Крауроз вульвы представляет собой достаточно часто встречающееся заболевание наружных половых органов женщины, проявляющееся атрофией и склерозом кожно-слизистых покровов данного участка тела. Первым симптомом, как правило, является зуд, усиливающийся в ночное время суток. Затем постепенно происходит истончение кожи, ее растрескивание, уменьшение пигментации и незначительный отек. В терминальной стадии заболевания под вульвой развиваются многочисленные мелкоочаговые кровоизлияния, волосяной покров отсутствует, зуд становится сильным и постоянным, наружные половые органы уплощаются, а их контуры сглаживаются. Также развивается дисфункция желез преддверья влагалища, обуславливающая постоянное чувство сухости.
Диагностика заболевания осуществляется клинически, лабораторно и инструментально. Окончательный диагноз устанавливается во время вульвоскопии (микроскопического исследования вульвы в гинекологическом кресле), при которой удается сделать забор измененных болезнью участков ткани на гистологическое исследование.
Лечение в большинстве случаев проводится амбулаторно, то есть в домашних условиях. Применяются преимущественно гормональные мази и кремы. Системное применение лекарственных средств при данном заболевании мало практикуется в связи с небольшой его эффективностью и сравнительно большим количеством возможных побочных эффектов. Госпитализация имеет смысл лишь при выпадении или стенозе (сужении просвета) уретры, прямой кишки или входа во влагалище. При вышеперечисленных осложнениях крауроза вульвы показано хирургическое лечение. На сегодняшний день предпочтение отдают бесконтактным хирургическим методам, таким как криодеструкция жидким азотом, лазерная абляция и фотодинамическая терапия.
Несмотря на то, что крауроз считается предраковым заболеванием, частота злокачественного перерождения при нем не велика по сравнению с похожим атрофическим заболеванием – плоскоклеточным гиперкератозом (лейкоплакией вульвы). Общий прогноз заболевания считается благоприятным.
- Анатомия вульвы
- Лобок
- Большие половые губы
- Малые половые губы
- Клитор
- Девственная плева
- Причины и патогенез крауроза (склеротического лишая)
- Симптомы крауроза (склеротического лишая)
- Диагностика крауроза вульвы (склеротического лишая)
- К какому врачу обращаться при подозрении на крауроз вульвы (склеротический лишай)?
- Лабораторная диагностика крауроза вульвы (склеротического лишая)
- Инструментальная диагностика крауроза вульвы (склеротического лишая)
- Когда необходимо лечение крауроза (склеротического лишая)?
- Лечение крауроза вульвы (склеротического лишая)
- Немедикаментозное (физиотерапевтическое) лечение крауроза вульвы (склеротического лишая).
- Медикаментозное лечение крауроза вульвы (склеротического лишая)
- Лечение крауроза вульвы (склеротического лишая) лазером
- Фотодинамическая терапия крауроза вульвы (склеротического лишая)
- Хирургическое лечение крауроза вульвы (склеротического лишая)
- Народные методы лечения крауроза вульвы (склеротического лишая) в домашних условиях
- В чем разница между краурозом (склеротическим лишаем) и лейкоплакией (плоскоклеточной гиперплазией) вульвы?
- Какие мази наиболее эффективны при краурозе (склеротическом лишае)?
- Можно ли окончательно вылечить крауроз (склеротический лишай)?
- Существует ли крауроз (склеротический лишай) у мужчин?
- Нужно ли особое питание при краурозе вульвы (склеротическом лишае)?
Анатомия вульвы
Вульва представляет собой собирательное понятие, охватывающее анатомические структуры, образующие вход в родовые пути женщины. Вульва включает лобок, большие и малые половые губы, клитор, девственную плеву, а также многочисленные железы внешней секреции (слизистые, сальные, потовые).
Лобок
Лобок (лонный бугорок) является мягкотканным треугольником, располагающимся на передней поверхности большого таза непосредственно над половыми органами. Вершина данного треугольника ориентирована вниз к промежности. Основание треугольника сверху переходит в переднюю брюшную стенку, отделяясь от нее лобковой бороздой. Боковые стороны лонного бугорка ограничены более выраженными тазобедренными бороздами.
Подкожную основу лобка составляет жировая ткань. Кожа над ним не особо отличается от кожи остальных частей тела. Она представляет собой многослойный плоский ороговевающий эпителий, богатый нервными окончаниями, волосяными фолликулами, а также сальными и потовыми железами. В детском возрасте лонный бугорок покрыт, так называемым «пушком», то есть тонким белесым невысоким волосяным покровом. При наступлении полового созревания под действием прогестерона происходит рост и дифференциация волосяных фолликул, в результате чего лобок покрывается более грубым и пигментированными волосом. Во время климакса влияние гормонов яичников прекращается, и волосяной покров лобка беднеет.
Большие половые губы
Большие половые губы представляют собой кожные валики, располагающиеся по срединной линии в промежности в сагиттальной (переднезадней) плоскости. Внутри большие половые губы состоят из соединительнотканных волокон, в пространстве между которыми находится большое количество жировых клеток. Снаружи данные валики покрыты тонкой кожей. Внутренняя поверхность кожи настолько тонка, что под ней видна плотная сосудистая сеть, из-за чего она напоминает слизистую оболочку, хотя таковой не является. Эпителий больших половых губ у части женщин содержит большое количество волосяных фолликулов, которые располагаются преимущественно на наружной их поверхности. Кроме того, кожа больших половых губ содержит множество меланоцитов (пигментных клеток), окрашивающих кожу данной области в темный цвет. Усиление данной окраски происходит во время беременности.
Спереди и сзади большие половые губы соединяются между собой посредством передней и соответственно задней спайки. Передняя спайка несколько шире задней. К функциям больших половых губ относится поддержание постоянства внутренней среды влагалища и защита от высыхания его слизистой оболочки.
Информация в статье носит справочный характер и не заменяет консультацию врача. Перед применением рекомендаций обратитесь к специалисту.
