Рак прямой кишки. Симптомы и признаки, стадии, диагностика, лечение и прогноз, профилактика

Содержание статьи:

 

Сайт предоставляет справочную информацию. Адекватная диагностика и лечение болезни возможны под наблюдением добросовестного врача. У любых препаратов есть противопоказания. Необходима консультация специалиста, а также подробное изучение инструкции!

 Рак прямой кишки – злокачественная опухоль, которая образуется в слизистой оболочке конечного отдела толстого кишечника. Часто среди врачей употребляется термин «колоректальный рак», включающий в себя все опухоли толстого кишечника, в том числе прямой кишки.

Среди всех опухолей желудочно-кишечного тракта рак прямой кишки составляет 45%.
5% пациентов онкологическими заболеваниями страдают именно этой опухолью.

В России распространенность рака прямой кишки постоянно увеличивается. Самая большая частота отмечается в Санкт-Петербурге и Ленинградской области, в Пскове. Ежегодно в нашей стране выявляется более 50 000 новых случаев этой опухоли. В возрасте с 30 до 50 лет частота рака прямой кишки за последние годы немного снизилась, а у людей более старшего возраста постоянно растет.

Мировая статистика

Чаще всего заболевают жители развитых индустриальных стран, больших городов. На первом месте – США, Канада, Япония. В Индии и Китае распространенность патологии в среднем в 15 раз ниже. Ежегодно в мире рак прямой кишки диагностируется у 600 000 пациентов.

Растет смертность от рака прямой кишки. Каждые 10 лет она увеличивается на 15% - 20%. Часто заболевание выявляется на поздних сроках, когда многие методы лечения оказываются неэффективны.

Статистика выживаемости пациентов при раке прямой кишки:
  •          В развитых странах около 60% пациентов выживают в течение 5 лет с момента выявления патологии.

  •          В развивающихся странах этот показатель составляет не более 40%.
Самые оптимистичные прогнозы при раке прямой кишки отмечаются в странах с высоким уровнем развития медицины: Израиле, Германии, США.

Анатомия прямой кишки

 Прямая кишка – это конечный отдел кишечника. Она заканчивается анальным отверстием, предназначенным для выведения каловых масс наружу. Её длина у взрослого человека составляет от 15 до 20 см. Основная широкая часть прямой кишки – ампула – расположена в полости таза и окружена жировой тканью. Конечный короткий отрезок – анальный канал, или задний проход, - находится в тазовом дне (мышцы и мягкие ткани, ограничивающие таз снизу) и окружен мышцей-сфинктером (сжимателем).

В слизистой оболочке прямой кишки находится большое количество клеток, выделяющих слизь. Она выполняет роль смазки при прохождении каловых масс. Слизистая оболочка собрана в складки, имеющие форму вертикальных столбов и полулунную форму.

В нижней часть прямая кишка окружена снаружи геморроидальным сплетением, состоящим из большого количества широких вен.


Подпишитесь на Здоровьесберегающий видеоканал

 Причины рака прямой кишки

Факторы, способствующие развитию злокачественных опухолей прямой кишки:

  • Особенности питания. Рак прямой кишки намного чаще отмечается у людей, которые потребляют большое количество мяса, особенно говядины и свинины. Мясная пища, попадая в кишечник, стимулирует размножение бактерий, вырабатывающих канцерогены. Уменьшение в рационе растительной клетчатки также повышает риск развития патологии.
  • Гиповитаминозы. Витамины A, C и E инактивируют канцерогены, которые попадают в кишечник. При их недостатке в пище вредные воздействия на стенку прямой и всей толстой кишки усиливаются.
  • Избыточная масса тела. Доказано, что рак прямой кишки наиболее распространен среди людей, страдающих ожирением.
  • Малоподвижный образ жизни. При постоянной сидячей работе происходит застой крови в венах таза и геморроидальных узлов. Это приводит к нарушению функций слизистой оболочки прямой кишки и повышает вероятность развития злокачественных опухолей.
  • Заядлое курение. Статистические исследования показывают, что у курильщиков данный вид злокачественной опухоли возникает чаще, чем у некурящих. Видимо, это связано с действием никотина на сосуды.
  • Злоупотребление алкоголем. Этиловый спирт оказывает раздражающее действие на стенку кишечника, повреждает слизистую оболочку, способствует возникновению раковых клеток.
  • Профессиональные вредности. Рак прямой кишки распространен среди рабочих, которым приходится контактировать с индолом, скатолом и другими вредными веществами. Злокачественные опухоли толстого кишечника часто встречаются у работников цементных заводов и лесопилок.
  • Наследственность. Человек, родственники которого страдали данным заболеванием, имеет повышенные риски. Они тем выше, чем ближе степень родства.
Предраковые заболевания, на фоне которых чаще всего возникают злокачественные опухоли прямой кишки:
  • Полипы. Это доброкачественные образования слизистой оболочки, представляющие собой возвышения. Особенно высок риск озлокачествления, если полип имеет размеры более 1 см.

