Боль в копчике. Причины, симптомы, виды, лечение и реабилитация

Содержание статьи:


Сайт предоставляет справочную информацию. Адекватная диагностика и лечение болезни возможны под наблюдением добросовестного врача. У любых препаратов есть противопоказания. Необходима консультация специалиста, а также подробное изучение инструкции!

Такой симптом как боль в копчике встречается довольно часто. Связано это с тем, что существует масса причин, которые могут спровоцировать данное клиническое проявление. Самыми частыми причинами возникновения болей в копчике являются различные виды травм (например, переломы, ушибы). Как правило, боли в копчике увеличиваются при сдавливании копчика, после принятия сидячего положения, а также при движениях больного. Помимо болезненных ощущений больной также может ощущать дискомфорт, жжение и чувство тяжести в области копчика.

 
Опасностью данной патологии является то, что при нарушениях копчикового отдела позвоночника нередко страдают соседние органы и системы. При болевом синдроме у человека ограничивается физическая активность, затрудняется акт мочеиспускания и дефекации, а также наблюдаются проблемы со сном. Помимо этого, слабое кровоснабжение в области копчика создает благоприятную среду для распространения инфекции. Длительность инфекционного процесса приводит к образованию свищей, которые могут соединяться с соседними органами (например, с мошонкой, передней брюшной стенкой, половыми органами и другими) и с окружающей средой.
 
Интересные факты
  • В медицинской терминологии существует синдром кокцигодиния, где «кокцикс» с греческого языка переводится как копчик, а слово «одине» означает боль. Основным симптомом данного синдрома является постоянная или схваткообразная боль, возникающая в области копчика.
  • Чаще всего боли в копчике встречается у людей преклонного возраста (55 – 75 лет).
  • Из-за анатомической особенности строения малого таза у женщин боли в копчике возникают в несколько раз чаще, чем у мужчин.

Анатомия копчика и копчико-крестцового сустава

Анатомическое положение копчика имеет форму перевернутого треугольника. Копчик является конечной частью позвоночного столба и представляет собой кость, которая состоит из трех – пяти сросшихся между собой позвонков. Лишь в первом позвонке копчика различают суставные поверхности, в остальных образующих копчик позвонках различают только тело.
 
Копчиковая кость соединена с крестцом (предпоследняя позвоночная кость) посредством крестцово-копчикового сустава, в состав которого входят хрящевая прослойка, связки и остатки суставной капсулы. От первого копчикового позвонка выступают поперечные отростки и так называемые копчиковые рога, которые посредством суставной поверхности также соединяются с крестцом. Благодаря крестцово-копчиковому соединению копчик имеет возможность отклониться во время родов, способствуя тем самым физиологическому процессу деторождения.
 
Вокруг копчика расположено большое количество нервных волокон, что может обуславливать боли в отдаленном периоде (спустя время), особенно при неправильном сращении костных фрагментов.
           
Через копчиковые отверстия проходят конечные спинномозговые нервы, которые иннервируют такие зоны человеческого тела как:
  • внутренние половые органы (например, матка с придатками);
  • наружные половые органы (например, мошонка, половые губы);
  • органы малого таза (например, мочевой пузырь, прямая кишка).
Нередко причинами возникновения болей в области копчика являются травмы или воспаление связок копчика.
 
В синхондрозе (хрящевое соединение костей) копчика участвуют следующие связки:
  • латеральная крестцово-копчиковая связка;
  • вентральная крестцово-копчиковая связка;
  • поверхностная дорсальная крестцово-копчиковая связка;
  • глубокая дорсальная крестцово-копчиковая связка;
  • крестцово-остистая связка.
Растяжением связок называют такой патологический процесс, при котором происходит надрыв волокон связки. Чаще всего это наблюдается вследствие чрезмерного ее натяжения. Как правило, растяжение копчиковых связок возникает по причине падения на копчик, при резких движениях в суставе, а также вследствие тяжелых родов. В последнем случае во время прохождения через таз головка ребенка оказывает давление на копчик, из-за чего травмируются связки крестцово-копчикового соединения.
 
Что касается воспалительного процесса в копчиковых связках, то его возникновение может быть из-за травм, а также вследствие проникновения инфекции. Развитие воспалительного процесса в связках наступает достаточно быстро, и основными клиническими проявлениями в этом случае будут отечность, гиперемия (покраснение) и местное повышение температуры.
 
Предрасполагающими факторами развития воспалительного процесса являются:
  • ослабленный иммунитет;
  • сидячий образ жизни;
  • наличие хронических заболеваний.
Еще одной причиной возникновения болей в копчике может быть дисфункция мышечной системы.
 
