Дисплазия тазобедренного сустава – симптомы и признаки патологии. Лечение дисплазии – массаж, гимнастика, упражнения

Содержание статьи:

 

Часто задаваемые вопросы


Сайт предоставляет справочную информацию. Адекватная диагностика и лечение болезни возможны под наблюдением добросовестного врача. У любых препаратов есть противопоказания. Необходима консультация специалиста, а также подробное изучение инструкции!


Дисплазия тазобедренного сустава – это нарушение развития всех компонентов сустава, которое происходит у плода, а затем и во время жизни человека. Дисплазия приводит к нарушению конфигурации сустава, которое становитсяa причиной нарушения соответствия головки бедра и суставной впадины на костях таза - формируется врожденный вывих тазобедренного сустава.

В среднем распространенность патологии составляет 2 – 4%, она отличается в разных странах. Так, в Северной Европе дисплазия тазобедренного сустава встречается у 4% детей,  в Центральной Европе – у 2%. В США – 1%, причем, среди белого населения болезнь распространена больше, чем среди афроамериканцев. В России дисплазией тазобедренного сустава страдает 2 – 4% детей, в экологически неблагоприятных районах – до 12%.

Анатомия тазобедренного сустава

Тазобедренный сустав образован вертлужной впадиной таза и головкой бедренной кости.

Вертлужная впадина имеет вид полукруглой чаши. По ее краю проходит хрящ в виде ободка, который дополняет ее и ограничивает движения в суставе. Таким образом, сустав составляет 2/3 шара. Хрящевой ободок, который дополняет вертлужную падину, покрыт изнутри суставным хрящом. Сама костная впадина заполнена жировой тканью.

Головка бедренной кости также покрыта суставным хрящом. Она имеет шарообразную форму и соединяется с телом кости при помощи шейки бедра, имеющей небольшую толщину.

Суставная капсула прикрепляется по краю вертлужной впадины, а на бедре покрывает головку и шейку.

Внутри сустава находится связка. Она начинается от самой верхушки головки бедра и присоединяется к краю суставной впадины.

Она называется связкой головки бедра и выполняет две функции:

  • амортизация нагрузок на бедренную кость во время ходьбы, бега, прыжков травм;
  • в ней проходят сосуды, которые питают головку бедренной кости.
  •  
За счет того,  что тазобедренный сустав имеет чашеобразную конфигурацию, в нем возможны все типы движений:

  • сгибание и разгибание;
  • приведение и отведение;
  • повороты внутрь и наружу.
В норме эти движения возможны с небольшой амплитудой, так как их ограничивает хрящевой ободок и связка головки бедра. Также вокруг сустава находится большое количество связок и прочных мышц, которые также ограничивают подвижность.

Признаки дисплазии тазобедренного сустава у ребенка


 Факторы риска дисплазии тазобедренного сустава у новорожденных детей:
  • тазовое предлежание плода (плод находится в утробе матери не головкой к выходу из матки, тазом);
  • плод крупных размеров;
  • наличие дисплазии тазобедренного сустава у родителей ребенка;
  • токсикоз беременности у будущей матери, особенно если беременность наступила в очень молодом возрасте.
Если у ребенка присутствует хотя бы один из этих факторов, то его берут под наблюдение и включают в группу риска по данной патологии, даже несмотря на то, что он может быть полностью здоров.
Для выявления дисплазии тазобедренного сустава ребенок должен быть осмотрен ортопедом. Явки к этому специалисту в поликлинику на первом году жизни ребенка являются обязательными в определенные сроки.
В кабинете, где будет проводиться осмотр, должно быть тепло. Ребенка полностью раздевают и укладывают на столик.

Видео с краткой информацией о дисплазии сустава

Основные симптомы дисплазии тазобедренного сустава, которые выявляются при осмотре:

  • Нарушение расположения и глубины складок на коже. Врач осматривает складки, которые находятся под правой и левой ягодицами, в подколенных впадинах, паховые складки. В норме они одинаковые справа и слева, находятся на одном уровне. Если с одной стороны они глубже и расположены не на том уровне, то можно заподозрить дисплазию тазобедренного сустава. Этот признак ненадежен, так как у половины новорожденных складки немного отличаются. Обычно они выравниваются к возрасту 2 – 3 месяца. Если дисплазия имеется с двух сторон, то асимметрия также не будет выявлена.
  •  
  • Укорочение одной ноги по сравнению с другой. Это более достоверный признак, но он встречается только при тяжелой форме дисплазии, когда уже сформировался вывих бедра. Головка бедренной кости смещена кзади, поэтому конечность укорачивается. Для того чтобы проверить этот симптом, врач вытягивает ножки ребенка и сравнивает уровни расположения коленных чашечек.
  •  
  • Симптом «щелчка» (симптом Маркса-Ортолани, симптом соскальзывания). Самый надежный и достоверный способ выявления дисплазии тазобедренного сустава. Ребенка укладывают на спину. Врач берет в руки его ножки так, чтобы захватить их большими пальцами изнутри, а всеми остальными – снаружи. Затем он пытается развести их в стороны. В норме, если конфигурация суставов не нарушена, бедра ребенка можно практически уложить на поверхность стола,  то есть развести на 80 - 90°. При дисплазии на стороне бедро на стороне поражения отводится только до определенного момента, после чего рука врача ощущает своеобразный щелчок, соответствующий вправлению головки бедра. Если после этого отпустить ножку, то она снова станет возвращаться в исходное положение, и в определенный момент времени совершит резкое движение – снова произойдет вывих. Симптом «щелчка» информативен только до возраста ребенка 2 – 3 недели.
  •  
  • Ограничение отведения бедра. Симптом, который выявляется у детей после 2 – 3-недельного возраста. Проверяется так же, как и симптом соскальзывания. На здоровой стороне ногу ребенка можно опустить на стол почти до конца. На стороне поражения этого не удается сделать.
При сохранении дисплазии тазобедренного сустава и врожденного вывиха бедра в старшем возрасте отмечается нарушение походки. Когда ребенок находится в вертикальном положении, заметна асимметрия ягодичных, паховых, подколенных складок.


Подпишитесь на Здоровьесберегающий видеоканал

Виды и степени дисплазии

 
У новорожденного мышцы и связки,  которые окружают тазобедренный сустав, развиты слабо. Головка бедра удерживается на своем месте в основном при помощи связок и хрящевого ободка, расположенного вокруг вертлужной впадины.