Малые половые губы
Малые половые губы представляют собой небольшие тонкие мягкотканные лоскуты, расположенные глубже больших половых губ. Их размеры невелики, и они обычно не видны под сомкнутыми большими половыми губами. Тем не менее, достаточно часто встречаются случаи значительной вариации размеров и формы малых половых губ, причем данные вариации расцениваются как норма. Внутренние стороны малых половых губ прилежат друг к другу. Щелевидное пространство между ними называется преддверьем влагалища. В полость преддверья открывается само влагалище, короткий и широкий мочеиспускательный канал, а также протоки парауретральных, Бартолиновых и многочисленных одиночных сальных желез. Вышеперечисленные железы выделяют секрет, который снижает силу трения во время полового акта и уменьшает степень травматизации слизистого эпителия влагалища. Вне полового акта данные железы поддерживают оптимальный уровень влажности слизистой оболочки влагалища.
Передние концы малых половых губ формируют две ножки – латеральные (внешние) и медиальные (внутренние). Латеральные ножки соединяются над клитором, образуя его крайнюю плоть. Медиальные ножки соединяются под клитором, образуя его уздечку. Задние концы малых половых губ, соединяясь между собой, формируют менее выраженную уздечку малых половых губ. Основой малых половых губ является соединительная ткань с большим числом эластических волокон. Снаружи малые половые губы покрыты тонкой, хорошо иннервированной кожей. В отличие от кожи больших половых губ здесь отсутствуют волосяные фолликулы, а количество пигментных клеток невелико, из-за чего данные покровы имеют красный цвет.
Клитор
Клитор представляет собой женский эректильный орган, поскольку развивается из тех же эмбриональных тканей, что и половой член у мужчин. Клитор состоит из тела и головки. Тело, в свою очередь, состоит из двух кавернозных тел, разделенных соединительнотканной перегородкой. Снаружи кавернозные тела окружены плотной нерастяжимой фиброзной фасцией, придающей клитору характерную форму во время его эрекции. На свободном более суженном конце клитора находится его головка, прикрытая крайней плотью. Крайняя плоть и уздечка клитора переходят в латеральные и медиальные ножки малых половых губ соответственно. В основании клитора кавернозные тела расходятся, формируя две ножки, прикрепляющиеся к нижним ветвям лобковых костей.
Девственная плева
Девственная плева представляет собой тонкую пластинку слизистой ткани, ограничивающую вход во влагалище. Форма данного анатомического образования может отличаться, однако обязательным условием является наличие отверстия или нескольких отверстий в нем. Если данные отверстия отсутствуют, что наблюдается при врожденном их заращении, то с наступлением менструации кровянистые выделения не будут выделяться наружу. Вместо этого они будут скапливаться во влагалище и нагнаиваться, пока не вызовут развитие сепсиса или не прорвут наружу. Встречаются редкие случаи врожденного отсутствия девственной плевы. Кроме того, она может разрушаться в детстве при слишком тщательном подмывании ребенка, что наблюдается в некоторых африканских племенах.
Причины и патогенез крауроза (склеротического лишая)
Причины развития крауроза вульвы на сегодняшний день неизвестны. Тем не менее, регулярно выдвигаются теории в защиту инфекционной, аллергической, гормональной аутоиммунной и другой природы заболевания. К сожалению, пока ни одна из данных теорий не в состоянии объяснить всех проявлений данной патологии.
Патогенез крауроза вульвы (склеротического лишая) изучен несколько лучше. Его знание необходимо для понимания сути заболевания, а также для определения звеньев, на которые можно повлиять и улучшить его клиническую картину.
Начальным звеном механизма данного заболевания является влияние одного из причинных факторов, в результате которого происходит ухудшение микроциркуляции мягких тканей вульвы. Ухудшение микроциркуляции ведет к хронической гипоксии (недостаток кислорода) данных тканей, из-за чего процессы катаболизма (разрушения) в данной области преобладают над процессами анаболизма (построения, формирования новых структур). В результате вышеперечисленных процессов в тканях, ограничивающих родовые пути женщины, скапливается большое количество продуктов клеточного распада, оказывающих токсический эффект на организм. Для удаления данных продуктов клетки иммунной системы мигрируют в места их наибольшей концентрации и поглощают их. Так, в верхних слоях кожи формируется мелкоклеточный инфильтрат.
В дальнейшем клетки иммунной системы выделяют в межклеточное пространство медиаторы воспаления и литические ферменты. Медиаторы воспаления, такие как гистамин, серотонин и брадикинин, приводят к отеку верхних слоев дермы, в то время как литические ферменты (эластаза, коллагеназа) разрушают соединительнотканные, эластические и даже нервные волокна. Дезорганизация соединительной ткани и разрушение нервных волокон ведет к снижению тонуса артериол, кровоснабжающих данные ткани, и уменьшению их просвета. Это, в свою очередь, еще больше ухудшает кровоснабжение тканей промежности и усиливает дефицит кислорода в них, замыкая порочный круг заболевания.
Симптомы крауроза (склеротического лишая)
Клиническая картина склеротического лишая зависит преимущественно от стадии заболевания, площади пораженных тканей, а также от сопутствующей патологии органов малого таза. Приблизительно у 2% женщин с краурозом вульвы данное заболевание протекает бессимптомно. Наиболее высокая его встречаемость отмечается среди женщин пожилого возраста в менопаузе. Среди женщин детородного возраста пик заболеваемости приходится на возраст в 35 лет. В литературе описаны даже единичные случаи развития крауроза вульвы у детей, в том числе и возрастом до 3-х лет.
