Перекрут яичника и маточной трубы. Причины, симптомы, диагностика, лечение и профилактика

Содержание статьи:

Часто задаваемые вопросы




Сайт предоставляет справочную информацию. Адекватная диагностика и лечение болезни возможны под наблюдением добросовестного врача. У любых препаратов есть противопоказания. Необходима консультация специалиста, а также подробное изучение инструкции!

Перекрут придатков матки представляет собой серьезную гинекологическую патологию, которую относят к неотложным состояниям. Это значит, что диагностика и лечение должны быть начаты как можно быстрее во избежание серьезных осложнений. В противном случае под угрозу будет поставлена жизнь пациентки. Болезнь заключается в перекруте анатомических образований, относящихся к придаткам матки. Чаще всего это яичники и маточные трубы. На практике часто также встречается перекрут ножки новообразований в этой области.

 
Непосредственная угроза для пациентки при перекруте придатков матки заключается в том, что нарушается кровоснабжение органов. Из-за этого развивается воспалительный процесс, а при позднем начале лечения и некроз (гибель) тканей. В результате воспаление может распространиться в полости малого таза, вызвав развитие перитонита.
 
В медицинской практике перекрут придатков матки встречается довольно редко. Его частота составляет примерно 5 – 7% от всех острых гинекологических патологий. Чаще всего болезнь сочетается с крупными опухолями или кистами яичника, которые и становятся причиной перекрута. Патология встречается практически в любом возрасте. У девочек возможен перекрут здорового яичника или маточной трубы. У взрослых женщин обычно имеется сочетание с другими болезнями. Дополнительным фактором риска является беременность, так как постепенно увеличивающаяся матка раздвигает соседние органы и может поспособствовать перекруту.

Анатомия придатков матки

Придатки матки представляют собой совокупность органов и тканей, расположенных в малом тазу. Входящие в состав внутренних половых органов, придатки матки имеют исключительно важную задачу в процессах беременности и менструации. Помимо этого, придатки матки (в частности, яичники) воздействуют на многие гормональные процессы, протекающие в женском организме. Они оказывают большое влияние на развитие женской половой системы в целом.
 
К придаткам матки обычно относят следующие органы и ткани:
  • маточные трубы;
  • яичники;
  • связки матки.

Маточные трубы

Маточные трубы являются парными полыми органами, осуществляющими передачу оплодотворенной яйцеклетки в полость матки. Эти органы имеют форму цилиндрической трубки длинной от 10 до 12 см, которые начинаются между боковой стенкой тела матки и ее дном. Маточные трубы находятся рядом с верхним краем широкой связки, загибаются вниз, продлеваясь медиально (сбоку) от яичника, и заканчиваются брюшным отверстием маточной трубы. Кровоснабжение маточных труб обеспечивается маточной и яичниковой артериями.
 
С точки зрения анатомии маточные трубы состоят из следующих частей:
  • Интрамуральный участок (маточная часть) - данный элемент маточных труб располагается в стенке матки и соединяется с ее полостью. Просвет маточной части является наиболее узким. Его ширина составляет в норме всего 1 мм.
  • Перешеек. Перешейком называется узкий (диаметром около 3 мм) участок маточной трубы, который образует боковой изгиб. Он следует за интрамуральным участком.
  • Ампула – это наиболее широкий и наиболее длинный участок маточный трубы. Диаметр ампулы составляет около 8 мм. Данный участок имеет дугообразную форму. В норме он является местом оплодотворения яйцеклетки. Оно происходит вследствие слияния яйцеклетки, движущейся со стороны яичника, и сперматозоида, двигающегося из полости матки.
  • Воронка – это конечный элемент маточной трубы, снабженный брюшным отверстием. Воронка окружена по краям так называемыми фимбриями (бахромками). Часть фимбрий располагается в непосредственной близости от яичников. Созревшая яйцеклетка попадает в брюшную полость, но тут же захватывается бахромками и направляется внутрь маточной трубы.
Основной функцией маточных труб является транспорт зрелой яйцеклетки в полость матки. Внутри тела матки она прикрепляется и ждет оплодотворения. Помимо прочего, большим значением обладает поддержание оптимальных условий среды для процесса овуляции (созревания и выхода яйцеклетки). Выполнению данных функций способствует строение стенок маточных труб. Каждая из них состоит из нескольких слоев - серозной оболочки, мышечного слоя и слизистой оболочки. Последние два слоя имеют наибольшее значение - наличие продольных складок и особых ресничек на слизистой оболочке матки и осуществление продольных сокращений мышечного слоя, способствуют продвижению яйцеклетки далее по маточным трубам к полости матки.
 
Таким образом, любые патологические процессы, затрагивающие маточные трубы, в первую очередь представляют угрозу для репродуктивной функции. Если проходимость маточных труб снижена, либо отсутствуют мышечные сокращения, это чревато внематочной беременностью. При этом оплодотворенная яйцеклетка не доходит до тела матки, и плод начинает развиваться внутри маточной трубы.

Яичники

Яичники располагаются по бокам от тела матки. Это парные органы, имеющие овальную форму. Спереди и сзади яичник как бы сдавлен (его переднезадний диаметр меньше бокового). В норме яичник имеет около 3 – 4 см в длину и 2 – 2,5 в ширину. Масса яичника составляет около 6 – 7 г. У девочек до периода полового созревания он меньше, чем у женщин в репродуктивном возрасте. Размеры могут несколько варьировать в зависимости от фазы менструального цикла.
 
Яичник имеет две поверхности - внутреннюю (медиальную) и боковую (латеральную). Задний край яичника называют свободным. Он несколько выпуклый и не крепится к другим органам. Передний же край называется брыжеечным. Здесь орган крепится к листкам брюшины. Помимо этого различают маточный конец (связанный с маткой посредством собственной связки яичника) и трубный конец (крепится к боковой стенке таза за счет подвешивающей связки яичника). Рядом с яичниками проходят маточные артерии, мочеточники и подвздошные артерии, чье положение необходимо учитывать в ходе операций. При перекруте органа эти анатомические образования могут оказаться вовлеченными в патологический процесс, что отразится на их работе.
 
Яичник состоит из следующих частей:
  • Строма яичника – это прослойка из соединительной ткани, находящаяся под зародышевым эпителием. Данный элемент яичника содержит в себе большое количество эластических волокон.
  • Ворота яичника – это углубление в брыжеечном краю яичника. Сквозь эту часть в орган проходят артерии, вены, нервные окончания и лимфатические сосуды, обеспечивающие его работу.
  • Внутренний слой (мозговое вещество) – это наиболее глубокий слой яичника, который состоит из соединительной ткани и содержит множество нервов, кровеносных и лимфатических сосудов. Здесь реализуются основные функции яичника.
  • Наружный слой (корковое вещество) – это наиболее плотный слой, который состоит из соединительной ткани и несет в себе созревающие яичниковые фолликулы. Именно благодаря этому слою происходит процесс созревания яйцеклетки и производство женских половых гормонов.
Основа патологического процесса при перекруте придатков матки заключается в прекращении кровоснабжения пораженных участков (чаще всего яичников). Основной артерией, питающей яичники, является яичниковая артерия. Она представляет собой ответвление брюшной аорты, которое спускается вместе с мочеточником вниз, продолжается вдоль верхней части широкой маточной связки, после чего одна ветвь проходит к яичнику и маточной трубе. Далее ответвление соединяется (анастомозирует) с маточной артерией. Это улучшает кровоснабжение органа. Если по одной из артерий кровь перестает поступать (тромб, разрыв или сдавливание), то вторая еще некоторое время частично питает эту область.
 
