Зубной налет. Почему образуется зубной налет? Удаление зубного камня, домашние методы, чистка у стоматолога. Способы отбеливания зубов

Содержание статьи:


Сайт предоставляет справочную информацию. Адекватная диагностика и лечение болезни возможны под наблюдением добросовестного врача. У любых препаратов есть противопоказания. Необходима консультация специалиста, а также подробное изучение инструкции!

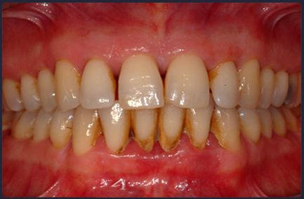
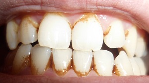
Зубной камень – плотное отложение, представляющее собой скопление зубного налета, пропитанного минералами. В его состав входят: микроорганизмы, остатки пищи и клеток эпителия, минералы и гликопротеиды слюны. Зубной камень не вызывает боли или дискомфорта, но способствует развитию патологических процессов и может иметь серьезные последствия: кариес, гингивит, пародонтит, расшатывание и потеря зуба.

Основной причиной появления зубного камня является недостаточная гигиена рта, а именно зубной налет, который не удаляется во время чистки зубов.

Зубной камень очень распространенное явление. При стоматологическом осмотре он обнаруживается у 80% пациентов. Наличие зубного камня на своих зубах можно определить самостоятельно, проведя ногтем по языковой стороне зуба. Зубной камень прощупывается, как выпуклость или ступенька, расположенная ближе к десне.

Виды зубного камня:
  • Наддесневой зубной камень (слюнный). Видимый зубной камень – образуется на коронке зуба. Чаще на поверхностях, обращенных к языку и на шейке зуба. Формируется на основе зубного налета и компонентов слюны. Приводит к деминерализации эмали, способствует развитию кариеса.
  • Поддесневой зубной камень (сывороточный). Внешне незаметный. Обнаруживается при стоматологическом обследовании зубодесневых карманов. Образуется на корнях зуба из компонентов сыворотки крови и воспалительного экссудата. Темнее и плотнее слюнного камня. Приводит воспалению десен, расшатыванию и потере зуба, поэтому считается опаснее наддесневого камня.
Интересные факты про зубной камень:
  • Зубной налет и зубной камень образуется у всех людей, но с разной скоростью;
  • Зубной камень быстрее растет во время сна, а не после еды;
  • Первым формируется наддесневой зубной камень. Затем он спускается вниз по корню зуба, вызывая развитие поддесневого зубного камня;
  • Главную роль в обызвествлении зубного камня играет фосфор, а не кальций;
  • В камнях на верхних зубах преимущественно живут бактерии, которые нуждаются в кислороде (аэробы) стрептококки и лактобаниллы. На нижних преобладают виды, которые обходятся без кислорода (анаэробы) вейлонеллы и фузобактерии. Последние чаще вызывают кариес;
  • Зубной камень может сформироваться на молочных и коренных зубах, а также на протезах;
  • Поддесневой зубной камень по составу схож с камнями, которые образуются в почках и протоках печени.

Анатомия зуба, обменные процессы в полости рта

Зуб – это окостеневший отросток слизистой оболочки. Каждый зуб располагается в альвеолярном отростке верхней или нижней челюсти.
Зуб состоит из нескольких частей:
  • Коронка – верхняя видимая часть зуба.
  • Шейка – переходная часть между корнем и коронкой зуба.
  • Корень – часть зуба, утопленная в ячейку челюстной кости.
  • Зубодесневой карман – небольшое пространство между десной и корнями зуба.
Ткани зуба:
  • Цемент – плотная минерализованная костная ткань, покрывающая корни зуба.
  • Пульпа – рыхлая соединительная ткань, заполняющая полость зуба. Содержит волокна, нервы и кровеносные сосуды.
  • Дентин – плотная твердая волокнистая субстанция, составляющая основную часть зуба. Дентин имеет сходство с костной тканью, но не содержит тел клеток и в его составе меньше кальция. В ходе жизни человека дентин постоянно обновляется, в отличие от эмали.
Химический состав дентина:
  • 70% неорганических веществ (гидроксиаппатит кальция, фосфат магния, фторид кальция)
  • 30% воды и органических веществ (коллагеновые волокна и клеточные включения).
Строение дентина:
  • Основное вещество дентина имеет несколько компонентов: предентин, интерглобулярный, околопульпарный, зернистый слой Томса. Структура основного вещества - это коллагеновые фибриллы (нити), собранные в пучки, и расположенные между ними белковые и минеральные включения. Частицы пигмента придают дентину желтоватый оттенок.
  • Дентинные канальцы – трубочки, пронизывающие основное вещество, которые идут от пульпы к эмали. в полостях канальцев содержатся нервные окончания, отростки одонтобластов и дентинная жидкость. С ними связана чувствительность зуба, которая возникает при раздражении нервных окончаний через истонченную эмаль.
  • Эмаль – полупрозрачная твердая наружная оболочка зуба, самая плотная ткань в организме. Однако она довольно хрупкая и может трескаться от ударов и перепадов температур. Толщина эмали в коронке 3,5 мм, а в шейке 0,1 мм. Эмаль не содержит клеток, как другие ткани и органы, а состоит из кристаллов, собранных в пучки - призмы. Поэтому она не способна к восстановлению и регенерации и трещины на эмали не затягиваются.
Химический состав зубной эмали:
  • 95% неорганические вещества (гидроксиапатит магний, карбонаты, фосфаты кальция, а также фтор, цинк, медь, железо);
  • 4% органические вещества (белки, жиры, углеводы);
  • 1% жидкости.
Даже здоровая эмаль имеет шероховатую структуру и покрыта микротрещинами. Они появляются при потреблении горячей или холодной пищи, горячих напитков на морозе, соприкосновении зубов с табачным дымом. Эти факторы приводят к неравномерному расширению зубной эмали. Между призмами образуются широкие промежутки, превращающиеся в микротрещины.