Анатомические нарушения, которые имеют место при дисплазии тазобедренного сустава:

  • неправильное развитие вертлужной впадины, она частично утрачивает свою шарообразную форму и становится более плоской, имеет меньшие размеры;
  • недоразвитие хрящевого ободка, который окружает вертлужную впадину;
  • слабость связок тазобедренного сустава.
  • Степени дисплазии тазобедренного сустава
  • Собственно дисплазия. Имеет место неправильное развитие и неполноценность тазобедренного сустава. Но его конфигурация пока еще не изменена. В данном случае выявить патологию при осмотре ребенка сложно, это можно сделать только при помощи дополнительных методов диагностики. Ранее эту степень дисплазии не считали заболеванием, не диагностировали и не назначали лечение. Сегодня такой диагноз существует. Относительно часто происходит гипердиагностика, когда врачи «выявляют» дисплазию у здорового ребенка.
  • Предвывих. Капсула тазобедренного сустава растянута. Головка бедренной кости несколько смещена, но она легко «встает» обратно на место. В дальнейшем предвывих трансформируется в подвывих и вывих.
  • Подвывих бедра. Головка тазобедренного сустава частично смещена относительно суставной впадины. Она отгибает хрящевой ободок вертлужной впадины, смещает его вверх. Связка головки бедра (см. выше) становится напряженной и растянутой
  • Вывих бедра. При этом головка бедренной кости полностью смещается относительно вертлужной впадины. Она находится за пределами впадины, выше и кнаружи. Верхний край хрящевого ободка вертлужной впадины прижат головкой бедра и загнут внутрь сустава. Суставная капсула и связка головки бедра растянуты и напряжены.                     

Виды дисплазии тазобедренного сустава



 
  • Ацетабулярная дисплазия. Патология, которая связана с нарушением развития только вертлужной впадины. Она более плоская, уменьшена в размерах. Хрящевой ободок недоразвит.
  • Дисплазия бедренной кости. В норме шейка бедра сочленяется с его телом под определенным углом. Нарушение этого угла (уменьшение - coxa vara или увеличение - coxa valga) является механизмом развития дисплазии тазобедренного сустава.
  • Ротационная дисплазия. Связана с нарушением конфигурации анатомических образования в горизонтальной плоскости. В норме оси, вокруг которых происходит движение всех суставов нижней конечности, не совпадают. Если несовпадение осей выходит за пределы нормальной величины, то расположение головки бедренной кости по отношению к вертлужной впадине нарушается.


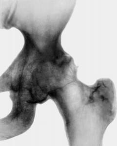
Рентгенологическая диагностика дисплазии тазобедренного сустава

 
 У детей младшего возраста пока еще не произошло окостенение некоторых частей бедренной и тазовой костей. На их месте находятся хрящи, которые не видны на рентгеновских снимках. Поэтому для того, чтобы оценить правильность конфигурации анатомических структур тазобедренного сустава, применяются специальные схемы. Делают снимки в прямой проекции (анфас), на которых проводят условные вспомогательные линии.

Дополнительные линии, которые помогают в диагностике дисплазии тазобедренного сустава по рентгенограммам:
  • срединная линия – вертикальная линия, которая проходит через середину крестца;
  • линия Хильгенрейнера – горизонтальная линия, которая проводится через самые нижние точки подвздошных костей;
  • линия Перкина – вертикальная линия, которая проходит через верхненаружный край вертлужной впадины справа и слева;
  • линия Шентона – это линия, которая мысленно продолжает край запирательного отверстия тазовой кости и шейки бедренной кости.
Важный показатель состояния тазобедренного сустава у детей младшего возраста, который определяют на рентгенограммах – ацетабулярный угол. Это угол, образованный линией Хильгенрейнера и касательной линией, проведенной через край вертлужной впадины.

Нормальные показатели ацетабулярного угла у детей разных возрастов:
 
  • у новорожденных – 25 - 29°;
  • 1 год жизни – 18,5°(у мальчиков) - 20°(у девочек);
  • 5 лет - 15° у обоих полов.
 
Величина h.

Величина h – это еще один важный показатель, который характеризует вертикальное смещение головки бедра по отношению к тазовым костям. Он равен расстоянию от линии Хильгенрейнера до середины головки бедра. В норме у детей младшего возраста величина h составляет 9 – 12 мм. На наличие дисплазии указывает увеличение или асимметрия.

Величина d.

Это показатель, который характеризует смещение головки бедренной кости кнаружи от суставной впадины. Он равен расстоянию от дна суставной впадины до вертикальной линии h.

Ультразвуковая диагностика дисплазии тазобедренного сустава

 
Ультрасонография (ультразвуковая диагностика) дисплазии тазобедренного сустава является методом выбора у детей в возрасте до 1 года.

Главное преимущество УЗИ как диагностического метода состоит в том, что оно является достаточно точным, не причиняет вреда для организма ребенка и практически не имеет противопоказаний.

Показания к проведению ультрасонографии у детей младшего возраста:
  • наличие у ребенка факторов, которые позволяют отнести его к группе риска по дисплазии тазобедренного сустава;
  • выявление признаков, характерных для заболевания, во время осмотра ребенка врачом.
Во время проведения ультразвуковой диагностики можно сделать снимок в виде среза, который напоминает рентгенографию в переднезадней проекции.

Показатели, которые оцениваются во время УЗИ-диагностики дисплазии тазобедренного сустава:
  • альфа-угол – показатель, который помогает оценить степень развитости и угол наклона костной части вертлужной впадины;
  • бета-угол – показатель, который помогает оценить степень развитости и угол наклона хрящевой части вертлужной впадины.

Для детей младшего возраста предпочтительным видом исследования при подозрении на дисплазию тазобедренного сустава и врожденный вывих бедра является именно ультразвуковая диагностика за счет своей высокой информативности и безопасности. Несмотря на это, в большинстве случаев в поликлиниках применяется рентгенография, так как она является более простым  и быстрым методом диагностики.

Типы тазобедренных суставов, которые выделяют в зависимости от картины, полученной во время проведения ультразвукового исследования:

 
Тип сустава

 
 
Норма
 
Дисплазия тазобедренного сустава

 
 
Подвывих
 
Вывих
 
Классификация внутри типа
 
 
A
 
B
 
A
 
B
 
C
 
A
 
B
 
 
Форма края вертлужной впадины, который расположен выше головки бедра
 
 
В виде прямоугольника
 
В виде полукруга
 
Скошенная
 
Скошенная
 
Положение края вертлужной впадины, который расположен выше головки бедра
 
 
Расположена горизонтально.
 
Расположена горизонтально, но укорочена
 
Слегка подогнута внутрь полости сустава.
 
Сильно подогнута внутрь полости сустава.
 
Хрящ, охватывающий головку бедра
 
 
Нормально охватывает головку бедренной кости
 
Нормально охватывает головку бедренной кости
 
Укорочен, его форма изменена
 
Укорочен, деформирован. Не полностью покрывает головку бедренной кости. Подвернут внутрь тазобедренного сустава.
 
Структурных изменений нет.
 
Имеются структурные изменения.
 