В женском организме яичники выполняют следующие функции:
  • Репродуктивная функция. Данная функция заключается в способности женского организма к самовоспроизведению. Выполнение данной функции обеспечивается в ходе менструального цикла, в течение которого происходит рост фолликулов и формирование зрелой яйцеклетки. Помимо этого происходит синтез гормонов (эстрогены, прогестерон, частично андрогены). Их попадание в кровь влияет на слизистую оболочку матки, подготавливая ее для закрепления оплодотворенной яйцеклетки. В случае успешного оплодотворения начнется рост плода.
  • Вегетативная функция. Данная функция заключается в поддерживании половых органов в нормальном состоянии и обеспечении их корректного кровоснабжения и питания. Она также реализуется через гормоны.
  • Гормональная функция – это способность организма вырабатывать специфические женские гормоны, оказывающие влияние на весь организм и регулирующие работу других систем организма. Именно благодаря нормальной работе яичников происходит набор массы по женскому типу, увеличиваются молочные железы.

Связочный аппарат матки

В обязанности связочного аппарата матки входит поддержание матки, яичников и смежных органов в устойчивом положении в полости малого таза. Выполнение данной функции ложится на подвешивающий аппарат (связки), закрепляющий аппарат (фиксирующие связки) и опорный аппарат (дно малого таза).
 
Нормальное положение придатков матки обеспечивают следующие связки:
  • Широкие связки матки. На их задних лепестках располагаются яичники, а по их верхнему краю пролегают маточные трубы. Эти связки довольно широкие и дают придаткам некоторую подвижность.
  • Собственные связки яичников. Они проходят от яичников к области, лежащей под местом отхождения маточных труб.
  • Воронко-тазовые связки. Эти связки соединяют стенку таза с маточной трубой. Перекрут здоровых яичников возможен лишь в том случае, когда эти связки ослаблены.
При возникновении инфекционного, воспалительного или онкологического поражения придатков матки патологический процесс может перекинуться на соседние органы и ткани. Наиболее вероятным путем распространения патогенных агентов окажется матка, а впоследствии и остальные органы мочеполовой системы. Если же заболевание затронет кровеносную или лимфатическую систему, возможно поражение всего организма.
 
В патологический процесс в результате перекрута придатков матки могут быть вовлечены следующие соседние органы:
  • тело матки;
  • брюшина;
  • мочевой пузырь;
  • мочеточники;
  • петли тонкого кишечника;
  • слепая и сигмовидная кишка.

Причины перекрута придатков матки

Причин перекрута придатков матки может быть много. Прежде всего, это связано с тем, что сам перекрут придатков может быть различным. Под этим определением подразумевают небольшую группу заболеваний со схожей симптоматикой. Чаще всего перекручивается яичник или маточная труба, однако есть и другие варианты. Проблема в том, что трудно точно определить, как именно произошел перекрут. Поскольку лечение всех вариантов данной патологии тоже сходное (обычно необходимо срочное хирургическое вмешательство), то на практике редко удается до операции определить, что именно произошло.
 
В различных ситуациях к перекруту придатков матки относят:
  • Перекрут яичника вокруг своей оси. Данный вариант наблюдается довольно редко. Здоровый яичник хорошо фиксируется связками к матке и тазовым костям. Перекрут возможен лишь в тех случаях, когда связки были растянуты или повреждены при предшествующих хирургических вмешательствах.
  • Перекрут образования яичника. Данный вариант встречается в медицинской практике наиболее часто. Дело в том, что яичник может быть увеличен по различным причинам. Самые распространенные из них – крупные кисты (из неразорвавшихся фолликулов) и новообразования (как доброкачественные, так и злокачественные). Весь яичник может перекрутиться из-за того, что связки перестают его нормально фиксировать. Иногда перекручивается только ножка крупного образования. Таким образом, страдает от нехватки артериальной крови только часть яичника.
  • Перекрут придатков. В данном случае речь идет о спиралевидном перекруте маточной трубы и яичника (а точнее, его связок). Пережиматься могут сосуды, питающие оба этих органа.
  • Перекрут маточной трубы. Данный вариант является наиболее редким. Он встречается менее чем в 0,1% случаев. При этом яичник не смещен, а перекручивается вокруг своей оси только одна из маточных труб.
  • Перекрут придатков и петли кишечника. Данный вариант встречается крайне редко, в основном у людей с аномально подвижными петлями кишечника (длинная брыжейка) или другими анатомическими особенностями.

Во всех этих случаях патологический процесс развивается следующим образом. При перекруте происходит пережатие артерий, вен и нервов. Из-за этого нарушается питание в определенной области. Нехватка кислорода (поступающего с артериальной кровью) вызывает гибель клеток, а из-за пережатия вен застаивается венозная кровь. Возникает отек, который быстро переходит в воспалительный процесс. Проблема в том, что постепенно этот процесс распространяется за пределы зоны перекрута. Возможно также присоединение инфекции (особенно при наличии у пациентки хронических мочеполовых инфекций).
 
Если говорить о первопричинах перекрута яичников, то корректнее всего будет относить к ним новообразования и кисты придатков матки. Интересно, что при доброкачественных опухолях яичника шанс перекрута придатков выше, чем при злокачественных. Это объясняется тем, что доброкачественные образования почти никогда не вызывают так называемый спаечный процесс (характерный для злокачественных опухолей). В результате этого процесса образуются дополнительные (помимо естественных связок) мостики из соединительной ткани, которые крепят яичник к соседним органам. Это может вызвать непроходимость маточных труб, нарушить менструальный цикл и создать другие проблемы, но не даст яичнику перекрутиться.
 
Существует ряд факторов, которые также могут способствовать перекруту придатков матки. Чаще всего они вызывают эту патологию лишь при наличии опухолей или других заболеваний яичников. Однако в некоторых случаях они приводят к перекруту даже здоровых органов.
 
Факторами, предрасполагающими к появлению перекрута придатков матки, являются:
  • Интенсивные физические нагрузки. При физических нагрузках обычно происходит повышение внутрибрюшного давления. Особенно это касается поднятия тяжестей. В таких условиях органы, расположенные в брюшной полости, могут сжиматься мышцами брюшной стенки и менять свое положение относительно друг друга. Связки, фиксирующие придатки матки, при этом растягиваются, из-за чего может возникнуть перекрут.
  • Внезапная остановка тела. При занятиях танцами или гимнастикой быстро меняется положение тела в пространстве. При этом органы брюшной полости, плохо зафиксированные связками, могут продолжать вращательное движение. Из-за этого высок риск перекрута и пережатия сосудов.
  • Беременность. Как уже отмечалось выше, почти пятая часть женщин с перекрутом придатков матки поступают в больницу в период беременности. Растущий в матке плод раздвигает соседние органы в стороны. При этом фиксация яичников связками ослабевает. Перекрут может возникнуть даже без дополнительной физической нагрузки, а просто вследствие оттеснения яичников плодом.
  • Усиленная перистальтика кишечника. Перистальтикой называется сокращение гладкой мускулатуры, которое необходимо для проталкивания содержимого кишечника. Если перистальтика усиливается, это может привести к движению соседних органов. Чаще данная причина встречается у женщин с увеличенными яичниками. Усилению перистальтики, в свою очередь, может поспособствовать избыток растительных волокон в пище (много сырых овощей) или продукты, вызывающие усиленное газообразование (газированные напитки, пиво, бобовые и др.).
  • Переполнение мочевого пузыря. Переполнение мочевого пузыря вызывает растяжение этого органа. Яичники, расположенные сверху и несколько сзади от него, при этом также отодвигаются. Если связки, фиксирующие их, ослаблены, возникает риск перекрута.
  • Асцит. Асцит – это скопление свободной жидкости внутри брюшной полости. Чаще всего она появляется при серьезных проблемах с печенью. Чем больший объем жидкости накапливается в брюшной полости, тем сильнее сдвигаются органы. Предсказать их движение относительно друг друга очень сложно. Однако неизбежно растяжение связок. Именно поэтому возрастает риск перекрута придатков матки.
  • Приступ кашля. При длительном тяжелом приступе кашля давление в животе также сильно возрастает. Это связано с усиленными сокращениями диафрагмы – мышцы, отделяющей брюшную полость от грудной. Таким образом, риск возникновения перекрута сильно возрастает, если у пациентки увеличены яичники, и она на данный момент страдает бронхитом или другими заболеваниями дыхательной системы.