Симптомы крауроза (склеротического лишая) в зависимости от стадии заболевания
| Стадия заболевания | Симптом | Описание симптома |
| Начальная стадия | Парестезии | Парестезии являются чувством «мурашек на коже» или легкого покалывания, практически не беспокоящим больную, возникающим задолго до признаков тканевой атрофии. Данный симптом проявляется периодически, вне зависимости от времени суток и рода деятельности. Может отмечаться точечная парестезия или парестезия, возникающая сразу на некотором участке вульвы. |
| Кожный зуд | Значительная часть пациенток отмечает дебют заболевания с кожного зуда, проявляющегося преимущественно в ночное время. Данный зуд носит спорадический характер, то есть мигрирует или каждый раз возникает в разных участках вульвы. Интенсивность зуда поначалу невысока. Считается, что выраженность данного симптома соответствует интенсивности процессов разрушения элементов межклеточного пространства. Иными словами, чем сильнее зуд, тем скорее прогрессирует заболевание. | |
| Стадия умеренных клинических проявлений | Начальные признаки кожной атрофии | Среди начальных признаков крауроза вульвы отмечается незначительный ее отек, белесоватость кожных покровов и их истончение. Данные признаки обычно заметны в области, так называемого «крауротического треугольника». Основанием данного треугольника является поперечная линия, разделяющая верхнюю и среднюю треть половых губ. Боковыми сторонами треугольника являются верхние трети больших половых губ, а вершиной – лобковый симфиз. |
| Кожный зуд | Кожный зуд обладает теми же характеристиками, что и ранее, однако его интенсивность заметно возрастает. В связи с ним у некоторых больных развиваются тяжелые нервно-психические расстройства. Антигистаминные препараты при данном заболевании часто оказывают недостаточный и кратковременный эффект. | |
| Диспареуния | Диспареунией называется болезненность при совершении полового акта. После полового акта болезненность может сохраняться на протяжении нескольких часов. В норме половой акт должен приносить только приятные ощущения. | |
| Вульводиния | Вульводинией называется болезненность в области вульвы, отличающаяся чувством сухости, жжения, напряжения и скованности тканей. Данные ощущения присутствуют в покое и усиливаются при движениях в тазовом поясе. | |
| Терминальная стадия | Признаки терминальной кожной атрофии | Истончение и уплотнение кожно-слизистых покровов прогрессирует. Отмечаются множественные субэпителиальные кровоизлияния и телеангиэктазии (сосудистые звездочки), придающие белой до этого коже пестроту. Область поражения на данной стадии не ограничивается крауротическим треугольником, а распространяется на всю вульву, перианальную область и пахово-бедренные складки. Клитор и малые половые губы настолько сглаживаются, что с трудом определяются. Атрофия больших половых губ проявляется исчезновением в них жировой клетчатки, из-за чего они практически не возвышаются над поверхностью кожи. Преддверие влагалища сильно сужено. |
| Кожный зуд | Кожный зуд в терминальной стадии заболевания, как правило, наиболее интенсивен, отмечается как в ночное, так и в дневное время суток, приводя со временем к нервным расстройствам, синдрому хронической усталости и др. | |
| Диспареуния | Болезненность при половом акте значительно сильнее, чем в предыдущей стадии. Это связано с более выраженной сухостью наружных половых органов и сужением входа во влагалище. | |
| Вульводиния | Вульводиния также усиливается в связи с более выраженными процессами атрофии кожно-слизистых оболочек. | |
| Дизурия | Дизурия – нарушение мочеиспускания развивается по причине атрофии эпителия уретры. Из-за атрофии уретры происходит сужение наружного ее отверстия с выпадением части слизистой оболочки, выстилающей ее просвет. Такие изменения формы уретры, во-первых, затрудняют отхождение мочи, и, во-вторых, способствуют возникновению воспалительных заболеваний мочевыводящих путей. Таким образом, к наиболее частым симптомам дизурии при краурозе относится болезненное, затрудненное и учащенное мочеиспускание. | |
| Нарушения акта дефекации (отхождения каловых масс) |
Нарушение акта дефекации развивается при распространении склеротического лишая на перианальную область. При данном заболевании происходит сужение просвета ануса, часто сопровождающееся трещинами и выпадением слизистой оболочки. Таким образом, процесс отхождения каловых масс у таких пациенток является болезненным, длительным, часто сопровождающимся запорами и ректальными кровотечениями. В результате через некоторое время у больной развивается страх к акту опорожнения кишечника из-за сопровождающих данный процесс неприятных ощущений. |
Диагностика крауроза вульвы (склеротического лишая)
Диагностика крауроза (склеротического лишая) основывается на обнаружении соответствующей клинической картины, лабораторных и инструментальных исследованиях. Данные анамнеза (опроса пациентки) при этом заболевании считаются неинформативными в связи с тем, что четкой связи с какими-либо причинными факторами не обнаружено.
К какому врачу обращаться при подозрении на крауроз вульвы (склеротический лишай)?
При подозрении на крауроз вульвы, в первую очередь, необходимо попасть на прием к врачу-гинекологу. При необходимости данный специалист направляет пациентку на дополнительные лабораторные и инструментальные исследования, по результатам которых устанавливается диагноз и назначается лечение. Если в ходе исследований открываются признаки другого заболевания, например, онкологического или венерологического, то гинеколог должен выдать пациентке направление к соответствующему специалисту – онкологу или дерматовенерологу соответственно.
Лабораторная диагностика крауроза вульвы (склеротического лишая)
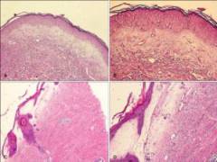
Основным и наиболее точным методом диагностики крауроза вульвы является гистологическое исследование наиболее подозрительных образцов ткани. Забор образцов может осуществляться случайно (вслепую) из нескольких зон вульвы для повышения вероятности обнаружения патологии, так и прицельно во время вульвоскопии (микроскопического исследования эпителия вульвы). Для склеротического лишая характерным является отек и мелкоклеточная инфильтрация верхнего отдела дермы, уплощение эпителия и снижение количества меланоцитов. В соединительной ткани дермы определяются участки разрушения коллагеновых и эластиновых волокон.
Помимо того, гистологический метод позволяет выявить участки гиперкератоза, лейкоплакии и клеточной атипии, позволяя своевременно диагностировать предраковые заболевания и злокачественные опухоли вульвы.
Еще одной из основных задач при краурозе вульвы является исключение похожей по клинической картине папилломовирусной инфекции. С этой целью кровь пациентки исследуется методом ПЦР (полимеразной цепной реакции) на наличие в ней вируса папилломы человека и определении его типа. Если таковой обнаруживается, то направление лечения изменяется. Если вирус не обнаруживается, то далее прибегают к методам, непосредственно определяющим изменения, характерные для склеротического лишая, в частности – к вульвоскопии.
Инструментальная диагностика крауроза вульвы (склеротического лишая)
Основным и практически единственным инструментальным методом исследования вульвы является вульвоскопия – метод микроскопического исследования вульвы непосредственно на пациентке.
Существует два вида вульвоскопии – простая и расширенная. Простая вульвоскопия предполагает визуальное исследование вульвы под многократным увеличением. Основной задачей данного метода является определение толщины кожно-слизистых покровов и обнаружение атипичных кровеносных сосудов.
Расширенная вульвоскопия предполагает использование специальных веществ (уксусная кислота, толуидиновый синий и др.) для определения зон гиперкератоза и злокачественного перерождения тканей. Данный метод исследования вульвы используется преимущественно для дифференциальной диагностики со злокачественными опухолями вульвы. Неоспоримым преимуществом данного метода является возможность прицельного взятия биопсии (кусочка) из участка пораженной заболеванием ткани для последующего ее гистологического исследования.