К эмали не проникают питательные вещества через кровеносные сосуды, поэтому она не способна к восстановлению. Укрепление и питание эмали в основном проходит за счет компонентов слюны. Обмен веществ в эмали проходит на ионном уровне и включает в себя два процесса: минерализацию и деминерализацию.
  • Минерализация – поступление минеральных веществ из дентина и из слюны. Если преобладают процессы минерализации, то эмаль укрепляется, уменьшается чувствительность зубов к горячему и холодному, снижается риск развития кариеса. Основа минерализации – это притягивание отрицательно заряженных ионов кальция и фосфора, к положительно заряженным ионам молекул эмали.
  • Деминерализация – выход минеральных веществ из эмали в окружающие ткани. При преобладании этого процесса эмаль становится хрупкой, истончается и повышается риск развития стоматологических болезней. Этот процесс преобладает на участках, покрытых зубным камнем и крупными скоплениями зубного налета.
Активность обмена веществ в эмали и преобладание одного из процессов зависят от общего состояния здоровья человека, интенсивности солевого обмена, количества ионов кальция, фосфора и фтора в слюне, а также индивидуальных особенностей организма.
Интересно, что чем выше степень минерализации и прочнее эмаль, тем она прозрачнее. В этом случае, через нее просвечивает желтоватый дентин. Поэтому временные зубы с низкой степенью минерализации эмали кажутся белее.
Процессы минерализации в ротовой полости связаны и с образованием зубного камня. Однако это не означает, что твердые зубные отложения образуются только у людей с высоким уровнем минерализации. Напротив, зубной камень чаще обнаруживается у пациентов с тонкой деминерализованной эмалью. Это происходит потому, что бактерии зубного камня притягивают ионы минералов гораздо интенсивнее, чем эмаль зуба. Рассмотрим этот процесс подробнее.
Этапы формирования зубного камня
  1. Пелликула
Пелликула – тонкая пленка из органических веществ, Эта прозрачная оболочка настолько тонкая, что незаметна невооруженным взглядом и обнаруживается только при окрашивании.
Состав. Она состоит из гелеобразных компонентов слюны (гликопротеинов и муцина), остатков микроорганизмов и клеток эпителия.
Время образования. Пелликула появляется на зубе через 20 минут после чистки, для ее формирования достаточно контакта зуба со слюной.
Место образования. Покрывает всю поверхность коронки. Присутствует у всех людей.
  1. Мягкий зубной налет
Мягкий зубной налет – рыхлое пористое образование, которое непрочно крепится к поверхности зуба. Первые сутки после образования он не имеет тесной связи с эмалью и может быть удален во время чистки. Постепенно зубной налет уплотняется и может окрашиваться различными пигментами.

Состав. Хаотично расположенные остатки пищи, вода, бактериальные клетки, грибы.
Время образования. Появляется через 2-3 часа после чистки зубов.
Место образования. Покрывает всю поверхность зуба, где нет тесного контакта с грубой пищей и языком.
  1. Зубная бляшка
Зубная бляшка – мягкое зубное отложение, которое располагается на поверхности пелликулы и плотно прикреплено к эмали. Формируется на основе мягкого зубного налета. Зубная бляшка имеет сложную многослойную структуру, в которой чередуются наслоения рыхлых и плотных биомасс. Вся система пронизана каналами для перемещения воды и продуктов обмена бактерий. Впоследствии зубная бляшка пропитывается пигментами и минералами, так происходит ее уплотнение и окрашивание.

Образование зубной бляшки проходит в три этапа:
  • Первый этап – первичная колонизация. Благодаря электростатическому взаимодействию к пелликуле, присоединяются микроорганизмы защитной микрофлоры ротовой полости. Белки пелликулы притягивают противоположно заряженные клетки бактерий, которые прикрепляются к пелликуле с помощью особых выростов мембраны (пилей).Обычно это непатогенные стрептококки (S. Oralis, S. Mitis, S. Intermedius, S. Sanguis).
  • Второй этап - размножение. Бактерии начинают активно размножаться. За первые 24 часа масса зубной бляшки удваивается.
  • Третий этап – вторичная колонизация. Присоединение бактерий из окружающей среды (более 50 видов). Среди них большое количество патогенных видов, способных вызвать кариес и воспаление десен.
Состав. 10% бактерий и 90% продуктов, выделяемых ими в процессе жизнедеятельности. Чем толще бляшка, тем больше в ней анаэробных бактерий (вейонеллы и фузобактерии), не требующих для жизнедеятельности кислорода. Именно эти бактерии продуцируют кислоты, которые разрушают зубную эмаль.
Время образования. Начинает формироваться через 24-48 часов после чистки зубов.
Место образования. Участки, где нет тесного контакта с пищей, поверхностью зубов и языком: неровности, промежутки между зубами, естественные углубления зуба, пришеечная область.
  1. Зубной камень
Зубной камень – отвердевшая зубная бляшка, насыщенная минералами. По своей структуре зубной камень это чередование слоев бактерий и минералов.

Состав. 80% неорганических веществ: кальций, магний, фосфаты, карбонаты. 20% воды и органических веществ: гликопротеидов слюны, бактерий. Состав бактерий, формирующих органическую часть зубного камня, у разных людей может отличаться. Но основу его составляют: стрептококки, дифтероиды, пептострептококки и вейлонеллы.

Время образования. Первые очаги обызвествления зубной бляшки появляются через 2-3 дня после ее формирования. Далее рост камня происходит довольно быстро, в среднем по 1% от сухой массы за день. Весь процесс обызвествления занимает до 2-х недель. Максимального объема зубной камень достигает через 6-9 месяцев. На время образования камня во многом влияет гигиена полости рта, состав слюны и индивидуальные особенности организма.

Место образования. Преимущественно на шейках зубов. Особенно часто на языковой стороне резцов, где он может охватывать сразу несколько зубов, формируя каменный мост. Часто на щечной (наружной) поверхности премоляров и моляров.

Как происходит процесс минерализации зубного камня?
Клеточная оболочка бактерий зубной бляшки имеет отрицательный заряд, который притягивает положительно заряженные ионы фосфора и кальция. Благодаря этому происходит минерализация и затвердение зубного налета.
Старт обызвествления происходит в той части налета, которая прилегает к зубной эмали. Поначалу это отдельные островки. Они постепенно увеличиваются в размере и образуют один крупный зубной камень.

