Киста яичника – это образование с тонкими стенками в толще или на поверхности органа, внутри которого находится полость с жидкостью или полужидким содержимым. По своему строению киста напоминает пузырь.
Среди прочих гинекологических заболеваний кисты яичников занимают по распространенности от 8 до 20%.
- Анатомия и физиология яичника
- Функционирование яичника
- Что такое киста?
- Дермоидная киста
- Причины дермоидной кисты
- Симптомы дермоидной кисты
- Осложнения дермоидной кисты
- Диагностики дермоидной кисты
- Дермоидная киста яичника и беременность
- Лечение дермоидной кисты яичника
- Эндометриозная киста
- Причины эндометриозных кист
- Симптомы эндометриозных кист
- Диагностика эндометриозных кист яичников
- Лечение эндометриозной кисты яичника
- Беременность при эндометриозных кистах яичников
- Синдром поликистозных яичников
- Причины синдрома поликистозных яичников
- Симптомы поликистоза яичников
- Диагностика синдрома поликистозных яичников
- Лечение синдрома поликистозных яичников
- Синдром поликистозных яичников и беременность
- Фолликулярная киста яичника
- Симптомы фолликулярной кисты яичника
- Диагностика фолликулярных кист яичника
- Лечение фолликулярной кисты яичника
- Фолликулярная киста яичника и беременность
- Серозная кистома яичника (серозная цистома, цилиоэпителиальная кистома)
- Причины серозной кистомы яичника
- Симптомы серозной кистомы яичника
- Диагностика серозной кистомы яичника
- Лечение серозной кистомы яичника
- Серозная кистома яичника и беременность
- Папиллярная кистома яичника
- Муцинозная кистома яичника
- Лечение муцинозной кистомы яичника
- Беременность при муцинозной кистоме яичника
- Киста желтого тела яичника
- Причины возникновения кисты желтого тела
- Симптомы кисты желтого тела
- Симптомы лютеиновой кисты яичника
- Диагностика кисты желтого тела
- Лечение лютеиновых кист яичников
- Киста желтого тела яичника и беременность
- Лечение кисты желтого тела яичника народными средствами
- Может ли развиться киста яичника у девочки?
- Что такое параовариальная киста яичника, каковы причины, симптомы и лечение?
- Гормональная и ретенционная киста яичника, что это?
- Киста яичника после удаления матки, что делать?
- Миома и киста яичника, каковы причины, симптомы и лечение?
- Разрыв кисты яичника, каковы причины, симптомы, последствия и лечение? На что может указывать сильная боль внизу живота при кисте яичника?
- Можно ли при кисте яичника заниматься сексом, спортом, принимать ванные, ходить в баню и на массаж?
- Удаление одного или двух яичников, что ждет после операции по поводу кист яичника?
- Если удален один яичник
- Если удалены оба яичника
- Что делать после удаления яичников?
- Можно ли без яичников родить ребенка?
- Что делать, если выявили кисту яичника при беременности?
- Рассасывается ли киста яичника при лечении без операции?
- Боль в яичниках — причины, симптомы и что делать?
Анатомия и физиология яичника
Яичники относят к внутренним женским половым органам. Они являются парными – различают правый и левый яичник.
Основные функции яичников:
Информация в статье носит справочный характер и не заменяет консультацию врача. Перед применением рекомендаций обратитесь к специалисту.
- развитие, рост и созревание яйцеклеток в фолликулах (полостях в виде пузырьков, которые находятся в толще ткани яичника);
- высвобождение созревшей яйцеклетки в брюшную полость (овуляция);
- синтез женских половых гормонов: эстрадиола, эстриола, прогестерона и пр.;
- регуляция менструального цикла посредством выделяемых гормонов;
- обеспечение вынашивания беременности посредством вырабатываемых гормонов.
Яичники имеют овальную форму и расположены возле маточных труб. Они прикрепляются при помощи связок к матке и стенкам таза.
Размеры яичников у женщин, находящихся в репродуктивном (детородном) возрасте:
- длина – 2,5 – 5 см;
- ширина – 1,5 – 3 см;
- толщина – 0,6 – 1,5 см.
После наступления климакса яичники уменьшаются в размерах.
Строение ткани яичников
В яичнике выделяют два слоя:
- Корковый слой находится снаружи и содержит фолликулы, в которых расположены яйцеклетки. Он имеет максимальную толщину в репродуктивном (детородном) возрасте, а затем начинает постепенно истончаться и атрофироваться.
- Мозговой слой – внутренний. В нем находятся волокна соединительной ткани, мышцы, сосуды и нервы. За счет мозгового слоя обеспечивается фиксация и подвижность яичника.
Функционирование яичника
В корковом слое яичника постоянно развиваются новые фолликулы с яйцеклетками. 10% из них остаются функционирующими, а 90% подвергаются атрофии.
Ко времени овуляции в одном из фолликулов созревает новая яйцеклетка. Фолликул увеличивается в размерах и приближается к поверхности яичника. В это время развитие всех остальных фолликулов тормозится.
При овуляции созревший фолликул разрывается. Находящаяся в нем яйцеклетка выходит в полость живота, а затем попадает в маточную трубу. На месте лопнувшего фолликула образуется желтое тело – скопление железистых клеток, которое выделяет гормон прогестерон, отвечающий за вынашивание беременности.
Ко времени наступления месячных функции яичника снижаются. В организме отмечается дефицит гормонов. На фоне этого «гормонального дефицита» происходит отторжение части слизистой оболочки, развивается кровотечение. Наступают месячные.
Что такое киста?
Кисты яичников могут иметь разное строение и происхождение. Их объединяет то, что все они похожи на пузырь, который заполнен жидкостью или полужидким содержимым.
Виды кист яичников:
- дермоидная киста;
- эндометриозная киста;
- синдром поликистозных яичников;
- кистаденома;
- серозная;
- фолликулярная;
- киста желтого тела яичника.
Дермоидная киста
Дермоидная киста яичника (синонимы: зрелая тератома, дермоид) – доброкачественная опухоль женских внутренних половых органов. Среди всех яичниковых кист по распространенности она занимает 15 – 20%.
Дермоидная киста может иметь округлую или овальную форму. Ее стенки снаружи гладкие. Диаметр может достигать 15 см.
Данная опухоль содержит в себе практически все виды тканей: нервную, соединительную, мышцы, хрящи, жировую ткань.
В дермоидной кисте есть сальные и потовые железы, волосы. Внутри находится полость, которая заполнена содержимым, по консистенции напоминающим желе.
Чаще всего встречается дермоидная киста яичника справа. Практически всегда она находится только с одной стороны. Этот вид кист растет очень медленно. В 1 – 3% случаев она трансформируется в рак.
Причины дермоидной кисты
Причины развития дермоида до конца не изучены. Считается, что опухоль образуется в результате нарушения развития тканей у эмбриона, гормональных изменений в организме девушки и женщины во время полового созревания, климакса. Провоцирующим фактором являются травмы живота.
Дермоидная киста яичника может впервые диагностироваться в детском, зрелом или подростковом возрасте.
Симптомы дермоидной кисты
Дермоидная киста яичника дает такую же симптоматику, как и любая другая доброкачественная опухоль. До определенного времени она никак себя не проявляет. Когда дермоид существенно увеличился в размерах (обычно 15 см), возникает характерная симптоматика:
- чувство тяжести и распирания в животе;
- боли в низу живота;
- увеличение живота за счет самой опухоли и скопления жидкости в брюшной полости;
- при давлении опухоли на кишечник – запоры или диарея.
Осложнения дермоидной кисты
- Воспаление. Температура тела повышается до 38⁰C и выше, отмечается слабость, сонливость.
- Перекрут ножки кисты, в которой проходят сосуды и нервы. Возникает острая боль в животе, резкое ухудшение общего состояния. Могут отмечаться симптомы внутреннего кровотечения (бледность, резкая слабость и пр.).
Диагностики дермоидной кисты
- Ручной осмотр. Может производиться в двух вариантах: влагалищно-абдоминальном (одна рука врача находится во влагалище, вторая – на животе), ректо-абдоминальное (врач вводит палец в прямую кишку и прощупывает через нее кисту яичника). При этом гинеколог может прощупать яичник, примерно оценить его размеры, консистенцию, плотность и пр. Дермоидная киста ощущается как округлое, эластичное, подвижное, безболезненное образование.
- Ультразвуковое исследование. При проведении этого исследования хорошо определяется строение стенок тератомы, консистенция ее внутреннего содержимого. Характерная особенность опухоли: в толще ее стенки часто выявляются кальцификаты – участки обызвествления.
- Компьютерная томография и магнитно—резонансная томография. Эти два исследования позволяют детально изучить внутреннее строение дермоидной кисты и установить окончательный диагноз.