Подпишитесь на Здоровьесберегающий видеоканал

Симптомы при перекруте придатков матки

Основные симптомы при перекруте яичника входят в так называемый синдром острого живота. Первым и порой единственным симптомом является боль в животе. Она может появиться внезапно, но чаще пациентки все же связывают ее появление с резкими движениями, прыжками, подъемом тяжестей. Далее у 70% пациенток идет быстрое нарастание болевого синдрома. Оно объясняется нарушением кровоснабжения яичника или его опухоли. Боль локализуется внизу живота с одной стороны (в зависимости от того, какой яичник поражен).
 
Скорость нарастания боли во многом зависит от того, как быстро произошел перекрут и пережатие сосуда. Иногда орган поворачивается медленно и не полностью (до 360 градусов). Тогда перекрут называется неполным. Кровь обычно продолжает поступать в яичник или в опухоль, но не в полном объеме. Поэтому в течение нескольких дней боль носит тупой, постоянный характер с периодическими обострениями. Обострения происходят при перемене положения тела, физической нагрузке, после плотного обеда (сокращения кишечника смещают пораженную область, ухудшая кровообращение).
 
При быстром и полном (более 360 градусов) перекруте сильная боль возникает резко. Кровоснабжение яичника или опухоли прекращается полностью. В такой ситуации риск развития некроза и перитонита особенно высок. Требуется срочная госпитализация пациентки и, чаще всего, неотложное хирургическое вмешательство.
 
Помимо боли при перекруте придатков матки могут наблюдаться следующие симптомы:

Тошнота

Тошнота, а иногда и рвота, возникают чаще всего при полном быстром перекруте придатков. Они объясняются болевым синдромом, а не серьезными проблемами с желудочно-кишечным трактом. Рвота может быть однократной, но нередко отсутствует вовсе. Тошнота длится более долгое время. При медленном перекруте боль может то исчезать, то пропадать. Тошнота в таких случаях вызвана парезом кишечника. Это означает, что кишечник перестает ритмично сокращаться, проталкивая содержимое. Этим же объясняется отсутствие аппетита, плохое общее самочувствие.

Нарушения мочеиспускания

Дизурия, или нарушения мочеиспускания, возникают из-за близости мочеточников к месту воспаления. Раздражение мочеточника и мочевого пузыря ведет к задержке мочи, или, наоборот, к учащенному мочеиспусканию. Определенную роль в развитии нарушений мочеиспускания играет и болевой синдром. Дизурия при перекруте придатков встречается примерно у трети пациенток.

Задержка стула

Задержка стула является следствием пареза кишечника. Данный симптом объясняется тем, что в малом тазу придатки матки граничат с петлями тонкого кишечника. Рядом также располагается сигмовидная кишка. Воспалительный процесс не ограничивается только яичником или маточной трубой. В него неизбежно вовлекается вся анатомическая область. Раздражаются нервные рецепторы, которые и приводят к нарушению работы кишечника. При медленном перекруте придатков отсутствие стула в течение нескольких дней (запор) наряду с умеренными тупыми болями может быть первым проявлением болезни.

Метеоризм

Метеоризмом называется скопление газов в кишечнике. Оно также связано с парезом гладкой мускулатуры органа. Газ образуется в результате переваривания пищи и жизнедеятельности микробов в просвете кишечника. Метеоризм проявляется распирающими болями, вздутием живота, выраженным дискомфортом. Пациентка чувствует необходимость выпустить газы, но из-за нарушений работы кишечника не может. Длительное скопление газов приводит к появлению отрыжки. Также появляется неприятный запах изо рта. Он объясняется процессами гниения пищи в кишечнике. На языке может быть налет. Все эти симптомы более характерны для медленного перекрута придатков, когда болевой синдром не так сильно выражен. При быстром перекруте пациентку, как правило, госпитализируют, оказывают ей помощь, и симптомы, связанные с парезом кишечника, попросту не успевают развиться (на это нудно несколько дней).

Бледность кожи

Резкое побледнение кожи связано с болевым синдромом. Оно встречается при быстром перекруте придатков и сопутствует появлению боли. Постепенно, в течение нескольких часов, к коже возвращается нормальный цвет. Симптом объясняется сильным раздражением болевых рецепторов, которое вызывает сокращение капилляров кожи. Организм постепенно компенсирует это нарушение.

Холодный пот

Холодный пот наблюдается у пациенток с быстрым перекрутом придатков и резким началом боли. Механизм его возникновения такой же, как и при побледнении кожи. Быстро нарастающий болевой синдром приводит к однократной активации потовых желез. При медленном перекруте, когда боль нарастает постепенно, данный симптом обычно отсутствует.

Повышение температуры

Температура может повышаться при постепенном нарастании болевого синдрома. Она объясняется воспалительным процессом. Из гибнущих клеток в кровь попадают особые вещества, которые воздействуют на центр терморегуляции в мозге. Этот центр вызывает изменение температуры тела через усиленный распад веществ в клетках и изменение кровотока. При быстром появлении болевого синдрома температура поднимается не сразу, а через 30 - 60 минут. Обычно она не превышает 38 градусов, однако при позднем обращении к врачу может достигать и 39 градусов. Тогда речь идет уже о массивном воспалительном процессе в малом тазе, и риск осложнений сильно повышается.

Учащение пульса

Данный симптом более выражен при остром начале заболевания. Он объясняется болевым синдромом и развивающимся воспалительным процессом в малом тазе. Также пульс учащается одновременно с ростом температуры тела. Считается, что с каждым градусом его частота увеличивается на 8 - 10 ударов в минуту. Иногда пациентка может сама жаловаться на учащенное и усиленное сердцебиение. По мере развития воспаления пульс учащается. У женщин с сопутствующими хроническими заболеваниями сердечно-сосудистой системы это может привести к развитию аритмии и приступам одышки (нарушение дыхания).

Кровянистые выделения

Кровянистые выделения из влагалища наблюдаются лишь у 20% пациенток. Их появление – следствие просачивания жидкой части крови в полость маточной трубы. Несколько позже (через несколько часов после начала острых болей) кровотечение может усилиться. В основном это происходит с пациентками, у которых произошел перекрут опухоли яичника или маточной трубы. Нехватка кислорода ведет к гибели тканей, в том числе и сосудистых стенок. Этим объясняется кровотечение. При перекруте маточной трубы или здорового яичника кровянистых выделений обычно не бывает.
 
Таким образом, симптомы перекрута придатков матки могут быть весьма разнообразными. При медленном перекруте, когда болевой синдром не так резко выражен, высок риск ошибочного диагноза. Преобладание симптомов со стороны желудочно-кишечного тракта (тошнота, рвота, метеоризм и др.) можно первоначально принять за пищевое отравление или другие проблемы с кишечником. При быстром перекруте клиническая картина заболевания весьма характерна. Острая внезапно появившаяся боль в нижней части живота является ведущим симптомом, а по дальнейшему подъему температуры и присоединению других симптомов можно с высокой точностью поставить предварительный диагноз.

Диагностика перекрута яичников или маточной трубы

Диагностика перекрута придатков должна проводиться очень быстро. Чем быстрее врач разберется в ситуации и поймет, что с пациенткой, тем меньше тканей погибнет из-за нехватки кислорода. Именно поэтому важно провести полноценное физикальное обследование пациентки. Его проводят врачи скорой помощи для постановки предварительного диагноза и врачи-гинекологи или хирурги при госпитализации. Если состояние пациентки позволяет, в больнице проводят и ряд других обследований для уточнения диагноза.
 
