Саркома – группа злокачественных опухолей, состоящих из разных вариантов соединительной ткани. Саркома чаще всего поражает кожу и кости, однако может локализироваться и в других органах: легких, желудке, сосудах, лимфатических узлах. На срезе опухоль имеет вид «рыбьего мяса».
Статистика. Саркома встречается не часто – 2 случая на 100 000 населения. Ее доля составляет 5% от всех злокачественных опухолей, но по количеству летальных случаев саркома занимает второе место после рака. У 40% больных поражаются нижние конечности.
Группа риска. Саркома Юинга или саркома костей поражает подростков и молодых людей до 35 лет. Саркома мягких тканей преимущественно возникает после 50 лет. В группу риска входят люди с очень светлой кожей и с ослабленным иммунитетом. Соотношение мужчин и женщин составляет 6:1, такая особенность объясняется тем, что некоторые виды опухоли зависят от уровня половых гормонов.
Виды сарком по происхождению:
Информация в статье носит справочный характер и не заменяет консультацию врача. Перед применением рекомендаций обратитесь к специалисту.
- остеосаркома – саркома костей
- хондросаркома – саркома суставов
- миосаркома – саркома на основе мышечной ткани
- липосаркома – саркома жировой ткани
- лимфосаркома – саркома лимфатических узлов
- саркома сосудов – опухоль из соединительной ткани сосудистой стенки
Также саркомы различаются по степени злокачественности:
- с низкой степенью злокачественности – состоят из более дифференцированных, зрелых клеток и делятся относительно медленно. В такой опухоли много стромы (нормальной соединительной ткани) и мало злокачественных элементов.
- с высокой степенью злокачественности – состоят из низкодифференцированных клеток, которые делятся очень часто, обеспечивая быстрый рост опухоли. Такая саркома имеет густую сосудистую сеть, и содержат большое количество злокачественных клеток.
Сходство и отличие саркомы от других раковых опухолей
Сходства:
- прорастают в окружающие ткани и разрушают их
- частые рецидивы после удаления опухоли
- образование метастазов в легкие и печень
Отличия:
- рак происходит из эпителиальных клеток, выстилающих полости внутренних органов, а саркома из соединительной ткани. Поэтому последняя может образоваться на любом участке тела
- более быстрый, иногда «взрывной» рост. Метастазы образуются в течение нескольких недель
- саркома распространяется по кровеносным сосудам, а рак по лимфатическим
- Причины возникновения саркомы
- Симптомы саркомы различных органов
- Поражение легких
- Поражение лимфатических узлов
- Саркома кожи
- Саркома костей
- Саркома суставов
- Саркома жировой ткани
- Саркома мышечной ткани
- Саркома головного мозга
- Диагностика саркомы
- Лечение саркомы
- Лечение саркомы медикаментами
- Когда нужна операция по удалению опухоли?
- Питание при саркоме
- Последствия саркомы
Причины возникновения саркомы
- Повреждение тканей. После травм и операций начинается активный процесс регенерации и деления клеток. В этих условиях иммунной системе тяжело выявлять и уничтожать недифференцированные клетки, которые позже становятся основой саркомы. Спровоцировать ее появление могут:
- рубцы
- ожоги
- переломы
- операции
- инородные тела
- Химические канцерогенные вещества взаимодействуют с ядром клетки, вызывая мутации в ДНК. Это приводит к нарушению строения и утрате функций будущих поколений клеток. Саркому могут вызвать:
- асбест
- диоксин
- мышьяк
- ароматические углеводороды – бензол, стирол, толуол
- Радиоактивное облучение. Ионизирующее излучение изменяет ДНК клетки и приводит к мутациям. В результате потомство нормальной клетки становится недифференцированным, то есть злокачественным. Причины мутации:
- лучевая терапия другой опухоли, проводимая ранее
- последствия аварии у ликвидаторов ЧАЭС
- работа с рентгеновским оборудованием
- Вирусы повреждают ДНК или РНК клеток, приводя к образованию опухоли:
- вирус герпеса 8-го типа
- ВИЧ-1 провоцирует саркому Капоши
- Генетическая склонность. У больных поврежден ген, отвечающий за остановку опухолевого роста и уничтожение злокачественных клеток. Такое наблюдается при врожденных патологиях:
- синдром Ли-Фраумени
- нейрофиброматоз типа I
- ретинобластома
- Быстрый гормональный рост в период полового созревания. Клетки костей у подростков активно делятся и в некоторых случаях при этом появляются незрелые клетки. Такой механизм характерен для саркомы бедренных костей у высоких мальчиков-подростков.