В последние годы получила популярность теория адгезии. Согласно ей белки, входящие в состав пелликулы, обеспечивают механическое взаимодействие органической части налета и минералов, содержащихся в слюне.

Почему появляется камень на зубах?

Зубной налет и зубной камень образуется абсолютно у всех людей, но с разной скоростью. На этот процесс влияет множество факторов:
  • Несоблюдение гигиены полости рта. Для того чтобы избавиться от зубного налета, предшественника зубного камня, необходимо чистить зубы 2 раза в день. Желательно проводить чистку после завтрака и ужина. Кроме того требуется использовать зубную нить для очищения участков между зубами, куда не проникают щетинки. Несоблюдение этих правил приводит к быстрому увеличению налета, который в дальнейшем превращается в зубной камень.
  • Некачественные зубные щетки и пасты. Качественная зубная щетка должна быть жесткой и иметь щетинки разной длины с закругленными концами. В этом случае удается очистить поверхность зуба и межзубные промежутки. Слишком мягкие или стертые зубные щетки не в состоянии справиться с этой задачей. Зубная паста должна содержать мелкие абразивные частицы и иметь индекс RDA свыше 50. Чем выше этот показатель, тем больше абразивных частиц и лучше очищение зубов. С удалением налета лучше всего справляется диоксид кремния.
  • Пища, богатая углеводами. Такая пища является хорошей питательной средой для бактерий и способствует их размножению. Микроорганизмы составляют основную часть налета и обеспечивают появление новых слоев зубного камня. Кроме того бактерии перерабатывают глюкозу и фруктозу, выделяя органические кислоты. Эти вещества способны растворять апатиты, из которых состоит зубная эмаль.
  • Снижение рН. Повышенная кислотность слюны приводит гиперминерализации – ионы фосфора, кальция и калия откладываются на поверхности зубного камня. Повысить кислотность в полости рта способны: сигаретный дым, пристрастие к сладостям, кислой пище и напиткам, преобладание стрептококков в микрофлоре рта.
  • Повышение рН. Пародонтопатогенные микроорганизмы во рту перерабатывают мочевину, и выделяют щелочные продукты обмена, повышающие рН (понижающие кислотность). При снижении кислотности слюны менее 6,2 она теряет свои буферные свойства, что способствует присоединению к зубному камню фосфатов, кальция, магния и калия. Во рту преобладают процессы деминерализации, которые связаны с уменьшением отрицательного заряда кристаллов эмали, которая теряет минералы и становится более рыхлой.
  • Мягкая пища прилипает к зубам и остается в межзубных промежутках. Это способствует образованию налета и появлению новых слоев зубной бляшки. Твердая пища, особенно овощи и фрукты, хорошо очищает поверхность зубов во время пережевывания.
  • Повышенное содержание в слюне минералов фосфора и кальция. Данное свойство организма связано с особенностями протекания обменных процессов и может передаваться по наследству. Положительные ионы минералов притягиваются к отрицательно заряженным бактериям зубного налета, образуя зубной камень.
  • Неправильный прикус, неровный зубной ряд, неплотно прилегающие пломбы, брекет-системы и другие ортодонтические аппараты. Сопровождаются нарушением жевательной функции, что вызывает скопление налета и остатков пищи в труднодоступных местах. Отсутствие естественной очистки встречается у людей, которые пережевывают пищу одной стороной челюстей.
  • Заболевания эндокринной системы. Болезни щитовидной железы и сахарный диабет нарушают баланс организма и солевой обмен. Эти патологии могут сопровождаться повышением или снижением кислотности ротовой жидкости, изменением состава слюны и микрофлоры рта.



Подпишитесь на Здоровьесберегающий видеоканал

Причины налета на зубах

Зубной налет появляется абсолютно у всех людей. В большинстве случаев это бесцветная пленка из бактерий, клеток эпителия и частиц пищи, но при определенных обстоятельствах она может пропитываться пигментами и менять цвет. Если мягкий белый налет можно удалить, тщательно почистив зубы, то от плотного «цветного» налета может избавить только стоматолог.
Виды зубного налета Причины зубного налета и механизм формирования Возможные последствия
Мягкий белый зубной налет Прикрепление бактерий к пелликуле, покрывающей зубную эмаль на протяжении первых 24 часов после чистки. Микроорганизмы быстро размножаются, питаясь остатками пищи, при этом они выделяют органические кислоты и медиаторы воспаления. Эти вещества раздражают слизистую десны, вызывая выделение десневой жидкости, которая используется бактериями для питания и минерализации. Разрушение зубной эмали.
Неприятный запах изо рта.
Развитие кариеса.
Воспаление десен.
Желто-коричневый налет Окрашивание плотного зубного налета (зубной бляшки) пигментами, содержащимися в чае, кофе и других продуктах. Эстетический недостаток. Основа для образования зубного камня.
Повышенная чувствительность зубов.
Воспаление и кровоточивость десен.
Зеленоватый налет В состав налета входят хромогенные хлорофиллсодержащие бактерии, которые и окрашивают его в зеленый цвет. Встречается у детей и подростков, а также людей с ослабленным иммунитетом. Свидетельствует о дисбактериозе ротовой полости. Внешний недостаток.
Неприятный запах.
Раздражение и воспаление десен продуктами обмена бактерий.
Бурый налет «Налет курильщика» образуется при постоянном взаимодействии зубного налета и табачного дыма. Смолы глубоко проникают в толщу плотного налета, окрашивая его.
Бурый налет может указывать на общие заболевания, сопровождающиеся высоким содержанием железа в слюне: первичный гемохроматоз (активное всасывание железа в пищеварительном тракте), сиалоаденит (образование камня в слюнной железе).
Прием препаратов на основе железа также может вызвать появление налета буро-коричневого цвета.
Повышенная чувствительность зубов связанная с деминерализацией и истощением эмали.
Повышенная кровоточивость десен.
Неприятный запах изо рта
Воспаление десен гингивит.
Формирование зубного камня.
Черный налет Образуется главным образом у детей при участии хромогенов. Может быть связан с химиотерапией, длительным приемом тетрациклиновых антибиотиков.
У детей черный налет вызван дисбактериозом и развитием грибковой флоры – хромогенного грибка.
При заболеваниях печени и желчевыводящих путей в крови повышается уровень желчных кислот, которые могут стать причиной потемнения зубов.
Эстетический дефект.
Гингивит – воспаление десен.
Необходимо лечение причин, спровоцировавших отложение черного налета.
Зубной налет мешает контакту зуба и ротовой жидкости, которая обеспечивает эмаль минералами. В связи с этим крупные отложения мягкого и пигментированного налета приводят к деминерализации эмали и развитию кариеса.