Основными методами диагностики при перекруте яичников или маточной трубы являются:

Физикальное обследование

Так называется комплекс диагностических методов, которые врач применяет для первичного осмотра пациентки. Некоторые элементы физикального обследования проводят врачи скорой помощи при первом контакте с пациенткой. Полноценное обследование органов и систем проводится врачом при приеме пациентки в стационар. Физикальное исследование дополняет жалобы пациентки и позволяет выявить дополнительные симптомы. При перекруте придатков матки, когда у врачей нет времени на применение инструментальных и лабораторных исследований, именно оно является важнейшим этапом в диагностике.
 
Физикальное обследование включает следующие диагностические методы:
  • Осмотр. При осмотре отмечают бледность кожи и слизистых оболочек, холодный пот и другие симптомы. Живот может быть несколько вздут или несимметричен (вздут только на стороне перекрута).
  • Пальпация. Пальпацией называется прощупывание различных анатомических областей. Наиболее информативной является пальпация нижних отделов брюшной полости. Она болезненна, иногда получается нащупать патологическое образование. Это образование – воспаленные перекрученные придатки матки. Также с помощью пальпации определяют учащенный пульс (обычно на лучевой или сонной артерии).
  • Аускультация. Данный метод при перекруте придатков матки почти не используется. Иногда с его помощью оценивают моторику кишечника (характерное еле слышное урчание в животе). При его отсутствии в нижних отделах и усилении в верхних, можно заподозрить кишечную непроходимость и усомниться в правильности диагноза.
  • Перкуссия. Перкуссия обычно применяется для определения размеров внутренних органов путем «выстукивания». Патологическое образование в малом тазу при перекруте придатков матки невозможно обнаружить таким способом.
  • Ректальное и влагалищное исследование. Данные исследования проводятся путем введения пальца в соответствующую полость. При перекруте придатков матки из-за интенсивного воспалительного процесса с соответствующей стороны можно нащупать уплотненное образование 5 – 6 см в диаметре. Оно малоподвижно и болезненно при надавливании.

Анализ крови

Общий анализ крови является обязательным исследованием при поступлении пациентки в стационар. Он отображает количество различных клеток крови. При перекруте придатков матки общий анализ крови может указать на наличие острого воспалительного процесса в организме. Однако изменения все же не будут специфичны именно для данной патологии.
 
При перекруте придатков матки в анализе крови могут наблюдаться следующие изменения:
  • Лейкоцитоз. Лейкоциты являются своеобразным индикатором (показателем) воспалительного процесса в организме. При перекруте придатков матки их уровень повышается (норма – до 9,0 х 109). Однако следует помнить, что на повышение уровня лейкоцитов нужно время. Если пациентка была быстро доставлена в больницу, уровень лейкоцитов может быть на верхней границе нормы.
  • Высокая скорость оседания эритроцитов (СОЭ). Высокий показатель СОЭ также говорит о воспалительном процессе. Верхняя граница нормы этого анализа для женщин – 15 мм/ч. При перекруте придатков у беременных женщин данный анализ не показателен (у них СОЭ может быть сильно повышено из-за беременности).
  • Анемия. Анемией называется уменьшение количества эритроцитов в крови (при проведении биохимического анализа ориентируются на уровень гемоглобина). Она может возникнуть при внутреннем кровотечении. Это изменение встречается достаточно редко, так как большинство пациенток доставляют в больницу быстро, и сосуды не успевают разрушиться.
Биохимический анализ крови не имеет такой диагностической важности при перекруте придатков матки. Его назначают, если состояние пациентки стабильное (при неполном перекруте), и у врачей есть время на полноценное обследование. Иногда назначают анализ крови на гормоны яичников (чтобы оценить их работу) и на опухолевые маркеры. Повышенные опухолевые маркеры говорят в пользу перекрута на фоне онкологического заболевания.

Ультразвуковое исследование

УЗИ органов малого таза является, вероятно, оптимальным способом в диагностике перекрута придатков матки. Метод основан на использовании ультразвуковых волн. Они посылаются в брюшную полость с помощью специального аппарата и возвращаются, отраженные от плотных тканей. Благодаря этому получается изображение органов брюшной полости.
 
При перекруте придатков матки УЗИ может выявить следующие признаки патологии:
  • увеличение яичника в размерах;
  • крупные опухолевые образования и кисты яичников;
  • свободная жидкость в малом тазу (выпотевает из сосудов на фоне воспалительного процесса);
  • нарушения кровообращения в крупных сосудах, питающих матку и ее придатки (проводится в режиме Допплер);
  • обнаружение объемного образования повышенной плотности (перекрученные яичник, связки матки, сосуды).
При необходимости для уточнения диагноза (например, чтобы исключить острый аппендицит) применяют трансвагинальное и трансректальное УЗИ. В первом случае специальный датчик вводится в полость влагалища, а во втором случае – в прямую кишку. Это позволяет расположить источник ультразвуковых волн ближе к месту воспаления. В результате врачи получают более четкое изображение.
 
УЗИ является полностью безболезненным, недорогим и безопасным для пациентки исследованием. Его проводят при поступлении пациентки в стационар. Обычно диагноз перед операцией ставится на основании результатов УЗИ, жалоб пациентки и общего осмотра.

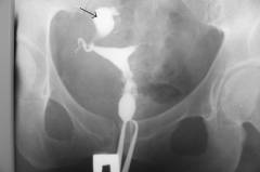
Радиография

Радиография представляет собой обычный рентгеновский снимок брюшной полости и полости таза. При массивном воспалительном процессе в области яичника образуется целый очаг. Расширенные сосуды переполняются жидкостью, часть из которой попадает в брюшную полость. Все это увеличивает плотность тканей в области воспалительного очага. Значительная часть рентгеновских лучей задерживается и на снимке видно патологическое образование. Данный метод обследования редко применяется в диагностике перекрута придатков матки из-за низкой информативности. Иногда к нему прибегают при отсутствии других способов визуализации проблемы.
 
Иногда применяется радиография с контрастом, когда в полость матки вводится специальное контрастное вещество. В норме оно проникает в маточные трубы и делает их хорошо различимыми на рентгеновском снимке. Если контраст не попал в маточную трубу, это может говорить о воспалении или перекруте трубы, в результате которого закрылся ее канал.

Компьютерная томография

Данный метод исследования заключается в получении серии радиографических снимков. Изображение возникает из-за различной плотности тканей. Снимки делаются как бы послойно, в виде своеобразных срезов. Они отличаются высокой точностью и позволяют более подробно установить место, характер и размеры воспалительного очага. Данный метод можно использовать при неполном перекруте придатков, когда симптомы болезни не слишком выражены, и это создает трудности для постановки правильного диагноза. Однако на практике врачи редко прибегают к компьютерной томографии. Во-первых, это объясняется высокой стоимостью процедуры. Во-вторых, состояние пациентки чаще всего не дает времени для ее проведения. Результаты компьютерной томографии в любом случае не отменят оперативного вмешательства (если это перекрут придатков), а лишь предоставят дополнительную информацию.

Колоноскопия и ирригография

Данные способы являются второстепенными и используются достаточно редко. Ирригография подразумевает введение контрастного вещества в толстый кишечник. После этого делается рентгеновский снимок, на котором хорошо видны контуры кишечника. Колоноскопия же заключается во введении в толстый кишечник особой камеры на гибком проводе. Оба этих метода позволяют исключить первичную патологию кишечника (непроходимость, дивертикулы, опухоли). Данные процедуры назначаются пациенткам в стабильном состоянии, когда у врачей есть основания сомневаться в правильности предварительного диагноза.
 
Серьезной проблемой в диагностике является нехватка времени на полноценные сложные обследования (при полном перекруте нужна срочная операция). Кроме того, при первичном обследовании данная патология практически не имеет уникальных симптомов. Существует ряд других заболеваний со схожими проявлениями. Выделение правильного диагноза из ряда похожих патологий называется дифференциальной диагностикой.
 