  • Диффузный полипоз – наследственное семейное заболевание, при котором в прямой и толстой кишке образуется большое количество полипов.

  • Папилломовирусная инфекция в области ануса – папилломовирусы способны вызывать мутации клеток, приводящие к развитию злокачественных опухолей.

Степень риска (%) развития рака прямой кишки при полипах разных размеров (источник: «Онкология» под ред. акад. РАМН В.И. Чиссова, проф. С.Л. Дарьяловой, Москва, издательская группа «ГЭОТАР-Медиа», 2007):

Размер полипа Степень риска
до 1 см 1,1%
от 1 до 2 см 7,7%
более 2 см 42%
в среднем среди всех пациентов с полипами 8,7%
 
До настоящего времени механизм развития рака прямой кишки изучен недостаточно.

Симптомы рака прямой кишки

Факторы, от которых зависят симптомы рака прямой кишки:
  • размеры опухоли
  • длительность течения заболевания
  • место расположения опухоли
  • характер роста злокачественного новообразования
Симптом Описание
Выделения крови из заднего прохода.
  • самый частый симптом рака прямой кишки, возникает у 70% - 95% больных
  • чаще всего выделяется небольшое количество крови, в виде прожилок в кале, темных сгустков
  • кровь выделяется либо до отхождения кала (обычно каплями), либо перемешана с ним
  • так как кровь выделяется в небольшом количестве, анемия возникает только на поздних стадиях заболевания
Причина развития симптома – травмирование слизистой оболочки в месте расположения опухоли при прохождении каловых масс.
Выделения из прямой кишки гноя и слизи.
  • поздний симптом, присоединяется к кровотечениям при длительном течении заболевания
  • выделение гноя связано с осложнениями опухоли: воспалением слизистой оболочки прямой кишки, распадом злокачественного новообразования.
Нарушения работы кишечника
  • диарея
  • регулярные запоры
  • недержание газов и кала
  • мучительные позывы на дефекацию до 10 – 16 раз в сутки
  • вздутие и урчание живота – как правило, на поздних стадиях заболевания
Эти симптомы обусловлены нарушением работы слизистой оболочки прямой кишки и ее мышечной стенки. Поначалу они возникают периодически, затем постепенно становятся постоянными.

Нарушения работы кишечника при раке прямой кишки занимают по частоте возникновения второе место после кровотечений.
Кишечная непроходимость
  • возникает на поздних стадиях заболевания
  • обусловлена полным перекрытием опухолью просвета прямой кишки
  • отмечается задержка стула более 3 – 5 дней
  • пациента беспокоят боли в животе схваткообразного характера
  • периодически возникает рвота
Боли в прямой кишке
  • если поражена нижняя часть прямой кишки с захватом мышцы-сфинктера, то боль возникает на ранних стадиях опухоли
  • при поражении верхней части органа болевые ощущения возникают и усиливаются по мере прорастания опухоли в соседние органы
  • пациент с болевым синдромом старается садиться на твердые поверхности только на одну ягодицу – врачи называют это «симптомом табуретки».
Нарушение общего состояния
  • общая слабость, вялость, сонливость
  • повышенная утомляемость
  • стощение, резкая потеря массы тела
  • анемия, бледность кожи
В начале заболевания эти симптомы практически незаметны. Постепенно они нарастают и достигают апогея, когда опухоль имеет большие размеры и сопровождается множественными метастазами.

Диагностика рака прямой кишки

Опрос пациента

Моменты, которые должен выяснить врач во время опроса пациента:
  • имеющиеся жалобы и время их появления;

  • характер питания, вредные привычки;

  • анамнез: выявлялись ли у больного когда-нибудь полипы или другие предраковые заболевания, проходил ли он уже лечение по поводу опухолей прямой кишки или других органов?

  • семейный анамнез: страдали ли родственники раком прямой кишки и другими предраковыми заболеваниями?

  • место работы: приходится ли пациенту контактировать с вредными веществами?

Пальцевое исследование и осмотр прямой кишки в ректальных зеркалах


Пальцевое исследование – простейший метод, при помощи которого врач-проктолог (специалист по заболеваниям прямой кишки) может выявить в прямой кишке патологические объемные образования. Доктор просит пациента встать в коленно-локтевую позу (на четвереньки, оперевшись о кушетку коленями и локтями), надевает латексные перчатки, смазывает указательный палец вазелином и вводит его в прямую кишку. На ощупь оценивается состояние ее стенки и наличие патологических образований.

После пальцевого ректального исследования невозможно установить диагноз злокачественной опухоли. Но при обнаружении любого образования врач обязан назначить дальнейшее обследование, чтобы подтвердить или опровергнуть рак.

Ректальное зеркало – инструмент, который состоит из двух створок и двух ручек. Осмотр также осуществляется в коленно-локтевом положении. Врач вводит зеркало в задний проход, при этом его створки находятся в закрытом положении. Нажатием на ручки проктолог осторожно раздвигает створки, делая просвет кишки доступным для осмотра. После осмотра при помощи ректального зеркала можно с большей вероятностью предположить наличие рака прямой кишки, но окончательный диагноз должен быть подтвержден другими, более информативными, методами.