- Лапароскопия (кульдоскопия) – эндоскопическая диагностика дермоидной кисты путем введения миниатюрных видеокамер в полость живота через проколы (при лапароскопии проколы делают на передней брюшной стенке, при кульдоскопии эндоскоп вводится через влагалище). Показанием к проведению этого исследования является осложненное течение дермоидной кисты.
- Исследование крови на онкомаркеры (вещества, которые сигнализируют о наличии в организме злокачественной опухоли). Ввиду риска озлокачествления дермоидной кисты проводится исследование крови на онкомаркер CA-125.
Дермоидная киста яичника и беременность
Лечение дермоидной кисты яичника лучше выполнить до наступления беременности. Но иногда опухоль обнаруживается впервые уже после того, как женщина забеременела. Если дермоид имеет небольшие размеры и не оказывает давления на внутренние органы, во время беременности его не трогают. В течение всего срока беременная должна находиться под наблюдением врача женской консультации.
Лечение дермоидной кисты яичника
Единственный метод лечения дермоида яичника – хирургическое вмешательство. Его объем и особенности зависят от размеров опухоли, возраста и состояния женщины.
Виды операций при дермоидной кисте яичника:
- у девушек и женщин в детородном возрасте производится полное удаление кисты, иногда – иссечение части яичника;
- у женщин после менопаузы чаще всего удаляют яичник, иногда – вместе с маточной трубой;
- если дермоидная киста яичника осложняется воспалением или перекрутом, проводится экстренное хирургическое вмешательство.
Операция может выполняться через разрез или эндоскопически. Эндоскопическая методика является менее травматичной, но окончательный выбор делает лечащий врач, в зависимости от наличия показаний.
Спустя 6 – 12 месяцев после удаления кисты можно планировать беременность.
Эндометриозная киста
Эндометриоз (синоним – эндометриоидные гетеротопии) – заболевание, характеризующееся ростом ткани, идентичной слизистой оболочке матки, в других органах. Эндометриоз яичников протекает в виде эндометриозной кисты.
Эндометриозные кисты обычно имеют размеры 0,6 – 10 см. Более крупные встречаются крайне редко. Они имеют прочную толстую капсулу толщиной 0,2 – 1,5 см. Нередко на ее поверхности находятся спайки. Внутри кистозной полости находится содержимое шоколадного цвета. В основном оно состоит из остатков крови, которая здесь, как и в матке, выделяется во время месячных.
Причины эндометриозных кист
До настоящего времени они пока еще окончательно не изучены.
Теории развития эндометриоза яичников:
- обратный заброс клеток из матки в маточные трубы во время месячных;
- перенос клеток из слизистой оболочки матки в яичники во время хирургических вмешательств;
- попадание клеток в яичник с током крови и лимфы;
- гормональные нарушения, изменение функции яичников, гипофиза, гипоталамуса;
- иммунные нарушения.
Симптомы эндометриозных кист
- постоянные боли в низу живота ноющего характера, которые периодически усиливаются, отдают в поясницу, прямую кишку, усиливаются во время месячных;
- острые резкие боли возникают примерно у 25% пациенток, у которых происходит разрыв кисты и излитие ее содержимого в полость живота;
- болезненные менструации (альгоменорея), сопровождающиеся головокружением и рвотой, общей слабостью, похолоданием рук и ног;
- запоры и нарушение мочеиспускания – вызваны образованием спаек в полости таза;
- небольшие кровянистые выделения из влагалища после того, как месячные уже закончились;
- постоянное небольшое повышение температуры тела, периодические ознобы;
- невозможность забеременеть в течение длительного времени.
Диагностика эндометриозных кист яичников
- Общий анализ крови. У женщин с эндометриозом часто выявляется увеличение скорости оседания эритроцитов – признак воспалительного процесса в организме. Иногда таких пациенток длительное время ошибочно лечат в поликлинике от аднексита – воспалительного заболевания матки и придатков.
- Гинекологический осмотр. Во время осмотра гинекологом эндометриозные кисты могут выявляться справа, слева или с обеих сторон. На ощупь они эластические, но достаточно плотные. Они находятся на одном месте и практически не смещаются.
- Лапароскопия. Эндоскопическое исследование, которое является наиболее информативным при эндометриозных кистах яичников. Лапароскопия позволяет осмотреть патологическое образование, которое имеет характерную форму.
- Биопсия. Позволяет установить окончательный диагноз и отличить эндометриозные яичниковые кисты от других патологических образований. Кусочек ткани для исследования врач берет при помощи специальных инструментов во время лапароскопического исследования.
- Ультразвуковое, КТ и МРТ – высокоинформативные исследования, которые помогают детально рассмотреть внутреннюю структуру кисты.
Классификация эндометриозных кист яичников:
- I степень. Как таковых кист пока еще нет. Есть мелкие, в виде точек, эндометриозные образования в ткани яичников.
- II степень. Имеется киста яичников мелких или средних размеров. В полости таза есть спайки, которые не затрагивают прямую кишку.
- III степень. Кисты расположены справа и слева, на обоих яичниках. Их размеры достигают более 5 – 6 см. Эндометриозные разрастания покрывают снаружи матку, маточные трубы, стенки тазовой полости. Спаечный процесс становится более выражен, в него вовлекается кишечник.
- IV степень. Эндометриозные кисты яичников имеют большие размеры. Патологический процесс распространяется на соседние органы.
Лечение эндометриозной кисты яичника
Цели лечения при кистах яичников, связанных с эндометриозом:
- устранение беспокоящих женщину симптомов;
- предотвращение дальнейшего прогрессирования заболевания;
- борьба с бесплодием.
Современные методы лечения эндометриозных кист яичников:
| Метод | Описание |
| Консервативные методики | |
| Гормональная терапия | Эндометриоз практически всегда сопровождается гормональным дисбалансом, который должен быть устранен.
Гормональные препараты, которые используются для лечения эндометриоза:
*Все перечисленные препараты принимаются строго по назначению врача. Средняя продолжительность лечения – 6 – 9 месяцев. |
| Витамины | Оказывают общеукрепляющее действие, улучшают функции яичников. Наиболее важны витамины E, C. |
| Противовоспалительные средства | Устраняют воспалительный процесс, сопровождающий эндометриоидные гетеротопии. Применяется индометацин в виде таблеток или ректальных свечей. *Все перечисленные препараты принимаются строго по назначению врача. |
| Обезболивающие средства | Борьба с болевым синдромом, нормализация состояния женщины. Применяется Анальгин, Баралгин. *Все перечисленные препараты принимаются строго по назначению врача. |
| Иммуномодуляторы | Препараты, которые приводят в норму иммунитет. Назначаются в тех случаях, когда эндометриозные кисты сопровождаются значительными иммунными сдвигами.
Иммуномодуляторы, которые применяются при эндометриозной кисте яичника:
*Все перечисленные препараты принимаются строго по назначению врача. |
| Хирургические методики | |
| Лапаротомические вмешательства | Лапаротомия – хирургическое вмешательство, которое выполняется через разрез.
Тактика хирургического вмешательства при эндометриозе:
|
| Лапароскопические вмешательства | Операции по удалению эндометриозных кист, которые выполняются эндоскопически, через прокол.
Лапароскопическое удаление эндометриозных кист яичников является менее травматичным, реже приводит к осложнениям, не требует длительного реабилитационного лечения после проведенной операции. |
| Комбинированные методы лечения | |
| Проводится курс консервативной терапии, после чего эндометриозную кисту удаляют хирургическими методами. | |
Беременность при эндометриозных кистах яичников
Пациентки с эндометриозными кистами яичников подолгу не могут забеременеть. Иногда бесплодие является единственной жалобой, с которой пациентка приходит к врачу.
Если диагноз установлен до наступления беременности, то рекомендуется сначала удалить кисту, а затем планировать ребенка.
Если киста выявлена уже во время беременности, но она имеет небольшие размеры и не сдавливает внутренние органы, то никаких противопоказаний к родам нет. У женщин с эндометриоидными гетеротопиями повышенный риск выкидыша, поэтому в течение всего срока беременности они должны находиться под особым наблюдением врача.
Синдром поликистозных яичников
Синдром поликистозных яичников (синонимы: поликистоз яичников, склерокистоз яичников) –гормональное заболевание, при котором нарушается функционирование и нормальное строение яичников.
Поликистозные яичники выглядят как нормальные, но увеличены в размерах. В толще органа находится много мелких кист, которые представляют собой созревшие фолликулы, не способные прорвать оболочку яичника и высвободить яйцеклетку наружу.
Причины синдрома поликистозных яичников
Сначала в организме женщины развивается инсулинорезистентность: органы и ткани становятся нечувствительны к инсулину, — гормону, который отвечает за усвоение глюкозы и снижение ее содержания в крови.