Когда необходимо лечение крауроза (склеротического лишая)?
Лечение крауроза показано сразу после его диагностирования, поскольку основным его направлением является приостановка прогрессии заболевания. Таким образом, чем скорее начнется лечение, тем более результативным оно окажется. Хирургические методы лечения крауроза существуют, однако их применяют при далеко зашедшем течении болезни, когда развивается сужение мочевыводящего протока, ануса, преддверья влагалища и т. п.
Лечение крауроза вульвы (склеротического лишая)
В связи с тем, что непосредственной причины, вызывающей развитие крауроза вульвы, до сих пор не найдено, профилактика и целенаправленное лечение данного заболевания не представляется возможным. Тем не менее, его патогенез достаточно хорошо изучен и влияние на его звенья приводит к замедлению прогрессии заболевания. Таким образом, при лечении склеротического лишая (крауроза) стремятся восстановить оптимальную циркуляцию крови в области вульвы, устранить воспалительные процессы и чувство кожного зуда. Достижение данных целей в основном осуществляется путем консервативного медикаментозного лечения.
Определенный эффект достигается и через применение немедикаментозных методов лечения, таких как физиотерапия, акупунктура, лазеротерапия и фотодинамическая терапия. Говоря о последнем методе, следует отметить, что его популярность в последнее время неуклонно растет, в связи с гораздо более выраженным лечебным эффектом, чем при других методах. Хирургические методы лечения применимы лишь в терминальной стадии заболевания при возникновении сужения устья уретры, спаек во влагалище и прямой кишке.
Немедикаментозное (физиотерапевтическое) лечение крауроза вульвы (склеротического лишая).
В число немедикаментозных методов лечения крауроза вульвы входит ультрафиолетовое облучение, лазеротерапия, ультразвуковая терапия, иглоукалывание и др. Важно отметить, что данные методы наиболее эффективны при комплексном лечении.
Основной задачей физиотерапии крауроза вульвы является подавление воспалительного процесса и улучшение кровообращения в области вульвы.
Исключительно важно отметить, что данные типы физиотерапии абсолютно противопоказаны при наличии любого злокачественного процесса в организме, в связи с резким ускорением его прогрессии. Кроме того, всегда нужно прислушиваться к своим ощущениям. Если после нескольких процедур больная определяет ухудшение состояния, то следует, как минимум, уменьшить дозу, пересмотреть режим процедур или совсем их отменить.
Методы физиотерапевтического лечения крауроза вульвы
| Физиотерапевтический метод | Рекомендации | Терапевтический эффект |
| Ультрафиолетовое облучение | Облучение провидится только на область наружных половых органов ежедневно или через день. Начинают с одной биодозы, затем добавляют по половине биодозы на каждый сеанс до достижения трех биодоз. Курс лечения состоит из 10 – 15 процедур. | Ультрафиолетовые волны обладают поверхностным противовоспалительным действием, а также стимулируют восстановительные процессы в облучаемых тканях. |
| Ультразвук | Ультразвуковое воздействие осуществляется на область вульвы интенсивностью звука в 0,2 — 0,4 Вт/см2 в импульсном режиме. Процедуры проводятся ежедневно или через день. Длительность процедуры – 3 — 4 минуты. Курс лечения включает 10 процедур. Приветствуется комбинирование ультразвука с нанесением гормональных мазей и кремов в связи с более глубоким их всасыванием и более длительным депонированием. | Ультразвук вызывает незначительные колебания в глубине кожных покровов, благоприятно воздействуя на тонус подлежащих кровеносных сосудов и устраняя застойные явления. Улучшение трофики тканей приводит к замедлению процессов распада коллагеновых и эластиновых волокон, замедляя прогрессию крауроза и даже частично восстанавливая поврежденные ткани. |
| Лазеротерапия | Лазеротерапия осуществляется локально на область вульвы относительно невысоким по мощности излучением в 1 — 2 мВт/см2 в импульсном режиме. Длительность процедуры – 2 — 3 минуты. Курс состоит из 10 процедур, проводимых ежедневно. | Лучи лазера насквозь проникают через кератин, поглощаясь тканями красного цвета, то есть, в первую очередь, кровеносными сосудами, красными кровяными тельцами и мышечными волокнами. Это, в свою очередь, ведет к увеличению тонуса сосудов и стягиванию кожной мускулатуры. Вышеперечисленные эффекты приводят к уменьшению застойных явлений в тканях вульвы. |
| Рефлексотерапия (иглоукалывание) |
Воздействие на энергетические центры организма путем их раздражения тончайшими стерильными иглами. Длительность процедуры может разниться, как и частота сеансов. Курс лечения состоит из 15 — 20 процедур. При данном типе физиопроцедур исключительное значение имеет квалификация и опыт мастера. | Воздействие на определенные энергетические центры организма ведет к увеличению скорости обмена веществ в тканях промежности. Это, в свою очередь, ведет к замедлению процессов дезорганизации соединительной ткани и остановке прогрессии склеротического лишая. |
Медикаментозное лечение крауроза вульвы (склеротического лишая)
Медикаментозное лечение при краурозе вульвы по праву считается основным в связи с наиболее высокой его эффективностью. Применяются преимущественно местные формы лекарственных средств. Мази и кремы наносятся 1 — 2 раза в день на чистую кожу, слегка втирая. Примочки используются реже в связи с неудобством их применения.