Существуют следующие мышцы, которые крепятся к копчику:
  • Мышца, поднимающая задний проход. Данная мышца парная. Имеет треугольную форму. В ее состав входят лобково-копчиковая и подвздошно-копчиковая мышцы. Участвует в образовании воронкообразной мышечной пластинки заднего прохода.
  • Лобково-копчиковая мышца. Простилается от лобковой кости до копчика. Основная ее функция – сжиматель. Данная мышца суживает у женщин влагалище, а также участвует в сужении дистального отдела прямой кишки. Входит в состав мышцы, поднимающей задний проход.
  • Подвздошно-копчиковая мышца. Берет начало от сухожильной дуги. Участвует в образовании сухожилия, расположенного между верхушкой копчика и прямой кишкой. Основной ее функцией является поднятие тазового дна.
  • Прямокишечно-копчиковая мышца. Простилается от передней поверхности второго и третьего копчиковых позвонков до продольного мышечного слоя прямой кишки. Основная ее функция – фиксация прямой кишки.
  • Копчиковая мышца. Данная мышца берет начало от седалищной ости и прикрепляется к боковым краям нижних позвонков. Своим передним краем крепится к мышце, поднимающей задний проход.
  • Наружный сфинктер (сжиматель) заднего прохода. Представляет собой кольцевую структуру окружающую заднепроходной канал. К копчику прикреплена ее поверхностная часть. Данный мышечный комплекс сжимает с боков задний проход, благодаря чему анус приобретает форму продольной щели.
Связки и мышцы, прикрепленные к передним отделам копчика, участвуют в функционировании органов кишечника, а также органов мочеполовой системы. Различные патологические процессы со стороны вышеперечисленных органов и систем также могут повлиять на работу мышц и вызвать боли в копчике.

Причины болей в копчике

Выделяют следующие причины развития болей в копчике:
  • травма копчика;
  • киста копчика;
  • остеохондроз;
  • тяжелые роды;
  • заболевания неврологического характера;
  • заболевания прямой и сигмовидной кишки;
  • воспалительные заболевания органов малого таза;
  • опухоли костей таза;
  • беременность;
  • рубцовые образования. 
Причины Механизм появления
Травма копчика Падение или удар в область копчика могут привести к ушибу, вывиху, а также его перелому.
Киста копчика Эпителиальный копчиковый ход формируется в процессе внутриутробного развития плода. Данный ход заканчивается слепо и не связан с копчиком. Травмы, а также нарушение гигиены может спровоцировать попадание в копчиковый ход патогенных микроорганизмов, что приведет к развитию воспалительного процесса и образованию гнойника.
Остеохондроз Это дегенеративное заболевание межпозвонковых дисков. При поражении пояснично-крестцового отдела позвоночника в области копчика могут наблюдаться боли, а также онемение.
Тяжелые роды Благодаря своему анатомо-физиологическому строению копчик во время родов отодвигается назад, что предотвращает его травмирование. Однако при тяжелых родах (например, крупный плод) чрезмерное отклонение копчика может привести к его деформации и впоследствии к развитию копчиковых болей.
Заболевания неврологического характера При ущемлении нервов, выходящих из копчика, могут наблюдаться боли в самом копчике, а также в тех органах, которые они иннервируют (наружные и внутренние половые органы, а также органы малого таза).
Заболевания прямой и сигмовидной кишки Причиной развития болей в копчиковой области, а также в области заднего прохода могут стать заболевания прямой и сигмовидной кишки (например, геморрой, проктит, трещины заднего прохода, а также рак прямой кишки). Данные патологические нарушения приводят к изменениям стула (запор или диарея), что также может способствовать возникновению болевого синдрома.
Воспалительные заболевания органов малого таза Данные заболевания (уретрит, сальпингит, эндометрит, оофорит и др.) могут приводить к развитию тянущих болей внизу живота, а также в копчиковой области.
Опухоли костей таза Подобные опухоли могут образовываться из костной (остеосаркома) или хрящевой ткани (хондросаркома). Вследствие появления злокачественных образований в пояснично-крестцовой или крестцово-копчиковой области у больного могут наблюдаться боли в копчике.
Беременность Боли в копчике во время беременности могут возникать по причине физиологических изменений, происходящих в организме женщины в данный период. Основной причиной, которая способствует развитию подобного рода боли, может являться матка, которая увеличиваясь приводит к натяжению связок тазовых костей. Также боли в копчиковой области могут быть вызваны тем, что в данный период происходит расширение костей таза, что является естественным процессом для дальнейшего родоразрешения.
Рубцовые образования Хирургические вмешательства на органах малого таза, а также в аноректальной области могут привести к развитию рубцовых образований или спаек, что повлечет за собой возникновение болей в копчиковой области.


Подпишитесь на Здоровьесберегающий видеоканал

При каких травмах или патологиях появляются боли в копчике?