Удаление зубного камня методы

Механические методы

Механическое удаление зубных камней может быть ручным или машинным. Чистку над- и поддесневых отложений производит стоматолог в амбулаторных условиях.

Ручное удаление зубного камня. Для ручного удаления наддесневых камней стоматолог использует инструмент, представляющий собой тонкий серповидный крючок. Его заводят под камень и отделяют отложения от поверхности зуба.

Для удаления поддесневых камней и очистки пришеечной области используют кюретку. Для снятия мелких остаточных отложений подходит стоматологический напильник.

Врач выполняет короткие скребущие движения от корна зуба к его жевательной поверхности. Легко прижимая инструмент, он удаляет зубные камни, стараясь не повредить эмаль.

Машинное удаление зубного камня. Используются различные виды насадок для бормашины:
  • циркулярные щетки;
  • штрипсы;
  • пескоструйные наконечники;
  • резиновые насадки, на которые наносят абразивные пасты.
Преимущества механических методов:
  • широкая распространенность и общедоступность;
  • подходит для удаления и мелких, и массивных отложений.
Недостатки:
  • процедура довольно болезненная;
  • есть риск повреждения эмали и тканей десны;
  • после удаления поддесневых камней возникает кровоточивость и временное расшатывание зубов;
  • требуется восстановительный период: на протяжении 3-5 дней необходимо полоскать рот антисептиками и отварами лекарственных трав.

Физические методы

Ультразвук
Ультразвуковая чистка с помощью аппаратов-скалеров "Пьезон-Мастер", «Ультрастом», «Кавитрон» является самым распространенным вариантом удаления зубных отложений. Ультразвуковые волны частотой 25-32 кГц дробят зубной камень на мелкие фрагменты. На насадку подается вода или антисептические растворы. Жидкость удаляет осколки камня, микроорганизмы, токсины, способствуют охлаждению зуба при работе. Процедура заканчивается нанесением лаков или растворов, содержащих фтор, что способствует укреплению эмали.
Преимущества:
  • Безболезненность – отсутствует контакт с чувствительными тканями десны;
  • Бесконтактный метод – обеспечивает целостность эмали, не повреждает ткани зуба;
  • Возможно выполнение при воспалении десен;
  • Бактерицидный эффект – во время процедуры образуются атомы водорода, которые губительно действуют на бактерии, уменьшая их количество на 25%;
  • Меньшая продолжительность процедуры по сравнению с механическим удалением;
  • Очистка труднодоступных мест. Благодаря малому диаметру наконечника насадок удаляет налет с участков, недоступных при механической чистке.
  • Подходит для удаления над- и поддесневого камня. Хорошо очищает корень зуба и периодонтальный карман.
Недостатки:
  • Пломбы из композитных материалов, мосты и фарфоровые коронки могут изменить цвет;
  • При неправильном проведении процедуры есть риск повреждения цемента корня. Такой эффект могут вызвать: угол насадки к корню более 45 градусов, использование аппарата на полную мощность.
  • Имеются противопоказания:
  • бронхиальная астма;
  • хронический бронхит;
  • ортодонтические конструкции;
  • нарушения сердечного ритма;
  • острые инфекционные и воспалительные заболевания;
  • детский возраст;
  • очаги деминерализации эмали.
Лазер
Лазерное удаление зубного камня основано на разрушении зубных отложений с помощью лазерных лучей. Под воздействием высоких температур вода в камне испаряется и он разрушается. Нагревания и растрескивания эмали не происходит, поскольку в ее состав практически не входит жидкость.

На первом этапе прокрашивают зубной камень, чтобы стоматолог мог определить его границы. Затем пучок лазерных лучей фокусируют на твердых отложениях, и они разрушаются. Параллельно на насадку подается водно-воздушная смесь, которая вымывает отколовшиеся фрагменты. На заключительном этапе процедуры поверхность зубов полируют и покрывают фтором.
Преимущества:
  • Малотравматичная бескровная процедура;
  • Бактерицидный эффект – уничтожение бактерий;
  • Осветление эмали на 2-3 тона;
  • Возможность удаления над- и поддесневых отложений.
Недостатки:
  • Дорогостоящая аппаратура, которая есть только в крупных стоматологических центрах;
  • Недостаток специалистов необходимой квалификации;
  • Высокая стоимость процедуры;
  • Имеются противопоказания:
  • молочные зубы;
  • беременность;
  • СПИД, туберкулез;
  • наличие кардиостимулятора;
  • ортопедические и ортодонтические конструкции на зубах.
Air Flow – воздушно-струйный метод
Air Flow или аир флоу – это удаление зубных камней воздушно-водной струей. Методика подходит для удаления небольших рыхлых отложений. Под высоким давлением подается состав из воды, воздуха и мельчайших частиц бикарбоната натрия с вкусовыми добавками. Эта смесь стачивает зубной налет, мелкие зубные камни и счищает их с поверхности зуба. Воздушно-водный метод редко используется как самостоятельный, а обычно выступает, заключающим этапом ультразвуковой или механической чистки.

Преимущества:
  • Малая травматичность и безболезненность процедуры;
  • Возможность удалить отложения с межзубных промежутков;
  • Осветление эмали на 1-2 тона;
  • Подходит для очистки имплантатов и брекетов;
  • Недорогое компактное оборудование.
Недостатки:
  • Подходит лишь для удаления мягких рыхлых зубных камней;
  • Не справляется с плотными и массивными отложениями;
  • Не эффективно для удаления поддесневого камня.
  • Противопоказания:

  • астма;
  • хронический бронхит;
  • острые воспаления в полости рта;
  • заложенность носа.

