичный серозный пульпит.
  • Случайное вскрытие полости зуба при лечении кариеса или при надколе зуба.
  • Хронический фиброзный пульпит без болей.

Первое посещение.

  • Рентгенограмма зуба по необходимости.
  • Удаление поврежденных тканей из полости зуба.
  • Обработка полости антисептиком (хлоргексидин, пульпоперил) или сочетанием антисептика с ферментом (лизоцим, трипсин) для устранения инфекции и профилактики осложнений.
  • Заложение в полость ватного шарика, пропитанного раствором антибиотика, кортикостероида или нитрофуранов в сочетании с протеолитическими ферментами для снятия воспаления в пульпе.
  • Постановка временной пломбы.

Второе посещение через 1-2 суток.

  • Снятие временной пломбы и удаление ватного шарика с лекарством.
  • Обработка зуба антисептиком.
  • Покрытие дна полости пастой, содержащей кальций для укрепления дентина, отделяющего пульпу от полости.
  • Установка временной пломбы.


Третье посещение через 7-14 дней.

  • Удаление временной пломбы.
  • Наложение изолирующей прокладки поверх сохраненной лечебной.
  • Установка постоянной пломбы.

Хирургический метод предусматривает удаление пульпы. Если пульпа в коронковой части загрязнена микроорганизмами, то ее необходимо удалить. В противном случае, после установки пломбы воспаление будет продолжаться и может выйти за пределы зуба, что грозит формированием абсцесса или свища.

Удалить всю пульпу в молочном зубе (как это делают у взрослых) затруднительно. У детей каналы недостаточно сформированы, они очень узкие, лентовидные и извилистые. Поэтому есть риск повредить окружающие ткани и зачаток постоянного зуба. Наиболее распространен метод лечения острого и хронического пульпита, состоящий из нескольких этапов:

Первое посещение.

  • Рентгенография.
  • Обезболивание.
  • Вскрытие и очищение кариозной полости.
  • Наложение на пульпу девитализирующей пасты, которая вызывает гибель нервов и кровеносных сосудов.
  • Наложение временной пломбы.

Второе посещение.

  • Удаление временной пломбы и повторное очищение кариозной полости.
  • Удаление пульпы из коронковой части зуба и из устьев каналов.
  • Устья закрываются специальной пастой, которая вызывает мумификацию пульпы в глубине корневых каналов.
  • Установка изолирующей прокладки из водного дентина, которая предупреждает проникновение инфекции.
  • Установка финальной пломбы.

В некоторых случаях может потребоваться еще одно посещение для контроля над состоянием тканей, окружающих зуб.

Некоторые врачи закладывают в полость мышьяк и его аналоги, чтобы «убить нерв», а спустя несколько дней вычистить пульпу. При использовании таких препаратов необходимо следить за состоянием ребенка, чтобы не допустить токсического воздействия на окружающие ткани и развития периодонтита. Боль в зубе и припухание десны указывают на то, что необходимо снять временную пломбу и удалить лекарство. Если нет возможности обратиться к стоматологу, то это можно сделать самостоятельно.

Существует еще один метод, который позволяет вылечить зуб за одно посещение и сохранить его жизнеспособность. Его используют при неглубоком кариесе, когда пульпа поражена незначительно.

Противопоказания к его применению:

  • Глубокая полость.
  • Из зуба выделяется гнойная или серозная жидкость.
  • Самопроизвольные боли в зубе (не связанные с приемом пищи, холодным или горячим).
  • Абсцесс или свищ у корня зуба.

Методика

  • Рентгенография.
  • Обезболивание.
  • Удаление пораженных кариесом тканей зуба.
  • Удаление пульпы в коронке зуба.
  • Промывание антисептиками, остановка крови из сосудов в устьях каналов.
  • Закладывание в устья каналов ватных шариков, смоченных формокрезолом или его аналогами. Эти препараты вызывают гибель бактерий и мумификацию верхнего слоя пульпы. Через 5 мин тампоны удаляют.
  • Закладывание в устья каналов и на дно полости «цемента» из цинкоксид-эвгеноловой пасты, содержащей антисептики и стероидные противовоспалительные вещества. Предотвращает развитие инфекции под пломбой.
  • Установка пломбы – реставрация целостности зуба.

