Рак легких. Причины, симптомы, стадии, диагностика и лечение болезни

Содержание статьи:


Сайт предоставляет справочную информацию. Адекватная диагностика и лечение болезни возможны под наблюдением добросовестного врача. У любых препаратов есть противопоказания. Необходима консультация специалиста, а также подробное изучение инструкции!

Диагноз "рак" для многих звучит как страшный приговор, но так ли это? Термин "рак" известен со времен Гиппократа, который назвал заболевания молочной железы и других органов как «cancer» (переводится с греческого как "краб", "рак"). Такое название обусловлено тем, что новообразования как клешни врастали вглубь ткани, что внешне напоминало краба.
 
Рак, группирующий болезни, которые поражают все системы, органы и ткани человека, характеризуется быстрым ростом нетипичных клеток, длительно формирующихся из одной нормальной клетки под действием различных факторов, проникновением и распространением их в окружающие органы.
 
Немного статистики! В мире в 2012 году было зарегистрировано около 14 млн. случаев рака и около 8 млн. смертей от этого недуга. Рак легких в структуре заболеваемости составил 13%, став наиболее частой причиной смерти от онкологических заболеваний и составив около 20% от всех случаев смертей от новообразований. ВОЗ предполагает, что через 30 лет распространенность рака легких увеличится в два раза. Россия и Украина находятся на второй позиции в Европе по смертности от рака легких.
 
Такая высокая смертность от рака легких связана с тем, что чаще всего диагноз ставится на поздних стадиях заболевания из-за плохой визуализации органов дыхания, поэтому очень важно вовремя выявить заболевание, что увеличит шансы на выздоровление.
 
Интересный факт! Мужчины болеют раком легких в 10 раз чаще женщин, с возрастом заболеваемость возрастает. Поэтому при старении населения (а сегодня во многих европейских странах количество пожилых людей выше, чем молодых), увеличивается и заболеваемость онкологическими заболеваниями.
 
Проблема рака легких тесно переплетается с распространением табакокурения среди всех групп населения, состоянием окружающей среды, распространением вирусных и других инфекционных заболеваний. Поэтому профилактика онкологических заболеваний – это удел не только каждого человека в отдельности, но и общественности в целом. 

Анатомия легких

Топографическая анатомия легких


Легкие – это парный орган дыхания, который обеспечивает кровь кислородом и выводит углекислый газ. Легкие занимают 80% грудной полости.

Строение легких

Скелет легких представляет бронхиальное дерево, состоящее из: трахеи; левого и правого главных бронхов; долевых бронхов; сегментарных бронхов.

Саму легочную ткань составляют дольки, которые формируются из ацинусов, осуществляющих непосредственно процесс дыхания.
 
Легкие покрыты плеврой, являющейся отдельным органом, защищающим легкое от трения во время дыхания. Плевра состоит из двух листков (париетальная и висцеральная), между которыми формируется плевральный мешок (в норме он не виден). Через поры плевры в норме выделяется небольшое количество секрета, который является своеобразной «смазкой», уменьшающей трение между париетальной и висцеральной плеврой.
 
При поражениях плевры может определяться экссудат (жидкость):
  • серозная, серозно-гнойная, гнойная жидкости – плеврит,
  • кровь (геморрагический экссудат) – гемиторакс,
  • воздух (пневмоторакс).
Корень легкого - анатомические структуры, которые соединяют легкое со средостением.

Корень легкого формируют:
  • главный бронх;
  • легочные артерии и вены;
  • бронхиальные артерии и вены;
  • лимфатические сосуды и узлы.
Корень окружен соединительной тканью и покрыт плеврой.
 
Средостение – группа анатомических структур, располагающаяся между плевральными полостями. С целью описания процесса, его локализации, распространенности, определения объемов хирургических операций необходимо разделять средостение на верхний и нижний этажи.
 
К верхнему средостению относятся:
  • вилочковая железа (тимус);
  • сосуды: часть верхней полой вены, дуга аорты, плечеголовные вены;
  • трахея;
  • пищевод;
  • грудной лимфатический сосуд;
  • нервные стволы: блуждающий, диафрагмальный, нервные сплетения органов и сосудов.
К нижнему средостению относятся:
  • сердце, аорта и другие сосуды;
  • лимфатические узлы;
  • перикард;
  • трахея;
  • пищевод;
  • нервные стволы.

Рентгеноанатомия легких

Рентгенография представляет собой наслоение всех проекций органов на рентгеновской пленке в двухмерном изображении. На рентгенограммах белым изображаются плотные ткани, черным – воздушные пространства. Чем плотнее ткани, органы или жидкость, тем более белыми они выглядят на рентгенограммах.

На обзорном рентгене органов грудной клетки определяются:
  • костный каркас в виде трех грудных позвонков, грудины, ключиц, ребер и лопаток;
  • мышечный каркас (грудино-ключично-сосцевидные и грудные мышцы);
  • правое и левое легочные поля;
  • купола диафрагмы и плевро-диафранмальные синусы;
  • сердце и другие органы средостения;
  • правый и левый корень легкого;
  • молочные железы и соски;
  • кожные складки, родинки, папилломы, келоидные рубцы (шрамы).
Легочные поля на рентгенограммах в норме черные за счет наполнения воздухом. Легочные поля структурны за счет легочного рисунка (сосуды, интерстициальная или соединительная ткань).
 