альфа-угол
 
> 60°
 
 
50-59°
 
43-49°
 
> 43°
 
43°
бета-угол  
< 55°
 
 
> 55°
 
70-77°
 
> 77°
 
> 770
Положение головки бедра:
в состоянии покоя;
во время движения.
Находится в нормальном положении;

Находится в нормальном положении.
Находится в нормальном положении; Отклонена кнаружи;
Отклонена кнаружи.
Отклонена кнаружи;
Отклонена кнаружи.
Находится в нормальном положении. Немного отклонена кнаружи.
 

Лечение дисплазии тазобедренного сустава

Широкое пеленание ребенка

 
Широкое пеленание скорее можно отнести не к лечебным, а профилактическим мероприятиям при дисплазии тазобедренного сустава.

Показания к широкому пеленанию:
  • ребенок относится к группе риска по дисплазии тазобедренного сустава;
  • во время УЗИ у новорожденного ребенка выявлена незрелость тазобедренного сустава;
  • имеется дисплазия тазобедренного сустава, при этом другие методы лечения невозможны по тем или иным причинам.
Техника широкого пеленания:
  • ребенка укладывают на спину;
  • между ножек прокладывают две пеленки, которые будут ограничивать сведение ножек вместе;
  • эти две пеленки фиксируют на поясе ребенка третьей.
Свободное пеленание позволяет удерживать ножки ребенка в разведенном состоянии примерно на 60 - 80°.

Ношение ортопедических конструкций

Стремена Павлика - ортопедическая конструкция, разработанная чешским врачом Арнольдом Павликом в 1946 году. До этого в основном применялись жесткие конструкции, которые плохо переносились маленькими детьми и проводили к осложнению в виде асептического некроза головки бедренной кости.
Стремена Павлика – мягкая конструкция. Она позволяет ребенку осуществлять более свободные движения в тазобедренных суставах.

Строение стремян Павлика:
  • грудной бандаж, который крепится при помощи перекидывающихся через плечи ребенка лямок;
  • бандажики на голени;
  • штрипки, соединяющие бандажи на груди и голенях: два задних разводят голени в стороны, а два передних, сгибают ноги в коленных суставах.
Все части современных стремян Павлика изготавливают из мягкой ткани.

Повязка Фрейка (шина Фрейка, абдукционные трусики Фрейка)  
 Трусики Фрейка работают по принципу широкого пеленания. Они изготовлены из плотного материала и обеспечивают постоянное разведение ножек ребенка на 90° и более.

Показания к ношению шины Фрейка:
  • дисплазия тазобедренного сустава без вывиха;
  • подвывих бедра.
Для того чтобы определить размер шины Фрейда для ребенка, нужно развести его ножки и измерить расстояние между подколенными ямками.

Шина Виленского – это ортопедическая конструкция, которая состоит из двух кожаных ремней со шнуровкой и металлической распорки между ними.

Первое одевание Шины Виленского на ребенка осуществляется на приеме у врача-ортопеда.

Правильное одевание шины Виленского на ребенка:
  • уложить ребенка на спину;
  • развести ножки в стороны так, как было показано врачом на приеме;
  • просунуть одну ногу в кожаный ремень на соответствующей стороне шины, надежно зашнуровать;
  • просунуть вторую ногу в другой ремень, зашнуровать.
Размеры шин Виленского:

Разновидность шины Возраст ребенка Степень разведения ног
Малая. До 3 месяцев. 160 – 230 мм.
Средняя 3 месяца – 1 год. 210 – 330 мм.
Большая От 1 года 295 мм – 495 мм.
 
Основные правила ношения шины Виленского:
  • Тщательное шнурование. Если ремни зашнурованы правильно и достаточно туго, то они не должны соскальзывать.
  • Постоянное ношение. Обычно шины Виленского назначаются на 4 – 6 месяцев. Их нельзя снимать в течение всего данного времени. Это допускается только на время купания ребенка.
  • Четко отрегулированная длина распорки. Регулировку осуществляет врач при помощи специального колесика. Во время игры ребенок может сдвинуть его. Для того чтобы это предотвратить, нужно фиксировать колесико изолентой.
  • Шину нельзя снимать даже во время переодевания ребенка. Для удобства нужно использовать специальную одежду с кнопочками.

Шина ЦИТО
 
Можно сказать, что эта шина является модификацией шины Виленского. Она также представляет собой две манжеты, фиксирующиеся на голенях, и находящуюся между ними распорку.

Шина (ортез) Тюбингера
 
Можно рассматривать как комбинацию шины Виленского и стремян Павлика.

Устройство шины Тюбингера:
  • две седловидные распорки для ног, соединенные между собой металлическим стержнем;
  • наплечники;
  • «жемчужные нити», которые соединяют распорки с наплечниками спереди и сзади, имеют регулируемую длину и позволяют изменять степень сгибания в тазобедренных суставах;
  • специальная липучка, при помощи которой происходит фиксация ортеза.

Размеры шины Тюбингера:
  • для возраста 1 мес. с длиной распорки 95-130 мм;
  • для возраста 2 – 6 мес. с длиной распорки 95-130 мм;
  • для возраста 6 – 12 мес. с длиной распорки 110-160 мм.
Шина Волкова

Шина Волкова – ортопедическая конструкция, которая в настоящее время практически не используется. Она изготовлена из полиэтилена и состоит из четырех частей:
  • кроватка, которая подкладывается под спину ребенка;
  • верхняя часть, которая находится на животике;
  • боковые части, в которые помещаются голени и бедра.

Шина Волкова может использоваться у детей в возрасте до 3 лет. Предусмотрено 4 размера.

Недостатки шины Волкова:
  • очень сложно подобрать по размеру для конкретного ребенка;
  • бедра зафиксированы только в одном положении: его нельзя изменять в зависимости от изменения конфигурации тазобедренного сустава на рентгенограммах;
  • конструкция достаточно сильно ограничивает движения ребенка;
  • высокая стоимость.
Выше были перечислены лишь наиболее распространенные ортопедические конструкции, которые применяются для лечения дисплазии тазобедренного сустава. На самом деле их существует намного больше. Регулярно появляются новые. В разных клиниках отдается предпочтение различным конструкциям. Сложно сказать, какая из них является самой лучшей. Скорее, такое большое разнообразие свидетельствует о том, что лучшего варианта не существует. Каждый имеет собственные преимущества и недостатки. Родителям ребенка лучше ориентироваться на назначения, которые дает врач-ортопед.

Массаж при дисплазии тазобедренного сустава

 
Массаж при дисплазии тазобедренного сустава осуществляется только по назначению врача-ортопеда, который руководствуется результатами осмотра и данными рентгенографии, УЗИ. Массаж можно проводить при наличии ортопедических конструкций (шин, см. выше), не снимая их.