Лекарственные средства, применяющиеся при лечении крауроза вульвы
| Лекарственное средство | Лекарственная форма | Режим дозирования | Терапевтический эффект |
| Эстриол (овестин) |
Вагинальный крем 1 мг/г – 15г. | 1 — 2 раза в сутки на протяжении длительного времени. | Замедление процессов атрофии вульвы. Преимущественно назначается, если больные предъявляют жалобы на сухость влагалища и боль во время полового акта. |
| Прогестерон (крайнон) |
Вагинальный гель в пакетах с аппликатором 90 мг. | 2 раза в неделю на протяжении длительного времени. | Ускорение метаболизма кожно-слизистых покровов вульвы. В сравнении с эстриолом обладает более выраженным противозудным действием, однако менее эффективен при диспареунии (болезненности при половом акте) из-за сухости влагалища. |
| Тестостерон (андрогель) | Крем 10 мг/г – 75мг. | 2 раза в сутки в течение 2 — 3 недель. | Ускорение процесса роста и дифференциации коллагена – основного белка соединительной ткани. Более выраженный противозудный эффект по сравнению с эстриолом и прогестероном. |
| Гидрокортизон (локоид) | Мазь 1% — 10 г. | 2 — 3 раза в сутки курсами по 15 — 30 дней с перерывами на 2 — 3 месяца. | Препараты группы глюкокортикостероидов обладают наиболее выраженным противозудным действием, которое только возможно. Кроме того, они замедляют воспалительные процессы в тканях, блокируя их механизмы сразу в нескольких точках. Тем не менее, при длительном местном использовании развивается атрофия кожных покровов, в связи с чем длительность приема препарата должна быть ограничена. |
| Преднизолон | Мазь 0,5% — 15г. | ||
| Бетаметазон (акридерм) | Крем 0,064% — 15 г. | ||
| Триамцинолон (фторокорт) | Мазь 0,1% — 15г. |
Выбор конкретного препарата и метода его применения осуществляется исключительно врачом с учетом индивидуальных особенностей пациентки и сопутствующих заболеваний.
Лечение крауроза вульвы (склеротического лишая) лазером
Лазеротерапия крауроза вульвы является одним из современных и перспективных методов лечения данного заболевания. Его эффективность наиболее высока на ранних стадиях болезни, пока соединительнотканная основа вульвы еще не претерпела серьезных изменений.
В лечении используются гелий-неоновые лазеры, способные проникать вглубь кожи, воздействуя не подлежащие мягкие ткани. При использовании лазера удается уменьшить интенсивность воспалительного процесса, который вероятнее всего и приводит к характерным для крауроза изменениям тканей вульвы. Вместе с устранением воспалительного процесса значительно уменьшается кожный зуд. Тем не менее, лазер не влияет на процессы восстановления разрушенных соединительнотканных и эластических волокон, чем и объясняется его бесполезность на терминальных стадиях заболевания.
Процедуры не требуют госпитализации, а проводятся амбулаторно. Во время сеанса происходит воздействие на всю площадь вульвы с более интенсивным влиянием на наиболее внешне измененные ткани. Длительность одного сеанса может разниться, однако в среднем составляет от 3 до 10 минут. Курс лечения состоит из 15 — 25 процедур, производимых ежедневно. Положительным считается результат, когда уменьшается выраженность зуда, снижается количество телеангиэктазий (сосудистых звездочек) и мелких подкожных кровоизлияний. Кожа становится чище и здоровее на вид. Несомненным плюсом является практически полное отсутствие побочных эффектов данной терапии. Тем не менее, положительных результатов удается достичь не всегда, о чем следует помнить, выбирая данный метод лечения.
Существует ряд ограничений данного метода, о которых обязательно следует упомянуть. Основным противопоказанием является присутствие любого злокачественного процесса в организме, особенно в области вульвы. Даже лейкоплакия (плоскоклеточная гиперплазия) вульвы, являющаяся предраковым состоянием, является противопоказанием, в связи с ускорением темпов малигнизации и соответственно укорочением жизни пациентки. Именно по этой причине, перед тем как приступить к лечению крауроза вульвы лазером следует провести вульвоскопию и гистологическое исследование наиболее измененных участков ткани и убедиться в доброкачественности процесса. Также лечение лазером противопоказано больным, успешно оперированным по поводу рака промежности и органов малого таза.
Еще одним ограничением является наличие одного из инфекционных заболеваний половой сферы, особенно в остром периоде. После его излечения, подтвержденном лабораторно и клинически, можно приступить к лазеротерапии. Таким образом, помимо вульвоскопии и гистологического исследования при подготовке к лечению крауроза вульвы лазером следует произвести посев флоры влагалища.
В заключение следует напомнить, что крауроз является относительно малоизученным заболеванием. Ни один из предложенных на сегодняшний день методов лечения не является идеальным, поэтому для достижения наилучшего результата рекомендуется использовать все методы в комплексе. Не следует отказываться от медикаментозных методов лечения на время лечения лазером.
Фотодинамическая терапия крауроза вульвы (склеротического лишая)
Фотодинамическая терапия крауроза вульвы является современным и высокоэффективным методом лечения данного недуга путем комбинирования лекарственных средств и лазерного излучения.
Суть метода заключается во внутривенном введении пациентке специального вещества, которое активно поглощается соединительнотканными клетками тела. При воздействии на данное вещество фотонов определенной длины волны (лазера) оно трансформируется в яд, уничтожающий клетки, в которых он накопился. По прошествии двух часов данное вещество самостоятельно выводится из организма в составе мочи, не вызывая отсроченных побочных эффектов.
В отличие от простой лазеротерапии гелий-неоновым лазером метод фотодинамической терапии обладает гораздо большей селективностью к патологически измененным тканям. Лазером в данном случае поражаются исключительно ненужные клетки соединительной ткани, в то время как многослойный плоский эпителий вульвы остается незатронутым. Спустя несколько недель участки, где раньше была соединительная ткань, заполняются полностью функциональным плоским эпителием. Функции вульвы и ее состояние значительно в большей мере восстанавливаются, чем при любом другом виде терапии.
Говорить о том, что фотодинамическая терапия способна полностью избавить пациенток от крауроза несколько преждевременно. Данный метод еще достаточно молод, чтобы делать такие заключения. По прошествии нескольких лет (в некоторых случаях и меньше) соединительнотканные клетки снова начинают замещать здоровый эпителий вульвы. Таким образом, заболевание никуда не исчезает, однако метод фотодинамической терапии позволяет надолго забыть о его симптомах и вести полноценную во всех отношениях жизнь. Более того, пока не существует данных о вреде повторных курсов фотодинамической терапии, поэтому по мере повторного появления симптомов заболевания можно еще раз провести процедуру и восстановить слизистую оболочку родовых путей еще на некоторый срок.
Хирургическое лечение крауроза вульвы (склеротического лишая)
Хирургическое лечение крауроза вульвы можно назвать паллиативным, поскольку его целью является не излечение больной, а уменьшение выраженности ее страданий. Оперативные вмешательства при краурозе вульвы применяются в терминальных стадиях заболевания, когда развиваются стенозы (сужения просвета) и выпадения влагалища, уретры или прямой кишки. Их целью в подавляющем большинстве случаев является восстановление проходимости вышеупомянутых каналов и возвращение способности к нормальным физиологическим актам.