Легочной рисунок имеет ветвистую форму, "обедняется" (становится менее ветвистым) от центра к периферии. Правое легочное поле шире и короче левого за счет сердечной тени, располагающейся срединно (больше слева).
 
Любые затемнения в легочных полях (на рентгеновских снимках – белые образования, за счет повышения плотности легочной ткани) являются патологическими и требуют дальнейшего проведения дифференциальной диагностики. Также при диагностике заболеваний легких и других органов грудной полости важно обращать внимание на изменения корней легких, расширение средостения, расположение органов грудной клетки, наличие жидкости или воздуха в плевральной полости, деформацию костных структур грудной клетки и другое.
 
В зависимости от размеров, формы, структуры патологические тени, обнаруженные в легочных полях, делятся на:
  1. Гипопневматозы (снижение воздушности легочной ткани):
    • Линейные – тяжистые и ветвистые (фиброз, соединительная ткань), полосовидные (поражения плевры);
    • Пятнистые – очаговые (размером до 1 см), фокусы (размером более 1 см)
       
  2. Гиперпневматозы (повышение прозрачности легкого):
    • Полости, окруженные анатомическими структурами - буллы, эмфизема;
    • Полости, окруженные кольцевидной тенью – каверны;
    • Полости, не ограниченные от окружающих тканей.
       
  3. Смешанные.
В зависимости от плотности теней различают:
  • малоинтенсивные тени (более светлые, «свежие»),
  • тени средней интенсивности;
  • интенсивные тени (фиброзная ткань);
  • кальцинаты (выглядят как костная ткань).

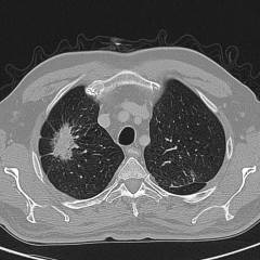
Лучевая анатомия рака легких

Лучевая диагностика рака легких имеет огромное значение в первичной диагностике. На рентгенограммах легких могут определяться тени различных размеров, форм и интенсивности. Основным признаком раковой опухоли является бугристость поверхности и лучистость контура.
 
В зависимости от рентгенологической картины различают следующие виды рака легких:
  • центральный рак (фото А);
  • периферический рак (узловатая, пневмониеподобная, плевральная, полостная формы) (фото Б);
  • медиастинальный рак (фото В);
  • верхушечный рак (фото Г).
 
А
Б
В
Г

Патологическая анатомия при раке легких

Онкологические образования легких развиваются из тканей бронхов или альвеол. Чаще рак появляется в сегментарных бронхах, после чего поражает и крупные бронхи. На ранних стадиях раковое образование мелкое, возможно не определяющееся на рентгенограммах, затем постепенно растет и может занимать все легкое и вовлекать в процесс лимфатические узлы и другие органы (чаще органы средостения, плевра), а также метастазировать в другие органы и системы организма.
 
Пути распространения метастазов:
  • Лимфогенный – по ходу лимфатической системы - регионарные лимфоузлы, лимфоузлы средостения и другие органы и ткани.
  • Гематогенный – через кровь по ходу сосудов - головной мозг, кости, печень, щитовидная железа и другие органы.


Подпишитесь на Здоровьесберегающий видеоканал

Виды рака легких в зависимости от вида раковых клеток

  1. Мелкоклеточный рак легкого – встречается в 20% случаев, имеет агрессивное течение. Характеризуется быстрым прогрессированием и метастазированием, ранней диссеминацией (распространением) метастазов в лимфатические узлы средостения.
     
  2. Немелкоклеточный рак легкого:
    • Аденокарцинома – наблюдается в 50% случаев, распространяется из железистой ткани бронхов, чаще на начальных стадиях протекает без симптомов. Характеризуется обильным выделением мокроты.
    • Плоскоклеточная карцинома встречается в 20-30% случаев, образуется из плоских клеток в эпителии мелких и крупных бронхов, в корне легких, растет и метастазирует медленно.
    • Недифференцированный рак характеризуется высокой атипичностью раковых клеток.
       
  3. Другие виды рака:
    • бронхиальные карциноиды формируются из гормон-продуцирующих клеток (бессимптомные, тяжело диагностируемые, медленно растущие).
    • опухоли из окружающих тканей (сосудов, гладкой мускулатуры, иммунных клеток и др.).
    • метастазы из опухолей, локализированных в других органах.

Как выглядит пораженное раком легкое?

На фото периферического рака левого легкого под плеврой крупная раковая опухоль без четких границ. Ткань опухоли плотная, серо-белая, кровоизлияния и некроз вокруг. В процесс также вовлечена плевра.

Легкое курильщика

Фото легкого, пораженного центральным раком бронха. Образование плотное, связано с главным бронхом, серо-белого цвета, границы новообразования нечеткие.

Причины рака легких

  • Курение, включая пассивное.
  • Загрязнение атмосферы.
  • Вредные условия труда.
  • Радиоактивный фон.
  • Генетическая предрасположенность.
  • Сопутствующие хронические инфекционные заболевания.
  • Другие причины развития раковых заболеваний, среди которых неправильное питание, малоподвижный образ жизни, злоупотребление алкоголем, вирусные инфекции и т.д.