Из-за этого поджелудочная железа увеличивает выработку инсулина. Гормон в большом количестве поступает в кровоток и начинает оказывать негативное воздействие на яичники. Они начинают выделять больше андрогенов – мужских половых гормонов. Андрогены не дают яйцеклетке в фолликуле нормально созреть и выйти наружу. В итоге во время каждой очередной овуляции созревший фолликул остается внутри яичника и превращается в кисту.
Патологические состояния, предрасполагающие к развитию синдрома поликистозных яичников:
- Избыточная масса тела (ожирение). Если в организм поступает большое количество жиров и глюкозы, поджелудочная железа вынуждена вырабатывать больше инсулина. Это приводит к тому, что клетки организма быстро утрачивают чувствительность к гормону.
- Сахарный диабет. При этом заболевании либо инсулин вырабатывается в недостаточном количестве, либо он перестает действовать на органы.
- Отягощенная наследственность. Если женщина страдает сахарным диабетом и поликистозом яичников, то ее дочери имеют повышенный риск.
Симптомы поликистоза яичников
- Задержки месячных. Перерывы между ними могут составлять месяцы и годы. Этот симптом обычно отмечается у девочек сразу после первой менструации: вторая приходит не через месяц, а намного позже.
- Гирсутизм – избыточный рост волос на теле, как у мужчин. Появление этого вторичного мужского полового признака связано с выработкой в яичниках большого количества андрогенов.
- Повышенная жирность кожи, угревая сыпь. Данные симптомы также связаны с избытком андрогенов.
- Ожирение. Жировая ткань у женщин с синдромом поликистозных яичников в основном откладывается в области живота.
- Нарушения со стороны сердечно—сосудистой системы. У таких пациенток рано развивается артериальная гипертония, атеросклероз, ишемическая болезнь сердца.
- Бесплодие. Яйцеклетка не может покинуть фолликул яичника, поэтому зачатие ребенка становится невозможным.
Диагностика синдрома поликистозных яичников
Синдром поликистозных яичников легко спутать с другими эндокринными заболеваниями. Особенно если женщина еще не пыталась зачать ребенка, и бесплодие не было выявлено.
Окончательный диагноз устанавливают после проведения обследования:
- УЗИ. Одна из наиболее информативных методик, которая позволяет осмотреть и оценить внутреннюю структуру яичника, обнаружить кисты. Ультразвуковое исследование при поликистозе проводится при помощи датчика, который вводится через влагалище.
- Исследование содержания в крови женских и мужских половых гормонов. Оценивают гормональный статус женщины. При синдроме поликистозных яичников обнаруживается повышенное количество андрогенов – мужских половых гормонов.
- Биохимический анализ крови. Выявляется повышенный уровень холестерина, глюкозы.
- Лапароскопия (кульдоскопия). Эндоскопическое исследования показано женщине в том случае, если у нее имеются дисфункциональные маточные кровотечения (выделение крови из влагалища, которые не связаны с месячными и другими заболеваниями половых органов). Во время лапароскопии врач проводит биопсию: небольшой кусочек яичника берется для исследования под микроскопом.
Лечение синдрома поликистозных яичников
Назначая лечение при поликистозе яичников, врач учитывает выраженность симптоматики и стремление женщины забеременеть.
Лечение начинают с консервативных методов. Если они не приносят результатов, проводится хирургическое вмешательство.
Схема лечения синдрома поликистозных яичников
| Направление терапии | Описание |
| Борьба с избыточной массой тела |
|
| Борьба с нарушениями обмена углеводов, вызванными снижением чувствительности тканей к инсулину | Обычно назначается Метформин. Курс проводится в течение 3 – 6 месяцев.
*Все перечисленные препараты принимаются строго по назначению врача. |
| Борьба с бесплодием, гормональная терапия |
*Все перечисленные препараты принимаются строго по назначению врача. |
| Гормональная терапия у женщин, которые не планируют беременность |
*Все перечисленные препараты принимаются строго по назначению врача. |
Хирургическое лечение при синдроме поликистозных яичников
Цель операции при поликистозе яичников – удаление частей органа, которые вырабатывают мужские половые гормоны.
Практически всегда прибегают к лапароскопическому вмешательству под общим наркозом. На стенке живота делают небольшие надрезы-проколы, через которые вводят эндоскопические инструменты.
Варианты хирургического вмешательства при синдроме поликистозных яичников:
- Иссечение части яичника. При помощи эндоскопического скальпеля хирург иссекает участок органа, который вырабатывает больше всего андрогенов. Этот способ хорош тем, что одновременно можно устранить сопутствующие спайки между яичником и другими органами.
- Электрокоагуляция – точечное прижигание участков яичников, в которых находятся клетки, продуцирующие тестостерон и другие мужские половые гормоны. Операция обладает минимальной травматичностью, проводится очень быстро, не требует длительной реабилитации.
Обычно в течение 6 – 12 месяцев с момента проведения хирургического вмешательства по поводу синдрома поликистозных яичников у женщины получается забеременеть.
Синдром поликистозных яичников и беременность
Так как заболевание сопровождается невозможностью яйцеклетки покинуть яичник, все такие пациентки являются бесплодными. Забеременеть удается только после излечения заболевания и нормализации овуляции.
Фолликулярная киста яичника
Фолликулярная киста яичника – кистозное образование, которое представляет собой увеличенный в размерах фолликул.
Такая киста имеет тонкие стенки и полость с жидким содержимым. Ее поверхность ровная, гладкая. Ее размеры обычно не превышают 8 см.
Формирование фолликулярных кист, как правило, происходит у молодых девушек во время полового созревания.
Фолликулярные кисты правого и левого яичника встречаются одинаково часто.
Симптомы фолликулярной кисты яичника
Фолликулярная киста, размеры которой не превышают 4 – 6 см, чаще всего не дает никаких симптомов.
Иногда отмечается повышенное образование в яичниках женских половых гормонов – эстрогенов. При этом нарушается регулярность месячных, возникают ациклические маточные кровотечения. У девочек отмечается преждевременное половое созревание.
Иногда женщину беспокоят ноющие боли в животе.
Увеличение диаметра кисты до 7 – 8 см создает риск перекрута ее ножки, в которой проходят сосуды и нервы. При этом возникают острые боли в животе, состояние женщины резко ухудшается. Необходима экстренная госпитализация в стационар.
Во время овуляции, в середине менструального цикла, может произойти разрыв фолликулярной кисты. При этом женщина также испытывает острые боли в животе – так называемые овариальные боли.
Диагностика фолликулярных кист яичника
- Гинекологический осмотр. Проводится влагалищно-абдоминальный или ректо-абдоминальный осмотр. При этом врач обнаруживает справа или слева от матки образование, которое имеет плотную эластическую консистенцию, легко смещается относительно окружающих тканей, безболезненное при ощупывании.
- УЗИ – ультрасонография (исследование, основанное на применении ультразвука высокой частоты для выявления глубоко расположенных структур). Позволяет хорошо изучить внутреннюю структуру яичника и кисты.
- Лапароскопия и кульдоскопия при фолликулярной кисте яичника применяются только по специальным показаниям.
Лечение фолликулярной кисты яичника
Небольшие кисты могут рассасываться самостоятельно, без лечения.
Консервативное лечение фолликулярной кисты яичника заключается в назначении гормональных препаратов, содержащих эстрогены и гестагены. Обычно выздоровление наступает через 1,5 – 2 месяца.
Показания к хирургическому лечению:
- неэффективность консервативного лечения, которое проводится более 3 месяцев;
- большие размеры кисты (диаметр более 10 см).
Проводится лапароскопическое хирургическое вмешательство, во время которого врач вылущивает кисту и ушивает образовавшийся дефект.
Фолликулярная киста яичника и беременность
Данный вид кист не мешает наступлению беременности. В результате изменения гормонального фона беременной женщины, фолликулярная киста обычно самостоятельно исчезает на 15 – 20 неделе. Такие пациентки должны находиться под особым наблюдением у акушера-гинеколога в женской консультации.
Серозная кистома яичника (серозная цистома, цилиоэпителиальная кистома)
Серозная кистома яичника – доброкачественная опухоль, которая имеет внутри полость с прозрачной жидкостью.
Главное отличие серозной кистомы от других кист и опухолей – строение клеток, которые ее выстилают. По строению они идентичны слизистой оболочке маточных труб либо клеткам, которые покрывают снаружи поверхность яичника.
Кистома, как правило, расположена только с одной стороны, возле правого или левого яичника. Внутри находится только одна камера, не разделенная перегородками. Ее диаметр может составлять до 30 см или более.