Дифференциальную диагностику перекрута придатков матки приходится проводить со следующими патологиями:
  • Воспаление придатков матки. Воспаление маточных труб (сальпингит) или яичников (оофорит) может иметь и другую природу. Иногда эти заболевания встречаются при распространении инфекции из нижних отделов мочеполовой системы. Возбудители (вирусы или бактерии) проникают из влагалища в полость матки, а оттуда – к придаткам. Обычно это встречается при хроническом течении болезни, если больной не уделял достаточно времени лечению. Так как воспалительный процесс происходит в тех же органах, имеет место схожий болевой синдром и другие проявления. Однако при инфекционном воспалении не требуется хирургическое вмешательство. Отличить заболевания можно, подробно изучив историю болезни пациентки (большинство припоминает, что перенесли мочеполовые инфекции). Кроме того, боль нарастает не так резко, а холодный пот и резкое побледнение кожи обычно отсутствуют.
  • Внематочная беременность. При внематочной беременности воспалительный процесс локализуется в растянутой маточной трубе, где растет плод. Боль обычно появляется не так резко. Кроме того, женщины знают о возможной беременности (иногда ее диагностировали до этого). В этом случае также требуется хирургическое вмешательство. В ходе операции врачи извлекают плод. Иногда у пациентки имеется и внематочная беременность, и частичный перекрут придатков (вызванный увеличением маточной трубы).
  • Аппендицит. За аппендицит часто принимают перекрут придатков матки с правой стороны. Большинство начальных симптомов совпадает. В обоих случаях имеет место острый воспалительный процесс в правой подвздошной ямке. Однако при аппендиците боль возникает не так резко, как при полном перекруте придатков (но схожа с частичным перекрутом). Кроме того, боль может сначала возникнуть в эпигастрии (между пупком и мечевидным отростком грудины, в верхней части живота), а лишь потом «спуститься» в нижнюю правую часть живота. Окончательно диагноз подтверждается только в ходе операции.
  • Острая кишечная непроходимость. Острая кишечная непроходимость возникает, если просвет кишечника перекрывается (опухолью, безоаровым камнем) или сдавливается извне. Тогда выше места закупорки начинают скапливаться газы и каловые массы. Боль нарастает постепенно, наблюдается метеоризм, отрыжка с неприятным запахом изо рта, отсутствует стул и выделение газов естественным путем. Тем не менее, бывают случаи, когда боль возникает остро. Тогда на первых порах непроходимость кишечника можно спутать с перекрутом придатков матки.
  • Почечная колика. При почечной колике боль возникает также очень быстро и может ощущаться пациенткой в том же месте. Отличить эту патологию можно, если у пациентки имеются песок или камни в почках (либо хронический пиелонефрит или гломерулонефрит). Почечная колика часто сопровождается нарушениями мочеиспускания (для перекрута придатков матки это все же довольно редкий симптом).
  • Апоплексия яичника. Апоплексия яичника может возникнуть из-за нарушений притока крови к органу не вследствие перекрута (например, при закупорке артерии тромбом). Симптомы будут очень похожи. Окончательно различить эти патологии обычно удается только во время операции.

Таким образом, диагноз обычно ставится на основании жалоб, физикального обследования и УЗИ. При неполном перекруте придатков, когда состояние больной не такое острое, возможно применение и других методов. На практике окончательное подтверждение диагноза часто происходит уже во время операции после вскрытия брюшной полости.

Лечение при перекруте придатков матки

Все пациентки с острыми болями в животе, напоминающими перекрут придатков матки должны быть госпитализированы в отделение гинекологии, где специалисты уточнят диагноз. Основным методом лечения в данном случае будет хирургическое вмешательство, так как консервативное (медикаментозное) лечение не решает основную проблему. Обезболивающие препараты (анальгетики) до госпитализации применять нельзя. Дело в том, что именно боли являются основным симптомом заболевания. Если их устранить медикаментозно, то пациентка будет чувствовать себя вполне нормально, и врачам труднее будет поставить правильный диагноз. Обезболивающие препараты назначаются, лишь после того как врачи окончательно решат, необходима ли операция.
 
Основным методом лечения является оперативное вмешательство. Оно проводится сразу после подтверждения диагноза либо в том случае, когда остаются сомнения. Целью операции является окончательное подтверждение диагноза (выяснить, в чем именно проблема) и восстановление кровотока (раскручивание яичника или маточной трубы, а при необходимости – их удаление).
 
Существует два основных вида операций при перекруте придатков матки:
  • Лапароскопия. Данный вид операции является малоинвазивным (степень повреждения тканей минимальна). Доступ к органам малого таза идет через несколько небольших отверстий в передней брюшной стенке. В брюшную полость вводят специальную камеру и несколько инструментов. Врач при этом получает возможность визуально оценить характер проблемы. После операции при отсутствии осложнений пациентка восстанавливается быстрее, чем после лапаротомии.
  • Лапаротомия. Данный вид операции предполагает рассечение передней брюшной стенки. Врач своими глазами (без камер и другого оборудования) видит проблему. Данный метод применяется при отсутствии оборудования, необходимого для лапароскопической операции, либо при наличии осложнений. Если воспалительный процесс распространился на брюшину, петли кишечника, либо начался некроз ткани, то лапароскопия попросту не даст необходимой свободы маневров.
Независимо от вида хирургического вмешательства, применяется общий наркоз, то есть пациентка спит во время операции. Это необходимо, так как уже после начала хирургического вмешательства могут быть обнаружены какие-либо осложнения, которые потребуют расширения объема операции.
 
Во время операции врачи руководствуются следующими принципами:
  • Проводится осмотр всей анатомической области (яичника, связок матки, маточной трубы, петель кишечника и др.). Только после этого можно заключить, какие именно органы вовлечены в перекрут придатков. Сам перекрут вследствие воспаления и нарушений кровообращения выглядит как синюшно-багровое образование размером 6 – 10 см.
  • При перекруте здорового яичника или маточной трубы без признаков некроза проводится так называемая деторсия (разворот). С помощью специальных щипцов органы аккуратно поворачиваются и фиксируются в правильном анатомическом положении. Существует определенный риск, что в сосудах, где была долго нарушена циркуляция крови, сформировались тромбы. После деторсии они могут попасть в общий кровоток и вызвать острый тромбоз. Однако в настоящее время считается, что риск такого осложнения при своевременной операции относительно мал, а с тромбами можно справиться медикаментозно после проведения операции.
  • При наличии перекрута ножки опухоли или кисты рекомендуется удалять яичник. При злокачественном новообразовании следует также удалить лимфатические узлы, куда происходит отток лимфы из данной зоны. Деторсия яичника с опухолевым образованием нерациональна, так как в будущем пациентке все равно придется делать еще одну операцию. Если яичник с признаками опухоли решено не удалять, то обязательно делается биопсия. Кусочек ткани из подозрительного места берется для тканевого (гистологического) анализа. Он покажет вид опухоли.
  • После устранения основной проблемы (собственно перекрута) врач ждет, пока не восстановится нормальный цвет тканей. Это сообщит о том, что кровь вновь нормально циркулирует по пережатым ранее артериям и венам. Для профилактики перекрутов в будущем иногда укрепляют связки, фиксирующие придатки.
  • Если пациентка была доставлена в больницу слишком поздно, во время операции может обнаружиться некроз тканей. В этих случаях приходится удалять яичник, маточную трубу и другие погибшие органы. При видимых повреждениях тканей выполняют резекцию (удаление) без раскручивания. Это понижает вероятность тромбоза в послеоперационном периоде. Если после раскручивания и восстановления кровотока органы за 15 – 20 минут не возвращают свой нормальный цвет, это может быть признаком необратимых нарушений, и их также удаляют.
  • Если во время лапароскопической операции обнаруживается злокачественная опухоль яичника, то следует перейти на лапаротомию и тщательнее изучить новообразование.
Сроки госпитализации (включая послеоперационный период) зависят от наличия осложнений. При их отсутствии больную обычно выписывают на 7 день после лапароскопического вмешательства и на 12 день – после лапаротомического.
 