Условия, необходимые для проведения массажа при дисплазии тазобедренного сустава у детей младшего возраста:

  • Ребенка необходимо уложить на твердую ровную поверхность. Лучше всего подходит пеленальный столик.
  • Во время массажа под ребенка подкладывают клеенку, так как поглаживание животика и другие действия массажиста могут спровоцировать мочеиспускание.
  • Курс массажа обычно состоит из 10 – 15 сеансов.
  • Массаж проводится один раз в день.
  • Для сеанса нужно выбирать время, когда ребенок выспался и не голоден. Оптимально проводить процедуры в первой половине дня.
  • Для того чтобы стал заметен эффект, нужно провести не менее 2 – 3 курсов лечебного массажа.
  • Перерыв между курсами – 1 – 1,5 месяца. Это обязательное условие, так как массаж представляет собой достаточно высокую нагрузку для детей первого года жизни.
Для проведения массажа у детей с дисплазией тазобедренного сустава нужно пользоваться услугами массажиста, который имеет опыт и специализируется на заболеваниях детей младшего возраста. Самостоятельно родители могут ежедневно, перед сном, выполнять ребенку общий расслабляющий массаж.

Примерная схема массажа для ребенка с дисплазией тазобедренного сустава

Исходное положение Манипуляции
Лежа на спине. Общий массаж: поглаживания и легкое растирание животика, груди, рук, ног (бедер, голеней, стоп, подошв).
Лежа на животе с разведенными и согнутыми в коленях ногами.
  • Массаж ног: поглаживание, растирание, поочередное отведение в стороны (как будто ребенок ползает).
  • Массаж спины и поясницы: поглаживание и растирание.
  • Массаж ягодичек: поглаживание, растирание, пощипывание, легкое постукивание пальцами и похлопывание.
  • Массаж области тазобедренного сустава и наружных поверхностей бедер: поглаживание, растирание.
  • Отведение ног в стороны – «ползание».
  • «Парение» - массажист берет ребенка под грудку и под область таза, приподнимает над пеленальным столиком.
Лежа на спине с разведенными ногами.
  • Массаж передних и внутренних поверхностей ног: поглаживание и растирание.
  • Сгибание и разведение ножек в стороны. Массажист должен действовать аккуратно, не допускать резких движений.
  • Круговые движения ножками в тазобедренных суставах вовнутрь.
  • Массаж подошв: поглаживание, растирание, разминание.
 
Массаж у детей в возрасте до года включает также элементы гимнастики, которые также приведены в таблице.

Лечебная гимнастика при дисплазии тазобедренного сустава

 
Лечебная гимнастика всегда применяется при консервативном лечении дисплазии тазобедренного сустава. Ее продолжают и во время реабилитации. ЛФК показана после вправления вывиха бедра, в том числе хирургического.

Цели лечебной гимнастики при дисплазии тазобедренного сустава:
  • способствовать нормальному формированию тазобедренного сустава, восстановить его правильную конфигурацию;
  • укрепить мышцы бедра, которые будут поддерживать головку бедренной кости в правильном положении относительно вертлужной впадины;
  • обеспечить нормальную физическую активность ребенка;
  • способствовать нормальному физическому развитию ребенка, страдающего дисплазией тазобедренного сустава;
  • обеспечить нормальное кровоснабжение и питание тазобедренного сустава, предотвратить осложнения, например, асептический некроз головки бедра.
У детей до года лечебная гимнастика проводится пассивно. Она входит в состав комплекса лечебного массажа (см. выше).

Физическая активность, необходимая для нормального формирования тазобедренного сустава детям до 3 лет:
  • сгибание бедер в разведенном состоянии в положении лежа на спине;
  • самостоятельные переходы из положения лежа в положение сидя;
  • ползание;
  • переход из положения сидя в положение стоя;
  • ходьба;
  • формирование навыка метания;
  • комплекс упражнений для мышц ног;
  • комплекс упражнений для мышц брюшного пресса;
  • комплекс дыхательных упражнений.
Комплекс упражнений после проведения вправления вывиха или хирургического вмешательства разрабатывается индивидуально для каждого больного.

Физиотерапия при дисплазии тазобедренного сустава

 
Процедура Описание Применение
Электрофорез:
  • с кальцием и фосфором;
  • с йодом.
Лекарственное вещество вводится непосредственно через кожу в сустав при помощи слабого постоянного электрического тока. Кальций и фосфор способствуют укреплению, правильному формированию сустава.
  • процедура заключается в наложении на области сустава двух электродов, смоченных раствором лекарственных веществ;
  •  электрофорез можно проводить в условиях стационара, амбулаторно (в поликлинике) или на дому;
  • Курс обычно включает 10 – 15 процедур.
Аппликации с озокеритом Озокерит – это смесь парафинов, смол, сероводорода, углекислого газа, минеральных масел. В подогретом виде (примерно 50°C) обладает свойством улучшать кровообращение и питание тканей, ускорять восстановление. При дисплазии тазобедренного сустава применяют озокерит, подогретый до 40 - 45°C.
Делают аппликации: наносят на кожу кусок материи, пропитанной озокеритом, затем укрывают целлофаном и слоем ваты или чем-нибудь теплым.
Пресные теплые ванны Теплая вода действует практически так же, как озокерит: она улучшает кровообращение, питание тканей и ускоряет восстановительные процессы. Ребенок принимает теплые ванны по 8 – 10 минут при температуре 37°C.
УФО-терапия Ультрафиолетовые лучи проникают в кожу на глубину 1 мм, стимулируя защитные силы, регенеративные процессы, улучшая кровообращение. УФО-терапия проводится по схеме, которая подбирается индивидуально для каждого ребенка, в зависимости от возраста, общего состояния, сопутствующих заболеваний и других факторов.
 

Вправление врожденного вывиха бедра

 
Впервые закрытое бескровное вправление врожденного вывиха бедра было проведено в 1896  году врачом Адольфом Лоренцом.

Показания к вправлению врожденного вывиха бедра:
  • Наличие сформировавшегося вывиха бедра, который определяется при проведении рентгенографии и/или УЗИ.
  • Возраст ребенка более 1 года. До этого вывих относительно легко вправляется при помощи функциональных методик (шины и ортезы, см. выше). Но единого однозначного алгоритма не существует. Иногда вывих после 3-месячного возраста уже не удается вправить никакими способами, кроме хирургического вмешательства.
  • Возраст ребенка не более 5 лет. В более старшем возрасте обычно приходится прибегать к операции.
Противопоказания к закрытому вправлению врожденного вывиха бедра:
  • сильное смещение головки бедренной кости, заворот суставной капсулы в полость сустава;
  • выраженное недоразвитие вертлужной впадины.
Суть метода

  Закрытое вправление при врожденном вывихе бедра производится под наркозом. Врач, руководствуясь данными рентгенографии и УЗИ, осуществляет вправление – возврат головки бедра в правильное положение. Затем на 6 месяцев накладывается кокситная (на таз и нижние конечности) гипсовая повязка, которая фиксирует ноги ребенка в разведенном положении. После снятия повязки проводят массаж, лечебную гимнастику, физиопроцедуры.

