Аденома щитовидной железы – доброкачественная опухоль, которая происходит из железистых клеток. Она может иметь различные размеры. Новообразование часто сопровождается повышенной функцией щитовидной железы и способно трансформироваться в злокачественную опухоль.
Заболевание встречается у женщин в 3 – 4 раза чаще, чем у мужчин, обычно после 40 лет.
Часто термином «аденома щитовидной железы» называют любые узловые новообразования в толще органа. Это неверно. Аденома – гистологический диагноз, данный термин обозначает узел, состоящий из определенного вида клеток. Окончательный диагноз может быть установлен только после проведения биопсии и изучения материала под микроскопом.
- Особенности анатомии щитовидной железы
- Классификация аденомы щитовидной железы
- Причины аденомы щитовидной железы
- Симптомы аденомы щитовидной железы
- Симптомы аденомы щитовидной железы больших размеров:
- Симптомы токсической аденомы щитовидной железы
- Диагностика аденомы щитовидной железы
- Осмотр эндокринолога
- Инструментальная диагностика
- Лечение
- Медикаментозная терапия
- Подготовка к операции при тиреотоксической аденоме
- Хирургическое лечение аденомы щитовидной железы
- Другие методы при невозможности хирургического лечения
- Рекомендации по образу жизни для пациентов с аденомой щитовидной железы
- Лечение народными средствами
- Каковы прогнозы?
- Профилактика
Особенности анатомии щитовидной железы
Щитовидная железа является частью системы органов внутренней секреции, она вырабатывает гормоны, обладающие определенными эффектами.
Информация в статье носит справочный характер и не заменяет консультацию врача. Перед применением рекомендаций обратитесь к специалисту.
Орган прилегает спереди и по бокам к щитовидному хрящу гортани. Щитовидная железа имеет небольшие размеры и мягкую консистенцию, но все же ее можно прощупать под кожей, если попросить пациента наклонить голову вперед.
Вес железы – в среднем 50 грамм. Она имеет форму подковы и состоит из двух долек – правой и левой. Между ними находится перешеек.
Клетки, из которых состоит ткань щитовидной железы:
- A-клетки. Являются основными. Вырабатывают гормоны трийодтиронин, тироксин. В толще железы находится большое количество полостей (фолликулов), которые окружены A-клетками. В фолликулах находится масса в виде геля – она служит резервуаром для запасов гормонов.
- B-клетки. Их еще называют клетками Гюртле. Их роль пока изучена недостаточно хорошо, но считается, что они вырабатывают некоторые биологически активные вещества.
- C-клетки. Отвечают за выработку гормона, который регулирует уровень кальция в крови.
Основные гормоны щитовидной железы – трийодтиронин и тироксин.
Эффекты гормонов щитовидной железы:
- Ускорение обмена веществ.
- Ускорение распада различных веществ и выработки энергии.
- Повышение уровня глюкозы в крови.
- Регуляция возбудимости нервной системы.
- Регуляция ритма сердечных сокращений (учащение, усиление).
- Повышение чувствительности клеток к гормонам стресса.
- Ускоренное образование и разрушение эритроцитов.
- Усиление сокращений стенок кишечника, учащение стула.
Регуляция функций щитовидной железы осуществляется гипофизом – железой, расположенной в головном мозге. Гипофиз выделяет гормоны, которые усиливают функции щитовидной железы. Система работает по принципу обратной связи. Чем меньше в крови гормонов щитовидной железы, тем активнее гипофиз выделяет регулирующие гормоны. Повышение уровня тироксина и трийодтиронина подавляет активность гипофиза.
Для образования гормонов щитовидной железы необходим йод. Организм должен получать его в достаточном количестве.
Классификация аденомы щитовидной железы
Аденома щитовидной железы – узловидное доброкачественное новообразование, которое происходит из железистой ткани (aden–греч. «железа»). Оно может состоять из разных клеток:
- Фолликулярная аденома. Представляет собой узел округлой формы, покрытый капсулой.
- Папиллярна аденома. Имеет вид полости – кисты.
- Аденома из клеток Гюртле. Состоит из B-клеток щитовидной железы (см. выше).
- Токсическая аденома щитовидной железы (синонимы: функционирующая аденома, болезнь Пламмера). Эта опухоль выделяет большое количество гормонов и сопровождается наиболее выраженными симптомами.
- Другие разновидности.
Отличить один вид аденомы от другого можно только при исследовании фрагмента новообразования под микроскопом. Выделяется среди прочих разновидностей своими симптомами только токсическая аденома щитовидной железы.
Чаще при аденоме в толще железы обнаруживается один узел. Реже встречаются множественные узлы.
Причины аденомы щитовидной железы
Причины развития заболевания изучены недостаточно.
Факторы, способствующие возникновению аденомы щитовидной железы:
- Повышенная активность гипофиза. Аденомы часто возникают на фоне избыточного влияния на ткань железы гормонов, которые вырабатываются в гипофизе.