Причины серозной кистомы яичника
- эндокринные заболевания и гормональный дисбаланс в организме;
- инфекции наружных и внутренних половых органов, заболевания, передающиеся половым путем;
- воспалительные заболевания маточных труб и яичников (сальпингоофорит, аднексит);
- перенесенные аборты и хирургические вмешательства на органах малого таза.
Симптомы серозной кистомы яичника
- обычно заболевание выявляется у женщин в возрасте после 45 лет;
- пока кистома имеет небольшие размеры, она не дает практически никакой симптоматики: могут отмечаться периодические боли внизу живота;
- увеличение опухоли в размерах более 15 см сопровождается сдавлением внутренних органов и такими симптомами, как запоры, нарушения мочеиспускания;
- асцит (увеличение живота в результате скопления жидкости в брюшной полости) – тревожный симптом, который должен стать причиной немедленного визита к онкологу и проведения обследования.
Серозные кистомы яичников способны трансформироваться в злокачественные опухоли. Правда, происходит это только в 1,4% случаев.
Диагностика серозной кистомы яичника
- Гинекологический осмотр. Дает возможность обнаружить опухолевое образование возле правого или левого яичника.
- Ультразвуковое исследование. Во время проведения диагностики врач обнаруживает однокамерную полость, заполненную жидкостью.
- Биопсия. Осмотр опухоли под микроскопом. Позволяет отличить доброкачественную серозную кистому от других опухолевых новообразований яичника. Чаще всего кистому отправляют на гистологическое исследование целиком, после того, как она удалена.
Лечение серозной кистомы яичника
Лечение серозной кистомы яичника – хирургическое. Существует два варианта хирургического вмешательства:
- При небольших размерах опухоли ее удаляют полностью. Иногда – с частью яичника.
- При достаточно больших размерах кистомы яичник атрофируется и становится частью стенки кисты. В этом случае целесообразно удалять опухоль вместе с яичником на стороне поражение.
Хирургическое вмешательство может производиться при помощи лапаротомии или лапароскопии. Тактику выбирает лечащий врач, ориентируясь на особенности опухоли, состояние и возраст пациентки.
Серозная кистома яичника и беременность
Если серозная цистома имеет размеры в пределах 3 см, то она обычно не влияет на процесс вынашивания беременности.
Большие размеры опухоли представляют опасность для беременной женщины и плода. На сроке 12 недель, когда матка начинает подниматься из полости таза в полость живота, возникает рост перекрута ножки кисты. Это экстренное состояние, которое требует немедленного хирургического вмешательства и может спровоцировать выкидыш.
Большие серозные кистомы яичников необходимо удалять до наступления беременности.
Папиллярная кистома яичника
Под термином «папиллярная кистома яичника» понимают такую кистому, на внутренней или наружной поверхности стенки которой во время УЗИ обнаруживаются разрастания в виде сосочков.
Папиллярная киста яичника относится, согласно классификации Всемирной Организации Здравоохранения (ВОЗ), к предраковым состояниям. Она озлокачествляется в 40 – 50% случаев.
Обнаружение папиллярной кистомы является абсолютным показанием к проведению хирургического лечения. Удаленная опухоль в обязательном порядке отправляется на биопсию.
Муцинозная кистома яичника
Муцинозная кистома яичника (синоним: псевдомуцинозная киста) – доброкачественная опухоль. Ее главное отличие от серозной кистомы – клетки, которые выстилают полость кисты изнутри: по строению они напоминают слизистую оболочку влагалища в том месте, где оно переходит в шейку матки.
Муцинозные кисты яичников выявляются в разном возрасте. Чаще всего их обнаруживают у женщин в 50 лет.
Обычно муцинозная кистома имеет круглые или овальные очертания, неровную бугристую поверхность. Внутри находится несколько камер, заполненных слизью. Опухоль растет очень быстро, достигает огромных размеров.
Муцинозные кисты обладают склонностью к озлокачествлению. В 3 — 5% случаев они трансформируются в рак. Если опухоль обладает быстрым ростом и характерным строением клеток, то риск озлокачествления составляет 30%.
Симптомы и особенности диагностики муцинозной кистомы яичника
Симптомы и обследование при муцинозных кистах яичников практически не отличаются от таковых при серозных кистах.
Лечение муцинозной кистомы яичника
Данная опухоль требует хирургического вмешательства.
Возможные тактики хирургического лечения:
- У молодых нерожавших девушек опухоль полностью удаляют. Яичник сохраняют в том случае, если в ходе обследования не выявлено риска озлокачествления.
- У женщин детородного возраста удаляется киста и яичник на стороне поражения.
- У женщин в постменопаузе показано удаление матки вместе с придатками.
- При развитии осложнений (перекрут ножки кисты) производится экстренное хирургическое вмешательство.
- Если в ходе исследования обнаружен злокачественный процесс, до и после операции назначают химиотерапию и лучевую терапию.
Вид и объем операционного вмешательства определяет врач после проведения обследования.
Беременность при муцинозной кистоме яичника
Опухоль небольшого размера не мешает беременности. При наличии муцинозной кистомы всегда есть риск выкидыша и развития экстренного состояния, требующего немедленного хирургического вмешательства, при перекруте ножки кисты.
Нужно провести обследование и удалить опухоль до планирования ребенка. Попытки забеременеть стоит предпринимать только после операции и реабилитационного периода, составляющего обычно около 2 месяцев.
После операции женщина наблюдается у гинеколога, онколога, маммолога.
Киста желтого тела яичника
Киста желтого тела яичника (синоним: лютеиновая киста) – киста, которая образуется в корковом слое яичника из желтого тела.
Желтое тело – скопление эндокринных клеток, которое остается на месте лопнувшего фолликула (см. выше «анатомия яичника»). Некоторое время оно выделяет в кровоток гормон прогестерон, а затем, ко времени очередной овуляции, атрофируется.
Лютеиновая яичниковая киста формируется из-за того, что желтое тело не подвергается регрессии. Нарушение в нем кровотока приводит к тому, что оно превращается в кистозную полость.
По статистике кисты желтого тела встречаются у 2 – 5% всех женщин.
Киста имеет ровную округлую поверхность. Ее размеры обычно не превышают 8 см. Внутри находится жидкость желтовато-красного цвета.
Причины возникновения кисты желтого тела
Причины развития заболевания изучены недостаточно хорошо. Ведущая роль отводится таким факторам, как гормональный дисбаланс в организме и нарушение кровообращения в яичниках. Киста желтого тела может возникать во время беременности или вне ее, в этом случае течение заболевания несколько различается.
Факторы, которые способствуют развитию кисты желтого тела яичника:
- прием лекарств, симулирующих выход яйцеклетки из фолликула при бесплодии;
- прием лекарств для подготовки к экстракорпоральному оплодотворению, в частности, кломифена цитрата;
- прием препаратов для экстренной контрацепции;
- длительные интенсивные физические и психические нагрузки;
- неполноценное питание, голодание;
- частые и хронические заболевания яичников и маточных труб (оофориты, аднекситы);
- частые аборты.
Симптомы кисты желтого тела
Данный вид яичниковых кист не сопровождается практически никакой симптоматикой. Иногда киста возникает и самостоятельно проходит, при этом женщина даже не догадывается о ее существовании.
Симптомы лютеиновой кисты яичника
- небольшая болезненность в низу живота на стороне поражения;
- ощущение тяжести, распирания, чувство дискомфорта в животе;
- задержки месячных;
- продолжительные месячные из-за неравномерного отторжения слизистой оболочки матки.
Кисты желтого тела никогда не трансформируются в злокачественные опухоли.
Диагностика кисты желтого тела
- Гинекологический осмотр. Врач может выявить небольшое образование сбоку от матки, которое имеет плотную эластическую консистенцию. Его можно легко сместить относительно окружающих тканей, но при его ощупывании отмечается небольшая болезненность.
- Ультразвуковое исследование. Выявляют округлую полость с тонкой стенкой и жидкостью внутри. Обычно ее размеры не превышают 4 – 8 см.
- Допплерография – ультразвуковое исследование, позволяющее оценивать кровоток в сосудах. Внутри лютеиновой кисты яичника всегда отсутствует кровоток, в то время как в опухолях яичников он всегда выявляется.

- Исследование онкомаркеров в крови. При подозрении на кисту желтого тела проводится анализ крови на онкомаркер СА-125. Он должен отсутствовать. В противном случае диагностируется опухоль.
- Тест на беременность. Чаще всего лютеиновые кисты диагностируются во время беременности.
- Лапароскопия и кульдоскопия. Проводятся только при наличии показаний по назначению врача. Обычно требуются для того, чтобы отличить кисту от других патологий.