Ранее активно практиковались различные хирургические методики, направленные на улучшение трофики тканей вульвы путем ее денервации (разрушения подходящих к ней нервов), разрушения вульвы с последующим ее заращением и др.
К сожалению, ни один из вышеперечисленных методов не прижился в связи с гораздо более серьезными осложнениями, чем само заболевание. К наиболее практикующимся на сегодняшний день манипуляциям относится криодеструкция (охлаждение жидким азотом) и лазерная абляция. Данные методы не предполагают использование скальпеля, а их эффективность является приемлемой.
Народные методы лечения крауроза вульвы (склеротического лишая) в домашних условиях
Для начала следует отметить тот факт, что объективной оценки народных методов лечения в большинстве случаев не существует в связи с тем, что она требует серьезных исследований на большом количестве пациенток. Поэтому достоверную информацию о степени эффективности того или иного народного рецепта получить крайне сложно.
Тем не менее, целебные свойства лекарственных растений известны давно, что в совокупности со знаниями о патогенезе (развитии) заболевания позволяет выбрать те из них, которые теоретически оказали бы положительное действие.
Так, при краурозе вульвы следует выбирать лекарственные растения с противовоспалительным эффектом и из них готовить отвары, экстракты, мази, компрессы и другие лекарственные формы. Ярким примером растения с выраженным противовоспалительным действием является полевая ромашка, а именно ее цветы. При ее отсутствии можно успешно воспользоваться и зверобоем, календулой, чабрецом и др.
Применяются также вещества и растения с раздражающими свойствами, однако с высокой осторожностью в связи с опасностью ожога нежных тканей вульвы. К представителям данной группы относится редис, хрен, горчица, этиловый спирт и др.
Дозировку следует рассчитывать опытным путем самостоятельно, поскольку даже в серьезных сборниках народной медицины количество любого вещества указывается приблизительно. Рекомендуется не гнаться за высокой концентрацией полученного раствора или вытяжки. Напротив, лучше применять низкоконцентрированные растворы, но чаще. Комбинировать растения также не рекомендуется, поскольку если их эффект окажется отрицательным, то не будет ясно на какое из них именно. Внутрь полученные средства не используют ни в коем случае, только местно. Компрессы или мази из трав с противовоспалительным эффектом наносят на насколько часов (не более 4 — 5 часов). Раздражающие вещества помещают на нежную кожу вульвы только в низких концентрациях на короткий срок (не более 10 — 15 минут). Температура веществ должна быть комнатной, телесной или несколько выше телесной.
Напоследок следует напомнить, что основным правилом народной медицины, как и медицины в целом, является «не навреди». Это означает, что пробовать какие-либо неизвестные рецепты нужно с осторожностью, и при появлении побочных эффектов следует немедленно прервать лечение и проконсультироваться со специалистом.

В чем разница между краурозом (склеротическим лишаем) и лейкоплакией (плоскоклеточной гиперплазией) вульвы?
Крауроз и лейкоплакия вульвы являются различными заболеваниями, однако, имеют общее происхождение. При естественном течении крауроз со временем может перейти в лейкоплакию, но не наоборот. Основным отличием между данными заболеваниями является то, что лейкоплакия является предраковым заболеванием, а крауроз вульвы – нет.
Крауроз представляет собой атрофическое заболевание кожи и подкожной жировой клетчатки области вульвы. Клинически оно проявляется прогрессивным истончением кожи, ломкостью кровеносных сосудов, разрушением эластических и соединительнотканных волокон. В результате вышеперечисленных изменений визуально кожа становится несколько отекшей, блестящей, бледной с многочисленными мелкоточечными и мелкоочаговыми подкожными кровоизлияниями. Разрушение эластических и соединительнотканных волокон кожи и подкожной клетчатки ведет к разрушению каркаса кожи, в результате чего происходит ее стягивание. Клинически это проявляется сужением просвета уретры, преддверья влагалища и ануса, исчезновением волосяного покрова на половых органах, уменьшением их пигментации. Наружные половые органы сильно уплощаются. Слизистые железы перестают функционировать, из-за чего отмечается сухость слизистых оболочек половых органов. Сильный зуд отмечается практически во всех случаях крауроза вульвы. Таким образом, крауроз является истинно дегенеративным заболеванием.
Лейкоплакия, как и крауроз, развивается из-за ухудшения локального кровообращения вульвы. Второе названием данного заболевания – плоскоклеточная гиперплазия вульвы, более точно отражает его суть. Вместо истончения эпителия происходит его утолщение и отшелушивание за счет ускорения темпов деления клеток базального слоя эпидермиса. В результате на коже и слизистых оболочках половых органов появляются белые и плотные островки гиперкератоза. Стягивания кожи и сужений просвета уретры, преддверья влагалища и ануса не происходит. Зуд отмечается значительно реже, чем при краурозе, из-за чего плоскоклеточный гиперкератоз у большинства пациенток длительное время остается недиагностированным. К сожалению, довольно часто это становится причиной злокачественного перерождения вышеперечисленных кожных изменений в агрессивный плоскоклеточный рак.
Опытный врач-гинеколог, опираясь лишь на клинические изменения кожно-слизистых покровов вульвы, сможет отличить крауроз от лейкоплакии (плоскоклеточного гиперкератоза). Тем не менее, такие диагнозы требуют уточнения, для чего часть подозрительного эпителия исследуется гистологически. По результатам исследования выдается заключение, на основании которого определяется тактика последующего лечения. При краурозе в биоптате (участке исследуемой ткани) определяется мелкоклеточная инфильтрация, снижение количества меланоцитов, истончение эпителия, атрофия волосяных фолликул, атрофия сальных и слизистых желез, а также дезорганизация соединительнотканных и эластических волокон. При плоскоклеточном гиперкератозе обнаруживаются участки утолщенного и расслоенного эпителия. При цитологическом исследовании могут определяться клетки с тем или иным уровнем атипии (злокачественности).