Инструментальные методы исследования

Метод исследования Описание
Ректороманоскопия Эндоскопическое исследование. Выполняется при помощи ректороманоскопа – прибора, состоящего из трубки с осветительным прибором и устройства для накачки воздуха.

Как проводится исследование?

Перед проведением ректороманоскопии пациента просят занять одно из двух положений:
  • коленно-локтевое: на четвереньках, опираясь локтями и коленями о кушетку;
  • на левом боку с согнутыми и подтянутыми к животу ногами: пациента просят глубоко вдохнуть, а затем выдохнуть, расслабив правое плечо и шею, после чего вводят ректоскоп.
Врач вводит в задний проход ректоскоп, накачивает в прямую кишку некоторое количество воздуха, чтобы расширился ее просвет, и осматривает ее слизистую оболочку.

Что можно обнаружить во время проведения рекороманоскопии?
  • полипы и злокачественные опухолевые новообразования на поверхности слизистой оболочки;
  • эрозии, язвы и другие дефекты;
  • участки, на которых отмечается кровоточивость;
  • кровь, гной в просвете прямой кишки;
  • во время проведения рекотороманоскопии можно взять небольшой фрагмент слизистой оболочки кишки для исследования под микроскопом (биопсии – см. ниже).

 
Ирригография
рентгенконтрастное исследование прямой и толстой кишки
Ирригография – рентгеновские снимки прямой  кишки, выполненные после того, как в нее введено контрастное вещество (взвесь сульфата бария).

Ирригоскопия – рентгенологическое исследование, при котором заполненную контрастом прямую кишку осматривают в режиме реального времени на экране.

Подготовка к исследованию:
  • на момент проведения ирригоскопии кишечник должен быть полностью очищен;
  • за 1 – 2 дня до исследования назначают обильное питье воды;
  • из рациона пациента исключают овощи и фрукты, молоко, черный хлеб;
  • накануне делают очистительную клизму.

Проведение ирригографии:
  • врач вводит пациенту в прямую кишку взвесь сульфата бария при помощи клизмы;
  • выполнятся снимки в разных проекциях;
  • после опорожнения прямой кишки на ее стенках все еще остается немного контрастна – можно сделать дополнительные снимки и осмотреть рельеф.
Что выявляется во время ирригографии:
  • объемные образования на стенке прямой кишки: контраст обтекает их, образуется так называемый «дефект наполнения»;
  • размеры и протяженность образования;
  • наличие на стенке язвенных дефектов;
  • характер роста опухоли: наружу или внутрь, в стенку кишки.
Ультразвуковое исследование (УЗИ) Что помогает выявить УЗИ при раке прямой кишки:
  • распространение опухоли в соседние органы;
  • наличие метастазов в рядом расположенных лимфатических узлах.
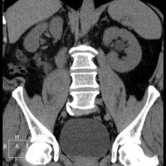
Компьютерная томография Чаще всего компьютерная томография при раке прямой кишки назначается в том случае, если после проведения УЗИ и рентгеновского исследования получают противоречивые данные.

Во время компьютерной томографии получают снимки, представляющие собой послойные срезы тазовой области. На них хорошо видна прямая кишка и соседние органы.
 
Дополнительные инструментальные методы исследования для выявления метастазов рака прямой кишки
 
Обзорная рентгенография брюшной полости. Выполняются рентгеновские снимки живота без введения контраста. Исследование позволяет оценить состояние кишечника, выявить кишечную непроходимость.
Фиброколоноскопия Исследование, при котором длинный тонкий эндоскоп вводится в через прямую кишку в вышележащие отделы толстого кишечника. Фиброколоноскопия позволяет выявить распространение злокачественной опухоли на стенку сигмовидной и ободочной кишки, наличие полипов, способных к злокачественному перерождению.
 
Радиоизотопное сканирование печени Рак прямой кишки часто дает метастазы в печень. При подозрении на ее поражение проводится радиоизотопное сканирование. Пациенту внутривенно вводятся изотопы, которые захватываются и накапливаются клетками опухоли. Затем выполняются снимки.
Лапароскопия Эндоскопическое исследование, при котором миниатюрные видеокамеры вводятся в полость живота через проколы на брюшной стенке. Исследование приравнивается к операции и выполняется под наркозом. Лапароскопия дает возможность все внутренние органы, оценить их состояние и степень поражения метастазами. Врач имеет возможность взять материал для исследования под микроскопом (биопсии).
Внутривенная урография Ренгенконтрастное исследование, при котором раствор контрастного вещества вводится внутривенно. Он присутствует некоторое время в крови, а затем выводится через почки, мочеточники и мочевой пузырь, прокрашивая их. На снимках можно оценить состояние этих органов, наличие в них метастазов.

Лабораторные методы исследования при раке прямой кишки

Онкомаркеры

Онкомаркеры – специфические вещества, содержание которых в крови возрастает при разных видах злокачественных опухолей. Для проведения исследования на анализ берут кровь из вены.