Удаление зуба. Если в тканях, окружающих корни, выявляется гной, то врачи рекомендуют удалять молочный зуб, так как гнойное воспаление может повредить зачаток коренного зуба.

Особенности пульпита у детей

  • Неглубокий кариес. Если у взрослых к пульпиту приводит глубокий нелеченный кариес, то у детей пульпа поражается даже при незначительном повреждении зуба. Дело в том, что у детей дентиновые канальцы более широкие, что облегчает попадание микроорганизмов вглубь пульпы.
  • Быстрое распространение воспаления. У детей пульпит редко бывает очаговым, он быстро распространяется по всей пульпе.
  • Симптомы зависят от стадии формирования зуба. У детей младшего возраста возникают лишь слабые боли.
  • Быстрый переход пульпита в хроническую форму. После кратковременной острой боли приходит облегчение. Жидкость отходит по широким дентиновым канальцам и давление на нервные окончания уменьшается, однако микроорганизмы продолжают размножаться в пульпе.
  • Распространение процесса в окружающие ткани. Инфекция выходит из зуба через отверстие на верхушке корня и развивается периодонтит. Он выглядит как гнойный нарыв – шишка на десне с белым содержимым. Этот гнойник прорывается и формируется свищ, через который гной отходит наружу.
  • Общая реакция организма: слабость, сонливость, повышение температуры.

Как лечить пульпит и периодонтит?

Врачи довольно часто сталкиваются с лечением пульпита и периодонтита: по статистике с такой проблемой обращается каждый пятый пациент. Присоединение периодонтита можно выявить по характерному симптому – боль в зубе при простукивании его твердым предметом (например, черенком ложки).

Пульпит и периодонтит - это воспаление пульпы и тканей, окружающих зуб. В большинстве случаев периодонтит развивается как осложнение пульпита, когда инфекция выходит из зуба через отверстие в верхушке корня. Возможны и другие причины:

  • Острая травма зуба – ушиб.
  • Хроническая травма – слишком высокая пломба.
  • Занесение инфекции при гайморите и синусите.
  • Глубокий кариес.
  • Неудачное лечение пульпита.

Симптомы острого пульпита и периодонтита. Острые формы являются активной реакцией организма на инфекцию и возникают у людей с крепким иммунитетом. Признаки:

  • Постоянная ноющая боль, усиливающаяся при сжатии зубов.
  • Через несколько часов боль становится более интенсивной, пульсирующей и распирающей.
  • Боль отдает в висок, ухо, сустав нижней челюсти, подбородок, шею, что свидетельствует о появлении гноя вокруг зуба.
  • Усиление неприятных ощущений при простукивании, жевании, попадании пищи в кариозную полость.
  • Окружающая часть десны краснеет и опухает. Чувствуется боль при прощупывании пальцем десны вокруг пораженного зуба.
  • Подвижность зуба – он шатается.
  • Самопроизвольные «ночные» боли.
  • На рентгене без изменений.

Симптомы хронического пульпита и периодонтита

Хронические формы развиваются в том случае, когда есть отток воспалительному экссудату, и жидкость не скапливается в пульпе и периодонте. Такое случается при глубокой кариозной полости, кариесе под пломбой или дефекте пломбы.

Хронические формы развиваются у людей с ослабленным местным иммунитетом, а также у принимающих противовоспалительные или другие средства, угнетающие активный рост бактерий (сульфаниламиды, нитрофурановые препараты, антибиотики). Признаки хронической формы:

  • Изменяется внешний вид зуба, он становится серым и тусклым из-за нарушения питания.
  • Зуб шатается.
  • При простудных болезнях может появиться «тяжесть в зубе».
  • Болезненность при прощупывании десны над больным зубом.
  • Неприятные ощущения при жевании, сжатии зубов.
  • Образование красного пузырька на десне. Со временем он белеет, в нем может образоваться отверстие, через которое отходит гной – образуется свищ.
  • На рентгенограмме есть признаки пародонтального абсцесса. На верхушке корня зуба образуется мешочек, наполненный гноем, который выглядит как небольшое затемнение на снимке.