- Нарушение функции вегетативной нервной системы, регулирующей работу внутренних органов.
- Неблагоприятная экология.
- Наследственность. Если есть близкие родственники с диагностированной аденомой, то вероятность развития заболевания выше.
- Действие на организм различных токсических веществ.
- Профессиональные вредности.
- Общий гормональный дисбаланс.
- Токсическая аденома щитовидной железы может развиваться из нетоксического узла или на фоне узлового зоба.
Симптомы аденомы щитовидной железы
Если аденома не сопровождается повышенной выработкой гормонов щитовидной железы, то в течение длительного времени симптомы заболевания отсутствуют. Новообразование выявляется случайно, во время профилактических осмотров эндокринологом.
Общие симптомы, которые могут возникать на начальных стадиях аденомы щитовидной железы:
- снижение массы тела;
- плохая переносимость высокой температуры;
- повышенная тревожность, раздражительность;
- чрезмерная потливость;
- быстрая утомляемость, плохая переносимость физических нагрузок;
- учащенное сердцебиение.
Симптомы аденомы щитовидной железы больших размеров:
- визуально заметное новообразование, деформация шеи;
- боли;
- нарушение глотания;
- дискомфорт в горле;
- кашель;
- нарушение дыхания;
- изменение голоса.
Симптомы токсической аденомы щитовидной железы
При токсической аденоме щитовидной железы отмечаются симптомы гипертиреоза – патологического состояния, связанного с повышенной выработкой гормонов.
Что происходит с щитовидной железой и гипофизом при токсической аденоме?
В щитовидной железе появляется узел (чаще всего одиночный), который вырабатывает большое количество трийодтиронина и тироксина. Они поступают в кровь и начинают оказывать свои эффекты.
При повышенном уровне гормонов срабатывает механизм обратной связи – активность гипофиза уменьшается. Он перестает стимулировать щитовидную железу.
В результате активность ткани железы снижается. Но узел продолжает вырабатывать большое количество гормонов.
Симптомы:
| Описание симптома | Причина возникновения |
Симптомы со стороны нервной системы:
|
Данные симптомы – следствие активирующего влияния гормонов щитовидной железы на нервную систему. По своим эффектам трийодтиронин и тироксин чем-то напоминают адреналин и другие гормоны стресса. Они активируют организм, готовят его к реакции на опасность. |
Симптомы со стороны сердца и сосудов:
|
Гормоны щитовидной железы активируют работу сердечнососудистой системы, увеличивают частоту и силу сердечных сокращений. |
Симптомы со стороны глаз:
|
В результате чрезмерной функции гормонов происходит отек и разрастание жировой клетчатки внутри глазницы. Она смещает глазное яблоко наружу, сдавливает зрительный нерв и приводит к возникновению перечисленных симптомов. |
Симптомы со стороны пищеварительной системы:
|
Гормоны щитовидной железы усиливают сокращения стенки кишечника, в результате чего прохождение пищи по кишке происходит быстрее. |
Симптомы со стороны костей и мышц:
|
Гормоны щитовидной железы активируют процессы распада различных веществ с выделением энергии. В итоге происходит разрушение и мышечной ткани. |
Симптомы со стороны дыхательной системы:
|
Избыточная функция щитовидной железы приводит к развитию отеков легких. |
| Симптомы со стороны репродуктивной системы: У мужчин:
У женщин:
|
Указанные симптомы обусловлены снижением выработки женских и мужских половых гормонов. |
Общие симптомы:
|
Данные симптомы связаны с непосредственными эффектами гормонов щитовидной железы. |
Набор и выраженность симптомов при токсической аденоме щитовидной железы зависят от размеров, активности и времени существования узла.
Диагностика аденомы щитовидной железы
Осмотр эндокринолога
При подозрении на узел в щитовидной железе нужно посетить эндокринолога. Но даже полностью здоровым людям, особенно женщинам, рекомендуется посещать специалиста раз в год для профилактического осмотра и раннего выявления заболеваний.
Как врач осматривает пациента:
- Расспрос. Доктор старается выяснить все подробности, которые могли бы указать на причины возникновения заболевания, предрасполагающие факторы, характер течения болезни.
- Осмотр области шеи. При больших размерах узла визуально заметна деформация.
- Ощупывание шеи. Врач встает позади пациента и просит немного наклонить голову вперед. Затем он кладет пальцы на переднюю поверхность шеи и пытается нащупать железу, расположенные в ней узлы. При этом эндокринолог просит пациента проглотить слюну.
После осмотра врач может диагностировать лишь наличие узлового образования в толще ткани щитовидной железы. По внешним признакам и данным, полученным в ходе расспроса, можно понять, имеется ли повышенная функция железы. На этом этапе пока невозможно утверждать, что обнаруженный узел является аденомой.