Лечение крауроза является консервативным медикаментозным. Применяются преимущественно противовоспалительные, антигистаминные, а также средства, улучшающие микроциркуляцию. В последние несколько лет набирает популярность метод фотодинамической терапии. Хирургическое лечение применяется исключительно редко, только при серьезных сужениях преддверья влагалища, уретры и ануса. Лейкоплакия, напротив, изначально лечится хирургическими методами в связи с высокой вероятностью озлокачествления. Целью лечения является устранение предракового заболевания до момента его злокачественного перерождения. В некоторых случаях могут быть назначены дополнительные курсы химиотерапии и лучевой терапии.
Прогноз крауроза считается благоприятным, несмотря на то, что заболевание приносит женщинам серьезные неудобства и значительно снижает качество их жизни. Прогноз лейкоплакии несколько хуже, из-за серьезной вероятности озлокачествления. В связи с вышесказанным всем женщинам старше 35 лет настоятельно рекомендуется посещать гинеколога не реже одного раза в год.
Какие мази наиболее эффективны при краурозе (склеротическом лишае)?
Однозначного ответа на данный вопрос не существует в связи с тем, что крауроз является заболеванием с неустановленной причиной. Все существующие лекарственные средства действуют на определенные звенья предположительного механизма развития заболевания. Эффективность данных средств может разниться в зависимости от индивидуальных особенностей каждого организма. Тем не менее, путем многочисленных наблюдений, выработана рекомендуемая последовательность применения лекарственных веществ.
Основой лечения крауроза являются средства местного применения, то есть мази, кремы и компрессы. Одним из преимуществ такого лечения является создание высоких концентраций препарата непосредственно в пораженных заболеванием тканях. Проникновение лекарственных веществ в кровь при местном применении минимально, что практически сводит на нет риски системных побочных эффектов, а учитывая то, что большинство мазей и кремов для лечения крауроза содержит гормоны в качестве действующего вещества, то их побочные эффекты могли бы быть достаточно серьезными.
Условно мази для лечения крауроза делят на препараты первой и второй линии.
Препараты первой линии
По мнению большинства специалистов, препаратами первой линии при краурозе являются мази и крема на основе женских половых гормонов. Выбор конкретного препарата зависит от совокупности сопутствующих жалоб больной.
При жалобах на сухость и боль во влагалище, в особенности во время полового акта, рекомендуются препараты, содержащие женский половой гормон эстриол. Его эффект заключается в восстановлении микроциркуляции вульвы и стимуляции ее слизистых желез. Также препарат оказывает слабое противозудное действие. Одним из наиболее распространенных коммерческих наименований данного препарата на постсоветском пространстве является овестин, выпускающийся в форме вагинального крема с концентрацией активного вещества 1 мг/г в металлической тубе на 15 г. Эффект препарата развивается через несколько дней использования и длится ровно столько, сколько он применяется. Наносить крем следует 1 — 2 раза в сутки ежедневно. При появлении побочных эффектов, таких как появление крапивницы или усиление кожного зуда следует сразу же прекратить прием овестина и обратиться к врачу для подбора более подходящего препарата.
Еще одним препаратом первой линии для лечения крауроза является крайнон. Данный препарат выпускается в виде пакетиков с аппликаторами, содержащих вагинальный гель массой 90 мг. Действующим веществом является прогестерон, концентрация которого в геле составляет 8%. Применять препарат следует реже – 1 раз в 3 — 4 дня, то есть ориентировочно 2 раза в неделю, что значительно удобнее, чем при использовании овестина. Такая кратность приема объясняется тем, что активное вещество связывается с эпителием вульвы и оказывает эффект на протяжении более длительного времени. Данный препарат следует применять пациенткам, основной жалобой которых является кожный зуд. При атрофических изменениях кожи и слизистых желез данный препарат менее эффективен. Длительность лечения, как и в предыдущем случае, не ограничена. При появлении побочных эффектов прием препарата следует немедленно прекратить.
Препараты второй линии
Одним из препаратов второй линии в лечении крауроза является андрогель, активным веществом которого является тестостерон в концентрации 10 мг/г. Эффект данного препарата заключается в восстановлении соединительнотканных и эластиновых волокон в пораженной области, что значительно замедляет течение заболевания. Кроме того, противозудное действие тестостерона значительно сильнее, чем у препаратов женских половых гормонов, в связи с чем он назначается лишь после того, как препараты первой линии оказались неэффективными. Мазь наносится на вульву 2 раза в сутки на протяжении 2 — 3 недель. Более длительное использование препарата не рекомендуется в связи с возрастанием риска его побочных эффектов. Повторные курсы препарата допускаются только по прошествии нескольких месяцев.
Наконец, основными препаратами второй линии в лечении крауроза являются глюкокортикостероидные мази. В их число входит гидрокортизон (локоид), преднизолон, бетаметазон (акридерм) и триамцинолон (фторокорт). Преимуществом данной группы мазей является быстрый и комплексный эффект. Противозудный эффект данных препаратов является наиболее сильным, поскольку он осуществляется сразу по нескольким механизмам. Кроме того, глюкокортикостероидные мази исключительно эффективно устраняют воспалительный процесс. Наносить такие мази нужно 2 — 3 раза в сутки на протяжении не более одного месяца. Более длительный прием чреват развитием более выраженной кожной атрофии. Повторный курс лечения проводится не ранее, чем через 2 — 3 месяца.
Можно ли окончательно вылечить крауроз (склеротический лишай)?
К сожалению, окончательное излечение крауроза вульвы невозможно, поскольку причина данного заболевания на сегодняшний день неизвестна. Тем не менее, на сегодняшний день существует лечение, позволяющее в значительной мере восстановить нормальный эпителий вульвы и ослабить симптомы крауроза.
Крауроз отличается, например, от пневмонии или вируса гриппа тем, что причина, вызывающая развитие данного заболевания, на сегодняшний день не установлена, соответственно нельзя ее искоренить. Большинство ученых склонны считать крауроз обменным или дегенеративным заболеванием, для которого характерно наличие большого количества причинных факторов. Если причин много, то повлиять на все из них не представляется возможным.
Тем не менее, механизм развития заболевания уже изучен достаточно глубоко. Эти знания позволили выработать эффективные методы патогенетического лечения. В частности, улучшение микроциркуляции в области вульвы и блокирование иммунных процессов замедляет прогрессию склеротического лишая. Эффективность половых гормонов позволяет сделать вывод о том, что в патогенезе заболевания присутствует элемент их дефицита, восполняя который удается замедлить процессы атрофии кожно-слизистых покровов половых органов.