Лечение лютеиновых кист яичников
| Вновь выявленная киста желтого тела | |
| Динамическое наблюдение гинеколога, УЗИ и допплерография в течение 2 – 3 месяцев. | В большинстве случаев лютеиновые кисты рассасываются самостоятельно. |
| Рецидивирующие и долго не проходящие кисты | |
| Консервативная терапия |
|
| Киста желтого тела яичника, которая не проходит в течение 4 – 6 недель при консервативном лечении | |
| Хирургическое лечение | Чаще всего выполняется лапароскопическое вмешательство. Кисту вылущивают, место дефекта ушивают. Иногда удаляют часть яичника. |
| Осложненная лютеиновая киста | |
|
Экстренная операция путем лапаротомии, через разрез. |
Киста желтого тела яичника и беременность
Лютеиновая киста, обнаруженная во время беременности, не является поводом для беспокойства. В норме она должна возникать и выделять гормоны, необходимые для сохранения беременности. С 18 недели беременности эти функции на себя берет плацента, а желтое тело постепенно атрофируется.
Напротив, отсутствие желтого тела во время беременности является фактором риска выкидыша.
Лечение кисты желтого тела яичника народными средствами
Ниже представлены некоторые народные средства для лечения кист яичников. Стоит помнить о том, что многие виды кист лечатся только хирургическими способами. Перед применением тех или иных народных методов обязательно проконсультируйтесь с врачом.
Настойка из изюма
Взять 300 грамм изюма. Залить 1 литром водки. Настаивать в течение недели. Принимать по одной столовой ложке три раза в день перед едой. Обычно указанного количества настойки хватает на 10 дней. Общий рекомендуемый курс лечения – 1 месяц.
Сок лопуха
Взять листья и стебли лопуха. Выжать сок. Принимать по столовой ложке три раза в день перед едой. После того, как сок выжат, его нужно хранить в холодильнике и использовать в течение трех дней. После этого он становится не годен – нужно готовить новое средство.
Народная мазь, применяемая при кистах яичников
Налить в эмалированную кастрюлю 1 литр растительного масла. Поместить в него небольшой кусочек пчелиного воска. Нагреть на газовой плите до тех пор, пока воск не растает. Продолжая держать полученный раствор на огне, добавить в него измельченный яичный желток. Снять с огня, дать настояться в течение 10 – 15 минут.
Процедить. Смачивать полученной мазью тампоны и вводить их во влагалище утром и вечером на два часа. Курс лечения – 1 неделя.
Народное средство против функциональных кист яичника на основе грецкого ореха
Взять перегородки из скорлупы грецкого ореха в количестве 4 чайных ложек. Залить 3 стаканами кипятка. Кипятить в течение 20 минут на медленном огне. Принимать по полстакана 2 – 3 раза в день.
Может ли развиться киста яичника у девочки?
Многие считают, что у девочек, которые не живут половой жизнью, проблем с органами половой системы не бывает. Но, к сожалению, кисты яичников могут встречаться и у детей, и у бабушек в климаксе. У девочек данная патология выявляется, хоть и нечасто, в 25 случаев на миллион ежегодно. Кисты могут иметь огромные размеры и привести к удалению яичника. Наиболее часто (более половины случаев), болеют девочки в возрасте от 12 до 15 лет, то есть в период, когда устанавливается менструальный цикл. Но иногда обнаруживают кисты и у новорожденных малышек.
Причины возникновения кист у девочек:
- наследственность – наличие кистозных образований у близких кровных родственниц;
- нарушение гормонального фона при половом созревании и становлении менструального цикла;
- ранний возраст менархе – первой менструации;
- применение различных гормональных препаратов;
- заболевания щитовидной железы;
- тяжелые физические нагрузки;
- лишний вес и ожирение – большое количество жира в организме способствует нарушениям баланса женских половых гормонов;
- переохлаждение девочек и другие факторы.
Какие кисты в большинстве случаев встречаются у девочек?
1. Фолликулярная киста.
2. Кисты желтого тела.
У девочек в большинстве случаев развиваются функциональные кисты, но это не означает, что другие виды кист у них не бывают.
Особенности проявлений кист яичников у девочек подросткового возраста:
1. Может быть бессимптомным течение кисты яичника, если ее размеры менее 7 см.
2. Из симптомов наиболее характерны:
- боли внизу живота, усиливающиеся при физической нагрузке;
- нарушение менструального цикла;
- болезненные месячные и предменструальный синдром;
- из влагалища возможны кровянистые выделения, не связанные с месячными.
3. Часто фолликулярные кисты у девочек сопровождаются ювенильными маточными кровотечениями, которые могут длиться долго и тяжело останавливаются.
4. Из-за анатомических особенностей строения малого таза у девочек и высокого расположения яичников, часто встречается осложнение в виде перекрута ножки кисты яичника. К сожалению, эта «авария» в малом тазу зачастую является первым симптомом кисты.
5. У подростков могут быть многокамерные кисты огромных размеров, что связано со слиянием нескольких фолликулярных кист. При этом описываются случаи кист у девочек размерами более 20-25 см в диаметре. Наиболее ярким симптомом таких кист является увеличение в объеме живота, очень напоминающее 12-14 недель беременности.
6. При своевременном выявлении, небольших размерах образования и грамотном подходе возможно рассасывание кист без лечения и оперативного вмешательства.
Лечение кист яичника у девочек.
Учитывая очень юный возраст, основным принципом лечения кист яичника у девочек является максимальное сбережение яичника и сохранение его функций. Это необходимо для того, чтобы сберечь репродуктивную функцию будущей женщины.
Принципы лечения кисты яичников у девочек:
- Кисты яичников у новорожденных обычно проходят самостоятельно, потому что возникают из-за действия гормонов матери. Если образование не рассасывается и увеличивается в размерах, то проводят пункцию кисты и отсасывают из нее жидкость, или удаляют кисту, сберегая орган (лапароскопическая операция).
- Киста небольших размеров (до 7 см), если она не сопровождается маточными кровотечениями, перекрутом ножки или разрывом кисты, то просто наблюдают в течение 6 месяцев. За это время, в большинстве случаев, киста самостоятельно рассасывается. Возможно назначение гормональных или гомеопатических препаратов.
- Если киста за время наблюдения увеличивается в размерах, то необходима операция. При этом, по возможности, стараются удалить кисту, сохраняя половую железу.
- При проявлении осложнений кисты (воспаление, разрыв, перекрут ножки кисты), а также при непрекращающихся маточных кровотечениях операция неизбежна, и проводится по жизненным показаниям. Если не удается сохранить яичник, то возможно его удаление, а в особо тяжелых случаях удаляют яичник со всеми придатками.
В большинстве случаев киста яичника у подростков протекает благоприятно и не приводит к удалению половой железы, что не влияет на детородную функцию девушки в будущем. Во время наблюдения за кистой и после операции необходимо наблюдение у гинеколога и щадящий режим физических нагрузок.
Что такое параовариальная киста яичника, каковы причины, симптомы и лечение?
Параовариальная киста – это полостное образование, доброкачественная опухоль, которая возникает не на самом яичнике, а в области между яичником, маточной трубой и широкой маточной связкой, киста не прикрепляется к яичнику. Параовариальная киста не относится к истинным кистам яичника.

Схематическое изображение возможных мест локализации параовариальной кисты.
Это образование представляет собой полость с тонкими эластичными стенками, внутри которой накапливается жидкость.
Такая опухоль достаточно распространена среди молодых женщин, и каждый десятый диагноз доброкачественной опухоли женской половой системы приходится на параовариальную кисту.
Причины развития параовариальной кисты:
Основной причиной развития параовариальной кисты является нарушение закладки половых органов у плода во время беременности, при этом данное образование не передается по наследству. Нарушение развития половой системы плода связывают с вирусными инфекциями:
- герпес, особенно половой;
- вирус папилломы человека;
- цитомегаловирус;
- корь;
- грипп;
- ветряная оспа и другие инфекции.
Данная киста закладывается внутриутробно, но растет она под действием различных факторов.
Факторы, способствующие развитию параовариальной кисты:
- медицинские аборты;
- беременность;
- воспалительные гинекологические заболевания, в том числе заболевания, передающиеся половым путем;
- TORCH-инфекции;
- гормональные нарушения;
- стрессы;
- частые перегревания;
- раннее менархе (установление менструального цикла);
- нарушение функции щитовидной железы и другие эндокринные заболевания;
- прием некоторых лекарственных препаратов и другие факторы, действующие на половую систему женщины, вплоть до неблагоприятной экологической ситуации.