Химические методы

Для удаления зубного камня могут использоваться препараты на основе кислот и щелочей. Эти вещества растворяют структуру камня, делая ее более рыхлой. Впоследствии размягченный камень легче удалить с помощью крючка, ультразвука или Air Flow. Таким образом, химические методы чаще используются не самостоятельно, а в комплексе с другими процедурами.

Перед процедурой на десны и губы наносят защиту, чтобы уберечь от воздействия агрессивных веществ. Затем препарат, чаще всего гель на основе соляной кислоты (Depuration Solution и Detartrol ultra), наносят на поверхность зубного камня. Выжидают 20-30 секунд, затем удаляют ватным тампоном или смывают водой. После этого зубной камень легко удаляется. Поверхность зуба покрывают средствами с высоким содержанием минералов для укрепления эмали.
Преимущества:
  • Метод показан пациентам с высокой шаткостью зубов;
  • Подходит для удаления зеленого налета;
  • Позволяет сохранить пломбы.
Недостатки:
  • Не подходит для удаления поддесневого камня;
  • Нарушает структуру зубной эмали, растворяя ее кристаллы, после чего повышается стираемость эмали;
  • Провоцирует чувствительность зубов к холодному, горячему, сладкому;
  • При неосторожном использовании может вызвать ожог десен и губ;
  • Противопоказания:
  • заложенность носа;
  • воспалительные заболевания полости рта;
  • беременность;
  • детский возраст;
  • наличие брекет-систем и ортопедических конструкций;
  • чувствительная эмаль зубов;
  • аллергия на один из компонентов препарата.
Что делать после удаления зубного камня?
  • Чистить зубы 2 раза в день после ужина и завтрака. Пользоваться пастой для чувствительных зубов с фтором и зубной щеткой с мягкой щетиной;
  • Принимать еду и напитки комнатной температуры;
  • Полоскать рот после каждого приема пищи;
  • Отказаться от пищи, окрашивающей поверхность зубов. Это свекла, морковь, красные и черные ягоды, кофе, чай, красное вино, красящиеся напитки;
  • Воздержаться от курения;
  • Если при чистке поддесневого камня были травмированы десны, то каждые 3-4 часа необходимо полоскать рот раствором антисептика хлоргексидина, мараславина, либо растворами прополиса, хлорофиллипта, отварами ромашки, шалфея.
Эти рекомендации придется соблюдать 2-5 дней, в зависимости от метода удаления зубного камня.
Как часто можно чистить зубы от зубного камня? Стоматологи советуют проходить эту процедуру 1 раз в год. Однако люди, у которых зубные отложения образуются быстро, могут избавляться от них до 3-х раз в год. При этом желательно выбирать бесконтактные методы очистки – лазер или ультразвук.
Домашние способы удаления зубного камня
Зубной камень в можно удалить домашних условиях, если он имеет рыхлую структуру, небольшие размеры и частично минерализован. Домашние методы удаления зубного камня эффективны на начальных стадиях его формирования, и могут применяться как профилактика появления зубных отложений.
1. Зубные щетки.
  • Ультразвуковые и звуковые зубные щетки. Они отличаются частотой колебаний: звуковые до, а ультразвуковые выше20 000 колебаний в секунду. В них встроен генератор, который вырабатывает ультразвуковые волны. Они передаются на ворсинки, и щетка совершает колебательные движения высокой частоты, благодаря чему происходит отслаивание мельчайших частиц зубных отложений. Ультразвуковые волны нарушают прикрепление бактерий к зубным отложениям и замедляют формирование зубного камня. Хорошо справляются с мягким, частично минерализованным налетом. Не подходят для борьбы с крупными камнями.
  • Электрические зубные щетки с вращающейся головкой. Насадки со щетинками совершают различные типы движений до 10 000 в минуту. Это способствует глубокому очищению труднодоступных межзубных участков и механическому удалению налета и камней на ранних стадиях формирования. Щетки с 3D технологией (до 20 тыс. колебаний) эффективно удаляют зеленый, бурый и черный пигментированный налет и рыхлые камни. Для растворения зубных камней необходимо использовать такую щетку совместно с зубными пастами, содержащими пирофосфаты.
2. Зубные пасты для растворения зубного налета и зубного камня.
В их состав входят пирофосфаты, ферменты (бромелаин, папаин), полирующие компоненты (диоксид кремния и диоксид титана). Пасты для удаления зубного камня должны иметь высокий уровень абразивности - индекс RDA свыше 120. Это означает, что в их состав входит большое количество твердых частиц, которые полируют зубы.
  • LACALUT white. Содержит пирофосфаты, которые растворяют матрикс зубного камня. Абразив со сферической огранкой, который не царапает эмаль зубов. Количество абразивных частиц абразивность RDA 120, что в 2 раза превышает этот показатель в обычных пастах. Высокое содержание фторидов (1357 ppm) позволяет снизить чувствительность зубов, укрепить эмаль и способствует ее минерализации. Применяют 2 раза в день курсом 4 недели.
  • PRESIDENT White Plus. Содержит экстракт исландского мха и производные морской раковины семейства Diatomea, в сочетании с кремнием и глицерофосфатом кальция. Эта композиция интенсивно растворяет зубную бляшку и зубной камень, полирует поверхность эмали, очищая от зубных отложений. Имеет высокую абразивность - RDA 200. Применяют 1 раз в неделю.
Для борьбы с зубным камнем также эффективны пасты: Сплат отбеливание плюс, Rocs сенсационное отбеливание, Colgate комплексное отбеливание, Blendamed 3D White, Новый жемчуг отбеливающая и т.д.
Предупреждение: пасты могут стирать эмаль зубов, поэтому рекомендуется использовать их не дольше 2-3 недель.
3. Народные методы удаления зубного камня:
  • Отвар из цветков липы и сухих корзинок подсолнечника. Смешать в равных количествах оба ингредиента. 8 ст.л. смеси залить 1 л. воды и варить полчаса. Отвар процедить, остудить и использовать для полоскания рта после каждого приема пищи. Это средство способствует размягчению и отслоению зубного камня.
  • Сок черной редьки с лимонным соком. Удалить середину черной редьки и наполовину заполнить полость лимонным соком. Оставить на сутки, для выделения сока редьки. Полученный эликсир используют его для смачивания зубной щетки при чистке. Данное средство содержит большое количество органических кислот, которые способствуют растворению зубных отложений.
Стоматологи предупреждают о недостаточной эффективности средств для удаления зубного камня дома.