Высокой популярностью в последнее время пользуются методы лечения крауроза лазером, в частности метод фотодинамической терапии. Его преимущество заключается в избирательном уничтожении соединительной ткани в области вульвы, сохраняя при этом нормальный плоский эпителий. Спустя несколько недель на месте разрушенной соединительной ткани появляется полностью функциональный плоский эпителий вульвы. Данный метод позволяет надолго избавиться от всех признаков заболевания и вернуть былое здоровье. Однако из-за того, что причины заболевания не искоренены, со временем оно снова начинает проявляться. В этом случае очередной курс фотодинамической терапии отсрочит симптомы заболевания еще на несколько лет.
Наука не стоит на месте, и в ближайшем будущем ожидается открытие новых способов лечения неизлечимых ранее заболеваний. Большие надежды возлагаются на методы генной инженерии, позволяющие еще на стадии планирования беременности оберечь будущего ребенка от обменных, аутоиммунных и генетических заболеваний. Вполне возможно, что и метод предотвращения крауроза вульвы также будет найден.
Существует ли крауроз (склеротический лишай) у мужчин?
Такое заболевание как крауроз полового члена существует, однако его встречаемость среди населения крайне низка. Кроме того, данное заболевание не имеет практически ничего общего с краурозом вульвы у женщин, кроме внешних изменений. Именно по внешним признакам данному заболеванию было дано название крауроз, что в переводе с греческого языка означает сморщивание.
Основным отличием крауроза полового члена от крауроза вульвы является его вторичность. Иными словами, его развитие связывают с многочисленными предшествовавшими травмами, инфекциями или хирургическими операциями на крайней плоти и головке полового члена, в то время как крауроз вульвы является скорее самостоятельным заболеванием, а не осложнением. В пользу данного мнения свидетельствует тот факт, что крауроз полового члена протекает практически всегда бессимптомно, в то время как при краурозе вульвы в 98% случаев присутствует сильный зуд. Тем не менее, нужно отметить, что некоторые авторы допускают развитие данного заболевания у мужчин без предшествовавших травматизирующих причин, то есть первично.
Изменения, происходящие в тканях полового члена, развиваются очень медленно, поэтому мужчины часто не придают им значения, списывая все на естественные изменения детородного органа при старении. Основной причиной обращения к врачу является задержка мочеиспускания из-за фимоза (сужения крайней плоти).
Лечение данного состояния зависит от стадии, на котором оно было диагностировано. На ранних стадиях применяются кремы и мази на основе половых гормонов (овестин, крайнон, андрогель), а также на основе глюкокортикостероидов (локоид, преднизолон, акридерм, фторокорт и др.). Применяются также физиопроцедуры и лазеротерапия. На поздних стадиях, когда развивается стеноз уретры, прибегают к хирургическому его лечению. В зависимости от выраженности стеноза и вероятности удачной пластики пениса используют те или иные методы восстановления оттока мочи.
Прогноз крауроза полового члена является положительным. Тем не менее, в ряде случаев данное заболевание трансформируется в рак головки полового члена или рак крайней плоти, в связи с чем таким больным настоятельно рекомендуется находиться под наблюдением уролога.
Нужно ли особое питание при краурозе вульвы (склеротическом лишае)?
Однозначного ответа на данный вопрос нет, однако большинство врачей считает, что правильное питание при краурозе вульвы, как минимум, не повредит.
Как и при большинстве заболеваний, диета при краурозе предполагает отказ от острой, соленой, жирной, жареной пищи. Рекомендуется уменьшить или вовсе отказаться от таких продуктов как кофе, шоколад, конфеты, хлебобулочные изделия и др.
Кофе и шоколад, например, раздражающе действует на нервную систему. Сладости состоят преимущественно из легкоусваиваемых углеводов, которые пригодны лишь для резкого повышения уровня глюкозы в крови. Из них организм ничего построить не может, кроме жировых отложений.
Ежедневно следует употреблять кисломолочные продукты (кефир, ряженку, сметану). Молоко же, рекомендуется лишь в том случае, если оно не вызывает расстройства желудка, причем не ежедневно и в небольших количествах. Мясные продукты должны присутствовать на столе не реже двух раз в неделю, но и не чаще четырех раз. Кушать мясо ежедневно вредно. Преимущественно следует использовать диетические виды мяса. Рыбу можно употреблять 3 — 4 раза в неделю, поскольку она является богатым источником белка, фосфора, витаминов А, Д и E. Предпочтительно готовить рыбу свежей, а не покупать консервы.
Ежедневно в утреннее время рекомендуется выпивать стакан свежевыжатого сока, причем исключительно приветствуется, если его приготовят из смеси овощей и фруктов. Благоприятным сочетанием является яблоко и тыква, яблоко и красная свекла, груша и морковь. Помимо сока при каждой трапезе необходимо употреблять небольшое количество салата или отдельно овощей/фруктов. В качестве заправки к салатам следует использовать подсолнечное или оливковое масло. Оно крайне богато неразветвленными жирными кислотами, из которых впоследствии формируются элементы клеточных стенок. Еще одним источником данных веществ является сливочное масло. Маргарин же содержит лишь разветвленные жирные кислоты, которые полезны лишь для расщепления с целью получения энергии, поэтому его, в принципе, не рекомендуют употреблять в пищу.
Относительно кратности питания следует добавить, что питаться нужно 5 — 6 раз в сутки. Такой режим не обязательно приводит к набору массы. Напротив, если кушать небольшими порциями, не переедая, то тело через некоторое время самостоятельно выйдет на оптимальную для него массу.
Правильный водный режим также необходим. Взрослому человеку в относительно полном здравии необходимо в день выпивать от 1,5 до 3 литров воды и даже более в зависимости от климата и интенсивности физической нагрузки. Однако учитывая то, что большинство больных краурозом вульвы преимущественно старше 60 лет, нормы употребления воды следует снизить на 40 — 60% в связи с часто встречающимися в данном возрасте заболеваниями (гипертоническая болезнь, хроническая сердечная недостаточность и почечная недостаточность, а также хроническая обструктивная болезнь легких).
Таким образом, питаясь правильно, больные краурозом женщины поставляют в организм все необходимые вещества для успешного противостояния заболеванию. Разумеется, рассчитывать только на диету недостаточно для облегчения состояния, однако в совокупности с современным лечением диета оказывает лечебное, общеукрепляющее действие.