Наличие никотиновой зависимости Удельный вес
в заболеваемости раком легких
Риск развития рака легких
У мужчин У женщин
Курящие 90% 17,2% 11,6%
Некурящие 10% 1,3% 1,4%
 

Курение



T 800-900 C

Вред курения
  • Химическое воздействие на генотип клетки. Основной причиной возникновения рака легких является попадание в легкие вредных веществ с воздухом. В сигаретном дыме содержится около 4000 химических веществ, включая канцерогены. С увеличением количества выкуренных сигарет в сутки риск по заболеванию раком легких растет в геометрической прогрессии.
    При вдыхании сигаретного дыма канцерогены могут повлиять на гены клетки, вызвать их повреждение, тем самым способствуя перерождению здоровой клетки в раковую.
     
  • Физическое действие на слизистую бронхов высоких температур и дыма.
    Риск заболевания раком при курении увеличивается и за счет температуры сигареты: так, при ее тлении температура достигает 800-900С, что является мощным катализатором канцерогенов.
     
  • Сужение бронхов и сосудов
    Под физическим и химическим воздействием никотина сужаются бронхи и сосудистая сеть легких. Со временем бронхи теряют свою способность к растяжению во время дыхания, что приводит к уменьшению объема вдыхаемого кислорода, в свою очередь, к уменьшению кислородонасыщения организма в целом и участка пораженного раковыми клетками легкого в частности.
     
  • Увеличение количества выделяемой мокроты, ее сгущение
    Никотин способен увеличивать выделение легочного секрета – мокроты, ее сгущению, и выведению из бронхов, это приводит к уменьшению объема легких.
     
  • Атрофия ворсинчатого эпителия бронхов
    Сигаретный дым также негативно воздействует на ворсинки бронхов и верхних дыхательных путей, которые в норме способствуют активному выведению мокроты с частичками пыли, микробных тел, смол от сигаретного дыма и других вредных веществ, которые попали в дыхательные пути.  При недостаточности ворсинок бронхов единственным способом выведения мокроты становится кашель, именно поэтому курильщики постоянно кашляют.
     
  • Снижение уровня кислородонасыщения
    Недостаточное кислородонасыщение клеток и тканей организма, как и токсическое действие вредных веществ табака, влияет на общую сопротивляемость организма и иммунитет, что увеличивает риск развития раковых заболеваний в целом.
     
  • Пассивное курение имеет такую же опасность, как и активное. При выдыхании курильщиком никотиновый дым становится более концентрированным.

Причины рака легких у некурящих, механизмы развития

  • Генетический фактор
    В современное время с изучением генетики многих заболеваний доказано, что предрасположенность к онкологическим заболеваниям передается по наследству. Более того, по наследству передается и расположенность к развитию определенных форм и локализаций рака.
     
  • Загрязнение окружающей среды выхлопными газами транспорта, промышленными предприятиями и другими видами жизнедеятельности человека влияют на организм человека таким же образом, как и пассивное курение. Также актуальной является проблема загрязнения канцерогенами почвы и воды.
     
  • Асбестовая пыль и другие промышленные вещества (мышьяк, никель, кадмий, хром и др.), содержащихся в промышленной пыли, являются канцерогенами. Асбестовая пыль содержит тяжелые частицы, которые оседают в бронхах, тяжело выводятся органами дыхания. Эти частицы способствуют развитию фиброза легких и длительному воздействию содержащихся в них канцерогенов на генетический фон нормальных клеток, что приводит к развитию рака.
     
  • Радон – природный газ, который является продуктом распада урана.
    Радон можно выявить на производстве, в воде, почве и пыли. При распаде радона образуются альфа частицы, которые с пылью и аэрозолями попадают в легкие человека, где также воздействуют на ДНК клетки, вызывая ее перерождение в аномальную.
     
  • Инфекционные заболевания бронхо-легочной системы, а также неадекватная терапия при них, могут привести к хроническому воспалению бронхов и легких, это, в свою очередь, способствует формированию и распространению фиброза. Развитие фиброзной ткани может стать причиной развития раковых клеток. Такой же механизм преобразования раковых клеток возможен и при формировании рубцов при туберкулезе.

Симптомы и признаки рака легких

Раннее проявление рака легких


Наиболее важно выявить заболевание на ранних этапах развития опухоли, при этом чаще всего течение в начале болезни бессимптомное или малосимптомное.
 
Симптомы при раке легких носят неспецифический характер, могут проявляться и при многих других заболеваниях, но комплекс симптомов может быть поводом для обращения к врачу с целью дальнейшего обследования на наличие онкологического заболевания.
 
В зависимости от распространения поражения, формы, локализации и стадии симптомы могут быть различными. Существует ряд симптомов, при наличии которых можно заподозрить рак легких.
 
Симптом Как проявляется симптом Причины возникновения симптома
 
Кашель Сухой, частый, надсадный, приступообразный, позже -
влажный с обильным выделением густой мокроты (слизистой или гнойной).
Опухоль бронха, сдавление бронха опухолью извне, обильное выделение мокроты, увеличение внутригрудных лимфоузлов, токсико-аллергическое влияние на бронхи.
Одышка Проявляется при незначительной физической нагрузке: чем больше поражение опухолью, тем больше проявляется одышка. Возможна одышка по типу бронхообструкции, сопровождающаяся шумным свистящим дыханием. Сужение просвета бронха, спадение сегмента или доли легкого (ателектаз), вторичная пневмония, наличие жидкости в плевральной полости (плеврит), распространение опухоли лимфатической системой, поражение внутригрудных лимфатических узлов, сдавление верхней полой вены и др.
 