Боли в копчике могут встречаться при следующих травмах и патологиях:
  • ушиб копчика;
  • вывих копчика;
  • перелом копчика;
  • грыжа копчика;
  • киста копчика;
  • остеохондроз;
  • опухоли костей таза;
  • опущение промежности;
  • воспаление седалищного нерва (ишиас);
  • спондилит. 
Травма или патология Механизм повреждения Описание и симптомы
Ушиб копчика
Происходит закрытое повреждение тканей, которое сопровождается кровоподтеком, отеком и нарушением функций пораженного участка. Наиболее часто встречается у детей вследствие падения, а также у людей, занимающихся активным видом спорта (велоспорт, сноуборд, конный спорт и другие). Основным симптомом ушиба является боль, интенсивность которой будет зависеть от причины, а также от силы удара. При попытке сесть или лечь пострадавший может испытывать чувство дискомфорта или боль. Также следует заметить, что в области копчика при ушибе может образоваться отек и синяк.
Вывих копчика
Происходит смещение суставных поверхностей относительно друг друга. Может произойти вследствие сильного удара или падения (например, неправильное приземление при прыжке с парашютом). У пострадавшего наблюдается резкая боль, отек тканей, затрудняется акт дефекации, а также наблюдаются болезненные ощущения при попытке сесть или лечь.
Перелом копчика
Происходит нарушение целостности кости. Основной причиной перелома копчиковых костей является травма (падение, удар). У пострадавшего наблюдаются следующие признаки:
  • боль и отек;
  • покраснение или цианотичный (синюшный) оттенок;
  • нарушение функции (невозможность сесть или лечь);
  • при пальпации наблюдается крепитация (хруст) костных отломков.
Грыжа копчика
В позвоночнике между позвонками имеется диск, который содержит желеобразную жидкость, одной из главных задач которой является амортизация позвонков при движении. Однако чрезмерная нагрузка (роды, травмы) может вызвать надрыв оболочки диска, что приведет к выделению желеобразного содержимого в спинномозговой канал, вследствие чего образуется выпячивание, то есть грыжа. Может протекать бессимптомно в течение длительного времени. При прогрессировании патологического процесса грыжа начинает раздражать нервный корешок, выходящий на данном уровне через межпозвонковое отверстие, вызывая у человека чувство боли и онемения в копчиковой области, а также в области промежности. Также у больного вследствие наличия воспалительного процесса, раздражающего прямую кишку и мочевой пузырь, могут наблюдаться нарушения акта дефекации и мочеиспускания.
Киста копчика
Эпителиальный копчиковый ход - это дефект развития кожи, обусловленный неполной редукцией бывших мышц хвоста, которые закладываются в процессе внутриутробного развития плода. Ход представляет собой тонкую эпителиальную трубку не связанную с копчиком и крестцом, располагающуюся по линии межъягодичной складки. Продукты деятельности эпителия, выстилающего ход, периодически выделяются через точечные отверстия на коже. Изначально копчиковая киста клинически себя никак не проявляет. Однако вследствие получения травм и нарушения личной гигиены может произойти закупорка отверстий, из-за чего в области кисты образуется воспалительный процесс. В этом случае разрушаются стенки хода, и в процесс вовлекается подкожно-жировая клетчатка (образуется гнойник). У больного могут наблюдаться следующие симптомы:
  • гиперемия (покраснение) и отек копчиковой области;
  • болезненные ощущения в области копчика, особенно при попытке сесть;
  • повышение местной и общей температуры;
  • через отверстие в межъягодичной складке может наблюдаться выделение гноя (самостоятельное вскрытие гнойника);
  • при самостоятельном вскрытии образовавшегося гнойника появляется вторичное отверстие кисты копчика.
Данным заболеванием страдают чаще всего мужчины.
Остеохондроз
За счет межпозвонковых дисков, расположенных между позвонками, выполняется функция амортизации при ходьбе, а также при различных движениях тела. В течение жизни за счет потери влаги хрящевые структуры постепенно изнашиваются, становятся более хрупкими, вследствие чего могут образовываться микронадрывы. Истончение межпозвоночного диска ведет к уменьшению величины межпозвоночного отверстия, через которое выходит спинномозговой нерв. Вследствие этого происходит раздражение нерва собственно позвонками или образовавшейся грыжей. Характеризуется дегенеративными изменениями в суставных хрящах. В большинстве случаев данные изменения наблюдаются в межпозвонковых дисках.
 
У больного могут наблюдаться следующие симптомы:
  • боли в копчиковой области;
  • боли в органах малого таза, а также нижних конечностях;
  • чувство дискомфорта или боли в положении сидя или лежа;
  • нарушение походки;
  • нарушение сна.
Опухоли костей таза
Среди подобных опухолей встречаются остеосаркома (рост злокачественных клеток из костной ткани) и хондросаркома (рост злокачественных клеток из хрящевой ткани). Опасность остеосаркомы состоит в том, что опухоль изъедает кость, приводя впоследствии к ее патологическим переломам. При хондросаркоме, в свою очередь, происходит поражение участков кости, где имеется хрящевая ткань. Данные опухоли в большинстве случаев приводят к поражению костей таза, верхних и нижних конечностей. В большей степени встречается у детей и подростков в возрасте от десяти до двадцати лет. Хондросаркома наблюдается преимущественно у мужчин в возрасте от двадцати до семидесяти лет.
 