Хроническое заболевание может долгое время протекать бессимптомно и обостряться после переохлаждения, стресса или перенесенного инфекционного заболевания. Во время обострения возникают симптомы острого периодонтита.

Лечение пульпита и периодонтита - длительный процесс. Тактика врача зависит от возраста пациента и особенностей воспалительного процесса.

Лечение острого пульпита и периодонтита

Первое посещение.

  • Рентгенография зуба.
  • Анестезия – инъекция анестетика в десну.
  • Высверливание пораженного дентина.
  • Удаление поврежденной пульпы.
  • Очищение каналов и их расширение.
  • Струйное промывание каналов антисептиками.
  • Расширение отверстия на верхушке корня зуба. Через это отверстие обеспечивается отток жидкости из периодонта.
  • После первого посещения зуб оставляют открытым, чтобы выходил гной. Рекомендуют полоскание содой, солью и йодом каждые 2-3 часа: ½ ч.л. соли + ½ ч.л. соды + 4 капли йода.
  • Пока зуб остается открытым, перед едой в полость закладываю ватный шарик. Это необходимо для того, чтобы не допустить попадания частиц пищи, которые перекроют отток воспалительной жидкости.
  • Медикаментозная терапия:


Второе посещение через 2-3 дня.

  • Промывание каналов раствором антисептиков.
  • Пломбирование каналов лекарственной пастой с антисептиком.
  • Установка временной пломбы.

Третье посещение через 3-5 дней.

  • Удаление временной пломбы и содержимого каналов.
  • Промывание каналов раствором антисептиков.
  • Пломбировка каналов на постоянной основе. При условии, что нет боли при накусывании.
  • Контрольный снимок для выявления возможных дефектов или пустот в каналах.
  • Установка постоянной пломбы.

Лечение хронического пульпита и периодонтита зависит от формы болезни.

Лечение фиброзной формы, для которой характерно равномерное воспаление периодонта без разрушения кости.

Первое посещение.

  • Рентгенография. Позволяет оценить объем поражения и выбрать тактику лечения.
  • Инъекционное введение анестетика.
  • Высверливание пораженной кариесом эмали и дентина.
  • Удаление пораженной пульпы из коронки и корневых каналов. В большинстве случаев она уже некротизирована (погибшая), и нет необходимости «убивать нерв».
  • Измерение глубины и расширение корневых каналов, чтобы была возможность их качественно запломбировать.
  • Струйное промывание каналов антисептиками.
  • Введение ватных турунд, пропитанных сильным антисептиком.
  • Установка временной пломбы.
  • Назначение антибиотика широкого спектра действия.

Второе посещение через 2-3 дня.

  • Удаление временной пломбы и лекарства из корневых каналов.
  • Промывание каналов растворами антисептиков.
  • Заполнение каналов препаратами на основе гидроксида кальция. Пасты Каласепт или Metapex обеспечивают обеззараживание каналов и восстановление костной ткани вокруг корней зуба.
  • Установка временной пломбы.

Третье посещение через 2-3 месяца.

  • Контрольный рентгеновский снимок. На его основе врач судит о состоянии зуба и принимает решение о возможности постоянной пломбировки каналов.
  • Удаление временной пломбы и лекарства из корневых каналов.
  • Промывание каналов антисептиками.
  • Постоянное пломбирование каналов.
  • Рентгеновский снимок контроля заполнения каналов. Каналы должны быть плотно заполнены до верхушки корня. В них не должно быть пустот.
  • Установка временной пломбы.

Четвертое посещение через несколько дней.

  • Установка постоянной пломбы, если у больного нет жалоб на боль при накусывании.

Гранулирующая и гранулематозная формы требуют многократных посещений стоматолога (5 и более). В первом случае костная ткань замещается рыхлой гранулематозной тканью. В ней легко образуются свищи, через которые гной выходит наружу.

Гранулематозная форма характеризуется образованием кисты – мешочка с гнойным содержимым внутри челюсти. При этом необходимо более длительное и финансово затратное лечение, которое может длиться 2-3 месяца.