Отбеливание зубов

К какому врачу обращаться?

Отбеливанием зубов занимается стоматолог. Отбеливание зубов у стоматолога избавляет зубы от белого или пигментированного налета и позволяет осветлить их до 12 тонов.

Процедуре предшествует удаление зубного камня и зубной бляшки, что необходимо для равномерного осветления зубов. Далее специалист посоветует системы для домашнего отбеливания, которые можно использовать самостоятельно либо проведет процедуру амбулаторно.

Какая зубная паста отбеливает зубы?

В предыдущем разделе описывались пасты, которые содержат абразивные вещества, удаляющие «цветной» налет. Их используют, если зубы изменили цвет в результате курения, потребления чая, кофе, красящихся овощей и ягод. Это пасты для механического отбеливания зубов, которые очищают зуб снаружи: Rocs сенсационное отбеливание, Colgate комплексное отбеливание, Blendamed 3d White, Новый жемчуг отбеливающая, LACALUT White, PRESIDENT White Plus, СПЛАТ отбеливание плюс.

Пасты для химического отбеливания зубов осветляют зуб изнутри. Для этой цели используют отбеливающие зубные пасты на основе пероксида карбамида. Они позволяют осветлить зубы на 2-4 оттенка. Подходят для тех, у кого на зубах отсутствует налет.
В состав паст входят:
  • Вещества, выделяющие активный кислород, который проникает вглубь зуба и обесцвечивает красящие пигменты в эмали и дентине;
  • Фтор и другие минералы для предотвращения чувствительности зубов;
  • Ферменты и полирующие вещества для устранения налета. Эти компоненты присутствуют в небольших количествах.
По мнению стоматологов наиболее эффективны следующие виды паст.
  1. REMBRANDT плюс. Отбеливание на 3-5 тонов. В основе формулы лежит цитроксаин и низкоабразивные вещества. Такая формула обеспечивает удаление поверхностных загрязнений и окисление пигментов в эмали и дентине, что позволяет отбелить зубы и надолго сохранить полученный результат. Паста улучшает состояние десен, не раздражает слизистую ротовой полости. Клинически доказана способность останавливать образование зубного камня. Применяют 2 раза в день курсом 2-3 недели.
  2. SPLAT EXTREME WHITE. Отбеливание на 2 тона. Содержит пероксид карбамида, разрушающий красящие пигменты, полирующие микрогранулы и ферменты. Состав осветляет эмаль снаружи и внутри, не проникая в дентин. Содержит фтор для минерализации эмали. Необходимо ежедневное применение на протяжении 4-х недель.
  3. ROCS PRO — Кислородное отбеливание. Отбеливание на 2-3 тона. Основные действующие вещества, пероксид карбамида и глицерофосфат кальция, нейтрализуют красящие пигменты. Не содержит фтора. Имеет очень низкий абразивный показатель – не травмирует чувствительную эмаль, но при этом недостаточно эффективно борется с зубным налетом. Рекомендовано чередовать с зубной пастой «ROCS PRO – Кислородное отбеливание». Курс – 4 недели.

Как повысить эффективность отбеливания зубов с помощью пасты?

  • Проконсультируйтесь со стоматологом. Если он выявит зубной камень, кариес, высокую чувствительность зубов, участки деминерализации эмали, то сначала необходимо пройти лечение. При отбеливании эти проблемы могут усугубиться в связи с ослаблением эмали.
  • Очистите зубы от зубного налета. Для этого на протяжении 3 недель пользуйтесь абразивными пастами для механического отбеливания зубов. Затем в течение 3-4 недель применяйте пасты для химического отбеливания зубов, описанные в этом разделе. Таким образом, процесс отбеливания будет 2-х этапным и более эффективным. В противном случае активный кислород не сможет проникнуть сквозь зубной налет в толщу эмали, и отбеливание зуба будет неравномерным.
  • Укрепите эмаль. После того, как вы окончили курс отбеливания, необходимо на протяжении 1-2 месяцев пользоваться низкоабразивными пастами с соединениями глицерофосфата кальция и гидроксиапатита. А после чистки использовать ополаскиватель для полости рта с фторидом натрия. Рыхлая эмаль более подвержена окрашиванию, а эти меры помогут ее укрепить и насытить минералами. Таким образом вы сможете продлить эффект отбеливания.
  • Помните, что пломбы и коронки не осветляются пастами для химического отбеливания. Отбеливание может привести к тому, что они станут более заметны на фоне светлого зуба.

Системы для отбеливания зубов в домашних условиях

Системы отбеливания – это пасты и гели на основе перекиси водорода и/или перекиси карбамида. Их считают удобным и безопасным способом отбеливания зубов в домашних условиях. Данные системы обеспечивают отбеливание на 6-8 оттенков. Хорошо себя зарекомендовали следующие продукты:
  • Opalescence (Ultradent);
  • DAY WHITE;
  • NITE WHITE;
  • White Lithe TOOTH;
  • Opalescence Patient Kit;
  • Zoom Weekender (Discus Dental Inc.)
В состав системы отбеливания входят:
  • Пасты или гели с высоким содержанием перекиси.
  • Капы из полимерного материала для верхнего и нижнего ряда зубов. Капа может быть стандартная или изготовленная на заказ.
Некоторые системы дополнены:
  • Лампой для активации пероксида;
  • Зубной пастой или гелем для устранения чувствительности зубов;
  • Спреем-закрепителем для поддержания белизны по окончании курса отбеливания;
  • Контейнером для хранения кап.