Онкомаркеры, характерные для рака прямой кишки:
  • СA 19-9 – вещество, которое выделяется опухолевыми клетками толстой и прямой кишки. Помогает выявить не только саму опухоль, но и метастазы на ранней стадии.

  • Раковоэмбриональный антиген. Это вещество вырабатывается в пищеварительной системе эмбрионов и плодов. У взрослых здоровых людей он практически не выявляется в крови. Его уровень повышается при злокачественных опухолях кишечника.

Определение онкомаркеров в крови имеет значение только в составе комплексного обследования. Само по себе, выполненное изолированно, оно не позволяет точно установить диагноз рака прямой кишки.

Биопсия

Биопсия – один из самых точных методов диагностики рака прямой кишки. Он позволяет достоверно установить диагноз и отличить злокачественную опухоль от доброкачественного новообразования. Для проведения исследования врач берет небольшой фрагмент опухоли во время ректороманоскопии. Обычно процедура совершенно безболезненна для пациента.

Материал, полученный во время биопсии, может быть подвержен гистологическому и цитологическому исследованию.

Процедуры, во время которых может быть взят материал прямой кишки и соседних органов для биопсии:

Гистологическое исследование

Во время гистологического исследования образец ткани прямой кишки рассматривают под микроскопом.
Виды гистологического исследования тканей прямой кишки:
  • Срочное. Выполняется в течение 30 – 40 минут. Проводится, если результат нужен быстро, особенно в стационарах. Материал подвергается заморозке, обрабатывается специальными красителями, после чего возможно его изучение под микроскопом.

  • Плановое. Занимает от 5 дней. Ткань, полученную во время рекороманоскопии, обрабатывают специальным раствором и парафином, окрашивают. Это более сложный процесс по сравнению с заморозкой, но он позволяет получать более точные результаты.
Обычно для большей достоверности заключения материал рассматривают под микроскопом двое и более специалистов.

Цитологическое исследование

Цитологическое исследование – это изучение строения клеток, выявление их злокачественного перерождения. В отличие от гистологического исследования, при цитологии рассматривают под микроскопом не срез ткани, а отдельные клетки.

Материалы для цитологического исследования:
  • фрагмент ткани прямой кишки, полученный во время биопсии;
  • гной, слизь из просвета прямой кишки;
  • отпечатки слизистой оболочки прямой кишки.

Виды рака прямой кишки

Классификация злокачественных опухолей прямой кишки в зависимости от клеточного строения

Симптомы рака прямой кишки мало зависят от гистологического строения опухоли (вида клеток, которые входят в ее состав и строения ткани). Этот фактор определяет поведение опухоли, скорость и характер ее роста, влияет на специфику лечения и прогноз.


Виды опухолей прямой кишки в зависимости от гистологического строения:
  • Аденокарцинома. Самая распространенная разновидность злокачественных опухолей прямой кишки. Выявляется в 75% - 80%. Образуется из железистой ткани, чаще всего встречается у лиц старше 50 лет. При исследовании под микроскопом можно выявить степень дифференцировки ткани опухоли. Различают высокодифференцированную, умеренно дифференцированную, низко дифференцированную и недифференцированную опухоль. Чем ниже степень дифференцировки, тем более злокачественной является опухоль, хуже прогноз для пациента.

  • Перстневидно-клеточный рак. Встречается в 3% - 4% случаев. Получил свое название из-за характерного внешнего вида клеток опухоли под микроскопом: в центре клетки находится просвет, а на периферии – узкий ободок с клеточным ядром – он напоминает перстень с камнем. Этот вид рака прямой кишки имеет неблагоприятное течение, многие пациенты погибают в течение первых трех лет.

  • Солидный рак прямой кишки. Встречается редко. Происходит из железистой ткани. Состоит из низкодифференцированных клеток, которые уже не похожи на железистые и расположены в виде пластов.

  • Скирозный рак (скир) – также редко встречаемая разновидность злокачественной опухоли прямой кишки. В ней относительно мало клеток и относительно много межклеточного вещества.

  • Плоскоклеточный рак. Третья по распространенности (после аденокарциномы и перстневидно-клеточного рака) злокачественная опухоль прямой кишки – составляет 2% - 5% от общего количества. Этот вид опухоли склонен к раннему метастазированию. Часто его возникновение связывают с папилломавирусной инфекцией. Встречается практически только в нижней части прямой кишки, в области анального канала.

  • Меланома. Опухоль из пигментных клеток – меланоцитов. Располагается в области анального канала. Склонна к метастазированию.

Классификация рака прямой кишки в зависимости от характера роста

  • Экзофитный рак. Опухоль растет наружу, в просвет прямой кишки.

  • Эндофитный рак. Опухоль растет внутрь, прорастает в стенку прямой кишки.

  • Смешанная форма. Характеризуется одновременно экзофитным и эндофитным ростом.


Классификация рака прямой кишки по системе TNM

Данная классификация является основной. Стадия опухоли TNM обязательно указывается в медицинской карте пациента после постановки диагноза.