Прогноз
 У части детей после закрытого вправления врожденного вывиха бедра развивается рецидив. Чем старше ребенок, тем больше вероятность того, что в конечном итоге все равно придется прибегнуть к хирургическому вмешательству.

Хирургическое лечение врожденного вывиха бедра

 
 Виды хирургических вмешательств при врожденном вывихе бедра:
 
  • Открытое вправление вывиха. Во время операции врач рассекает ткани, достигает тазобедренного сустава, рассекает суставную капсулу и вправляет головку бедренной кости на ее привычное место. Иногда предварительно углубляют вертлужную впадину при помощи фрезы. После хирургического вмешательства накладывают гипсовую повязку на 2 – 3 недели.
  • Операции на бедренной кости. Производится остеотомия – рассечение кости с целью придать проксимальному (ближайшему к тазу) концу бедренной кости правильную конфигурацию.
  • Операции на костях таза. Существует несколько вариантов таких оперативных вмешательств. Их основная суть состоит в том, чтобы создать над головкой бедра упор, который помешает ее смещению вверх.
  • Паллиативные операции. Применяются в тех случаях, когда исправление конфигурации тазобедренного сустава невозможно. Направлены на улучшение общего состояния пациента, восстановление его работоспособности.


Показания к хирургическому вмешательству при врожденном вывихе бедра:

  • Вывих у ребенка впервые диагностирован в возрасте 2 лет.
  • Анатомические дефекты, которые делают закрытое вправление вывиха невозможным: ущемление суставной капсулы внутри полости тазобедренного сустава, недоразвитие бедренной кости и костей таза и пр.
  • Защемление суставного хряща в полости сустава.
  • Сильное смещение головки бедренной кости, которое не может быть вправлено закрытым способом.
Осложнения после хирургического лечения врожденного вывиха бедра:
  • шоковое состояние в результате потери большого количества крови;
  • остеомиелит (гнойное воспаление) бедренной кости и костей таза;
  • нагноение в области хирургического вмешательства;
  • асептический некроз (омертвение) головки бедренной кости – достаточно распространенное поражение в связи с тем, что головка бедренной кости имеет некоторые особенности кровоснабжения (единственный сосуд проходит в связке головки бедра, и его легко повредить);
  • повреждение нервов, развитие парезов (ограничение движений) и параличей (утрата движений);
  • травмы во время операции: перелом шейки бедра, продавливание дна вертлужной впадины и проникновение головки бедренной кости в полость таза.

Резюме: проблемы лечения дисплазии тазобедренного сустава

 
Современные методы диагностики и лечения дисплазии тазобедренного сустава пока далеки от совершенства. В амбулаторных учреждениях (поликлиниках) до сих пор распространены случаи гиподиагностики (диагноз не ставится во время при существующей патологии) и гипердиагностики (диагноз ставится здоровым детям).

Предложено много ортопедических конструкций и вариантов хирургического лечения. Но ни один из них нельзя назвать полностью совершенным. Всегда имеется определенный риск рецидивов и осложнений.

В разных клиниках практикуются разные подходы к диагностике и лечению патологии. В настоящее время продолжают активно вестись исследования.

Иногда дисплазия тазобедренного сустава и врожденный вывих бедра выявляются во взрослом возрасте. Большинство видов операций можно применять до 30 лет, пока не начали развиваться признаки артроза.

Прогноз

 
Если дисплазия тазобедренного сустава была выявлена в раннем возрасте, то при правильном лечении заболевание может быть полностью устранено.

Многие люди живут с дисплазией тазобедренного сустава всю жизнь, не испытывая никаких проблем. Если данное состояние было выявлено случайно во время проведения рентгенографии, то пациент должен постоянно наблюдаться у ортопеда, являться на осмотры не реже, чем раз в год.

Осложнения дисплазии тазобедренного сустава

Нарушения со стороны позвоночного столба и нижних конечностей

 
При дисплазии тазобедренного сустава нарушена моторика позвоночного столба, тазового пояса, ног. Со временем это приводит к развитию нарушения осанки, сколиоза, остеохондроза, плоскостопия.

Диспластический коксартроз

 
 Диспластический коксартроз – дегенеративное быстро прогрессирующее заболевание тазобедренного сустава, которое развивается, как правило, в возрасте 25 – 55 лет у людей с дисплазией.

Факторы, которые провоцируют развитие диспластического коксартроза:
  • гормональная перестройка организма (например, во время менопаузы);
  • прекращение занятий спортом;
  • избыточная масса тела;
  • низкая физическая активность;
  • беременность и роды;
  • травмы.
Симптомы диспластического коксартроза:
  • чувство дискомфорта и неприятные ощущения в области тазобедренного сустава;
  • затруднение поворотов бедра и его отведения в сторону;
  • боли в области тазобедренного сустава;
  • затруднение подвижности в тазобедренном суставе, вплоть до ее полной потери;
  • в конечном итоге бедро сгибается, приводится и поворачивается наружу, фиксируясь в таком положении.
Если диспластический коксартроз сопровождается выраженными болями и значительным нарушением подвижности, то проводится эндопротезирование (замещение на искусственную конструкцию) тазобедренного сустава.

Неоартроз

 Состояние, которое в настоящее время встречается относительно редко. Если вывих бедра сохраняется в течение длительного времени, то с возрастом происходит перестройка сустава. Головка бедра становится более плоской.

Вертлужная впадина уменьшается в размерах. Там, где головка бедра упирается в бедренную кость, образуется новая суставная поверхность и формируется новый сустав. Он вполне способен обеспечивать различные движения, и в некоторой степени такое состояние можно рассматривать как самоизлечение.

Бедренная кость на стороне поражения укорачивается. Но это нарушение может быть компенсировано, пациент способен ходить и сохранять работоспособность.

Асептический некроз головки бедра

 Асептический некроз головки бедренной кости развивается из-за повреждения кровеносных сосудов, которые проходят в связке головки бедра (см. выше). Чаще всего эта патология является осложнением хирургических вмешательств при дисплазии тазобедренного сустава.

В результате нарушения кровообращения головка бедра разрушается, движения в суставе становятся невозможными. Чем старше пациент, тем тяжелее протекает заболевание, тем сложнее оно поддается лечению.

Лечение асептического некроза головки бедра – хирургическое эндопротезирование.

Почему развивается дисплазия тазобедренных суставов?