Прогноз при своевременном обращении к врачу остается благоприятным. Если пациентка была доставлена в больницу до отмирания тканей, то при операции обычно удается сохранить яичник. Примерно в 75% случаев после этого женщины сохраняют детородную функцию. При позднем обращении или ошибках в диагностике прогноз ухудшается из-за быстро развивающихся осложнений. Лечение на этом этапе может пройти успешно, но не исключен ряд неблагоприятных последствий.

Осложнения и последствия перекрута придатков матки

Большинство осложнений и последствий связано с распространением воспалительного процесса на соседние органы и смертью тканей из-за гипоксии (нехватки кислорода). В этих случаях требуются более серьезные и масштабные хирургические операции. Даже в случае спасения жизни при осложнениях, пациентка может в дальнейшем страдать от остаточных эффектов и последствий долгое время.
 
При перекруте придатков матки возможны следующие осложнения и последствия:
  • кровотечение;
  • пельвиоперитонит;
  • острая кишечная непроходимость;
  • спаечная болезнь органов малого таза;
  • хронические тазовые боли;
  • бесплодие;
  • риск внематочной беременности.

Кровотечение

Кровотечение обычно возникает при полном перекруте придатков, когда быстро наступает некроз тканей. Смерть клеток затрагивает, в том числе, и сосуды, которые проходят в данной анатомической области. Когда стенка сосуда разрушается, возникает кровотечение. Разрыву сосудов способствует также их переполнение кровью (вследствие пережатия).
 
Данное осложнение более характерно для злокачественных опухолей яичника, которые хорошо васкуляризированы (содержат много кровеносных сосудов). Кровь может попадать в маточные трубы, а оттуда – в полость матки, а может скапливаться в брюшной полости (внутреннее кровотечение).
 
При перекруте придатков матки, осложненном кровотечением, могут появиться следующие симптомы:
  • стойкое учащение пульса (при перекруте оно может быть кратковременным, а в данном случае длится дольше);
  • понижение артериального давления (при неосложненном перекруте давление обычно не падает);
  • побледнение кожных покровов (при неосложненном перекруте оно кратковременное, связанное с болью, а при кровотечении – вызвано потерей крови, которую труднее восполнить);
  • головокружение;
  • пальцы ног и рук становятся холоднее, а больная - восприимчивее к холоду;
  • кровянистые выделения из матки (при попадании крови в маточные трубы).

Пельвиоперитонит

Пельвиоперитонитом называется воспаление брюшины в полости таза. Брюшина покрывает верхнюю часть большинства органов в этой области. Ее воспаление сопряжено с выраженной болью, которая может привести к шоковым состояниям. В ответ на воспаление клетки брюшины выделяют особое вещество – фибрин. Оно со временем как бы склеивает органы между собой, застывая в виде мостиков из соединительной ткани. После устранения воспалительного процесса у пациентки может развиться спаечная болезнь. Из специфических симптомов могут появиться нарушения мочеиспускания, задержка стула и скопление газов.

Острая кишечная непроходимость

Острая кишечная непроходимость возникает из-за сдавливания кишечника извне воспалительным образованием, сформировавшимся в результате перекрута. Нарушается транзит (прохождение) содержимого кишечника и его выделение естественным путем. Обычно симптомы кишечной непроходимости отходят на второй план, так как некроз из-за нарушения кровообращения развивается быстрее. На развитие же выраженной клиники при кишечной непроходимости требуется несколько дней.

Спаечная болезнь органов малого таза

Спаечная болезнь часто расценивается как самостоятельная патология. Она может возникнуть вследствие перитонита (из-за выделения фибрина), постепенного рассасывания жидкости в брюшной полости или после операции (при зарастании швов). Болезнь вызвана образованием патологических соединений между органами брюшной полости. Обычно это матка, маточные трубы, яичники, петли кишечника и мочевой пузырь. Проявления спаек в малом тазу могут быть самыми разными.
 
При спаечной болезни могут появляться следующие симптомы:
  • нарушения мочеиспускания;
  • нарушения дефекации (запоры или диарея);
  • боли в животе;
  • дисменорея (нарушения менструального цикла).
Симптомы появляются через несколько недель или месяцев после перекрута придатков матки. Обычно они не слишком интенсивны, и пациентки редко обращаются к врачу сразу. Однако соединительная ткань не рассасывается самостоятельно, и симптомы не проходят со временем. Для рассечения мостиков между органами может понадобиться повторное хирургическое вмешательство. Обычно достаточно лапароскопической операции (введение камеры и электрического скальпеля через небольшие отверстия в передней брюшной стенке). Определенный эффект может иметь лечебная гимнастика и физиотерапия (электрофорез).

Хронические тазовые боли

Хронические тазовые боли связаны обычно со спаечной болезнью. Органы таза слипаются между собой, растягивая друг друга при движении. Это и вызывает болевые ощущения. Они становятся острее при резких движениях, напряжении мышц брюшного пресса, а иногда также при мочеиспускании и дефекации.

Бесплодие

Бесплодие является одним из самых серьезных последствий перекрута придатков матки. Дело в том, что нормальное зачатие и вынашивание ребенка – очень сложный физиологический процесс. Определенную роль в нем играют практически все органы и системы.
 
Непосредственными причинами бесплодия после перекрута придатков матки могут быть:
  • Удаление органов. Если больная обратилась за помощью слишком поздно, начался некроз тканей и развился перитонит, то в ходе операции может потребоваться удаление яичника, маточной трубы или даже полное удаление матки. В последнем случае о беременности в будущем речь, разумеется, уже не идет.
  • Непроходимость маточных труб. Непроходимость после воспалительного процесса может объясняться их искривлением (при спаечной болезни) или зарастанием их просвета. В обоих случаях яйцеклетка из яичника попросту не попадет в полость матки и не встретится со сперматозоидом.
  • Нарушения работы яичника. После перекрута яичника могут наблюдаться сбои в его работе. Это связано с нарушениями менструального цикла и прекращением созревания яйцеклеток, что сильно уменьшает вероятность беременности. Также яичник может не справляться с эндокринной функцией. Гормональный дисбаланс также не способствует наступлению беременности.
  • Первоначальная патология. Как уже говорилось выше, перекрут яичника часто возникает на фоне опухолей этого органа. Если во время операции яичник удалось сохранить, он все равно может в будущем плохо функционировать из-за прогрессирования опухолевого процесса.

Риск внематочной беременности

После перенесенного перекрута придатков матки повышается риск внематочной беременности. Это отчасти связано со спаечной болезнью органов малого таза, отчасти – с растяжением связок и нарушением мышечного тонуса маточных труб. Яйцеклетки начинают хуже проходить по трубам, поэтому оплодотворение и прикрепление зиготы (первая клетка организма плода) происходит в трубе. В перспективе это чревато разрывом маточной трубы, так как она не приспособлена к таким сильным растяжениям.

Профилактика перекрутов придатков матки

Специфической профилактики перекрутов придатков не существует. Данное заболевание, как уже отмечалось выше, может иметь различные причины и возникать при различных обстоятельствах. Первичная профилактика, направленная на предотвращение перекрута, носит характер общих рекомендаций.
 
Для профилактики перекрута придатков матки рекомендуется соблюдать следующие правила:
  • профилактические консультации у гинеколога (ежегодно);
  • профилактическое УЗИ органов малого таза (для раннего выявления новообразований);
  • своевременная диагностика и лечение кист, опухолей и других образований яичников;
  • соблюдение режима, предписанного лечащим врачом (при наличии у пациентки гинекологических заболеваний);
  • при обнаружении новообразований яичников - ограничение физических нагрузок и резких движений.

Вторичная профилактика ориентирована на борьбу с осложнениями болезни. Именно она играет наиболее важную роль. Заболеть перекрутом придатков матки может практически каждая женщина. Важно своевременно поставить правильный диагноз и провести полноценное лечение. В этом случае удается избежать развития перитонита, апоплексии яичника и других тяжелых осложнений.
 