Расшифровка аббревиатуры:
  • T – размер опухоли (tumor);
  • N – метастазы в рядом расположенные лимфатические узлы (nodus);
  • M – отдаленные метастазы в различных органах (metastasis).

Обозначение Описание
Тx Размер опухоли не уточнен, отсутствуют необходимые данные.
T0 Опухоль не обнаружена.
Tis Опухоль in situ – «на месте», небольших размеров, не прорастает в стенку органа.
T1 Опухоль размером до 2 см.
T2 Опухоль размером 2 – 5 см.
T3 Опухоль размерами более 5 см.
T4 Опухоль любых размеров, которая прорастает в соседние органы: мочевой пузырь, матку и влагалище, предстательную железу и пр.
Nx Нет данных. Неизвестно, есть ли метастазы в лимфатических узлах.
N0 Метастазы в лимфатических узлах отсутствуют.
N1 Метастазы в лимфатических узлах, расположенных вокруг прямой кишки.
N2 Метастазы в лимфатических узлах, расположенных в паховой и подвздошной области с одной стороны.
N3
  • Метастазы в лимфатических узлах вокруг прямой кишки и в паховой области.

  • Метастазы в лимфатических узлах паховой области с двух сторон.

  • Метастазы в лимфатических узлах подвздошной области с двух сторон.
Mx Неизвестно, есть ли отдаленные метастазы в органах. Недостаточно данных.
M0 Отдаленных метастазов в органах нет.
M1 Отдаленные метастазы в органах есть.
 

Стадии рака прямой кишки в соответствии с классификацией TNM:

Стадия Классификация TNM
Стадия 0 TisN0M0
Стадия I T1N0M0
Стадия II T2-3N0M0
Стадия IIIA
  • T1N1M0

  • T2N1M0

  • T3N1M0

  • T4N0M0
Стадия IIIB
  • T4N1M0

  • TлюбоеN2-3M0
Стадия IV TлюбоеNлюбоеM1
 

Состояние пациента, страдающего раком прямой кишки, зависит от наличия или отсутствия метастазов.
  • Если опухоль расположена в пределах прямой кишки, то пациента беспокоят только нарушения пищеварения, боли в кишке, примеси гноя, крови и слизи в кале.

  • Если опухоль прорастает в соседние органы, то возникают симптомы, характерные для их поражения. При прорастании в матку и влагалище – боли в низу живота, нарушение месячных. При прорастании в мочевой пузырь – боли в низу живота, нарушение мочеиспускания. При распространении метастазов в печень – желтуха, боли под ребром.

  • При множественных метастазах нарушается общее состояние  пациента: возникает слабость, повышенная утомляемость, истощение, анемия, повышение температуры тела.

Лечение рака прямой кишки

Хирургическое лечение рака прямой кишки

 Хирургическое лечение является основным при злокачественных опухолях прямой кишки. Другие методы используются в качестве дополнения к нему.

Операции на прямой кишке являются одними из самых травматичных. Сегодня разработаны новые методики, позволяющие сохранять нормальный акт дефекации и избегать распространенных послеоперационных осложнений.

Факторы, оказывающие влияние на выбор методики хирургического вмешательства:
  • размеры и расположение опухоли;
  • характер клеточного строения злокачественного новообразования;
  • классификация опухоли по системе TNM.
Виды хирургических вмешательств при раке прямой кишки:

Вид операции Описание
Резекция сектора прямой кишки и анального сфинктера (мышцы-сжимателя) Суть метода:
Удаляют часть нижнего отдела прямой кишки и анального сфинктера. После этого их полностью восстанавливают.
Показания:
Опухоль, расположенная в области анального канала и сфинктера, занимающая менее 1/3 их окружности, не прорастающая за пределы прямой кишки.
Резекция (удаление части) прямой кишки Суть метода:
Хирург удаляет часть прямой кишки, а оставшуюся, расположенную выше, подшивает к анальному каналу.
Показания:
Злокачественная опухоль, расположенная в нижней части прямой кишки, но выше анального канала, на стадии T1N0.
Типичная брюшно-анальная резекция. Суть метода:
Прямую кишку удаляют, сохраняя анальный канал и анальные сфинктеры. Сигмовидную кишку (которая расположена выше прямой) опускают вниз и подшивают к сфинктеру.
Показания:
Для проведения этой разновидности хирургического вмешательства необходимо соблюдение условий:
  • опухоль занимает меньше полуокружности стенки кишки;
  • опухоль расположена на 5 – 6 см выше уровня заднепроходного отверстия;
  • опухоль находится в пределах прямой кишки и не прорастает в соседние органы;
  • стадия опухоли – T1-2N0.
Брюшно-анальная резекция с удалением внутреннего сфинктера (мышечного жома) Суть метода:
Операция сильно напоминает предыдущую. В данном случае хирург удаляет вместе с кишкой внутренний сфинктер, находящийся в анальном канале. Новый искусственный сфинктер создается из мышечного слоя опущенной вниз сигмовидной кишки.
Показания:
Для проведения этой разновидности хирургического вмешательства необходимо соблюдение условий:
  • опухоль находится в нижнем отделе ампулы прямой кишки;
  • опухоль прорастает в мышечный слой кишки, но не распространяется за его пределы;
  • стадия опухоли – T1-2N0.
Брюшно-промежностная экстирпация (удаление) прямой кишки с низведением в рану сигмовидной или ободочной кишки. Суть метода:
Хирург полностью удаляет прямую кишку. На ее место вниз опускают конец сигмовидной кишки. В области ануса создают искусственную мышечную манжетку, которая должна играть роль жома.
Показания:
Для проведения этой разновидности хирургического вмешательства необходимо соблюдение условий:
  • достаточно большое по размерам злокачественное новообразование нижнего отдела ампулы прямой кишки;
  • опухоль занимает не больше половины окружности прямой кишки;
  • опухоль не прорастает в окружающие ткани;
  • нет метастазов в лимфатических узлах;
  • стадия опухоли - T1-2N0.
Брюшно-промежностная экстирпация (удаление) прямой кишки с формированием кишечного резервуара Суть метода:
Хирург полностью удаляет прямую кишку и анальный канал. Сигмовидная кишка низводится вниз. Особенности операции:
  • в области ануса формируется искусственная манжетка, которая должна выполнять функции жома;