Кровохарканье Встречается редко и проявляется появлением в мокроте прожилок или сгустков крови, возможно обильное выделение пенистой или желеподобной мокроты, в редких случаях профузное кровотечение, которое может привести к быстрому летальному исходу больного. Связано с поражением опухолью кровеносного сосуда в виде расплавления его стенки и попадания крови в бронх.
Боль в грудной клетке Боль может быть различной: от периодической до острой приступообразной и постоянной. Боль может отдавать в плечо, в шею, в живот. Также боли могут усиливаться при глубоком дыхании, кашле. Боль не купируется приемом ненаркотических болеутоляющих препаратов. По интенсивности боли можно судить о степени поражения легких и других органов грудной клетки. Поражение опухолью нервных структур, жидкость в плевральной полости, сдавление органов средостения, поражение магистральных сосудов и прочее.
Повышение температуры тела Часто встречаемый симптом раковых заболеваний. Может быть временным симптом (как при ОРВИ) или повторяющимся (иногда больные не уделяют этому симптому внимание). Распад легочной ткани, воспалительные изменения в пораженном органе.
Общие интоксикационные симптомы Снижение аппетита, похудение, утомляемость, расстройства нервной системы и другие. Интоксикация вследствие распада легочной ткани, метастазирования.
 

Стадии и виды рака легких

В зависимости от анатомического расположения:
  1. Центральный рак характеризуется опухолью в эпителий главных бронхов.
  2. Периферический рак поражает более мелкие бронхи и альвеолы.
  3. Медиастинальный рак характеризуется метастазированием во внутригрудные лимфатические узлы, при этом первичная опухоль не обнаруживается.
  4. Диссеминированный рак легких проявляется наличием множественных мелких раковых очагов.
Стадии рака легких

В зависимости от распространенности опухолевого процесса

Стадия Размеры Поражение лимфатических узлов Метастазы
Стадия 0 Опухоль не распространена в окружающие ткани нет нет
Стадия І А Опухоль до 3 см, не поражает главный бронх нет нет
Стадия І Б Опухоль размером от 3 до 5 см, не распространена на другие участки легких, находится ниже трахеи на 2 см и более нет нет
Стадия ІІ А Опухоль до 3 см, не поражает главный бронх Поражение единичных региональных перибронхиальных лимфоузлов. нет
Стадия ІІ В Опухоль размером от 3 до 5 см, не распространена на другие участки легких, находится ниже трахеи на 2 см и более Поражение единичных региональных перибронхиальных лимфоузлов. нет
Опухоль любого размера, которая переходит на другие органы грудной клетки, кроме трахеи, сердца, крупных сосудов нет нет
Стадия ІІІ А Опухоль до 5 см, с/без поражения других участков легких Поражение бифуркационных или других лимфоузлов средостения на стороне поражения нет
Опухоль любого размера, которая переходит на другие органы грудной клетки, кроме трахеи, сердца, крупных сосудов Поражение перибронхиальных, региональных или бифуркационных и других лимфоузлов средостения на стороне поражения нет
Стадия ІІІ В Опухоль любого размера, поражающая средостение, сердце, крупные сосуды, трахею и другие органы Поражение любых лимфатических узлов нет
Опухоль любых размеров и распространенности Поражение лимфатических узлов средостения на противоположной стороне, лимфоузлов верхнего плечевого пояса нет
Стадия IV Опухоль любых размеров Поражение любых лимфоузлов Наличие любого метастазирования
 

Диагностика рака легких

Рентгенологические методы диагностики

  1. Флюорография (ФГ)  - массовый скрининговый рентгенологический метод исследования органов грудной клетки.
     
     Возможности выявления:  
    Недостатки ФГ:
    • малоинформативность: выявленные изменения на флюорографии не позволяют провести дифференциальную диагностику заболевания, что требует дальнейшего глубокого обследования у пульмонологов, онкологов, фтизиатров.
       
    Преимущества ФГ:
    • благодаря введению цифровой флюорографии можно проводить ежегодный скрининг без большой радиационной нагрузки на организм, при этом изображения хранятся на цифровых носителях;
    • самый дешевый рентгенологический метод исследования.
       
  2. Рентгенография органов грудной клетки

    Показания:
    • наличие у пациента жалоб легочного или интоксикационного характера;
    • выявление патологии на флюорографии;
    • выявление новообразования в других органах с целью исключения метастазирования в легкие и средостение;
    • другие индивидуальные показания.
     
    Преимущества:
    • возможность использования определенных проекций индивидуально;
    • возможность использовать рентген-исследования с введением контрастных веществ в бронхи, сосуды и пищевод с целью проведения дифференциальной диагностики выявленной патологии;
    • выявление новообразований, определение приблизительных их размеров, локализацию, распространенность;
    • низкая рентгенологическая нагрузка при проведении одной проекции рентгенографии, т. к. рентгеновские лучи проникают в тело только по одной поверхности тела (при увеличении количества снимков, лучевая нагрузка резко увеличивается);
    • достаточно дешевый метод исследования.
       