Особенности параовариальных кист:
- имеет округлую форму;
- толщина стенки не превышает 2-3 мм;
- средние размеры кисты – 8-10 мм, но может достигать более 25 см в диаметре, а наименьший размер – до 5 мм;
- может быть односторонней и, реже, двусторонней;
- растут очень медленно, но их рост непредсказуемый, за короткое время киста может достичь огромных размеров;
- растет не за счет деления клеток кисты, а за счет наполнения ее полости жидкостью и растягивания стенок;
- такая киста самостоятельно не рассасывается ни при каких обстоятельствах;
- содержит в себе слизистую прозрачную жидкость;
- не склонна к озлокачествлению, то есть не перерождается в рак;
- не передается по наследству;
- склонна к развитию осложнений, требующих экстренного хирургического вмешательства;
- небольшая киста не влияет на возможность забеременеть.
Симптомы параовариальной кисты:
- длительно протекает без жалоб и дискомфорта, симптомы появляются только при достижении размеров более 12-15 см в диаметре, образование обнаруживается случайно при вагинальной УЗИ – диагностике;
- нарушение менструального цикла, болезненные месячные;
- болезненность при половом контакте (диспареуния);
- при больших размерах кисты возможно увеличение живота в объеме, затруднение мочеиспускания и запоры, бесплодие;
- маточные кровотечения;
- симптомы острого живота (острые нетерпимые боли внизу живота, повышение температуры тела и прочее) возникают при развитии осложнений параовариальной кисты.
Осложнения параовариальной кисты:
- перекрут ножки кисты;
- разрыв кисты;
- воспаление и нагноение кисты.
Лечение параовариальной кисты:
- подход к лечению индивидуальный, в большинстве случаев зависит от размеров кисты;
- при небольших размерах (до 10 см) кисту наблюдают с помощью регулярного проведения вагинальной УЗИ-диагностики;
- оперативное лечение необходимо при больших размерах кисты, особенно если есть какие-то симптомы или дискомфорт;
- для оперативного вмешательства при неосложненной параовариальной кисте используют лапароскопические операции без удаления придатков матки;
- при развитии осложнений проводится экстренная операция, не исключено удаление придатков пораженной стороны.
В большинстве случаев прогноз благоприятный. И после оперативного вмешательства женщина сможет стать матерью.

Фото: операционный материал параовариальной кисты больших размеров. Киста имеет тонкие стенки, полость заполнена жидкостью.
Гормональная и ретенционная киста яичника, что это?
Гормональная киста яичника – это термин, который указывает на то, что кистозное образование развилось под действием гормонов. Практически любой вид кисты яичника может развиться на фоне нарушений баланса половых гормонов, а также гормонов щитовидной железы.
Наиболее часто встречаемые гормон-зависимые кисты яичника:
- фолликулярная киста;
- киста желтого тела;
- дермоидная киста;
- эндометриозная киста;
- поликистоз.
Причины гормональных кист яичника:
- воспалительные заболевания придатков, в том числе и заболевания, передающиеся половым путем;
- стрессы, переутомление;
- заболевания щитовидной железы и гипофиза;
- ожирение или дефицит массы тела;
- подростковый возраст;
- аборты;
- алкоголизм или наркомания;
- нерегулярная половая жизнь и многие другие причины, так как женский организм очень чувствителен к изменениям внешней и внутренней среды.
Особенности:
1. Гормональные кисты при нормализации гормонального фона способны к самостоятельному рассасыванию.
2. Такие кисты могут переродиться в гормон-зависимые раковые опухоли.
3. Возможны кисты, которые выделяют женские гормоны, и хоть при этом женщина расцветает и молодеет, такие кисты могут привести к различным осложнениям.
4. Диагноз выставляется на основании УЗИ-признаков кисты и результатов лабораторных исследований уровня половых гормонов в разные периоды менструального цикла.

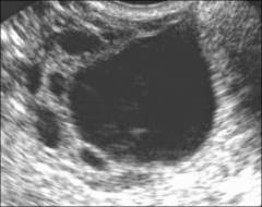
Фото: УЗИ-картина фолликулярной кисты яичника. Киста представляет собой полость больших размеров, также визуализируются нормальные фолликулы яичника.
Лечение гормональных кист:
- в большинстве случаев гормональные кисты (фолликулярные кисты и кисты желтого тела) проходят самостоятельно при устранении факторов, которые приводят к дисбалансу женских гормонов;
- если рассасывание кист не произошло через 6 месяцев, применяют гормональную терапию, только под контролем лабораторных исследований гормонов в разные фазы менструального цикла;
- оперативное лечение гормональных кист проводят нечасто, в большинстве случаев при развитии осложнений;
- оперативное лечение без нормализации гормонального фона может быть неэффективным и в скором времени появится новая киста.
Ретенционная киста – от латинского слова retencio означает задерживаться, то есть нарушается отток содержимого железы и образуется киста.
Подобные кисты могут образовываться в любой железе по всему организму: яичников, подъязычных слюнных желез, верхней и нижней губ, шейки матки, миндалин, легких, печени и так далее.

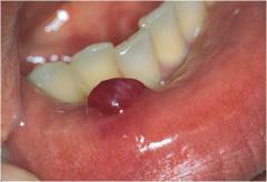
Фото: так выглядят симптомы ретенционной кисты нижней губы.
По сути ретенционные кисты яичника – это кисты, образуемые при обычном менструальном цикле (из фолликула, желтого тела), но по каким-то причинам задержавшиеся, то есть содержимое функциональных кист яичника не выделяется в окружающие ткани, а скапливается в ретенционной кисте яичника.
К ретенционным могут относиться кисты яичника:
- фолликулярная киста;
- киста желтого тела;
- эндометриозная киста яичника.
Симптомы: ретенционные кисты яичников в большинстве случаев протекают бессимптомно. В некоторых случаях возможно:
- бесплодие;
- маточные кровотечения;
- боли внизу живота;
- характерные изменения на УЗИ органов малого таза.
Лечение ретенционных кист яичников.
При ретенционных кистах различных желез рекомендовано хирургическое лечение. Только при ретенционной кисте яичников возможно самостоятельное рассасывание образования, и поэтому многие специалисты используют тактику наблюдения.
Если в течение нескольких месяцев ретенционная киста яичника не рассосалась, проводят хирургическое удаление кисты.
При развитии бесплодия на фоне такого образования, после органосохраняющей операции или рассасывания кисты без лечения, возможна беременность.
Киста яичника после удаления матки, что делать?
Существует очень много причин, требующих удаления матки (гистерэктомии, экстирпации или ампутации матки):
- отсутствие тонуса матки после родов или аборта, при развитии профузного маточного кровотечения;
- миома, фибромиома;
- эндометриоз;
- рак шейки матки;
- выпадение матки;
- перфорация или разрыв матки вследствие травмы или разрыва послеоперационных рубцов (после кесарева сечения) и некоторые другие.
Но какими бы ни были причины удаления матки, хирурги максимально стараются сохранить яичники, или хотя бы один из них. Ведь яичник – это не только орган, хранящий половые клетки, но и железа, выделяющая женские гормоны, играющие огромную роль в здоровье, молодости и жизни женщины. Не просто же так многие дамы после наступления климакса быстро стареют и начинают болеть различными заболеваниями, такими как сердечно-сосудистые патологии, остеопороз и так далее.
По статистике половина женщин после 50 лет живут без матки и чувствуют себя хорошо. Но отсутствие матки у женщин детородного возраста – это трагедия и сильная психологическая травма, ведь такая женщина никак не сможет выносить малыша. К тому же, кроме функции вынашивания беременности, матка участвует и в обмене женских половых гормонов. Поэтому после ее удаления у многих пациенток возможны гормональные нарушения. Эти сдвиги в балансе гормонов и некоторые другие причины могут способствовать развитию различных видов кистозных образований оставшихся яичников.
И в такой ситуации пациентками часто ставится вопрос: «Что делать?», ведь она уже пережила операцию по удалению органа, а теперь придется лишиться и яичника. А если он только один!
Принципы лечения кист яичников после удаления матки:
- наблюдение в течение нескольких месяцев, за это время киста может самостоятельно рассосаться;
- при необходимости оперативного лечения кисты максимально подбирают сберегающую орган операцию;
- удаление яичника неизбежно при развитии осложнений кисты (перекрут, нагноение, разрыв).
Для того чтобы не пришлось удалять половые железы, любой женщине, особенно без матки, нужно регулярно посещать гинеколога, тогда кисту можно будет выявить своевременно, еще до развития осложнений.
Важно! Если во время удаления матки был оставлен только один яичник, то второй яичник берет на себя функцию и удаленного органа (викарный орган). При этом яичник работает интенсивнее обычного, что может способствовать развитию различных функциональных кист. Со временем, при адаптации викарного яичника к такой работе, эти кисты рассасываются. Поэтому при выявлении кист в течение полугода после удаления матки и второго яичника, с операцией не спешат и используют выжидательную тактику.