У больного могут наблюдаться следующие симптомы:
  • боли в бедре, крестце, а также копчиковой области;
  • припухлость и покраснение пораженного участка;
  • нарушение походки (появляется хромота);
  • нарушение сна;
  • незначительное повышение температуры тела (в случае, когда опухоль дает интоксикацию).
Опущение промежности
Синдром опущения промежности связан со слабостью мышц промежности, вследствие чего происходит снижение способности удерживать органы малого таза.
 
Данный синдром ведет к развитию следующих патологических изменений:
  • опущение стенок влагалища, а затем матки;
  • опущение стенок мочевого пузыря, а также прямой кишки.
Основной причиной развития данного синдрома является разрыв промежности вследствие травмы, особенно часто встречается во время родов. Также спровоцировать его могут упорные запоры у женщин в пожилом возрасте, в случае если разрыв промежности в прошлом был зашит недостаточно тщательно.
 
У женщины могут наблюдаться следующие симптомы:
  • недержание мочи, газов, фекалий;
  • дискомфортные ощущения во время полового акта;
  • боль в области промежности, копчика, а также во время акта дефекации.
Воспаление седалищного нерва (ишиас)
На протяжении всего позвоночного столба из межпозвоночных отверстий выходят нервные волокна, которые соединяясь в пояснично-крестцовом отделе в общий ствол образуют седалищный нерв. Данный нерв является самым длинным в человеческом организме. Начинаясь на уровне четвертого – пятого поясничных позвонков, седалищный нерв проходит возле копчика, после чего спускается вниз по задней поверхности нижних конечностей. Вследствие определенных причин (например, травма, чрезмерная физическая нагрузка, сидячий образ жизни, в месте выхода нерва может произойти его защемление и воспаление, в результате чего по всей длине нерва больной будет ощущать боль. Могут наблюдаться следующие симптомы:
  • боль в области конечности;
  • боли в области копчика;
  • появление резких болей при кашле, чихании, а также физической нагрузке;
  • нарушение сна вследствие ночных болей;
  • изменение походки;
  • дискомфорт или болезненные ощущения в положении сидя или лежа.
Спондилит
Бактерии, попав в человеческий организм, с током крови могут проникнуть в тела позвонков и спровоцировать там развитие гнилостного процесса. Данные патологические изменения могут привести к полному отмиранию костной ткани (некроз). Это воспалительное заболевание позвоночника, при котором наблюдается поражение тел позвонков, что приводит в итоге к их деформации. Выделяют специфический (например, туберкулезный, сифилитический, гонорейный) и неспецифический (поражение гноеродной флорой, например, стрептококк, стафилококк и другие) спондилит. Как правило, в начальных стадиях заболевания у больного наблюдается слабая симптоматика. Впоследствии начинают прогрессировать сильные боли в местах поражения, наблюдается нарушение осанки, скованность движений. Также у больного повышается температура тела, появляется слабость, раздражительность и нарушение сна.

Диагностика причин болей в копчике

Метод диагностики Выполнение процедуры Результаты исследования
Визуальный осмотр и пальпация Для проведения процедуры больному необходимо лечь на живот и раздвинуть ноги на ширину плеч. Руки следует расположить вдоль туловища. Затем под живот больному подкладывают специальный валик, чтобы приподнять его таз. При поднятии таза раздвигаются ягодицы, а также расслабляются ягодичные мышцы. Такое положение позволяет тщательно осмотреть и пропальпировать копчиковую кость.
Пальпация осуществляется в пространстве между седалищными костями и копчиком. Сначала пальпируется верхушка крестца, а затем и сам копчик. В норме при пальпации боль в копчике должна отсутствовать.
Позволяет определить локализацию болей, а также выявить некоторые причины и заболевания, из-за которых образовались боли в копчике.
 
Могут быть выявлены следующие патологии:
  • анальные трещины;
  • парапроктит;
  • геморрой;
  • эндометриоз;
  • грыжа диска пояснично-крестцового отдела;
  • остеохондроз и другие;
  • наружные свищи;
  • разрастание опухолевидной ткани.
Исследование анального канала и прямой кишки Во время проведения исследования больной, как правило, принимает коленно-локтевое положение (поза, при которой делается упор на локти и колени). После чего врач вводит в анальное отверстие указательный палец (предварительно смазав его вазелином) и просит больного немного «потужиться». Затем больному необходимо максимально расслабиться. Во время обследования прямой кишки, врач пытается обнаружить возможные патологические изменения в анальном канале. Также он анализирует болевые ощущения в крестцово-копчиковой области. Позволяет выявить некоторые причины и заболевания, которые спровоцировали появление болей в копчике.
 