Причины развития дисплазии тазобедренных суставов остаются до конца не установленными. Ортопеды не могут объяснить, почему при равных условиях у одних детей развивается эта патология, а у других нет. Современная медицина выдвигает несколько версий.

1.      Воздействие гормона релаксина. Он выделяется в организме женщины непосредственно перед родами. Его функция – сделать связки более эластичными, чтобы в момент родов ребенок мог покинуть таз. Этот гормон проникает в кровь плода, воздействуя на тазобедренный сустав и его связки, которые растягиваются и не могут надежно фиксировать головку тазобедренной кости. В связи с тем, что женский организм более восприимчив к воздействию релаксина, у девочек дисплазия наблюдается в 7 раз чаще.
2.      Тазовое предлежание плода. Когда ребенок длительно пребывает в таком положении на поздних сроках беременности, его тазобедренный сустав испытывает сильное давление. Матка напоминает перевернутый треугольник и в нижней ее части меньше места, чем под диафрагмой, поэтому движения ребенка ограничены. Это ухудшает кровообращение и созревание компонентов тазобедренного сустава, поэтому у таких детей риск патологий тазобедренного сустава выше в 10 раз. Роды при таком положении плода считаются патологическими из-за высокого риска повреждения тазобедренного сустава.
3.      Маловодие. Если в третьем триместре количество околоплодных вод менее 1-го литра, то это затрудняет движения плода и грозит патологиями развития опорно-двигательной системы.
4.      Токсикоз. Его развитие связывают с формированием центра беременности в головном мозге. Перестройка в гормональной, пищеварительной и нервной системе осложняет протекание беременности и сказывается на формировании плода.
5.      Крупный плод свыше 4 кг – в этом случае плод испытывает значительное давление внутренних органов во время беременности, и ему сложнее пройти по родовым путям.
6.      Первые роды младше 18 лет. У первородящих женщин наиболее высок уровень гормона релаксина.  
7.      Возраст матери старше 35 лет. В этом возрасте женщины часто имеют хронические заболевания, страдают от нарушения кровообращения в малом тазу и более подвержены токсикозу,
8.      Инфекционные заболевания, перенесенные в период беременности, повышают риск патологий развития плода.
9.      Патологии щитовидной железы негативно влияют на формирование суставов у плода.
10.  Наследственность – дисплазия тазобедренных суставов у родственников в 10-12 раз повышает риск развития дисплазии у ребенка.
11.  Внешние воздействия – радиация, рентгеновское излучение, прием лекарств и алкоголя оказывают негативное влияние на формирование суставов во внутриутробный период и их созревание после родов.

Как предотвратить дисплазию тазобедренного сустава?

Созревание и формирование тазобедренного сустава происходит на протяжении нескольких месяцев после рождения. Исходя из этого, Американской Академией Педиатрии были разработаны рекомендации, помогающие предотвратить дисплазию тазобедренного сустава.

  • Ранняя диагностика направлена на выявление врожденных патологий.
    • Обследование ортопедом в роддоме;
    • Всем девочкам, находившимся в тазовом или ягодичном предлежании, в 6 недель после рождения рекомендовано сделать УЗИ;
    • Также УЗИ выполняют детям, у которых есть другие располагающие факторы (щелчки в суставе, дисплазия у родственников, вес при рождении свыше 4 кг, врожденная кривошея и деформации стоп, возраст матери старше 35 лет);
    • Рентгеновский снимок выполняется при необходимости контроля в возрасте 4-х месяцев и старше.
  • Свободное пеленание. Избегайте тугого пеленания, при котором ноги ребенка выпрямлены и прижаты друг к другу. Необходимо, чтобы после пеленания ноги младенца оставались в том положении, что и после рождения – согнуты в бедрах и коленях, и разведены в стороны.
  • Ношение ребенка в слинге на боку или в позе «наездника» на спине матери. Такие положения, когда его ноги охватывают талию матери, являются наиболее физиологичными. Именно по этой причине у жителей Африки самый низкий процент детей с дисплазией. При разведении ног ребенка сокращается капсула тазобедренного сустава, что обеспечивает его надежную фиксацию в дальнейшем.
  • Подгузники на 1-2 размера больше. Подгузники не дают ребенку возможности свести ноги, и действуют как «отводящие штанишки», которые в прошлом использовались ортопедами для правильного формирования тазобедренных суставов. Особенно важно придерживаться этого правила в первые недели после родов, пока гормоны матери не покинули организм ребенка и связки, поддерживающие сустав, не окрепли.
  • Массаж и гимнастика курсами по 10-15 массажей с интервалом в 1 месяц + общий массаж ежедневно. Массаж и гимнастика укрепляют мышцы, которые ограничивают движения в суставе и обеспечивают его стабильность.

Как распознать дисплазию тазобедренных суставов у новорожденных?

Врожденный подвывих или вывих – это тяжелые стадии дисплазии, которые требуют срочного лечения. Обычно их диагностируют еще в роддоме во время осмотра педиатра-ортопеда. Родители также должны знать, как распознать дисплазию тазобедренных суставов у новорожденных, так как раннее выявление патологии и своевременное лечение обеспечивают полное выздоровление на протяжении 3-6 месяцев.

Признаки дисплазии у новорожденных

  • Симптом щелчка – один из самых достоверных признаков дисплазии. Выявляется на протяжении первой недели и может сохраняться до 3-х месяцев. Суть метода: ребенок лежит на спине, ноги согнуты в тазобедренных и коленных суставах под прямым углом. Руки специалиста лежат на коленных суставах: большие пальцы охватывают внутреннюю поверхность сустава, остальные лежат на наружной поверхности бедра. Колени сведены к средней линии. Врач медленно разводит их в стороны, при этом чувствуется, а иногда слышен щелчок с больной стороны – это головка бедра занимает свое место. Следующий этап: врач сводит бедра ребенка, на этом этапе вновь чувствуется щелчок – это головка бедра покидает вертлужную впадину. Щелчок объясняется соскальзыванием пояснично-крестцовой мышцы с передней поверхности головки бедра, если есть вывих и головка не входит в вертлужную впадину.
  • Укорочение одной ноги. Ребенок лежит на спине, его ноги сгибают в коленях и ставят на стопы. Если при этом одна коленка находится выше другой, то высока вероятность врожденного вывиха бедра.
  • Асимметричное расположение кожных складок, их увеличенное количество. Складки у ребенка проверяют с выпрямленными ногами спереди и сзади.
  • Ограничение отведения бедра. Однако у некоторых детей этот симптом развивается только на 3-4-й неделе. У здоровых детей колени без усилия укладываются на поверхность стола до 4-хмесячного возраста.

Осмотр новорожденного обязательно проводят после кормления в теплом помещении, когда ребенок расслаблен. Во время крика или плача мышцы ребенка напряжены и зажаты, в такой ситуации новорожденный поджимает ноги и не дает развести бедра.