    Недостатки:
    • недостаточная информативность - из-за наслоения трехмерного измерения грудной клетки на двухмерное измерение рентгеновской пленки.
       
  3. Рентгеноскопия

    Представляет собой рентгенологический метод исследования в реальном времени.
    Недостатки: высокая лучевая нагрузка, но при введении цифровых рентгеноскопов этот недостаток практически нивелирован из-за значительного снижения дозы облучения.
     
    Преимущества:
    • возможность оценить не только сам орган, но и его подвижность, а также движение вводимых контрастных веществ;
    • возможность контролировать проведение инвазивных манипуляций (ангиография и др.).
     
    Показания:
    • выявление жидкости в плевральной полости;
    • проведение контрастных методов исследования и инструментальных манипуляций;
    • скрининг состояния органов грудной клетки в послеоперационном периоде.

  4. Компьютерная томография (КТ)

    Преимущества:
    • Высокая информативность.
    • Метод основан на выполнении тонких срезов (по типу анатомических срезов Пирогова) рентгеновскими лучами за короткое время воздействия (15-30 секунд).
    • Общее время проведения самого исследования составляет 7 – 30 минут.
    • Позволяет представить трехмерное измерение органов, включая сосуды, лимфатические узлы, мягкие ткани и другое.
    • КТ также позволяет проводить исследования с контрастированием.
    • Решение вопроса о необходимости проведения КТ принимает лечащий врач совместно с рентгенологом.
     
    Возможности:
    • выявление самой опухоли;
    • дифференциальная диагностика с другими заболеваниями органов грудной клетки (такими как туберкулез, доброкачественные образования, инфекционные и паразитарные болезни органов дыхания, врожденные патологии, патологии сердечно-сосудистой системы и др.);
    • точное определение размеров, положения, распространенности, вида и стадии образования.
     
    Недостатки:
    • Лучевая нагрузка при КТ-исследовании выше, чем при обычной рентгенографии, поскольку рентгеновские лучи проникают в тело по всей площади, а не только по передней стенке грудной клетки.
    • Количество проведенных срезов и доза полученной радиации напрямую зависит от возможности аппарата компьютерного томографа.
    • Дорогостоящий метод исследования.
     
    Показания:
    • выявление патологических изменений другими рентгенологическими видами исследования;
    • выявление мелких метастатических очагов в органах грудной клетки (легкие, средостение, кости, лимфатические узлы и др.);
    • оценка объема предстоящей операции в грудной клетке по поводу рака легких;
    • оценка эффективности терапии;
    • оценка состояния окружающей ткани легкого (наличие бронхоэктазов, эмфиземы, фиброза и др.);
    • определение тактики и прогноза лечения.

  5. Магнитно - резонансная томография (МРТ)
     
    Преимущества:
    • Эффективность и безопасность.
    • Отображение структуры организма с помощью радиоволн, излучаемых атомами водорода, которые содержатся во всех клетках и тканях организма.
    • Отсутствие лучевой нагрузки - является томографическим, но не рентгенологическим методом исследования,
    • Высокая точность выявления новообразования, их положения, вида, формы и стадии раковой опухоли.
     
    Показания к МРТ:
    • нежелательное использование рентгеновских лучей;
    • подозрение на наличие новообразования и метастазов;
    • наличие жидкости в плевральной полости (плеврит);
    • увеличение внутригрудных лимфатических узлов;
    • контроль операции в грудной полости.
     
    Недостатки МРТ:
    • Наличие противопоказаний (использование кардиостимулятора, электронных и металлических имплантов, наличие металлических осколков, искусственных суставов).
    • Не рекомендовано проведение МРТ при использовании инсулиновых помп, при клаустрофобии, психическом возбуждении пациента, наличии татуировок с использованием красителей из металлических соединений.
    • Дорогостоящий метод исследования.
       
    Ультразвуковые исследования в диагностике рака легких (УЗИ) это малоэффективный, но безопасный метод исследования при раке легких.
     
    Показания:
    • определение наличия жидкости или газов в плевральной полости, увеличенных лимфатических узлов средостения;
    • выявление метастазов в органы брюшной полости и малого таза, почки и надпочечники.
  6. Бронхоскопия
     
    Это инвазивный метод исследования дыхательных путей с помощью бронхоскопа.
     
    Преимущества:
    • выявление опухоли, воспалительных процессов и инородных тел в бронхах;
    • возможность взятия биопсии опухоли.
     
    Недостатки:
    • инвазивность и неприятные ощущения при проведении процедуры.
     
    Показания:
    • подозрение на новообразование в бронхе;
    • взятие биопсионного материала ткани.


Гистологические и цитологические методы исследования рака легких

Определение клеточного состава образования, обнаружение раковых клеток путем микроскопии срезов тканей. Метод обладает высокой специфичностью и информативностью.
 
Методы проведения биопсии:
  • бронхоскопия;
  • торакоцентез – пункция плевральной полости;
  • тонкоигольная аспирационная биопсия – взятие материала через грудную клетку;
  • медиастиноскопия – взятие материала из лимфоузлов средостения через прокол грудной клетки;
  • торакотомия - хирургические диагностические операции со вскрытием грудной клетки;
  • цитологическое исследование мокроты.