  • кишка складывается таким образом, чтобы сформировать резервуар S- или W-образной формы: это поможет пациенту лучше удерживать каловые массы.
Показания:
Данный вид хирургического вмешательства осуществляется на стадии опухоли T1-2N0, при ее большой протяженности.
Типичная брюшно-промежностная экстирпация (удаление) прямой кишки. Суть метода:
Полностью удаляют прямую кишку и анальный канал со сфинктером. Свободный конец сигмовидной кишки выводят на кожу на передней поверхности живота (колостома).
Показания:
Данное хирургическое вмешательство выполняется при стадии опухоли T3-4N0-2.
  • опухоль расположена в нижней части ампулы прямой кишки;
  • опухоль прорастает в жировую клетчатку, заполняющую полость таза;
  • метастазы в регионарные лимфатические узлы имеются или отсутствуют.
Эвисцерация таза Суть метода:
Удаление всех пораженных органов из тазовой полости: прямой кишки, матки, яичников и влагалища, семенных пузырьков, предстательной железы, мочеточников, мочевого пузыря, мочеиспускательного канала, лимфатических узлов и части жировой клетчатки.
Показания:
Это хирургическое вмешательство выполняется при распространении опухоли в лимфатические узлы и ее прорастании в соседние органы. Стадия – T4N0-2
Наложение двуствольной колостомы Суть метода:
Прямую кишку не удаляют. Делают отверстие в стенке сигмовидной или ободочной кишки, выводят его на кожу передней поверхности брюшной стенки.
Показания:
  • в качестве паллиативного (облегчающего состояние пациента) метода на поздних стадиях, когда хирургическое лечение заболевания уже невозможно;

  • в качестве временной меры, если хирургическое лечение опухоли было отложено.
Главная цель наложения двуствольной колостомы – обеспечить отхождение каловых масс при развитии кишечной непроходимости.

 Лучевая терапия при раке прямой кишки

 
Показания к проведению лучевой терапии при злокачественных опухолях прямой кишки:
  • Предоперационный период. Сеансы проводят ежедневно в течение 5 дней. Облучается непосредственно область расположения опухоли. Спустя 3 – 5 суток после окончания курса выполняется хирургическое лечение.

  • Послеоперационный период. Курс лучевой терапии начинают спустя 20 – 30 суток после операции, если были подтверждены метастазы в регионарные лимфатические узлы. Облучают зону опухоли и все лимфоузлы области таза. Сеансы проводят ежедневно 5 дней в неделю.


Осложнения лучевой терапии при раке прямой кишки

Ранние осложнения возникают во время курса химиотерапии. Они являются временными и проходят после того, как курс завершен. Если они становятся сильно выраженными, то дозу уменьшают, либо лучевую терапию отменяют совсем.

Ранние осложнения при лучевой терапии прямой кишки:
  • общая слабость, повышенная утомляемость;
  • эрозии и язвы на коже в зоне облучения;
  • угнетение функций половых органов;
  • поносы;
  • анемия, снижение количества лейкоцитов и тромбоцитов в крови;
  • симптомы цистита: частые мочеиспускания, болезненные позывы.
Поздние осложнения возникают со временем, когда в организме накапливается некая критическая доза излучения. Возникают симптомы, схожие с проявлениями лучевой болезни. Со временем они не только не проходят, но и нарастают.

Поздние осложнения лучевой терапии при раке прямой кишки:
  • лейкозы
  • атрофия (уменьшение в размерах и нарушение функции) внутренних органов: мочевого пузыря, матки, мочеточников, влагалища, простаты и пр.
  • некроз (омертвение) костей.
С целью профилактики поздних осложнений лучевой терапии применяемое излучение строго дозируется. После курса осуществляется реабилитация. При появлении симптомов того или иного осложнения назначается специальное лечение.