Позволяет обнаружить следующие патологии:
  • анальные трещины;
  • геморрой;
  • парапроктит (воспаление параректальной клетчатки);
  • пояснично-крестцовый радикулит;
  • мышечный спазм;
  • изменения стенки прямой кишки;
  • недостаточное смыкание краев заднего прохода.
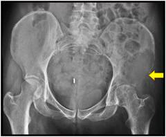
Рентгенография Рентгенологическое исследование копчика осуществляется в двух проекциях – передней и боковой. Для снимка передней проекции копчика больного следует уложить на спину и попросить вытянуть ноги. Для того чтобы сделать рентгенограмму боковой части копчика больному необходимо лечь набок и согнуть ноги в коленных и тазобедренных суставах.
 
Примечание. За три дня до проведения рентгена больному следует воздержаться от приема той пищи, которая способствует увеличению газообразования (например, продукты молочного происхождения, капуста, бобовые).
Позволяет диагностировать следующие патологические изменения в области копчика:
  • переломы;
  • вывихи и подвывихи;
  • аномальные наросты;
  • трещины;
  • межпозвоночные грыжи;
  • ущемления спинного мозга;
  • гнойники и абсцессы;
  • ишиас (защемление седалищного нерва).
КТ (компьютерная томография) Это современный и информативный метод диагностики, с помощью которого получают послойное изображение внутренней структуры человеческого тела. Сам томограф представляет собой круглый рентгеновский аппарат, который во время процедуры вращается и делает снимки под различными углами.
Непосредственно перед процедурой больному следует снять с себя всю одежду, а также все имеющиеся украшения. Во время процедуры пациенту необходимо лечь на специальный стол и расслабиться. Затем стол вместе с больным медленно движется в центр отверстия томографа, который вращаясь делает серию снимков. Полученные изображения впоследствии обрабатываются компьютером. В среднем диагностика компьютерной томографии длиться тридцать минут.
В отличие от рентгенографии данный метод исследования различает костную ткань, мышцы, а также все существующие сухожилия и хрящи позвоночника.

Можно обнаружить различные патологии, ставшие причинами возникновения болей в копчике, например:
  • ушибы, переломы и трещины позвонков;
  • различную деформацию и аномальное формирование копчика;
  • расширения и сужения каналов спинного мозга;
  • абсцессы и гнойники;
  • межпозвоночные грыжи;
  • онкологические новообразования;
  • разрывы связок и мышц копчика;
  • ущемление спинномозговых нервов и другие.

Лечение при болях в копчике

Для эффективного лечения копчиковых болей первостепенно необходимо определить причину их возникновения. Как правило, боли в области копчика носят вторичный характер, поэтому, выявив причину, следует начать с лечения первичного заболевания.
 
Лечение болей в копчике включает в себя:
  • медикаментозное лечение;
  • блокаду при болях в копчике;
  • физиотерапию;
  • массаж;
  • иглоукалывание;
  • строгий постельный режим;
  • хирургическое лечение.

Медикаментозное лечение

Нестероидные противовоспалительные средства
При болях в копчике эффективно помогают нестероидные противовоспалительные средства, с помощью которых удается снизить не только боль и температуру, но и устранить воспаление.
 
Нестероидные противовоспалительные средства показаны в следующих случаях:
  • заболевания суставов и позвоночника воспалительного характера (ревматоидный артрит, ишиас, остеоартроз и другие);
  • боль различной этиологии (послеоперационные и посттравматические боли, невралгия, головная боль, миалгия и другие);
  • лихорадка (повышенная температура тела) при различных инфекционных заболеваниях. 
Наименование препарата Способ применения
Ибупрофен
  • Принимать внутрь по 400 мг три – четыре раза в сутки в течение пяти дней (максимальная суточная доза 1200 – 2400 мг).
  • В виде геля следует наносить на пораженный участок два – четыре раза в сутки в течение двух – трех недель.
Аспирин
  • Принимать внутрь по 100 мг (один грамм) три раза в сутки, в течение пяти – семи дней (максимальная суточная доза три грамма).
Диклофенак
  • В виде уколов внутримышечно по 75 мг один – два раза в сутки в течение одного – пяти дней, после чего следует перейти на прием таблеток.
  • В виде таблеток внутрь по 25 – 50 мг два – три раза в сутки (максимальная суточная доза 75 – 150 мг) в течение пяти – семи дней.
  • В виде мази следует наносить на пораженный участок два – четыре раза в сутки.
Кетопрофен
  • В виде таблеток принимать внутрь по 100 мг три раза в сутки (максимальная суточная доза 300 мг) в течение четырех – шести дней.
  • В виде уколов внутримышечно по 100 мг (одна ампула) один раз в сутки в течение одного – двух дней, после чего следует перейти на прием таблеток.
  • В виде геля следует наносить наружно два раза в сутки.
Пироксикам
  • В виде таблеток внутрь по 20 – 40 мг один – два раза в день в течение четырех – шести суток (максимальная суточная доза 40 мг).
  • В виде геля следует наносить на пораженный участок три – четыре раза в сутки.
  • В виде инъекций внутримышечно при умеренной боли 20 мг, при сильной боли 40 мг в течение двух дней, после чего следует перейти на прием таблеток.
 