Онкомаркеры

Выявляются при исследовании анализа крови на специфические белки, выделяемые раковыми клетками.

Показания:
  • дополнительный метод при выявлении новообразования другими методами;
  • контроль эффективности лечения;
  • выявление рецидивов болезни.
Недостатки:
  • низкая специфичность;
  • недостаточная чувствительность.
Основные онкомаркеры рака легких:
  • Раковоэмбриональный антиген (РЭА)
    до 5 мкг/л – норма;
    5-10 мкг/л – может свидетельствовать о неспецифических заболеваниях;
    10-20 мкг/л – указывает на наличие риска развития рака;
    более 20 мкг/л – указывает на большую вероятность наличия ракового заболевания.
  • Нейронспецифическая енолаза (NSE)
    до 16,9 мкг/л – норма;
    более 17,0 мкг/л – высокая вероятность мелкоклеточного рака легких.
  • Cyfra 21-1
    до 3,3 мкг/л – норма;
    более 3,3 мкг/л – высокая вероятность немелкоклеточного рака легких.

Лечение рака легких

Лечение любого онкологического заболевания должно быть длительным, комплексным и последовательным. Чем раньше начать лечение, тем более эффективным оно становится.
 
Эффективность лечения определяет:
  • отсутствие рецидивов и метастазов в течение 2-3 лет (риск развития рецидивов через 3 года резко снижается);
  • пятилетняя выживаемость после окончания лечения.
Основными методами лечения рака легкого являются:
  1. химиотерапия;
  2. лучевая терапия;
  3. хирургическое лечение;
  4. народная медицина.
Выбор тактики обследования, диагностики и лечения, а также сама терапия проводятся под наблюдением врача онколога. Эффективность лечения рака также во многом зависит от психо-эмоционального настроения человека, веры в выздоровление, поддержки близких людей.

Химиотерапия

  • Химиотерапия (ХТ) - распространенный метод лечения рака легких (особенно в комплексном лечении), который заключается в приеме химиопрепаратов, воздействующих на рост и жизнедеятельность раковых клеток.
  • В современное время учеными всего мира проводится изучение и открытие новейших химиопрепаратов, что оставляет возможность данному методу выйти на первое место в лечении онкологических заболеваний.
  • ХТ проводится курсами. Количество курсов зависит от эффективности проведенной терапии (в среднем необходимо 4 – 6 блоков ХТ).
  • Тактика и схемы ХТ отличается при мелкоклеточном и немелкоклеточном раке легких.
Когда назначается:
  • Более эффективно химиотерапия применяется при быстро растущих формах рака (мелкоклеточный рак).
  • ХТ может быть использована при раке на любой стадии, даже в самых запущенных случаях.
  • ХТ используется комплексно с лучевой терапией или с оперативным лечением.

Эффективность химиотерапии:
В комплексе с лучевой терапией или хирургическим вмешательством – пятилетняя выживаемость при І стадии до 65%, при ІІ - до 40%, при ІІІ – до 25%, при IV – до 2%.

Радиотерапия (лучевая терапия)

Лучевая терапия – метод лечения раковых новообразований, при котором используют ионизирующее излучение для воздействия на раковые клетки. Доза, длительность, количество процедур определяется индивидуально.
 
Когда применяется:
  • Раковые опухоли маленьких размеров.
  • До или после операции с целью воздействия на раковые клетки.
  • Наличие метастазов.
  • Как один из методов паллиативного лечения.
Виды лучевой терапии:
  • Дистанционная лучевая терапия – применяется с помощью радиоактивных установок
  • Внутренняя лучевая терапия (брахитерапия) – воздействие радиоактивных веществ непосредственно на опухоль в бронхиальном дереве или в верхних дыхательных путях.
  • Стереотаксическая радиотерапия – используется при невозможности использования других методов лечения рака. Метод основан на использовании коротких пучков радиоактивных лучей непосредственно на раковые клетки, минимально воздействует на окружающие здоровые клетки. Используется в разрезе радиохирургии. На данный момент этот метод является одним из самых эффективных способов при лечении рака.
  • Гамма Нож и Кибер Нож – установки стереотаксической радиотерапии. Гамма Нож позволяет лечить раковые опухоли или метастазы в голове и шее. Кибер Нож используют для лечения рака других органов, в т. ч. и рак легких.
     

Основные возможные побочные действия от лучевой терапии:
  • Повреждение кожи в месте воздействия радиоактивного луча.
  • Утомляемость.
  • Облысение.
  • Кровотечение из пораженного раком органа.
  • Пневмония, плеврит.
  • Гипертермический синдром (повышение температуры тела).

Хирургическое лечение рака легкого

Операция в виде удаления опухоли является наиболее эффективным методом лечения рака. Но, к сожалению, оперативное вмешательство возможно только при своевременно выявленных процессах (І – ІІ и частино ІІІ стадии). Эффективность оперативного лечения выше при немелкоклеточном раке легкого, чем при мелкоклеточном. Так, операбельными оказываются только 10 - 30% больных раком легких.
 
К неоперабельным случаям относят:
  1. Запущенные формы рака легких.
     