Химиотерапия при раке прямой кишки

Химиотерапия назначается в качестве дополнения к операции по поводу рака прямой кишки, в послеоперационном периоде.

Препарат Описание Как применяется Осложнения и методы борьбы с ними  
5-фторурацил Данное вещество накапливается в опухолевой ткани, блокирует синтез ДНК и РНК, тормозит размножение раковых клеток. Раствор для внутривенного введения. Назначается по 500 – 600 мг/м2 поверхности тела ежедневно в течение 5 дней или через день. Общая дозировка на курс – 4 – 5 дней. Наиболее выражено негативное влияние фторурацила на состояние красного костного мозга и пищеварительной системы. Симптомы:

  • снижение содержания в крови лейкоцитов (белых кровяных телец) и тромбоцитов (кровяных пластинок), угнетение иммунитета и свертывания крови;

  • нарушение аппетита, рвота, понос;

  • язвенный стоматит;

  • язвенное поражение желудка и кишки;

  • реже – дерматиты (поражение кожи), выпадение волос.

При снижении уровня лейкоцитов менее 5*103/мкл и тромбоцитов менее 100*103/мкл препарат отменяют.
Фторафур Действующее вещество – Тегафур. Накапливается в опухолевых клетках и тормозит ферменты, отвечающие за синтез ДНК и РНК, подавляя их размножение. Назначают прием препарата внутрь или внутривенное введение ежедневно в дозировке 0,8 – 1,0 г/м2 поверхности тела в день. Общая доза на курс – 30 г. Как и у фторурацила
Полихимиотерапия – сочетание разных препаратов.
  • 5-фторурацил – вещество, подавляющее синтез ДНК и РНК, размножение раковых клеток;

  • адриамицин – антибиотик, активный в отношении опухолевых клеток;

  • митомицин-C – препарат, проникающий в опухолевые клетки и тормозящий образование ДНК и РНК на поздних стадиях.
  • 5-фторурацил – 600 мг/м2 на 1-й, 8-й, 29-й и 36-й дни, внутрь или внутривенно;

  • Адриамицин – по 30 мг/м2 на 1-й и 29-й день, внутрь или внутривенно;

  • митомицин-C 10 мг/м2 внутривенно через капельницу на первый день.

  • Лечение данной комбинацией начинают на 56 день после операции.
Адриамицин:
  • угнетение активности красного костного мозга, снижение иммунитета, анемия, снижение свертываемости крови;

  • токсическое действие на сердце.
Митомицин-C:
  • угнетение функций крас6ного костного мозга, как и адриамицин.
При возникновении выраженных побочных эффектов, значительном падении уровня лейкоцитов и тромбоцитов в крови препараты отменяют.
 

Как ухаживать за лечащимися пациентами?

Пациенты, которые нуждаются в специальном уходе:
  • недавно перенесшие хирургическое вмешательство по поводу рака прямой кишки;
  • истощенные, находящиеся в тяжелом состоянии;
  • имеющие колостому: конец кишки, выведенный на кожу передней поверхности живота.
Общие принципы ухода за лежачими больными:
  • частая смена нательного и постельного белья;
  • необходимо следить за тем, чтобы на простыне не скапливались крошки и загрязнения;
  • профилактика пролежней: пациента нужно периодически переворачивать, менять его позу в постели, можно использовать противопролежневые матрасы;
  • обработка мест пролежней камфорным спиртом;
  • кормление пациента (если больной не может принимать пищу самостоятельно, то применяется специальный зонд);
  • гигиенические процедуры: ежедневное умывание, чистка зубов, периодическое мытье тела влажной губкой;
  • подача судна;
  • при недержании кала и мочи применяют специальные подгузники и подкладки.
 Уход за колостомой

Пациенты с колостомой носят специальный калоприемник. Основной уход связан с его периодической заменой. Это может делать сам пациент или ухаживающий.

 Замена калоприемника:
  • аккуратно снять использованный калоприемник (чаще всего используют адгезивные – со специальной наклейкой) сверху вниз, выбросить его;
  • вытереть бумажной или марлевой салфеткой кожу вокруг колостомы насухо;
  • промыть колостому и кожу вокруг нее теплой кипяченой водой;
  • тщательно высушить кожу при помощи салфеток;
  • смазать крем мазью или пастой, назначенной врачом;
  • убрать остатки крема с кожи при помощи салфетки;
  • приклеить на кожу новый калоприемник, руководствуясь приложенными к нему инструкциями от производителя.

Диета при раке прямой кишки

Правила питания при раке прямой кишки:
  • полноценное питание, включение в рацион достаточного количества белков, жиров, углеводов, витаминов и минералов;
  • ограничение жирной мясной пищи;
  • обогащение рациона овощами и фруктами;
  • полноценный завтрак;
  • пятиразовое питание небольшими порциями;
  • тщательное пережевывание пищи;
  • исключение из рациона острых, кислых, экстрактивных продуктов.