Миома и киста яичника, каковы причины, симптомы и лечение?
Миома матки и киста яичника – это абсолютно разные заболевания, но причины могут быть одинаковыми, например, дисбаланс гормонов и аборты, подростковый возраст и предклимактерический период. Да и сама миома может стать причиной развития кисты яичника. Поэтому сочетание этих двух гинекологических патологий встречается довольно часто.
Актуальные проблемы при сочетании миомы матки и кисты яичника:
- это сочетание может стать причиной женского бесплодия;
- оба заболевания имеют свои осложнения, требующие неотложного хирургического вмешательства;
- медикаментозное лечение одной патологии может усугублять течение другой;
- обе патологии могут стать причиной развития раковых образований;
- кроме того, миома и киста могут быть замаскированной онкологической патологией.
Поэтому, при выявлении миомы матки и кисты яичника, необходимо пройти тщательную диагностику и с ответственностью придерживаться всех рекомендаций специалистов.
Симптомы миомы матки и кисты яичника:
- болезненные, обильные, длительные месячные;
- нарушение менструального цикла;
- тянущие боли внизу живота, усиливающиеся после физических нагрузок;
- затруднение мочеиспускания, запоры;
- кровянистые выделения из влагалища и маточные кровотечения;
- бесплодие;
- увеличение живота в объеме и так далее.

Фото: увеличение живота при миоме и кисте яичника.
Диагностика миомы матки и кисты яичника:
- УЗИ органов малого таза;
- магнитно-резонансная и компьютерная томография;
- тест на беременность;
- уровень половых гормонов в крови в разные периоды менструального цикла;
- гистероскопия (с помощью эндоскопической аппаратуры исследуют полость матки) с биопсией для дальнейшего гистологического исследования матки;
- при необходимости – лапароскопическое исследование яичников.
Лечение миомы матки и кисты яичника:
| Метод лечения | Показания |
Медикаментозное лечение:
|
|
Хирургическое лечение:
|
|
|
|
|
|
|
|
|
|
|
|
Практически во всех случаях, кроме аварии в малом тазу и развитии перитонита в результате осложненного течения заболеваний, возможны лапароскопические операции, которые менее травматичны, имеют меньший риск развития осложнений и легче переносятся пациентками.
После всех операций по поводу кисты яичника и миомы матки, при которых сохранена матка и хотя бы один яичник, возможна беременность. Перед планированием семьи обязательно изучают гормональный фон и риски различных осложнений хирургического лечения.
При небольших размерах кисты и миомы беременность возможна и даже может привести к рассасыванию образований в матке и яичнике.
Разрыв кисты яичника, каковы причины, симптомы, последствия и лечение? На что может указывать сильная боль внизу живота при кисте яичника?
Кисты яичников не просто приносят дискомфорт и болезненные ощущения, и не только могут явиться причиной бесплодия, но опасны развитием осложнений, угрожающих жизни женщины.
Если появились сильные боли внизу живота, напряжение в этой области мышц пресса, то возможно это осложнение кисты яичника.
К сожалению, острая боль и «авария» в животе часто бывает первым симптомом заболевания и пациентка узнает о том, что у нее была киста только после операции.
Итак, осложниться может абсолютно любая киста яичника, причем как функциональная, так и нефункциональная любого размера.
Причины развития осложнений кисты яичника:
- само наличие кистозного образования яичника, особенности ее строения;
- травма кисты во время удара, чрезмерной физической нагрузки, активного секса, сдавливания увеличенной беременной маткой и другие факторы;
- нарушение баланса женских половых гормонов;
- огромные размеры кисты;
- нарушение свертываемости крови;
- воспалительные заболевания яичников (аднексит).
Гормональные нарушения и воспаление – это наиболее частые причины возникновения кисты, эти же факторы и способствуют ее осложнениям. То есть у кисты два выхода: рассосаться или со временем осложниться.
Осложнения кисты яичника.
| Вид осложнения | Механизм развития | Как проявляется? | Метод лечения |
| Разрыв кисты яичника | Стенка кисты истончается, количество содержащейся в ней жидкости становится больше, при воздействии провоцирующих факторов киста «лопается», а ее содержимое попадает в полость малого таза, вызывая там перитонит (пельвиоперитонит) – воспаление брюшины малого таза. Если киста заполнена кровью или поврежден сосуд, питающий яичник и кисту, возможно внутреннее кровотечение. Перитонит нарушает работу всех органов малого таза (мочевой пузырь, кишечник), может стать причиной заражения крови – сепсиса, и привести к шоку и летальному исходу. |
Симптомы кровопотери:
Симптомы пельвиоперитонита:
|
Срочно вызвать скорую помощь. Если разорвавшаяся киста фолликулярная и небольших размеров, и при этом нет признаков кровопотери и пельвиоперитонита, возможно самостоятельное рассасывание содержимого в брюшной полости и медикаментозное лечение:
|
| Апоплексия яичника | Данное осложнение может развиться при фолликулярной кисте, кисте желтого тела, поликистозе. Симптомы развиваются в середине менструального цикла (14-15-й день) и в период ожидаемых месячных. При воздействии гормонов или воспалительного процесса эти кисты, находящиеся в яичнике, могут разорваться. При этом нарушается целостность самого органа (разрыв яичника или апоплексия). Апоплексия яичника практически всегда сопровождается внутренним кровотечением из-за повреждения яичниковых сосудов. |
Вызвать скорую помощь и лечь на кровать. Медикаментозное лечение даже при легком проявлении апоплексии не дает ожидаемых результатов. Хирургическое лечение. Отдают предпочтение лапароскопической операции, особенно у нерожавших и планирующих беременность женщин, ушивают разрывы яичников и сосудов, делая все, чтобы сохранить яичник и дренируют полость малого таза. Яичник может быть удален при массивной кровопотере и полном нарушении структуры органа. |
|
| Перекрут ножки кисты яичника | Если у кисты удлиненная сосудистая ножка, при различных физических воздействиях она может перекрутиться, нарушая кровоснабжение самой кисты. Без кислорода и питательных веществ возникает некроз (отмирание тканей) кисты. Это может привести к развитию гнойного пельвиоперитонита. При неполном перекруте кисты кровь в неё поступает, но ее отток не осуществляется. При этом киста увеличивается и наполняется кровью, может произойти ее разрыв. | Это осложнение требует только экстренного хирургического лечения, причем удаления яичника. | |
| Воспаление и нагноение кисты яичника | Такое осложнение может быть результатом перекрута ножки кисты яичника, а также в результате воспалительного процесса, перешедшего из яичника (при аднекситах). При этом в кисте есть все признаки воспаления: отек (увеличение размеров), боль, усиление кровообращения, возможен гной. Грозит развитием сепсиса. |
|
Требуется госпитализация в стационар, постельный режим. Медикаментозное лечение:
Хирургическое лечение необходимо при перекруте ножки или развитии пельвиоперитонита. |
| Озлокачествление кисты яичника – рак. | Любая киста может переродиться в раковую опухоль, особенно если киста сохраняется много лет. Особенно опасны в этом плане цистоаденома и дермоидная киста. | Диагноз выставляется на основании биопсии с гистологическим исследованием образований. | Лечение зависит от стадии раковой опухоли. Часто применяют хирургическое лечение в комбинации с химиотерапией. |
Единственным методом обезопасить себя от таких ситуаций – профилактические визиты к гинекологу, своевременное выявление и лечение образований яичника еще до развития симптомов.

Фото эндоскопической диагностической операции при пельвиоперитоните в результате осложнения кисты яичника. В брюшной полости гной, на брюшине признаки воспаления.
Можно ли при кисте яичника заниматься сексом, спортом, принимать ванные, ходить в баню и на массаж?
При кисте яичника можно все, но осторожно.
Если выявили кисту, то ее надо лечить, и для этого врачи часто предлагают хирургическое лечение. После операции и восстановления можно жить полноценной жизнью, не ограничивая себя ни в сексе, ни в физических нагрузках, ни в массаже, ни в бане.
Но в большинстве случаев кисты яичников, особенно функциональные (фолликулярная киста, киста желтого тела), небольших размеров и без осложнений не спешат оперировать, наблюдают или проводят медикаментозное лечение. В этом случае придется себя поберечь. Тогда спорт, жесткие половые контакты, массаж области поясницы и горячие водные процедуры придется отложить до лучших времен. Эти факторы могут способствовать росту образования и развитию осложнений кисты яичника, и привести на операционный стол раньше времени. Конечно, не стоит себя лишать душа или теплой ванны, утренней зарядки и активного образа жизни, и тем более секса, но переусердствовать нельзя.