  2. Случаи с относительными противопоказаниями к оперативному лечению:
    • сердечная недостаточность ІІ-ІІІ степени;
    • тяжелые патологии сердца;
    • выраженная печеночная или почечная недостаточности;
    • тяжелое общее состояние;
    • возраст больного.
Удаляя только видимую опухоль, развивается риск сохранения раковых клеток в окружающих тканях, что может привести к распространению и прогрессированию онкологического процесса. Поэтому хирурги во время операции удаляют часть окружающих тканей органа, лимфатические сосуды и регионарные лимфоузлы (лимфаденэктомия), благодаря чему и достигается радикальность данного метода.
 
Виды операций:
  • Частичная резекция легкого.
  • Лобэктомия – удаление целой доли легкого.
  • Пульмонэктомия – удаление всего легкого.
  • Комбинированные операции удаление пораженной части легкого и пораженных частей окружающих органов.
Выбор вида операции хирургами чаще всего осуществляется непосредствен во время проведения операции.
 
Эффективность оперативного лечения зависит от стадии и вида рака, от общего состояния больного, от выбранного вида операции, профессиональности операционной бригады, аппаратуры и комплексности лечения.
  • Трехлетнее отсутствие рецидивов – до 50%.
  • Пятилетняя выживаемость – до 30%.
Эффективность комплексной терапии (операция +/или химиотерапия + /или радиотерапия). Полностью излечивается от рака легких в среднем 40% пациентов. Пятилетняя выживаемость при І стадии до 80%, при ІІ – до 40%, при ІІІ – до 20%, при IV – до 2%.
Без лечения в течение двух лет от рака легких умирает около 80% пациентов.
 
Паллиативная помощь – мероприятия, направленные на облегчение жизни пациентов с запущенными формами рака легких или с отсутствующим эффектом на проведенную терапию.
 
Паллиативная помощь включает:
  • Симптоматическое лечение, снимающее проявление симптомов, но не излечивающее заболевание (наркотические и ненаркотические анальгетики, противокашлевые, транквилизаторы и другие). Помимо лекарственных средств, используют паллиативные операции (лучевую и химиотерапию).
  • Улучшение психо-эмоционального состояния больного.
  • Профилактика инфекционных заболеваний.
  • Индивидуальный подход к таким больным.

Народные методы

  • Эффективность от лечения народными методами изучена недостаточно.
  • Желательно использование данных методов в комплексе с методами традиционной медицины (после консультации лечащего врача).
  • Возможно применение народных методов в качестве паллиативной помощи больному.
  • Как и в традиционной медицине, схемы лечения народными методами зависят от формы, локализации, вида, стадии и распространенности ракового процесса.
В лечении рака легких используют:
  • Растительные отвары и настойки (используются в основном ядовитые растения).
  • Аппликации растительных настоек, лечебных камней.
  • Энергетическую медицину.
  • Специальные диеты и упражнения.
Отвар из мухоморов. Мухоморы (250 мг) с корнями покрошить в емкость, добавить 250 мл водки, настаивать 5 дней. После - процедить. Остаток грибов залить тремя литрами кипятка и оставить в теплом месте на 9 дней. Принимать ежедневно за 30 минут до завтрака по 100 мл.
 
Отвар корней аконита. 20 г корней растения заливают водой (1 л), затем кипятят 2 часа. Пить перед сном по 30 мл ежедневно.
 
Мускусная настойка. 5 г мускуса залить 200 мл водки, настаивать 1 месяц в темноте. Начинают принимать по 5 капель после каждого приема пищи, дозу постепенно увеличивают до 25 капель. После каждого месяца лечения – перерыв 7 дней.
 
Настойка катарантуса розового. В полулитровую емкость засыпать листья и цветки карантуса, залить их 70-процентным спиртом до объема 1 л, настаивать в темном месте 2 недели. Пить по 5 капель 3 раза перед едой. Дозу в течение месяца увеличить до 20 капель. Через месяц – перерыв на 7 дней, затем начать заново. Такое лечение длится 8 месяцев.
 
Отвар цетрарии. 2 чайные ложки толченого цетрария залить 250 мл охлажденной воды на 12 часов. После поставить на водяную баню, выпарить до 2/3 объема. Принимать по 1-2 столовых ложки 3 раза в сутки. Через каждые 3 недели – перерыв 7 дней.
 
Настойка листьев лавровишни. 250 г свежих листьев залить 1 л водки, настаивать в темноте в течение 2-3 недель. Принимать по 10 капель 2 раза в сутки через 1 час после еды, дозу постепенно увеличить до 20-25 капель на прием, затем до 7 и 10 мл. Пить месяц, затем 2 недели перерыв, данную схему повторять.
 
Также при лечении рака легких используют различные отвары и настойки из шафрана, заманихи, шалфея, полыни, корней фиалок, скрипун-травы и многих других растений.

Профилактика рака легких

Основой профилактики рака легких и любого другого онкологического заболевания являются:
  1. Здоровый образ жизни
    • Отказ от курения сигарет.
    • Защита от пассивного курения.
    • Отказ или умеренное употребление алкоголя.
    • Отказ от употребления наркотиков.
    • Подвижный образ жизни.
    • Здоровое питание.
    • Борьба с лишним весом тела.
    • Отказ от приема любых лекарственных препаратов без необходимости и назначения врачей.
    • Профилактика инфекционных болезней, особенно передающихся через кровь и половым путем.
    • Адекватная антибиотикотерапия при инфекционных заболеваниях легких и бронхов.
    • Дозирование воздействия солнечных лучей.
    • Планирование беременности – здоровый образ жизни в период зачатия и вынашивания ребенка значительно снизит риск онкологических заболеваний.
  2. Борьба общества с загрязнением окружающей среды.
     