Миорелаксанты
Миорелаксанты - это группа препаратов, действие которых направлено на расслабление спазмированной мускулатуры. Благодаря снятию мышечного напряжения у больного значительно снижаются болевые ощущения и ускоряется процесс выздоровления.
 
Наименование препарата Способ применения
Мидокалм В виде таблеток препарат применяется по 50 мг три раза в сутки, в случае необходимости дозу можно увеличить до 150 мг два – три раза в сутки (максимальная суточная доза 450 мг).
Баклофен Впервые дни рекомендуется принимать по 5 мг три раза в день, после чего каждые три дня доза препарата постепенно увеличивается и доводится до 30 – 75 мг в сутки (максимальная суточная доза 100 мг).
Тизанидин Принимать внутрь по 2 – 4 мг три раза в сутки (максимальная суточная доза 36 мг).
 
Примечание. Препарат, дозировку и длительность лечения индивидуально подбирает лечащий врач в зависимости от заболевания, клинических признаков, а также имеющихся показаний и противопоказаний.

Блокада при болях в копчике

Показания Методика проведения Противопоказания
Околокопчиковая блокада производится с целью купирования болевого синдрома. Также данная процедура оказывает спазмолитическое и противовоспалительное действие. В случае если после процедуры боли возобновляются, блокаду могут ввести повторно. Как правило, блокада копчиковых болей проводится в комплексе с приемом противовоспалительных препаратов, миорелаксантов, а также физиотерапией. Суть применения блокады заключается во введении анестезирующего раствора (новокаин, лидокаин) в наиболее болезненную область для снятия мышечного спазма и купирования боли.

Физиотерапия

Физиотерапия в настоящее время применяется достаточно широко с целью улучшения здоровья и ускорения процесса выздоровления. Во время проведения физиопроцедур происходит воздействие на определенную площадь и глубину тканей, что позволяет ликвидировать признаки воспаления, отеков и боли.
 