Метод применения. Препарат выдавливают тонким слоем внутрь капы из тюбика или шприца. Капу плотно припасовывают на зубы и носят указанное количество времени. Для усиления эффекта можно воспользоваться лампой, прилагающейся в наборе.

После удаления капы необходимо прополоскать рот, смыв остатки геля и вымыть капы. Для достижения желаемого результата процедуру повторяют от 5 до 27 раз.

Помните, что конечный результат отбеливания вы увидите только через 2 недели после окончания курса. На протяжении первых дней после отбеливания в тканях зуба сохраняется активный кислород. Поэтому зубы кажутся на один тон светлее, чем когда ионы кислорода разрушаться.

Рекомендации:
  • Перед использованием системы, необходимо проконсультироваться у стоматолога;
  • Соблюдайте предписания врача или инструкцию к препарату. Не увеличивайте и не уменьшайте самовольно количество препарата и время ношения капы. Это может снизить эффективность процедуры или вызвать раздражение;
  • При появлении гиперчувствительности зубов отложите ношение капы на 1-2 дня. На следующий раз уменьшите количество закладываемого геля и время ношения капы. Также можна воспользоваться гелем для уменьшения чувствительности.
Противопоказания:
  • Наличие пломб или коронок на передних зубах. Искусственные материалы не осветляются, поэтому на фоне отбеленных зубов будут значительно выделяться;
  • Повышенная чувствительность зубов. Это состояние указывает на истончение эмали. Отбеливание может усугубить это состояние, вызвать гиперчувствительность, появление трещин;
  • Возраст до 14 лет. У детей и подростков эмаль тонкая и более рыхлая, что может привести к попаданию действующих веществ в пульпу зуба и нарушению его кровообращения;
  • Беременность и грудное вскармливание, так как отсутствуют данные о влиянии препаратов на плод и ребенка.
Недостатки:
  • Возможная деминерализация эмали. Утрата минералов нарушает защитную функцию эмали и приводит к развитию кариеса;
  • Повышение чувствительности зубов;
  • Неприятный привкус во рту;
  • Рвотный рефлекс при ношении капы;
  • Жжение в горле и небе;
  • Раздражение и отек десен и слизистой оболочки губ;
  • Неэффективное отбеливание серых и черных зубов;
  • Возможно неравномерное окрашивание, появление пятен на зубах.
Отбеливание зубов в домашних условиях также производят с помощью карандашей и отбеливающих полосок. Они менее эффективны, чем системы для отбеливания, но более безопасны и удобны. Принцип их действия также основан на нейтрализации пигмента при помощи активного кислорода.
  • Карандаш для отбеливания зубов. Представляет собой цилиндр, заполненный гелем на основе перекиси водорода. С помощью аппликатора состав наносят на зубы и оставляют на указанное в инструкции время. Метод прост в использовании, а небольшой слой геля уменьшает риск развития чувствительности зубов. Карандашом пользуются 1 раз в день на протяжении 2-х недель. За этот период зубы отбеливаются на 2-3 тона.
  • Dazzling White;
  • Teeth Whitening Pen.
  • Полоски для отбеливания зубов – клейкие гелевые полоски, пропитанные составом, содержащим перекись водорода. Полоски наклеивают на верхний и нижний зубной ряд. Они фиксируются на зубах, исключая возможность попадания геля на слизистую десен. Однако есть риск неравномерного осветления зуба из-за неплотного прилегания полосок в участках между зубами. Процедуру повторяют 1 раз в день на протяжении 2-х недель.
  • Крест 3D Вайт Люкс;
  • GoWhite;
  • Beaver Extreme Whitening Strips.
Внимание! Перед применением карандашей и полосок для отбеливания необходимо очистить зубы от налета. Для этого на протяжении 2-3 недель используйте пасты со средним или высоким индексом абразивности (RDA выше 75).

Какой зубной щеткой пользоваться для отбеливания зубов?
1. Обычная или мануальная зубная щетка. Для отбеливания зубов она должна соответствовать ряду требований:
  • нейлоновые щетинки разной длины;
  • закругленные концы щетинок;
  • жесткие щетинки – на упаковке стоит маркировка HARD.
Для отбеливания необходимо чистить зубы 2 раза в день на протяжении 3-4 минут, используя отбеливающую пасту. Движения зубной щетки должны быть вертикальными – «вверх-вниз».
При соблюдении этих правил обычная зубная щетка так же эффективна при отбеливании зубов, как и ее более технологичные аналоги.

2. Электрическая зубная щетка лучше очищает зубы от мягкого и пигментированного налета по сравнению с обычной. Головка щетки совершает пульсирующие и возвратно-вращательные движения. Наиболее эффективны для отбеливания изделия, отвечающие следующим требованиям:
  • щетки с небольшим диаметром головки;
  • со щетиной средней жесткости;
  • совершающие возвратно-вращательные движения;
  • работающие по 2D и 3D технологии;
  • те, что имеют специальный режим отбеливания.
Отбелить зубы и очистить их от темного налета, можно используя низкоабразивную зубную пасту с индексом RDA около 50. Для удаления пигментированного налета 1-2 раза в неделю используют пасту с индексом RDA 100-120. При чистке электрической зубной щеткой время процедуры сокращается до 1-2 минут. Для лучшего отбеливания зубов следует менять насадки каждые 3-4 месяца.
  • Противопоказания для использования электрических щеток:
  • Белые пятна на зубе, указывающие на утрату эмалью минералов;
  • Повышенная стираемость зуба;
  • Оголение шейки зуба, клиновидные эффекты на шейке зуба;
  • Воспаление десен, острое или хроническое.
3. Звуковая и ультразвуковая зубная щетка. Отличаются частотой колебаний.
  • Звуковые (частота 200—400 Гц или 9000-18000 пульсаций в минуту) Совершают выметающие движения большой амплитуды, выметая зубной налет. SonicPulsar CS-161, Рanasonic EW-DL82, Philips Sonicare.
  • Ультразвуковые (частота 1.6 МГц или 96 млн. пульсаций в минуту) вибрируют на высокой частоте, но с малой амплитудой. Это позволяет нарушить прикрепление бактерий и остановить формирование зубного налета. Меньше повреждают эмаль по сравнению со звуковыми и электрическими. Donfeel HSD-005, Asahi Irica AU300D – Megasonex m8.
Для отбеливания зубов лучше подходит звуковая зубная щетка в сочетании с отбеливающей пастой. Для достижения отбеливающего эффекта требуется чистить зубы по минуте на каждый зубной ряд, 2 раза в день.
Требования к звуковым и ультразвуковым щеткам:
  • мягкая щетина;
  • щетинки разного уровня;
  • невысокие, закругленные на конце щетинки;
  • смена насадок каждые 3-5 месяцев.
Противопоказания:
  • участки деминерализации зуба;
  • наличие пломб. Сокращение срока службы пломб, виниров, вкладок, коронок, объясняется тем, что на них передается вибрация, что приводит к их разрушению.
  • воспаление у верхушек корня, кисты;
  • воспаление десен – кровоточивость, боль, отечность, покраснение;
  • хронический пародонтит.