Косвенные симптомы, которые свидетельствуют о патологии опорно-двигательной системы и часто сопровождают дисплазию. Само по себе их обнаружение не свидетельствует о проблемах с тазобедренным суставом, но должно стать поводом для тщательного обследования ребенка.

  • Кривошея;
  • Мягкость костей черепа (краниотабес);
  • Полидактилия – большее, чем в норме количество пальцев;
  • Плоскостопие и смещение оси стопы;
  • Нарушение рефлексов, характерных для новорожденных (поисковый, сосательный, шейнотонический).

Если во время осмотра у врача возникли сомнения на счет здоровья сустава, то в течение 3-х недель необходимо показать ребенка квалифицированному детскому ортопеду. Учитывая сложности диагностики дисплазии, в сомнительных случаях родителям рекомендуют получить консультацию 3-х независимых специалистов.

Когда поставлен диагноз подвывих или вывих, то лечение начинают без промедления. Если надеяться, что ребенок «перерастет», оставить его без лечения, то без тесного контакта суставных поверхностей происходит деформация сустава:

  • Вертлужная впадина становится более плоской и не в состоянии зафиксировать головку бедренной кости;
  • Крыша отстает в развитии;
  • Растяжение капсулы сустава.

С каждым месяцем эти изменения становятся все более выражены и тяжелее поддаются лечению. Если у детей до 6-ти месяцев применяются мягкие стремена и шины-распорки, то на втором полугодии уже нужны полужесткие шины-кроватки (шина Волкова, шина-кроватка Полонского). К тому же чем младше ребенок, тем легче он переносит лечение и быстрее к нему привыкает.

Можно ли лечить дисплазию без стремян?

Лечение дисплазии без стремян допустимо на ранней стадии заболевания, когда строение сустава не нарушено, а лишь замедленно его созревание и есть задержка окостенения головок тазовых костей. Для лечения используют разнообразные методики, которые улучшают кровообращение, снимают мышечный спазм, насыщают минералами, что ускоряет окостенение ядер и нарастание крыши сустава.

  • Широкое пеленание – его цель максимально развести бедра ребенка, используя для этого пеленки или подгузники на 1-2 размера больше. Между ног ребенка кладут многослойную накрахмаленную пеленку. Она должна быть такой ширины, что при разведенных ногах ее края находились бы в подколенных впадинах.
  • Массаж и лечебная физкультура - укрепляют мышцы и связки, фиксирующие сустав, способствуют скорейшему созреванию сустава. Желательно, чтобы массаж делал специалист. Так как неумелое его выполнение может навредить ребенку и замедлить развитие сустава. Рекомендовано упражнение бабочка: согнутые в бедрах и в коленях ноги разводят в стороны по 100-300 раз в день.
  • Физиотерапия: теплые ванны, аппликации парафина улучшают кровоснабжение сустава, устраняют мышечный спазм. Электрофорез с кальцием и фосфором способствует насыщению сустава минералами, которые необходимы для его формирования.
  • Гомеопатические средства (Рост-норма совместно с витамином D, Остеогенон). Препараты, содержащие кальций и фосфор, назначают для ускорения созревания ядер окостенения тазовых костей.
  • Фитбол, игрушки или качели на которых ребенок сидит с широко расставленными ногами.
  • Плавание или аквааэробика по 3 раза в неделю. Плавание на животе. Для старших детей рекомендовано плавание в ластах, не сгибая ног в коленях.
  • Ограничение вертикальной нагрузки на суставы. Максимально долго не позволяйте ребенку стоять и ходить. Активно поощряйте игры на животе и ползанье.
  • Ношение в слинге в позе на бедре. В таком положении головка плотно стыкуется с суставной впадиной, занимая правильное физиологическое положение.

Практикующими врачами данные методы рассматриваются, скорее как профилактика развития осложнений на ранних стадиях дисплазии, а не как лечение в запущенных стадиях. Поэтому, если ребенку поставили диагноз подвывих или вывих, то без стремян не обойтись.

Динамическая гимнастика, которая некоторыми авторами включается в комплекс лечения, противопоказана при любых стадиях дисплазии тазобедренного сустава.

Внимание! Большое количество мануальных терапевтов и народных целителей обещают избавление от дисплазии без стремян. Большинство их пациентов потом оказываются в отделениях ортопедии и вынуждены от 6 до 12 месяцев находиться в жестких стременах или аппарате Гневковского. Если ребенку поставлен диагноз подвывих или вывих, это означает, что слабые мышцы и связки не в состоянии удерживать головку тазовой кости в вертлужной впадине. Поэтому когда с помощью мануальной терапии сустав вправят, то головка не будет зафиксирована и вывих произойдет повторно через несколько часов. На сокращение связочного аппарата требуется длительное время, поэтому при предвывихе, подвывихе и вывихе без стремян не обойтись.

Как проявляется дисплазия тазобедренных суставов у взрослых?

Взрослые страдают от проблем с тазобедренным суставом, если в детстве им неправильно пролечили дисплазию в стадии вывиха или подвывиха. В таком случае несоответствие поверхностей головки бедренной кости и вертлужной впадины приводит к быстрому изнашиванию сустава и воспалению хряща – развивается диспластический коксартроз. Обычно дисплазия тазобедренных суставов у взрослых появляется во время беременности, гормональных нарушений, резкого уменьшения физических нагрузок. Как правило, начало болезни острое и состояние больных быстро ухудшается.

Проявления дисплазии тазобедренных суставов у взрослых

  • Чувство неустойчивости тазобедренного сустава, которое появляется после длительной ходьбы.
  • Боль в суставе, которая более выражена по утрам. Ее появление объясняется заполнением суставной капсулы воспалительным экссудатом. Также характерна «стартовая» боль, которая возникает в начале движений. Боль уменьшается после разминки, когда сустав «разогрет».
  • Усталость в ноге появляется после длительной ходьбы.
  • Тугоподвижность тазобедренного сустава связана с низкой эластичностью хряща. Люди отмечают, что больная нога движется с меньшей амплитудой. Возникают трудности при отведении бедра в сторону.
  • Контрактура – при попытке пассивного отведения бедра в сторону заметно ограничение подвижности бедра.
  • Хромота. У больных с двусторонним повреждением суставов формируется «утиная» походка.
  • Изменения на рентгене:
    • Участки окостенения в крыше сустава;
    • Угол наклона плоскости входа во впадину свыше 45 градусов;
    • Нарушение центрации головки бедренной кости.
    • ;