Если у женщины выявлена киста яичников нефункциональная (дермоидная, цистома, эндометриозная и другие виды) или киста имеет большие размеры, но от операции пациентка отказывается или она не может быть проведена из-за сопутствующей патологии, то риск развития осложнений кисты очень высокий. Поэтому нужно строго придерживаться щадящего режима, и не провоцировать разрыв кисты и другие осложнения.
Удаление одного или двух яичников, что ждет после операции по поводу кист яичника?
Кисты яичников часто становятся причиной удаления одного яичника, а при повторяющихся кистах и их осложнениях женщина может остаться без яичников вовсе.
Всем известно, что половые гормоны женщины необходимы не только для зачатия малыша, но и для полноценного женского здоровья. Яичники выделяют эстрогены и прогестерон, они и формируют женщину как женщину. После удаления половых желез (кастрации) у женщины возникает посткастрационный синдром, или климакс (менопауза). Ничем не проявляется удаление яичников у женщин старшего возраста, которые и так до операции находились в климаксе.
Если удален один яичник
Если у женщины сохранен один яичник, то второй (викарный яичник) постепенно берет на себя функцию удаленной железы. Конечно, сразу возникает дефицит половых гормонов, но постепенно викарная железа выделяет необходимое их количество. И с одним яичником сохраняется правильный полноценный менструальный цикл, и женщина может беременеть и рожать, быть красивой и молодой, жить полноценной жизнью.
Но этот оставшийся яичник нужно беречь. Для этого нужно вести здоровый образ жизни, посещать гинеколога, лечить различные патологии женской половой системы вовремя, избегать беспорядочных незащищенных половых контактов, абортов, переохлаждений и так далее.
Если удалены оба яичника
Симптомы отсутствия половых гормонов или посткастрационный синдром:
1. Клиническая картина отсутствия половых гормонов возникает через 15-20 дней после операции.
2. Вегето-сосудистые нарушения:
- скачки артериального давления, гипертонические кризы;
- тремор рук;
- «приливы» — повышенное потоотделение и жар;
- возможны обмороки;
- аритмия сердца;
- головные боли и прочие проявления.
3. Нарушение обмена веществ:
- жировой обмен – ожирение и повышение уровня холестерина, как результат – атеросклероз, со временем повышается риск развития ишемической болезни сердца, инфаркта, инсульта;
- углеводный обмен – возможно развитие сахарного диабета 2-го типа;
- обмен кальция – остеопороз (постепенное разрушение костей), повышенный риск развития переломов костей, разрушение зубов, выпадение волос, ломкость ногтей и так далее.
4. Изменения со стороны мочеполовых органов:
- отсутствие менструации;
- бесплодие;
- жировая инволюция молочных желез – замещение желез жировой тканью;
- кольпит – воспаление шейки матки;
- утолщение внутреннего слоя матки (гиперплазия эндометрия);
- сухость слизистой оболочки влагалища;
- цистит и повышенная чувствительность мочевого пузыря.
5. Изменения со стороны кожи, женщина быстро стареет, что в первую очередь отображается на внешнем ее виде:
- снижение тонуса и эластичности кожи;
- появление морщин;
- сухость кожных покровов.
6. Психоэмоциональные расстройства:
- перепады настроения;
- нарушение сна;
- изменения поведение и где-то, возможно, характера;
- раздражительность;
- депрессия, психозы.
Конечно, все эти проявления не развиваются одномоментно. Сначала развиваются вегето-сосудистые изменения, затем обменные и психоэмоциональные нарушения. И полная картина климакса наступает через 2-3 года. Вся эта симптоматика очень схожа с природной менопаузой, но протекает более ярко, быстро и болезненно, особенно у молодых женщин.
Что делать после удаления яичников?
Если женщина молодая, то единственным выходом не прочувствовать все прелести быстрого климакса – это заместительная гормональная терапия. Если организм что-то не вырабатывает, то медики могут это ввести искусственно.
После начала такого лечения через месяц женщина будет чувствовать себя как раньше. Для этого используют женские половые гормоны эстрадиол, эстриол, эстрон (Эстрадиол-валерат, Премарин) и гестагены (Прогестерон, Норэтистерон, Гестоден).
Существуют различные методы введения гормонов: при преобладании нарушений обмена веществ используют таблетки; при проблемах с мочеполовой системой – свечи; если все проявления выражены умеренно, то лучше применять гели или пластырь в область нижней части живота.
Схема лечения – циклическая, максимально приближенная к гормональному фону при менструальном цикле.
Также после удаления яичников необходимо сбалансированное питание, богатое витаминами, кальцием и другими микроэлементами, активный образ жизни, нормальный сон и отдых. Очень полезно будет сменить обстановку, например, оздоровиться в санатории, поехать на курорт.
И после операции жизнь тоже продолжается!
Можно ли без яичников родить ребенка?
Все мы знаем, что без половых клеток беременность и роды невозможны, что после удаления яичников о вынашиваемости ребенка речь не идет. Но современная медицина не стоит на месте, и не так давно научилась обманывать природу.
Для женщины без яичников при сохраненной матке репродуктологи могут предложить ЭКО (экстракорпоральное оплодотворение), используя донорскую яйцеклетку или заранее запасенную свою. Но так как беременность – это гормон-зависимый процесс, то весь период от планирования до родов сопровождается приемом заместительной гормональной терапии, специально и индивидуально подобранной для каждой женщины.
Правда ЭКО не дает 100%-й результат, но все же дает шанс выносить и родить своего малыша.
Сдаваться никогда не стоит!
Что делать, если выявили кисту яичника при беременности?
К беременности надо готовиться – и матери, и отцу, и со стороны здоровья половой системы и всего организма в целом, и морально, и материально.
Перед тем, как зачать долгожданного ребенка, мать должна пройти полное обследование у гинеколога, сделать УЗИ, сдать различные анализы.
Часто именно при таких обследованиях женщина узнает о кисте яичника. И тогда перед тем, как приступить к делу, придется вылечиться (медикаментозные или хирургические методы), чтобы не возникли осложнения со стороны кисты, самого зачатия и беременности. А дальше, в большинстве случаев, препятствий к беременности нет.
Но в одном случае из тысячи киста может возникнуть непосредственно в период беременности.
Причины развития образований яичников во время беременности до конца еще не определены, но склоняются к гормональным причинам развития таких кист.
Во время беременности может развиться любой вид кисты, как функциональной, так и нефункциональной. Также киста может возникнуть на любом периоде беременности, но чаще выявляют на ранних сроках.
Симптомы кисты яичников во время беременности обычно отсутствуют, их выявляют при плановом УЗИ органов малого таза. Но иногда киста может проявляться тянущими или даже острыми болями внизу живота, обычно с одной стороны. При развитии осложнений кист (перекрут ножки, разрыв или воспаление кисты) симптоматика развивается яркая, очень часто напоминает приступ острого аппендицита.
Лечение кисты яичника во время беременности:
- Если киста не беспокоит и не влияет на вынашивание ребенка, ее не трогают, а наблюдают, в этом случае вопрос о хирургическом лечении принимают после родов. Сама по себе беременность может способствовать самостоятельному рассасыванию кист, ведь это мощная гормональная терапия.
- При выявлении кисты яичника больших размеров пациентке рекомендуют постельный режим, а в третьем триместре назначают плановую операцию — кесарево сечение. Во время проведения кесарева сечения удаляют и кисту яичника.
- При развитии осложнений кисты яичника проводят экстренное хирургическое вмешательство, так как это может угрожать не только беременности и плоду, но и жизни матери.
Рассасывается ли киста яичника при лечении без операции?
Кисты яичника могут рассасываться, но не все. Причем больше половины кист яичников способны рассосаться самостоятельно.
Но перед тем как решать вопрос, лечить сразу или использовать тактику наблюдения, надо обязательно обратиться к специалисту и пройти необходимое обследование.
Виды кист яичников, которые способны рассосаться без хирургического вмешательства:
- фолликулярная киста яичника небольших размеров (до 4 см);
- киста желтого тела небольших размеров (до 5 см);
- ретенционные кисты яичника;
- поликистоз яичников требует медикаментозного лечения.
Виды кист яичников, которые самостоятельно никогда не рассосутся:
- дермоидная киста;
- эндометриозная киста;
- параовариальная киста;
- цистоаденома;
- серозная киста яичника;
- раковые опухоли яичника.
Поэтому, имея диагноз таких видов кист яичника, надеяться на то, что пройдет самостоятельно не стоит, и тем более не стоит лечить их средствами народной медицины. Надо обратиться к врачу, придерживаться его рекомендаций и не отказываться, если предложат необходимое оперативное вмешательство. Ведь риск развития осложнений высок, а многие осложнения угрожают жизни пациентки и могут привести к бесплодию и удалению половой железы.
Боль в яичниках — причины, симптомы и что делать?