Отбеливание зубов у стоматолога

Профессиональное отбеливание зубов у врача-стоматолога или гигиениста имеет массу преимуществ перед домашними методами. Это безопасно, эффективно и занимает меньше времени. Процедура длится до часа, вместе с подготовительным периодом может продолжаться до 2-х часов.

Отбеливание зубов у стоматолога позволяет осветлить их до 8-ми тонов, у людей со светлыми зубами до 12-ти. Эффект после отбеливания сохраняется около 2-х лет, у некоторых пациентов до 5-ти лет.
При тонкой эмали и чувствительности зубов возможны неприятные ощущения. Поэтому некоторые стоматологи рекомендуют принять обезболивающее (Нурофен, Кетанов) за 30-40 минут до процедуры. После окончания сеанса может потребоваться повторный прием.

Этапы отбеливания зубов у стоматолога:
  • поверхностная очистка от мягкого и пигментированного зубного налета;
  • установка защитных пластиковых конструкций на зубы и язык;
  • нанесение на зубы средства содержащего высокие концентрации перекиси водорода или пероксида карбамида;
  • для активации пероксидов и их скорейшего проникновения в дентин используют свет, тепло или лазер;
  • удаление остатков препаратов;
  • полировка зубов;
  • нанесение минерализующего геля для снижения чувствительности зубов и укрепления эмали.
После отбеливания на протяжении 5-ти дней рекомендовано:
  • отказаться от красящей пищи и напитков;
  • воздержаться от курения;
  • пользоваться низкоабразивными зубными пастами.
Противопоказания к профессиональному отбеливанию зубов у стоматолога:
  • наличие пломб на видимой стороне передних зубов;
  • наличие коронок;
  • патологическая стираемость зубов;
  • чувствительность зубов;
  • беременность и кормление грудью;
  • клиновидные дефекты.
Динара Асхатовна Аль-Абед
Автор:
Автор на связи, задать вопрос
Специальность: Врач-стоматолог, пародонтолог

Опубликовано: 28.7.2016

Дополнено: 21.6.2021

Просмотров: 61330

Поделиться
Вопросы по теме
Как защитить зубы от налёта и зубного камня: практическое руководство
1581
0
Как защитить зубы от налёта и зубного камня: практическое руководство
Стоматолог. Чем занимается данный специалист?
17003
0
Стоматолог. Чем занимается данный специалист?
Секрет голливудской улыбки: прощаемся с зубным налётом раз и навсегда
4188
0
Секрет голливудской улыбки: прощаемся с зубным налётом раз и навсегда
Болит зуб: что делать? 7 проверенных способов избавиться от зубной боли
84467
0
Болит зуб: что делать? 7 проверенных способов избавиться от зубной боли
Санация полости рта – что это такое и зачем это нужно? Показания к санации полости рта. Санация ротовой полости перед имплантацией зубов
61211
0
Санация полости рта – что это такое и зачем это нужно? Показания к санации полости рта. Санация ротовой полости перед имплантацией зубов
Зубная боль. Почему болит зуб? Боли при кариесе, пульпите, пародонтите, болит десна, флюс. Что делать при этих патологиях?
59368
0
Зубная боль. Почему болит зуб? Боли при кариесе, пульпите, пародонтите, болит десна, флюс. Что делать при этих патологиях?
Повышенная чувствительность зубов: причины, средства защиты и лечение.
35943
0
Повышенная чувствительность зубов: причины, средства защиты и лечение.
Дети и здоровье зубов. Руководство для любого возраста.
15938
0
Дети и здоровье зубов. Руководство для любого возраста.
Зубной камень
102374
0
Зубной камень
Что делать после удаления зуба?
272355
1
Что делать после удаления зуба?
Стоматит - язвочки во рту у детей и взрослых. Симптомы, причины, признаки, лечение стоматита слизистой губ, щеки и языка
512093
8
Стоматит - язвочки во рту у детей и взрослых. Симптомы, причины, признаки, лечение стоматита слизистой губ, щеки и языка
Пародонтоз  –  причины, симптомы, диагностика и лечение, протезирование зубов
176822
2
Пародонтоз – причины, симптомы, диагностика и лечение, протезирование зубов
Пародонтит - причины, симптомы, диагностика и лечение заболевания, протезирование зубов
122839
2
Пародонтит - причины, симптомы, диагностика и лечение заболевания, протезирование зубов
Кариес – лечение и профилактика. Кариес молочных зубов. Причины, симптомы и диагностика кариеса
58721
0
Кариес – лечение и профилактика. Кариес молочных зубов. Причины, симптомы и диагностика кариеса
Опасность рентгена при беременности - рентген легких, зуба, носа на раннем и позднем сроке беременности
272427
8
Опасность рентгена при беременности - рентген легких, зуба, носа на раннем и позднем сроке беременности

Комментировать или поделиться опытом:


Архивы:

Регистрация временно закрыта

Вход в профиль

Войдите при помощи профиля в социальной сети или ранее зарегистрированного профиля на сайте

Ваша эл. почта
Проверочный код
Вернуться к логину
Ваша эл. почта
Пароль
Я забыл пароль
Закрыть