Лечение последствий дисплазии тазобедренного сустава у взрослых

  • Хондропротекторы (Стекловидное тело, Румалон, Остеохондрин, Артепарон) вводятся непосредственно в сустав или в виде внутримышечных инъекций курсами 2 раза в год.
  • Нестероидные противовоспалительные препараты (Диклофенак, Кетопрофен) снимают боль и уменьшают воспаление.
  • Лечебная физкультура направленная на укрепление мышц в области тазобедренного сустава: мышцы брюшного пресса, ягодичные мышцы, 4-хглавую мышцу бедра, мышцы разгибатели спины. Подходят плавание, ходьба на лыжах, йога.
  • Исключить нагрузки на сустав: поднятие тяжестей, бег, прыжки, парашютный спорт.
  • Хирургическое лечение необходимо в тяжелых случаях. Эндопротезирование тазобедренного сустава – замена головки и шейки бедра, а в некоторых случаях и вертлужной впадины, на металлические протезы.
Кабанов Артем Сергеевич
Автор:
Специальность: Педиатр, детский хирург

Опубликовано: 31.7.2013

Дополнено: 25.8.2022

Просмотров: 367691

Поделиться
Артрит голеностопного сустава. Симптомы, диагностика и лечение патологии
48797
0
Артрит голеностопного сустава. Симптомы, диагностика и лечение патологии
Остеопат. Чем занимается данный специалист, какие исследования производит, какие патологии лечит?
55813
0
Остеопат. Чем занимается данный специалист, какие исследования производит, какие патологии лечит?
Травматолог-ортопед. Чем занимается данный специалист, какие исследования производит, какие патологии лечит?
89158
0
Травматолог-ортопед. Чем занимается данный специалист, какие исследования производит, какие патологии лечит?
Как вылечить суставы? Защита и восстановление
21992
0
Как вылечить суставы? Защита и восстановление
Болят пальцы ног. Болят косточки пальцев ног. Причины болей в пальцах ног. Боли при ходьбе. Патологии, вызывающие болезненность. Помощь при болях в пальцах ног
127059
0
Болят пальцы ног. Болят косточки пальцев ног. Причины болей в пальцах ног. Боли при ходьбе. Патологии, вызывающие болезненность. Помощь при болях в пальцах ног
Болят суставы пальцев ног. Причины, виды болей, патологии, вызывающие болезненность, помощь при болях
206893
0
Болят суставы пальцев ног. Причины, виды болей, патологии, вызывающие болезненность, помощь при болях
Болят суставы пальцев рук - причины, виды болей и патологии, вызывающие болезненность
140715
0
Болят суставы пальцев рук - причины, виды болей и патологии, вызывающие болезненность
Боли в тазобедренном суставе. Причины, виды болей, патологии, вызывающие болезненность, помощь при болях
272246
0
Боли в тазобедренном суставе. Причины, виды болей, патологии, вызывающие болезненность, помощь при болях
Артроз коленного сустава - причины, симптомы, диагностика и лечение артроза
275434
1
Артроз коленного сустава - причины, симптомы, диагностика и лечение артроза
Артроз стопы (голеностопного сустава). Причины, симптомы, диагностика и лечение артроза
302388
0
Артроз стопы (голеностопного сустава). Причины, симптомы, диагностика и лечение артроза
Артроз плечевого сустава. Причины, симптомы, диагностика и лечение артроза
471371
2
Артроз плечевого сустава. Причины, симптомы, диагностика и лечение артроза
Коксартроз (артроз тазобедренного сустава). Причины, симптомы, диагностика и лечение артроза
309443
0
Коксартроз (артроз тазобедренного сустава). Причины, симптомы, диагностика и лечение артроза
Хондропротекторы. Поколения, сравнение, как применять при болезнях суставов
134940
2
Хондропротекторы. Поколения, сравнение, как применять при болезнях суставов
Болит височно-нижнечелюстной сустав. Причины воспаления челюстного сустава, диагностика причин и лечение, профилактика
395996
0
Болит височно-нижнечелюстной сустав. Причины воспаления челюстного сустава, диагностика причин и лечение, профилактика
Асептический некроз головки бедренной кости. Причины, симптомы, признаки, диагностика и лечение патологии.
220234
4
Асептический некроз головки бедренной кости. Причины, симптомы, признаки, диагностика и лечение патологии.
Артроскопия. Артроскопия коленного, плечевого суставов.  Показания, противопоказания, преимущества метода и реабилитация.
67313
0
Артроскопия. Артроскопия коленного, плечевого суставов. Показания, противопоказания, преимущества метода и реабилитация.
Перелом костей стопы, пяточной и плюсневой. Причины, симптомы, виды, первая медицинская помощь и реабилитация
106741
0
Перелом костей стопы, пяточной и плюсневой. Причины, симптомы, виды, первая медицинская помощь и реабилитация
Вывих плечевого сустава (плеча). Причины, симптомы, виды, первая медицинская помощь и реабилитация
255755
2
Вывих плечевого сустава (плеча). Причины, симптомы, виды, первая медицинская помощь и реабилитация
Вывих бедренного сустава (бедра). Причины, симптомы, виды, первая медицинская помощь и реабилитация
181421
2
Вывих бедренного сустава (бедра). Причины, симптомы, виды, первая медицинская помощь и реабилитация
Кривошея - причины, признаки, методы лечения. Кривошея у новорожденных
147141
1
Кривошея - причины, признаки, методы лечения. Кривошея у новорожденных
Болит стопа - причины: остеопороз, облитерирующий эндартериит, диабетическая стопа, подошвенный фасциит, пяточная шпора, бурсит стопы, плоскостопие, лигаментит, лигаментоз, травмы стопы, поперечное плоскостопие, панариций, подагра
901682
11
Болит стопа - причины: остеопороз, облитерирующий эндартериит, диабетическая стопа, подошвенный фасциит, пяточная шпора, бурсит стопы, плоскостопие, лигаментит, лигаментоз, травмы стопы, поперечное плоскостопие, панариций, подагра
Синдром хронической тазовой боли - причины, симптомы, механизмы развития, диагностика, принципы лечения болезни
111593
2
Синдром хронической тазовой боли - причины, симптомы, механизмы развития, диагностика, принципы лечения болезни
Дисплазия шейки матки - степень дисплазии, диагностика (кольпоскопия, выскабливание, биопсия  шейки матки), причины, эффективное лечение
256849
6
Дисплазия шейки матки - степень дисплазии, диагностика (кольпоскопия, выскабливание, биопсия шейки матки), причины, эффективное лечение
Артроз суставов - симптомы, стадии, современная диагностика и методы эффективного лечения
338855
3
Артроз суставов - симптомы, стадии, современная диагностика и методы эффективного лечения

Комментировать или поделиться опытом:


Архивы:

Регистрация временно закрыта

Вход в профиль

Войдите при помощи профиля в социальной сети или ранее зарегистрированного профиля на сайте

Ваша эл. почта
Проверочный код
Вернуться к логину
Ваша эл. почта
Пароль
Я забыл пароль
Закрыть