При проведении физиотерапии на пораженный участок тела могут воздействовать с помощью:
  • тепла;
  • холода;
  • высокочастотного тока;
  • ультразвуковых колебаний;
  • магнитного поля и др. 
Вид процедуры Описание процедуры Механизм действия
Дарсонвализация
Это физиотерапевтический метод, основанный на воздействии на организм высокочастотным током (частота 110 кГц) и напряжением (25 – 20 кВ). Существует несколько видов аппаратов и насадок для проведения данной процедуры. При болях в области копчика используются грибовидный или прямокишечный (ректальная дарсонвализация) электроды. Сила воздействия аппарата устанавливается индивидуально в зависимости от клинических признаков и имеющихся показаний. Процедура длится в течение пятнадцати – двадцати минут. Курс лечения включает в себя проведение двадцати процедур, которые делаются ежедневно или через день. После окончания лечебного сеанса у больного может наблюдаться незначительное покраснение кожи, которое не приносит дискомфорта и проходит в течение дня. Ток, поддаваемый через электрод, воздействуя на область копчика, вызывает спазм, а впоследствии расширение сосудов. Данное воздействие улучшает микроциркуляцию, уменьшает воспаление, а также оказывает бактерицидное действие, угнетая жизнедеятельность бактерий. Также следует заметить, что за счет улучшения кровотока в области воздействия увеличивается поступление кислорода к органам и тканям, что ведет к ускорению процесса выздоровления.
Ультразвуковая терапия
Заключается в воздействии на организм с помощью ультразвуковых колебаний (частота от 800 до 3000 кГц). Данная терапия стимулирует обменные процессы, повышает иммунитет, а также улучшает регенерацию (заживление) тканей. При проведении ультразвуковой терапии длительность процедуры будет зависеть от площади поля воздействия. В большинстве случаев процедура длится примерно пять минут, при воздействии на несколько участков сеанс может длиться в течение десяти минут. Курс лечения включает проведение десяти – двенадцати процедур ежедневно или через день. Ультразвуковые волны проникают в ткани на глубину до семи сантиметров. Данные колебания благоприятно влияют на область воздействия на клеточном уровне, улучшают местное кровообращение и ускоряют процесс заживления и восстановления тканей (например, нервов, хрящевой ткани). Помимо этого ультразвуковые волны при лечении оказывают противовоспалительное и обезболивающее действие, а также повышают местный иммунитет.
Фонофорез
Заключается в том, что с помощью ультразвуковых колебаний в организм вводятся лекарственные препараты. Фонофорез оказывает противовоспалительное действие, стимулирует иммунитет, а также активизирует обменные процессы. Длительность каждой процедуры и лечения в общем зависят от клинической картины и рекомендаций лечащего врача. В среднем курс лечения включает проведение от семи до двенадцати процедур. При проведении процедуры используемый лекарственный препарат, проникая в организм, доходит до самых мелких сосудов, капилляров, что позволяет средству эффективно влиять на клетки пораженных тканей. В результате воздействия ультразвука и лекарственных средств улучшается кровообращение, за счет чего в ткани в большем количестве поступает кислород, что ускоряет процесс выздоровления.
Диадинамотерапия
Заключается в воздействии на организм электрическим током, частота которого составляет 50 – 100 Гц. Интенсивность подаваемого тока во время сеанса подбирается индивидуально. Длительность процедуры в среднем составляет шесть – десять минут, максимальная продолжительность может составить двадцать минут. Курс лечения включает в себя проведение семи – восьми процедур. Диадинамические токи, проникая внутрь кожи, воздействуют на ее рецепторы. Впоследствии токи попадают в центральную нервную систему, откуда перекрывают болевой синдром, исходящий из патологического очага. Блокируя импульсы, идущие из болевого участка в кору головного мозга, диадинамотерапия оказывает обезболивающее действие. Также используемый ток улучшает местное кровообращение, оказывает противовоспалительное и спазмолитическое действие.
УВЧ терапия
Заключается в воздействии на организм человека высокочастотным электрическим полем с частотой колебаний 40,68 МГц (длина волны 7,3 метра). При проведении ультравысокочастотной (УВЧ) терапии в тканях происходит образование тепла, а также запускаются физико-химические процессы, которые приводят к скорейшему выздоровлению больного. Длительность процедуры в среднем составляет от пяти до пятнадцати минут. Курс лечения включает проведение десяти – пятнадцати процедур, которые можно делать ежедневно или через день. Ультравысокочастотная терапия, воздействуя на ткани, улучшает обмен веществ, лимфообращение и кровообращение, ускоряя тем самым регенерацию пораженных тканей. Также данный метод повышает местный иммунитет, оказывает противовоспалительное и анальгезирующее (обезболивающее) действие.
Парафинотерапия
Заключается в применении специально нагретого парафина (52 – 55 градусов) с лечебной целью. Во время проведения процедуры подготовленный парафин накладывается на пораженный участок тела специальной кисточкой. Толщина нанесенного парафина должна составлять один – два сантиметра. Затем на данную область накладывается клеенка и одеяло для сохранения тепла. Длительность процедуры составляет 30 – 60 минут (после сеанса в течение 30-ти минут необходимо отдохнуть). Курс лечения включает проведение от двенадцати до двадцати сеансов ежедневно или через день. Парафиновая аппликация за счет передачи в ткани тепла значительно улучшает местное кровообращение, что ускоряет процесс заживления тканей, снижает мышечный спазм, боль, а также оказывает противовоспалительное действие.

Массаж

При болях в копчике эффективно помогает проведение массажа. Массаж снимает мышечное напряжение, снижает боль, а также улучшает ток крови в область воздействия, что активизирует восстановительные процессы в тканях. Во время проведения лечебной процедуры больному необходимо принять положение лежа на спине на твердой поверхности с целью исключения прогибания в области поясницы. В дополнение к механическому воздействию во время массажа могут быть применены специальные лечебные масла или разогревающие мази для усиления терапевтического эффекта.
 
Несмотря на высокую эффективность массажа при копчиковых болях, перед его проведением необходимо проконсультироваться с лечащим врачом, так как могут иметься определенные противопоказания (например, гнойно-воспалительные процессы, злокачественные образования, повышенная температура тела).
 
При болях в копчике во время массажа могут использоваться следующие приемы:
  • растирание;
  • разминание;
  • поглаживание;
  • надавливание;
  • разглаживание.
Количество процедур и длительность курса массажа подбирается индивидуально в зависимости от диагноза, клинических проявлений, а также от рекомендаций лечащего врача.

Иглоукалывание

Иглоукалывание - это направление в медицине, которое заключается во введении в определенные точки на теле человека специальных игл. Древнекитайская медицина утверждает, что через тело человека проходят двенадцать меридиан, а также на его поверхности находятся 360 активных точек, через которые течет энергия «ци» (жизненная энергия). После воздействия иглами на данные точки на теле снижается болевой синдром, повышается иммунитет, нормализуется сон и психоэмоциональное состояние.