Первый этап. Удаляются кариозные ткани зуба и пульпа. Расширяются каналы и отверстие в верхушке корня.

Второй этап. Пациент несколько раз приходит на промывание каналов растворами антисептика.

Третий этап. Пломбировка каналов пастой с гидроокисью кальция, которая снимает воспаление в кисте и в периодонте, благодаря этому киста уменьшается в размере. Если контрольный рентгеновский снимок подтверждает улучшение, то переходят к следующему этапу лечения.

Четвертый этап. Пломбировка каналов на постоянной основе и пломбирование зуба.

Кисту диаметром более 1 см удаляют хирургическим путем через небольшой разрез в десне.

Что вызывает обострение пульпита?

Хронический пульпит может развиться после острого пульпита. Например, зуб болел 2-5 дней, но боль удалось снять с помощью обезболивающих, и пациент решил, что можно отложить посещение стоматолога. У некоторых хронический пульпит развивается, минуя острую фазу. В этом случае болезнь проявляется незначительными неприятными ощущениями после горячего. Но при снижении защитных сил организма иммунные клетки теряют способность сдерживать размножение бактерий, что приводит к обострению пульпита. При этом воспаление развивается бурно, иногда с образованием гноя.

Спровоцировать обострение пульпита могут:

  • Простудные и инфекционные заболевания;
  • Переохлаждения;
  • Операции, переломы, ожоги;
  • Стрессы;
  • Травмы;
  • Перегрев или переохлаждение зуба.

Симптомы обострения такие же, как при остром пульпите:

  • Сильные боли, которые распространяются по всем ветвям тройничного нерва, из-за чего пациент не может точно сказать, какой зуб болит.
  • Боль усиливается от температурных раздражителей (особенно от холодного), и долго не проходит после устранения раздражителя.
  • Боль носит периодический характер и часто усиливается ночью.

Лечение хронического пульпита в стадии обострения предусматривает частичное или полное удаление пульпы. Биологические методики не применяются, так как есть глубокое поражение пульпы.

Как лечить пульпит в домашних условиях?

К сожалению, попытки лечить пульпит в домашних условиях безуспешны. Развитие пульпита связано с инфекцией в корневых каналах, куда не проникают даже самые сильные антибиотики последнего поколения, не говоря уже о лекарственных травах и других методах народной медицины. Поэтому избавиться от инфекции в пульпе без помощи стоматолога не удастся.

Большинство из приведенных ниже методов не излечат заболевания, но уменьшат боль и помогут продержаться до визита к врачу.

Антибиотики. При пульпите применять нецелесообразно. Они не проникают в пульпу, к тому же бактерии, вызывающие кариес и пульпит, устойчивы к любым антибиотикам.

Обезболивающие средства:


Уменьшают воспаление и облегчают боль на несколько часов. Эти средства принимают согласно инструкции.

Полоскания. Полоскать зубы необходимо каждый раз после еды и каждые 2-3 часа в течение дня. Температура раствора должна быть 36-40 градусов. Холодные полоскания недостаточно действенны, а горячие нежелательны при гнойном воспалении.

  • Шалфей. 1 столовая ложка измельченных листьев на 1 стакан кипятка. Настаивать в течение 1 часа. Применяют для уменьшения отека и воспаления тканей десны.
  • Сода. Чайная ложка пищевой соды на стакан теплой воды. Для усиления эффекта можно добавить 0,5 ч.л. соли. Такая смесь дезинфицирует полость зуба, удаляет остатки пищи и бактерии из пульпы.
  • Перекись водорода. Столовая ложка 3% перекиси на полстакана воды. Раствор хорошо очищает пульпу от гноя и разрушает оболочку бактерий.

Полоскания будут эффективны для уменьшения боли при условии, что в зубе есть глубокая полость. В этом случае лекарственные вещества проникают в пульпу и избавляют от бактерий, вызывающих воспаление, а также улучшают отток воспалительной жидкости. При наличии свища у больных с пульпитом и периодонтитом полоскания способствуют оттоку гноя через образовавшееся отверстие в десне.