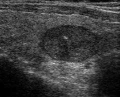
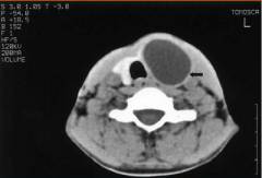
Инструментальная диагностика
Дополнительное обследование назначается в случае, когда при тиреотоксической аденоме нарушены функции органов. План обследования подбирается индивидуально.
Лечение
Медикаментозная терапия
Показания к медикаментозной терапии при аденоме щитовидной железы:
- Коллоидная аденома, особенно во время беременности.
- Подготовка к хирургическому вмешательству при тиреотоксической аденоме.
Подготовка к операции при тиреотоксической аденоме
Хирургическое вмешательство по поводу тиреотоксической аденомы проводят только на фоне эутиреоза – состояния, когда в крови присутствует нормальное количество гормонов. Перед операцией пациент должен пройти курс лечения, направленный на уменьшение выработки гормонов железой.
| Название препарата | Описание | Способ применения* |
| Карбимазол | Блокирует встраивание йода в гормоны щитовидной железы, тем самым предотвращая их избыточное образование. Карбимазол эффективен при повышенной функции железы вне зависимости от заболевания. | Препарат назначается только после того как проведено обследование и доказано повышение уровня гормонов в крови. Применяется строго по назначению врача. Противопоказания:
Дозировки:
|
| Тиамазол | Блокирует присоединение йода к гормонам щитовидной железы и угнетает их синтез. Ускоряет выведение йода из щитовидной железы. | Препарат принимают строго по назначению врача. Лечение начинают исключительно после того, как проведены лабораторные исследования, доказано повышение уровня гормонов щитовидной железы в крови. Дозировки:
Противопоказания:
|
| Пропицил | Препарат нарушает образование гормонов в щитовидной железе, главным образом в результате нарушения присоединения к ним йода. Способствует снижению содержания йода в щитовидной железе. | Препарат назначают только в том случае, если четко выявлено повышение гормонов щитовидной железы в крови. Принимать только по назначению врача. Дозировка:
Противопоказания:
|
| *Информация о лекарственных препаратах представлена исключительно в ознакомительных целях. Их прием необходимо осуществлять только по назначению врача-эндокринолога. Самолечение способно приводить к негативным последствиям. |
Хирургическое лечение аденомы щитовидной железы
Хирургическое лечение является основным видом лечения аденомы щитовидной железы.
Виды операций:
Другие методы при невозможности хирургического лечения
Эти методы лечения аденомы щитовидной железы применяются, как правило, у пожилых людей, у которых имеются противопоказания к операции:
- Препараты радиоактивного йода. Так же, как и обычный, радиоактивный йод накапливается в щитовидной железе. Он облучает ее изнутри и подавляет ее функции, уничтожает клетки аденомы.
- Иногда узел уничтожают путем введения в него через иглу этилового спирта. Этанол прижигает опухолевые клетки, и они погибают.
Рекомендации по образу жизни для пациентов с аденомой щитовидной железы
Обычно врачи дают эти рекомендации перед хирургическим лечением:
- Избегание стрессовых ситуаций.
- Полноценное питание, потребление белка и витаминов в достаточном количестве.
- Полноценный сон.
- Прием фитопрепаратов.
- Избегание длительного нахождения под открытым солнцем и посещения солярия.
Лечение народными средствами
Во время подготовки к операции врач может назначить пациенту фитотерапию – прием лекарственных растений, подавляющих функцию щитовидной железы:
| Лекарственные растения | Как действуют? |
|
Эти растения содержат аналог гормонов щитовидной железы. Они не оказывают тех же эффектов на организм, но способны подавлять гипофиз – он перестает стимулировать образование гормонов в щитовидной железе. |
|
В этих растениях содержатся вещества, который воздействуют на гипофиз и подавляют выработку его гормонов, активирующих щитовидную железу. |
Перечисленные фитопрепараты необходимо принимать только по назначению врача.
Никакие народные методы лечения не могут обеспечить выздоровление при аденоме щитовидной железы самостоятельно. Они могут применяться лишь в качестве дополнения к основному лечению. Перед использованием тех или иных народных методик необходимо посоветоваться с эндокринологом. Неправильное самолечение может нанести вред.
Каковы прогнозы?
Прогноз при аденоме щитовидной железы благоприятен, если лечение проведено правильно и своевременно. У большинства пациентов наступает выздоровление. Если была удалена вся железа или ее большая часть, назначается пожизненный прием гормональных препаратов.
Рекомендации, которые обычно дают после лечения:
- ежегодное посещение эндокринолога;
- периодический контроль уровня гормонов щитовидной железы в крови;
- полноценное питание;
- отказ от курения, употребления спиртного;
- избегание длительного пребывания на солнце.
Профилактика
Людям старше 40 лет, особенно женщинам, рекомендуется ежегодно посещать эндокринолога для профилактических осмотров, сдавать кровь на содержание гормонов щитовидной железы. Необходимо следить за общим здоровьем, особенно эндокринной системы, раз в год сдавать кровь на биохимический анализ.