 

Можно ли прикладывать тепло при перекруте яичника?

Прикладывание тепла (теплотерапия) является одним из фундаментальных методов физиотерапии. Данный метод заключается в местном прогревании пораженной части организма горячей средой. Чаще всего теплотерапия применяется в качестве средства первой помощи и для повышения эффективности лекарственных средств. Для определения эффективности теплотерапии следует принять во внимание фазу патологического процесса, его характер и вид теплотерапии, применяемый к пораженному месту.
 
При перекруте придатков матки прикладывание тепла к животу не рекомендуется. Дело в том, что все положительные эффекты от данной процедуры, которые хороши при других заболеваниях, в этом случае могут давать противоположный эффект.
 
Основными эффектами от использования локального тепла являются:
  • Улучшение кровообращения. Достигается за счет расширения различных сосудов и имеет наибольшее значение для перекрута яичника. Ускорение кровообращения в первые часы после непосредственного перекрута может принести положительный эффект. Восстановление транспорта крови к яичнику и от него к сердцу наиболее вероятно при неполном перекруте, что позволит избежать дальнейшего развития осложнений. Проблема заключается в том, что невозможно быстро и точно определить, полный или неполный перекрут у пациентки. При полном перекруте расширение сосудов и приток крови, наоборот, ускорит патологический процесс.
  • Ускорение метаболизма. Достигается за счет улучшения кровоснабжения и ускорения биохимических реакций (возрастает активность ферментов в крови и тканях). Это, безусловно, положительный эффект. Однако тепло также увеличивает проницаемость гистогематических барьеров (элементам крови становится легче пройти сквозь стенки сосудов). В результате этого, при несвоевременном прикладывании тепла ускоряется процесс отмирания тканей.
  • Снижение болевой чувствительности. Достигается за счет воздействия на болевые рецепторы расположение в тканях. Этот эффект не имеет большого значения при перекруте придатков, так как боль при отмирании тканей не всегда снимается полностью даже сильными анальгетиками (обезболивающими препаратами). Обезболивающий же эффект тепла намного слабее. К нему можно с успехом прибегать через несколько дней (или недель) после операции с разрешения лечащего врача.
Таким образом, практической пользы от теплотерапии при перекруте придатков матки мало. Это средство не дает достаточного обезболивающего эффекта, а расширение сосудов лишь усиливает отек. Дело в том, что при этом заболевании нарушается как раз проходимость сосудов. Они сдавливаются в месте перекрута, и кровь не может свободно циркулировать. Расширение этих сосудов заставляет кровь поступать сюда в больших количествах. Но, неспособная пройти дальше, она начинает просачиваться сквозь стенки, попадая в брюшную полость. Это создает предпосылки для развития перитонита.
 
Наиболее опасно прикладывать тепло к животу при неожиданно возникших сильных болях в животе. Если боль возникает внезапно, это обычно говорит о полном перекруте, то есть приток крови к придаткам остановился полностью. В этом случае следует срочно обратиться к врачу и госпитализировать больного для дальнейшего уточнения диагноза и срочного начала квалифицированного лечения.

Каковы наиболее частые варианты перекрута яичника?

Перекрут яичника с точки зрения медицины может встречаться в нескольких вариантах. Это зависит от того, что именно перекрутилось в брюшной полости. Чаще всего речь идет не о перекруте всего яичника вокруг своей оси, а о какой-либо его части. На практике, однако, очень трудно установить до операции, с чем именно поступила пациентка. Воспалительный процесс в любом случае охватывает все придатки матки (яичник, маточную трубу и связки) с соответствующей стороны, вызывая одинаковые симптомы. Иногда в патологический процесс вовлекаются и соседние органы.
 
С точки зрения патологической анатомии можно выделить следующие виды перекрута яичника:
  • Перекрут здорового яичника. Данный тип диагностируется, если яичник не имеет каких-либо патологических образований. На практике он встречается достаточно редко. Возможная причина такого перекрута – резкие остановки при вращательных движениях (аттракционы, на занятиях спортом и т. п.). Предрасполагающим фактором является слабость связок, фиксирующих яичник в малом тазу. Перекручиваются связки, в толще которых проходят кровеносные сосуды. Из-за этого нарушается кровоснабжение органа, и ткани яичника начинают погибать (некроз).
  • Перекрут кисты яичника. Этот тип встречается достаточно часто. Дело в том, что кисты яичника – весьма распространенная гинекологическая патология. Если киста достигает больших размеров (5 – 6 см в диаметре), ее ножка может перекрутиться. У кисты, как у патологического образования, нет собственных связок. Кровь к тканям поступает именно через так называемую ножку – место прикрепления кисты к яичнику. Из-за нарушения кровоснабжения ткани начинают погибать, но в воспалительный процесс обычно вовлекается весь яичник.
  • Перекрут опухоли яичника. Механизм перекрута в данном случае схож с перекрутом ножки кисты. Собственно говоря, перекручивается опухоль вокруг своей оси относительно самого яичника. По статистике чаще перекручиваются доброкачественные опухоли. Однако перекрут злокачественного новообразования опаснее, так оно обычно содержит больше кровеносных сосудов. Из-за этого некроз наступает быстрее, и высок риск различных осложнений.
  • Перекрут связок яичника с другими образованиями. Достаточно редко встречаются случаи, когда связки яичника спиралевидно перекручиваются с другими анатомическими образованиями (обычно с маточной трубой, реже – с петлей кишечника). При этом нарушается кровоснабжение не только всего яичника, но и органа, с которым перекрутилась связка. Данный тип можно считать наиболее тяжелым, так как он сопровождается массивным воспалительным процессом.
Кроме анатомической классификации различают также полный и неполный перекрут яичника. Данный критерий является более важным с практической точки зрения. При неполном перекруте сосуды пережимаются обычно не полностью. Поэтому какое-то время орган продолжает снабжаться кровью и некроз не наступает. У таких пациенток характерные симптомы развиваются медленнее, и у врачей есть больше времени на госпитализацию и детальное обследование пациентки.
 
При полном перекруте связка или ножка образования перекручивается более чем на 360 градусов. В результате кровоснабжение тканей прекращается внезапно и полностью. Для данного вида перекрута характерно внезапное возникновение сильных болей и быстрое развитие некроза.

Бывает ли перекрут яичника у детей?

Перекрут придатков матки (прежде всего, яичника) может произойти у женщин в любом возрасте. Наибольшая частота по статистике отмечается в возрасте от 17 до 29 лет. У девочек младшего возраста данная патология встречается достаточно редко. Это объясняется тем, что яичники до периода полового созревания и половой активности по размерам меньше, чем у взрослых женщин (около 2,5 см). Также в детском возрасте реже встречаются онкологические заболевания и кисты яичников. Связки же достаточно прочно прикрепляют здоровый яичник к тазовым костям и матке, не давая ему перекрутиться.
 
Возможными причинами перекрута яичника в детском возрасте являются:
  • Анатомические особенности. У некоторых девочек с рождения имеется анатомическая особенность – более слабые или удлиненные связки яичников. Из-за этого орган становится более подвижным. По мере роста организма, а чаще под воздействием внешних факторов (резкие движения), это может привести к перекручиванию связки и нарушению кровоснабжения органа.
  • Физические нагрузки. Детский организм, в отличие от взрослого, не обладает достаточно развитыми мышцами брюшной стенки. При выполнении тяжелой работы (например, подъем тяжестей) давление в брюшной полости возрастает и меняется расположение органов относительно друг друга. Это может привести к растяжению связок и перекручиванию яичника.
  • Резкие движения. Даже здоровый яичник, нормально зафиксированный связками в малом тазу, является относительно подвижным органом. При резкой остановке вращательного движения орган продолжает двигаться, когда тело уже остановилось. Это и приводит чаще всего к перекруту придатков. Боль обычно появляется внезапно после быстрых аттракционов, быстрого бега с переменой направления движения, после автомобильных аварий.
В целом проявления болезни у девочек не сильно отличаются от таковых у взрослых женщин. Основным симптомом с первым минут болезни остается болевой синдром. Возможна тошнота, реже однократная рвота, побледнение кожи, холодный пот. В этих случаях пациентку срочно госпитализируют в отделение детской гинекологии для подтверждения диагноза. Своевременно проведенная операция позволяет сохранить яичник. В будущем после этого большинство женщин не испытывают каких-либо проблем с половым созреванием или наступлением беременности.