Напомним, что лечение пульпита в домашних условиях может быть лишь вспомогательной мерой. Самолечение этого заболевания может привести к потере зуба и развитию опасных для жизни осложнений: гнойного менингита и абсцесса мозга. Поэтому не откладывайте визит к стоматологу.

Пульпит под пломбой и коронкой

Осложнения кариеса

Динара Асхатовна Аль-Абед
Автор:
Автор на связи, задать вопрос
Специальность: Врач-стоматолог, пародонтолог

Опубликовано: 11.9.2013

Дополнено: 14.12.2023

Просмотров: 129294

Поделиться
Секрет голливудской улыбки: прощаемся с зубным налётом раз и навсегда
4196
0
Секрет голливудской улыбки: прощаемся с зубным налётом раз и навсегда
Болит зуб: что делать? 7 проверенных способов избавиться от зубной боли
84489
0
Болит зуб: что делать? 7 проверенных способов избавиться от зубной боли
Санация полости рта – что это такое и зачем это нужно? Показания к санации полости рта. Санация ротовой полости перед имплантацией зубов
61225
0
Санация полости рта – что это такое и зачем это нужно? Показания к санации полости рта. Санация ротовой полости перед имплантацией зубов
Кровоточат десны. Почему кровоточит десна? Основные причины кровоточивости - гингивит, пародонтоз, пародонтит, механическое повреждение десны. Что делать при этих патологиях?
47276
2
Кровоточат десны. Почему кровоточит десна? Основные причины кровоточивости - гингивит, пародонтоз, пародонтит, механическое повреждение десны. Что делать при этих патологиях?
Зубной налет. Почему образуется зубной налет? Удаление зубного камня, домашние методы, чистка у стоматолога. Способы отбеливания зубов
61342
0
Зубной налет. Почему образуется зубной налет? Удаление зубного камня, домашние методы, чистка у стоматолога. Способы отбеливания зубов
Болит десна. Почему болит десна? Боли в десне, основные причины - гингивит, пародонтоз, пародонтит, механическое повреждение десны. Что делать при этих патологиях?
72481
2
Болит десна. Почему болит десна? Боли в десне, основные причины - гингивит, пародонтоз, пародонтит, механическое повреждение десны. Что делать при этих патологиях?
Зубная боль. Почему болит зуб? Боли при кариесе, пульпите, пародонтите, болит десна, флюс. Что делать при этих патологиях?
59384
0
Зубная боль. Почему болит зуб? Боли при кариесе, пульпите, пародонтите, болит десна, флюс. Что делать при этих патологиях?
Повышенная чувствительность зубов: причины, средства защиты и лечение.
35954
0
Повышенная чувствительность зубов: причины, средства защиты и лечение.
Дети и здоровье зубов. Руководство для любого возраста.
15953
0
Дети и здоровье зубов. Руководство для любого возраста.
Зубной камень
102385
0
Зубной камень
Что делать после удаления зуба?
272371
1
Что делать после удаления зуба?
Стоматит - язвочки во рту у детей и взрослых. Симптомы, причины, признаки, лечение стоматита слизистой губ, щеки и языка
512123
8
Стоматит - язвочки во рту у детей и взрослых. Симптомы, причины, признаки, лечение стоматита слизистой губ, щеки и языка
Пародонтоз  –  причины, симптомы, диагностика и лечение, протезирование зубов
176846
2
Пародонтоз – причины, симптомы, диагностика и лечение, протезирование зубов
Пародонтит - причины, симптомы, диагностика и лечение заболевания, протезирование зубов
122858
2
Пародонтит - причины, симптомы, диагностика и лечение заболевания, протезирование зубов
Кариес – лечение и профилактика. Кариес молочных зубов. Причины, симптомы и диагностика кариеса
58735
0
Кариес – лечение и профилактика. Кариес молочных зубов. Причины, симптомы и диагностика кариеса

Комментировать или поделиться опытом:


Архивы:

Регистрация временно закрыта

Вход в профиль

Войдите при помощи профиля в социальной сети или ранее зарегистрированного профиля на сайте

Ваша эл. почта
Проверочный код
Вернуться к логину
Ваша эл. почта
Пароль
Я забыл пароль
Закрыть