  3. Индивидуальная защита органов дыхания на вредных производствах.
     
  4. Уменьшение контакта с радиацией: улучшение вентиляции в доме, проверка уровня радона строительных материалов, используемых в доме, избегание не показанных рентгенологических методов диагностики.
     
  5. Своевременное и регулярное медицинское обследование.
Масленникова Анна Викторовна
Автор:
Специальность: Врач детский фтизиатр І категории

Опубликовано: 23.4.2014

Дополнено: 13.12.2023

Просмотров: 152270

Поделиться
Онкомаркеры – следы опухолей в организме. Когда нужно сдавать анализ?
63712
0
Онкомаркеры – следы опухолей в организме. Когда нужно сдавать анализ?
Время ужина и отхода ко сну влияет на риск развития онкологических заболеваний
4899
1
Время ужина и отхода ко сну влияет на риск развития онкологических заболеваний
Онколог. Чем занимается данный специалист, какие исследования производит, какие патологии лечит?
76741
0
Онколог. Чем занимается данный специалист, какие исследования производит, какие патологии лечит?
Пульмонолог. Чем занимается данный специалист, какие исследования производит, какие патологии лечит?
65913
0
Пульмонолог. Чем занимается данный специалист, какие исследования производит, какие патологии лечит?
Эмфизема легкого. Причины, симптомы, признаки, диагностика и лечение патологии.
215964
1
Эмфизема легкого. Причины, симптомы, признаки, диагностика и лечение патологии.
Рак  гортани. Причины, симптомы, диагностика и лечение заболевания
151815
0
Рак гортани. Причины, симптомы, диагностика и лечение заболевания
Рак кожи. Причины, симптомы и признаки, диагностика и лечение рака
353173
1
Рак кожи. Причины, симптомы и признаки, диагностика и лечение рака
Рак груди. Причины, симптомы, диагностика и лечение заболевания
230915
0
Рак груди. Причины, симптомы, диагностика и лечение заболевания
Рак тела матки. Симптомы и признаки, причины, стадия, профилактика болезни
196925
2
Рак тела матки. Симптомы и признаки, причины, стадия, профилактика болезни
Рак простаты. Причины, симптомы, стадии, лечение заболевания. Операция при раке простаты.
481842
4
Рак простаты. Причины, симптомы, стадии, лечение заболевания. Операция при раке простаты.
Рак щитовидной железы. Симптомы, признаки, причины, диагностика и лечение заболевания.
644657
4
Рак щитовидной железы. Симптомы, признаки, причины, диагностика и лечение заболевания.
Рак печени. Симптомы, признаки, диагностика и лечение болезни.
252672
1
Рак печени. Симптомы, признаки, диагностика и лечение болезни.
Рак прямой кишки. Симптомы и признаки, стадии, диагностика, лечение и прогноз, профилактика
362269
4
Рак прямой кишки. Симптомы и признаки, стадии, диагностика, лечение и прогноз, профилактика
Рак пищевода. Симптомы и признаки, стадии, лечение и прогноз при заболевании.
417995
1
Рак пищевода. Симптомы и признаки, стадии, лечение и прогноз при заболевании.
Рак шейки матки. Симптомы и признаки, причины, стадии, профилактика болезни.
340984
3
Рак шейки матки. Симптомы и признаки, причины, стадии, профилактика болезни.
Рак поджелудочной железы. Симптомы и признаки, причины, диагностика, лечение. Стадии и виды рака поджелудочной железы.  Операция, химиотерапия
356367
6
Рак поджелудочной железы. Симптомы и признаки, причины, диагностика, лечение. Стадии и виды рака поджелудочной железы. Операция, химиотерапия
Бронхография -  суть метода исследования. Подготовка к бронхографии. Показания, противопоказания и расшифровка результатов. Бронхография у детей и беременных
98350
1
Бронхография - суть метода исследования. Подготовка к бронхографии. Показания, противопоказания и расшифровка результатов. Бронхография у детей и беременных
Опасность рентгена при беременности - рентген легких, зуба, носа на раннем и позднем сроке беременности
272409
8
Опасность рентгена при беременности - рентген легких, зуба, носа на раннем и позднем сроке беременности
Рак желудка - симптомы, причины, современная диагностика, лечение
222413
1
Рак желудка - симптомы, причины, современная диагностика, лечение
Отек легкого - симптомы, механизм развития, причины, диагностика, лечение болезни
600289
2
Отек легкого - симптомы, механизм развития, причины, диагностика, лечение болезни
Рак толстой кишки - причины, симптомы, современная диагностика и эффективное лечение
335193
1
Рак толстой кишки - причины, симптомы, современная диагностика и эффективное лечение

Комментировать или поделиться опытом:


Архивы:

Регистрация временно закрыта

Вход в профиль

Войдите при помощи профиля в социальной сети или ранее зарегистрированного профиля на сайте

Ваша эл. почта
Проверочный код
Вернуться к логину
Ваша эл. почта
Пароль
Я забыл пароль
Закрыть