Зубной камень – это минеральные отложения на поверхности зубной эмали. Как правило, зубной камень представляет собой затвердевший зубной налет (зубные бляшки).
Состав зубного камня:
- соли-фосфаты – основной компонент;
- соли кальция, железа;
- отмершие клетки слизистой оболочки десны;
- остатки пищи;
- бактерии.
Виды зубного камня в зависимости от расположения:
- наддесневой – образуется на эмали коронки зуба;
- поддесневой – находится на шейке зуба и ниже, под уровнем десны;
- каменный мост – обширный зубной камень, захватывает несколько зубов.
Наддесневые и поддесневые зубные камни имеют одинаковый состав. Они могут иметь различную консистенцию, от относительно мягкой до твердых кристаллов. Различие состоит в источнике поступления солей-фосфатов. В наддесневые камни они поступают из слюны, а в поддесневые – из слизистой оболочки. Поддесневые зубные камни выявляются и удаляются сложнее.
Информация в статье носит справочный характер и не заменяет консультацию врача. Перед применением рекомендаций обратитесь к специалисту.
Согласно статистике, зубной камень встречается у 80% взрослых людей. Он может образоваться не только на собственных зубах, но и после протезирования. Часто камни бывают незаметны из-за небольших размеров или расположения в десневом кармане.
- Причины и механизм образования зубных камней
- Как выглядит зубной камень?
- Наддесневой зубной камень
- Поддесневой зубной камень
- Каменные мосты
- Способы удаления зубного камня
- Можно ли удалить зубной камень самостоятельно? Какие зубные пасты для этого лучше использовать?
- Способы удаления зубных камней в современной стоматологии
- Как часто нужно чистить зубной камень?
- Какие правила нужно соблюдать после удаления зубного камня?
- Что может сделать врач после удаления зубного камня?
- Какие рекомендации дает стоматолог после снятия зубных камней?
- Чем можно полоскать рот после удаления зубного камня?
- Каковы осложнения зубного камня?
- Профилактика зубных камней
- Какими зубными пастами стоит пользоваться людям, страдающим зубными камнями?*
- 17 вопросов врачу-стоматологу
Причины и механизм образования зубных камней
Причины, приводящие к образованию зубного налета и зубного камня:
- Нерегулярная или неправильная чистка зубов: первично зубной налет образуется из остатков пищи, которые не были своевременно удалены с поверхности эмали.
- Преобладание мягкой пищи в рационе питания. Интенсивное пережевывание при приеме жесткой пищи способствует очищению зубов. Мягкая пища больше способствует отложению зубного налета.
- Жевание только на одной стороне. Если человек пережевывает пищу только на одной стороне зубного ряда, то вторая выключена из процесса, и на ней более интенсивно образуется зубной налет, который затем минерализуется и превращается в камень.
- Применение зубных щеток и паст, имеющих низкий уровень качества. При этом происходит недостаточное очищение зубов.
- Нарушение обмена веществ. При этом в слюне содержится повышенное количество фосфатов.
- Механические факторы, способствующие отложению налета: врожденные деформации и неправильное расположение зубов, шероховатая поверхность зубных протезов.
- Наследственная предрасположенность. Она связана с особенностями обменных процессов в организме. Это наиболее вероятная причина упорного возникновения зубных камней у людей, которые тщательно соблюдают правила гигиены и выполняют все рекомендации стоматолога.
Механизм образования зубного камня:
- I этап. Образование мягкого зубного налета – так называемой зубной бляшки. Она состоит из микроорганизмов, отмерших клеток слизистой оболочки, остатков пищи и слизи, играющей роль связующего компонента.
- II этап. Зубная бляшка является органической матрицей, в которой откладываются минеральные соли. Здесь образуются центры кристаллизации, вокруг которых начинается затвердевание.
- III этап. Происходит рост кристаллов, итогом которого является полное затвердевание зубной бляшки и образование зубного камня.
Как выглядит зубной камень?
Наддесневой зубной камень
Если наддесневой зубной камень образуется на наружной поверхности коронки зуба, то он, как правило, хорошо заметен для самого пациента. Обычно он имеет желтый или коричневый цвет, утолщается и темнеет с возрастом.
Наиболее частые места расположения наддесневого зубного камня:
- язычная (обращенная внутрь ротовой полости) поверхность нижних резцов;
- щечная (наружная) поверхность верхних коренных зубов.
Если зубной камень расположен на поверхности зуба, которая обращена внутрь ротовой полости, то он выявляется во время осмотра стоматологом.