Строгий постельный режим

При травмах копчика в качестве лечения первостепенно показан строгий постельный режим. При ушибе и вывихе он составляет одну неделю. Также при вывихе производят вправление деформации через прямую кишку.
 
При переломе копчика строгий постельный режим составляет от семи до десяти дней, а общий курс лечения длится три – четыре недели с исключением любых физических нагрузок.

Хирургическое лечение

Крайней мерой в лечении травм копчика является оперативное вмешательство, при котором копчик могут удалить. К хирургическому лечению прибегают в случае несращения перелома копчиковых костей и тогда, когда консервативные методы не принесли должных результатов.
 
Оперативное вмешательство является также показанием при лечении кисты копчика. При острой фазе воспаления проводится операция, для того чтобы вскрыть гнойник и дренировать содержимое кисты. В дальнейшем, когда формируется хронический свищ, показана повторная операция, которая направлена на устранение кисты копчика.

Профилактика болей в копчике

  • регулярно заниматься физкультурой с целью укрепления мышц и позвоночника;
  • стараться исключать сильные физические нагрузки;
  • избегать гиподинамии (сидячего образа жизни);
  • избегать переохлаждений;
  • рационально питаться (качественное и количественное соотношение пищи);
  • регулярно принимать витамины и минералы (например, кальций, фосфор, магний);
  • периодически проходить курсы массажа и физиопроцедур;
  • своевременно лечить травмы и заболевания позвоночника воспалительного характера;
  • систематически наблюдаться и обследоваться у таких специалистов как гинеколог, проктолог, невропатолог и остеопат.
Соломенцев Юрий Александрович
Автор:
Специальность: Фельдшер скорой медицинской помощи

Опубликовано: 14.2.2015

Дополнено: 05.5.2025

Просмотров: 363574

Поделиться
Упражнения при боли в пояснице. Комплекс для проработки поясничного отдела позвоночника и мышц спины
10397
0
Упражнения при боли в пояснице. Комплекс для проработки поясничного отдела позвоночника и мышц спины
Тело человека. Как появляется грыжа позвоночника?
2817
0
Тело человека. Как появляется грыжа позвоночника?
Остеопат. Чем занимается данный специалист, какие исследования производит, какие патологии лечит?
55759
0
Остеопат. Чем занимается данный специалист, какие исследования производит, какие патологии лечит?
Болит спина. Диагностика и лечение болей в позвоночнике, в области лопаток, под ребрами, болей в спине справа или слева
41128
0
Болит спина. Диагностика и лечение болей в позвоночнике, в области лопаток, под ребрами, болей в спине справа или слева
Болит спина - анатомия спины, причины возникновения болей
106009
0
Болит спина - анатомия спины, причины возникновения болей
Болит шея. Причины болей в задней части шеи, области позвоночника, затылка, при повороте головы. Что делать при этих болях?
231833
0
Болит шея. Причины болей в задней части шеи, области позвоночника, затылка, при повороте головы. Что делать при этих болях?
Остеофиты. Причины, симптомы, диагностика и лечение патологии
384104
1
Остеофиты. Причины, симптомы, диагностика и лечение патологии
Кифоз (сутулость). Причины, симптомы, диагностика, степени искривления позвоночника.
158156
2
Кифоз (сутулость). Причины, симптомы, диагностика, степени искривления позвоночника.
Грыжа позвоночника. Грыжа межпозвоночного диска всех отделов позвоночника. Симптомы, причины, диагностика и эффективное лечение межпозвоночной грыжи.
319250
5
Грыжа позвоночника. Грыжа межпозвоночного диска всех отделов позвоночника. Симптомы, причины, диагностика и эффективное лечение межпозвоночной грыжи.
Остеопороз - причины, симптомы и признаки, диагностика и лечение
391532
10
Остеопороз - причины, симптомы и признаки, диагностика и лечение
Остеохондроз шейного, грудного, поясничного и крестцового отделов позвоночника. Симптомы, диагностика и лечение: медикаменты, гимнастика, упражнения и массаж
725569
3
Остеохондроз шейного, грудного, поясничного и крестцового отделов позвоночника. Симптомы, диагностика и лечение: медикаменты, гимнастика, упражнения и массаж
Радикулит шейного, грудного, крестцового и поясничного отделов. Симптомы, причины, диагностика и лечение. Как лечить радикулит: гимнастика, упражнения, массаж
125539
2
Радикулит шейного, грудного, крестцового и поясничного отделов. Симптомы, причины, диагностика и лечение. Как лечить радикулит: гимнастика, упражнения, массаж

Комментировать или поделиться опытом:


Архивы:

Регистрация временно закрыта

Вход в профиль

Войдите при помощи профиля в социальной сети или ранее зарегистрированного профиля на сайте

Ваша эл. почта
Проверочный код
Вернуться к логину
Ваша эл. почта
Пароль
Я забыл пароль
Закрыть