Какая первая помощь при перекруте придатков матки?

При перекруте придатков матки первая помощь играет значительную роль. Данное заболевание характеризуется острым нарушением кровообращения в сосудах, питающих яичник и маточную трубу (со стороны перекрута). Вследствие этого возникает угроза смерти тканей от нехватки артериальной крови. Чем быстрее удастся устранить эту проблему, тем больше вероятность благополучного исхода для пациентки.
 
В первую очередь необходимо отметить, что самостоятельная помощь едва даст какой-либо результат. «Раскрутить» обратно яичник, маточную трубу или ножку опухоли можно только с помощью хирургического вмешательства. Поэтому до прибытия скорой помощи каких-либо особых лечебных мероприятий проводить не следует. Первая помощь сводится к ряду простых рекомендаций.
 
При оказании первой помощи пациентке с подозрением на перекрут придатков придерживаются следующих принципов:
  • Положение тела. Оптимальным можно считать то положение тела, при котором пациентка испытывает меньшую боль. Как правило, это означает, что кровь все же проходит через пережатые сосуды. Это отсрочит наступление необратимой гибели тканей.
  • Срочный вызов скорой помощи. Чем быстрее удастся вызвать врачей, тем быстрее больная будет доставлена в профильное отделение. Самостоятельная транспортировка пациентки в больницу допустима только в том случае, если нет возможности быстро вызвать специалистов. При транспортировке следует придать больной лежачее или полулежачее положение и постоянно следить за изменениями ее состояния.
  • Подробный анамнез. Для скорейшей постановки диагноза после приезда скорой помощи нужно снабдить врачей необходимой информацией. Почти всегда перекрут яичника возникает после активных движений (бег, танцы, занятия спортом, резкое торможение в автомобиле и др.). В сочетании с острыми болями в нижней части живота это сразу наведет врачей на мысль о правильно диагнозе. 
Самолечение и откладывание вызова специалистов в данном случае недопустимы. Так называемый острый живот всегда является показанием к госпитализации пациентки. Дело в том, что при болях и других общих симптомах очень трудно сказать наверняка, что именно произошло.
 
Нередко пациентка сама отказывается от госпитализации довольно долгое время. Это происходит при неполном перекруте яичника. Тогда боли могут то нарастать, то утихать. Они появляются постепенно, и сама пациентка часто принимает их за несвоевременный предменструальный синдром. Проблема в том, что при неполном перекруте кровь продолжает поступать в перекрученный участок, но в небольшом количестве. В таких условиях все равно может развиться необратимый некроз тканей, но на это потребуется больше времени.
 
Наиболее распространенными ошибками при оказании первой помощи являются:
  • Локальное тепло. При остром воспалительном процессе в брюшной полости применение горячих грелок может усугубить состояние пациентки. Перекрученные сосуды, реагируя на тепло, расширяются и наполняются кровью. Однако эта кровь все равно не поступает к яичнику или перекрученной опухоли. Она начинает проникать сквозь стенки сосудов в брюшную полость. В результате отек нарастает, и воспалительный процесс может захватить соседние органы.
  • Локальный холод. Локальный холод также не рекомендуется. Он замедляет обмен веществ и может несколько отсрочить некроз. Но, в то же время, от холода сужаются кровеносные сосуды. Если перекрут неполный (а определить это наверняка почти невозможно), то сужение сосудов только уменьшит приток крови, усугубив состояние больной.
  • Прием анальгетиков (обезболивающих). Обезболивающие препараты и спазмолитики (расслабляющие гладкую мускулатуру) могут несколько уменьшить боли при перекруте придатков матки. Это временно улучшит состояние пациентки, но не восстановит кровоток. В то же время кажущееся улучшение ситуации может привести к тому, что пациентка еще какое-то время не будет обращаться к врачу. Более того, после приема анальгетиков даже врачи скорой помощи могут ошибиться при постановке диагноза, ведь характерная боль зачастую является единственным симптомом болезни.
  • Массаж. Самостоятельный массаж нижней части живота не может привести к раскручиванию яичника. Он лишь вызовет усиление болей.
Кисляков Илья Александрович
Автор:
Специальность: Практикующий врач-микробиолог 2-й категории

Опубликовано: 26.9.2015

Дополнено: 26.4.2025

Просмотров: 73930

Поделиться
Вопросы по теме
Регулярный приём Аспирина снижает риск развития рака печени и яичников
5416
0
Регулярный приём Аспирина снижает риск развития рака печени и яичников
Гинеколог-эндокринолог. Чем занимается данный специалист, какие исследования производит, какие заболевания лечит?
61593
1
Гинеколог-эндокринолог. Чем занимается данный специалист, какие исследования производит, какие заболевания лечит?
УЗИ яичников для выявления овуляции. Показания и результаты. Как проводится?
175004
0
УЗИ яичников для выявления овуляции. Показания и результаты. Как проводится?
Лапароскопия маточных труб при бесплодии. Диагностическая лапароскопия маточных труб, показания, противопоказания
90741
0
Лапароскопия маточных труб при бесплодии. Диагностическая лапароскопия маточных труб, показания, противопоказания
Лапароскопия яичника. Диагностическая лапароскопия яичников, удаление яичника методом лапароскопии, удаление кисты яичника.  Показания, противопоказания, преимущества метода и реабилитация
96176
1
Лапароскопия яичника. Диагностическая лапароскопия яичников, удаление яичника методом лапароскопии, удаление кисты яичника. Показания, противопоказания, преимущества метода и реабилитация
Непроходимость маточных труб. Причины, симптомы и признаки, диагностика и лечение болезни
210211
0
Непроходимость маточных труб. Причины, симптомы и признаки, диагностика и лечение болезни
Воспаление яичников (оофорит). Причины, симптомы и признаки, диагностика и лечение болезни
233247
0
Воспаление яичников (оофорит). Причины, симптомы и признаки, диагностика и лечение болезни
Апоплексия яичника. Причины, симптомы и признаки, диагностика и лечение болезни
121981
1
Апоплексия яичника. Причины, симптомы и признаки, диагностика и лечение болезни
Сальпингит (воспаление маточных труб). Причины, симптомы и признаки, диагностика и лечение болезни
374568
1
Сальпингит (воспаление маточных труб). Причины, симптомы и признаки, диагностика и лечение болезни
Внематочная беременность. Причины, симптомы, диагностика и лечение
144186
0
Внематочная беременность. Причины, симптомы, диагностика и лечение
Маточное кровотечение - виды, причины, первые признаки, как остановить, первая помощь, лечение кровотечения, народные средства
780404
7
Маточное кровотечение - виды, причины, первые признаки, как остановить, первая помощь, лечение кровотечения, народные средства
Киста яичника - правого или левого яичника, причины, симптомы, диагностика и лечение. Виды: эндометриоидная, дермоидная, фолликулярная, киста желтого тела, фолликулярная. Разрыв кисты яичника
561523
3
Киста яичника - правого или левого яичника, причины, симптомы, диагностика и лечение. Виды: эндометриоидная, дермоидная, фолликулярная, киста желтого тела, фолликулярная. Разрыв кисты яичника

Комментировать или поделиться опытом:


Архивы:

Регистрация временно закрыта

Вход в профиль

Войдите при помощи профиля в социальной сети или ранее зарегистрированного профиля на сайте

Ваша эл. почта
Проверочный код
Вернуться к логину
Ваша эл. почта
Пароль
Я забыл пароль
Закрыть