Поддесневой зубной камень
Поддесневой зубной камень становится заметен только при сильном разрушении десны. В остальных случаях его может выявить стоматолог при проведении исследования зондом.
В состав поддесневого зубного камня входят компоненты крови и продукты их распада. Поэтому такой камень может иметь коричневый, черный, зеленый цвет. Иногда он сочетается с гнойным воспалительным процессом.
Каменные мосты
Каменные мосты обычно образуются из наддесневых камней, когда они сильно увеличиваются в размерах и захватывают несколько соседних зубов. Наиболее частое место расположения каменных мостов – задняя (внутренняя) поверхность нижних резцов.
Способы удаления зубного камня
Можно ли удалить зубной камень самостоятельно? Какие зубные пасты для этого лучше использовать?
В состав зубного камня входят соли кальция, поэтому он имеет высокую прочность и плотно прикрепляется к десне. Существуют различные зубные пасты и народные методы, которые якобы помогают избавляться от зубного камня. На самом деле они эффективны только против мягкого зубного налета. При сформировавшемся камне не поможет ни одно домашнее средство. Удаление можно осуществить только в кабинете стоматолога.
Способы удаления зубных камней в современной стоматологии
Как часто нужно чистить зубной камень?
Если пациент заметил у себя зубной камень, то это обязательно должно стать поводом для визита к стоматологу в ближайшее время.
О какой-либо периодичности визитов к врачу говорить сложно. Дело в том, что зубной камень далеко не всегда становится следствием несоблюдения гигиены ротовой полости. Многое зависит от индивидуальных особенностей обмена веществ и состава слюны. Разным людям ультразвуковая чистка зубов может быть показана раз в год, полгода, в квартал. Ультразвук не причинит вреда зубам.
О том, насколько часто нужно проводить чистку зубов в кабинете, пациенту лучше проконсультироваться со своим стоматологом.
Какие правила нужно соблюдать после удаления зубного камня?
Что может сделать врач после удаления зубного камня?
- Чистка зубов. Часто используют такое сочетание: удаление камней ультразвуком и последующее применение Air Flow. Это способствует удалению зубного налета и предотвращению образования новых камней.
- Шлифовка и полировка зубов. Стоматолог шлифует зубы пациента, а затем полирует их при помощи специальной абразивной пасты и инструмента с конусовидным наконечником. Отсутствие шероховатых участков эмали является одним из факторов, предотвращающих возникновение зубных отложений.
- Укрепление и защита зубов. Для этого на эмаль наносят фторсодержащие эмали, например, фторолак.
Какие рекомендации дает стоматолог после снятия зубных камней?
- В первые дни, пока еще на зубах не образовался защитный слой (пелликула), нужно избегать употребления красящих напитков: чая, кофе, газировки.
- Избегать курения, так как оно тоже дает прокрашивание зубов.
- Сменить зубную щетку, купить новую.
- Желательно приобрести электрическую или ультразвуковую зубную щетку.
- Чистить зубы два раза в день, утром и вечером. Причем, стоит акцентировать внимание именно на вечерних чистках.
- Пользоваться дополнительными средствами ухода за зубами: зубными нитями, растворами для полоскания.
- В первые дни после удаления зубов необходимо полоскать рот растворами антисептиков или настоями лекарственных растений.
- Полезно пить чай с ромашкой, которая обладает антисептическими свойствами.
Обычно после удаления зубных камней отмечается небольшая расшатанность зубов. Как правило, в она проходит в течение некоторого времени, когда десна снова плотно примыкает к зубу.
Чем можно полоскать рот после удаления зубного камня?
| Средство | Описание | Как правильно полоскать рот? |
| Настой ромашки аптечной | Аптечная ромашка – лекарственное растение, обладающее антисептическими свойствами. Ее настой широко применяется для полосканий рта и горла при различных заболеваниях ротовой полости, ЛОР-органов. Готовое сырье можно приобрести в аптеке. Способ приготовления настоя:
|
После удаления зубных камней достаточно полоскать рот настоем ромашки 3 – 4 раза в день в течение первых дней. |
| Настой календулы | Так же, как и ромашка, календула содержит антисептики естественного происхождения. Продается в аптеках.
Первый способ приготовления настоя (при использовании сушеных цветов):
Второй способ приготовления настоя (при использовании специальной аптечной настойки в упаковках):
|
После удаления зубных камней достаточно полоскать рот настоем календулы 3 – 4 раза в день в течение первых дней. |
| Настой шалфея | Шалфей – лекарственное растение, обладающее выраженным антимикробным и противовоспалительным действием.
Способ приготовления настоя шалфея:
|
Полоскать рот 3 – 4 раза в день в первые дни после удаления зубного камня. |
Каковы осложнения зубного камня?