Прогноз при раке прямой кишки

Факторы, влияющие на прогноз при злокачественных новообразованиях прямой кишки:
  • стадия заболевания;
  • клеточное строение опухоли;
  • степень дифференцировки опухолевых клеток (недифференцированные наименее благоприятны – см. выше);
  • наличие метастазов в лимфатических узлах;
  • вид проведенного лечения.
Если была проведена операция по удалению опухоли без метастазов, то в течение 5 лет выживает 70% прооперированных пациентов. При наличии метастазов в лимфатических узлах прямой кишки, паховой и подвздошной области эта цифра снижается до 40%.

Зависимость количества пациентов, выживших в течение 5 лет, от стадии опухолевого процесса:
  • I стадия – 80%;
  • II стадия – 75%;
  • IIIA стадия – 50%;
  • IIIБ стадия – 40%.

Профилактика рака прямой кишки

Общие профилактические мероприятия, направленные на предотвращение рака прямой кишки:
  • Правильное питание. Ограничение в рационе мясной и жирной пищи.

  • Достаточная физическая активность, борьба с избыточной массой тела.

  • Своевременное лечение заболеваний прямой кишки: анальных трещин, геморроя, полипов и пр.

  • Отказ от вредных привычек: алкоголя, курения.
Лицам с неблагоприятной наследственностью и в возрасте после 50 лет рекомендуется ежегодно проходить скрининговое обследование на предмет рака прямой кишки. Оно включает в себя:
  • анализ кала на скрытую кровь;

  • ректороманоскопию;

  • ультразвуковое исследование.

Тревожные симптомы рака кишечника, к которым мы относимся несерьезно

Кабанов Артем Сергеевич
Автор:
Специальность: Педиатр, детский хирург

Опубликовано: 26.11.2013

Дополнено: 08.6.2021

Просмотров: 362269

Поделиться
Онколог. Чем занимается данный специалист, какие исследования производит, какие патологии лечит?
76741
0
Онколог. Чем занимается данный специалист, какие исследования производит, какие патологии лечит?
Плоскоклеточный рак. Причины, симптомы, признаки, диагностика и лечение патологии
288736
3
Плоскоклеточный рак. Причины, симптомы, признаки, диагностика и лечение патологии
Рак кожи. Причины, симптомы и признаки, диагностика и лечение рака
353173
1
Рак кожи. Причины, симптомы и признаки, диагностика и лечение рака
Рак груди. Причины, симптомы, диагностика и лечение заболевания
230915
0
Рак груди. Причины, симптомы, диагностика и лечение заболевания
Рак легких. Причины, симптомы, стадии, диагностика и лечение болезни
152271
1
Рак легких. Причины, симптомы, стадии, диагностика и лечение болезни
Рак тела матки. Симптомы и признаки, причины, стадия, профилактика болезни
196925
2
Рак тела матки. Симптомы и признаки, причины, стадия, профилактика болезни
Рак простаты. Причины, симптомы, стадии, лечение заболевания. Операция при раке простаты.
481843
4
Рак простаты. Причины, симптомы, стадии, лечение заболевания. Операция при раке простаты.
Рак щитовидной железы. Симптомы, признаки, причины, диагностика и лечение заболевания.
644657
4
Рак щитовидной железы. Симптомы, признаки, причины, диагностика и лечение заболевания.
Рак печени. Симптомы, признаки, диагностика и лечение болезни.
252672
1
Рак печени. Симптомы, признаки, диагностика и лечение болезни.
Рак шейки матки. Симптомы и признаки, причины, стадии, профилактика болезни.
340984
3
Рак шейки матки. Симптомы и признаки, причины, стадии, профилактика болезни.
Рак поджелудочной железы. Симптомы и признаки, причины, диагностика, лечение. Стадии и виды рака поджелудочной железы.  Операция, химиотерапия
356367
6
Рак поджелудочной железы. Симптомы и признаки, причины, диагностика, лечение. Стадии и виды рака поджелудочной железы. Операция, химиотерапия
Рентген толстого кишечника. Ирригоскопия, ирригография - показания, противопоказания. Как подготовиться к обследованию, как оно производится, расшифровка результата
135498
0
Рентген толстого кишечника. Ирригоскопия, ирригография - показания, противопоказания. Как подготовиться к обследованию, как оно производится, расшифровка результата
Синдром раздраженного кишечника - причины, симптомы, диагностика и эффективное лечение
1199230
4
Синдром раздраженного кишечника - причины, симптомы, диагностика и эффективное лечение
Рак желудка - симптомы, причины, современная диагностика, лечение
222415
1
Рак желудка - симптомы, причины, современная диагностика, лечение
Рак толстой кишки - причины, симптомы, современная диагностика и эффективное лечение
335193
1
Рак толстой кишки - причины, симптомы, современная диагностика и эффективное лечение

Комментировать или поделиться опытом:


Архивы:

Регистрация временно закрыта

Вход в профиль

Войдите при помощи профиля в социальной сети или ранее зарегистрированного профиля на сайте

Ваша эл. почта
Проверочный код
Вернуться к логину
Ваша эл. почта
Пароль
Я забыл пароль
Закрыть