Далеко не все пациенты, имеющие зубные камни, обращаются за помощью к стоматологам. Многие считают, что это состояние не представляет опасности для зубов. На самом же деле зубные камни могут давать различные осложнения.
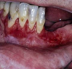
- Повышенная кровоточивость десен. Чаще всего отмечается при поддесневых зубных камнях. Связана с тем, что такой камень отодвигает десну от зуба и травмирует ее.
- Зуд десен. Связан с раздражением камнем слизистой оболочки десны.
- Неприятный запах изо рта. Зубной налет и зубные камни являются очагами, в которых развиваются бактерии. Камень не дает полноценно убрать остатки пищи и микроорганизмы во время чистки зубов.
- Пародонтит – воспалительный процесс в тканях, окружающих корни зубов. Это осложнение развивается по мере того как камень увеличивается в размерах и прорастает вглубь между корнем зуба и десной.
- Расшатанность зубов. Также является причиной прорастания камня между десной и корнем зуба. Обычно возникает на фоне пародонтита.
- Темные пятна на зубной эмали. Чаще всего образуются (если они вызваны зубным камнем) возле десны, там, где коронка переходит в шейку.
- Атрофия десны. В результате воспаления и нарушения обменных процессов десна в области расположения зубных камней частично рассасывается. Десневой край располагается ниже, зубы становятся расшатанными. Если процесс заходит достаточно далеко, то происходит утрата зубов, приходится осуществлять протезирование. Подобные атрофические процессы в десне называются рецессией. Чаще всего она встречается у людей после 30 лет. Конечно, рецессия обусловлена не только зубным камнем. Она имеет и другие причины: нарушения правил гигиены ротовой полости, неправильное положение зубов, частое курение, воспалительные процессы в ротовой полости и пр. Однако, зубные камни являются мощным провоцирующим фактором.
- Кариес. В зубных пятнах и зубных камнях присутствуют микроорганизмы, которые ответственны за развитие кариозного процесса. Иногда пациент изначально обращается к стоматологу для лечения кариеса, а в ходе осмотра у него выявляется зубной камень.
- Гингивит – воспалительный процесс в деснах.
Профилактика зубных камней
Профилактические меры в отношении зубных камней:
- Тщательная гигиена ротовой полости. Необходимо чистить зубы 2 раза в день: утром и вечером. Вечером это делают перед сном, а по утрам – после приема завтрака.
- Необходимо следить за состоянием зубной щетки. Щетина должна иметь оптимальную жесткость, не должна быть растрепанной и редкой. Зубную щетку меняют не реже 1 раза в 3 месяца. При наличии такой возможности лучше купить электрическую или ультразвуковую щетку.
- Использование зубной нити – флосса. Не стоит считать, что она является альтернативой зубной щетке. Флосс дополняет её. Он помогает убрать налет из межзубных промежутков – труднодоступных мест, в которые не способна проникать щетка. Именно здесь зачастую начинают образовываться зубные камни.
- Использование жевательной резинки. Желательно жевать ее после каждого перекуса в течение 10 – 15 минут.
- Отказ от курения. Существует много причин, по которым стоит избавиться от никотиновой зависимости. Одна из них – риск образования зубных камней.
- Оптимизация питания. В рационе должно быть достаточное количество жесткой пищи. Особенно полезны сырые продукты, содержащие клетчатку. Во время их интенсивного пережевывания происходит естественное очищение зубов от налета.
- Ограничение в рационе сладкого. Именно сахар – глюкоза – является самой лучшей питательной средой для многих болезнетворных микроорганизмов. Сладкие напитки нужно пить через трубочку – так они меньше воздействуют на зубную эмаль.
- Своевременное лечение любых заболеваний зубов и ротовой полости.
- Регулярное посещение стоматолога для профилактических осмотров. Визиты к врачу рекомендуется наносить раз в 6 месяцев.
Какими зубными пастами стоит пользоваться людям, страдающим зубными камнями?*
Широко распространено мнение о том, что есть специальные зубные пасты, которые помогают избавиться от зубного камня.
На самом деле снятие камней может эффективно выполнить только стоматолог. Основное назначение зубных паст:
- профилактика образования зубного камня;
- снятие мягких зубных отложений;
- борьба с заболеваниями зубов, способствующими появлению зубных бляшек и камней.
Перед выбором зубной пасты посоветуйтесь со стоматологом.
Аюрведа – народная индийская медицина. Признана ВОЗ.
17 вопросов врачу-стоматологу


