Симптомы саркомы различных органов
Саркома может возникнуть на любом участке тела. Симптомы саркомы зависят от характера и размера опухоли, наличия метастазов. Клинические проявления саркомы такие же, как при раке.
Поражение легких
Саркома легкого – достаточно редкое заболевание, оно встречается в 1% от всех случаев рака легких.
На начальных стадиях саркома легких никак себя не проявляет и обнаруживается случайно при прохождении плановой рентгенографии.
Саркома легких происходит из стенок бронхов и перегородок между альвеолами. Опухоль содержит мало соединительной ткани. Она мягкая, желеобразная с участками некроза (гибели клеток). Саркома имеет вид массивного узла с нечеткими краями, который может занимать всю долю легкого. Она пронизана многочисленными разветвленными сосудами.
Субъективные симптомы
- одышка – нарушение функции легких приводит к кислородному голоданию мозга, что вызывает учащение дыхания.
- быстрая утомляемость, сонливость, нестабильность настроения – признаки застоя венозной крови в мозгу. Эти явления возникают при закупорке верхней полой вены и безымянных вен, и связаны с нарушением кровообращения мозга.
- пневмонии, не поддающиеся лечению. Опухоль снижает местный иммунитет и способствует развитию воспаления.
- плеврит развивается при прорастании опухоли в плевру. При этом в плевральное пространство выходит кровь и начинается воспаление.
- дисфагия – нарушение глотания при прорастании опухоли в пищевод.
- увеличение правых отделов сердца. Поражение легочных сосудов и застой крови в легких приводит к повышению артериального давления в правых отделах сердца.
Внешние признаки саркомы легких
- нарушение работы эндокринных желез и последствия опухолевой интоксикации:
- утолщение костей конечностей
- воспаление верхнего слоя костей
- суставные боли
- сдавление опухолью верхней полой вены – «кава-синдром». Нарушается отток из вены, собирающей венозную кровь из верхней половины тела. Он проявляется основными симптомами:
- отек лица
- бледность и синеватый оттенок кожи
- расширение поверхностных вен лица, шеи и верхней половины туловища
- носовые кровотечения
Признаки саркомы легких, выявляемые при инструментальном исследовании
- Рентгенография. На рентгеновском снимке видна опухоль без четких границ. Она может иметь размеры от нескольких сантиметров или занять объем целого легкого. Поражение легких не симметрично.
- Компьютерная томография выявляет неоднородное округлое образование с размытыми краями и очагами некроза. Узел не имеет оболочки, прорастает в окружающие ткани. Часто злокачественные клетки располагаются вдоль бронха в виде пласта. В этом случае опухоль не имеет определенной структуры.
- Бронхоскопия используется в том случае, если саркома проросла в стенки бронхов. При исследовании саркома – бело-розовое образование неправильной формы, без капсулы. С помощью бронхоскопа берут участок ткани опухоли на биопсию.
- Тонкоигольная биопсия под контролем КТ используется, когда саркома располагается в труднодоступных для бронхоскопа участках легкого. В опухоль вводят полую иглу и получают образец клеток. В ходе гистологического исследования могут быть обнаружены:
- низко дифференцированные клетки
- умеренно дифференцированные клетки
- высоко дифференцированные клетки
- волокна соединительной ткани
- следы крови – целые и разрушенные эритроциты
- Плевральная пункция проводится, если на рентгене выявлено повышение уровня плевральной жидкости. В пространство между листками плевры вводят иглу и отбирают жидкость для исследования. В ней могут быть выявлены:
- лейкоциты – свидетельствующие о воспалении
- атипичные клетки саркомы – подтверждающие метастазы в плевру
- эритроциты разрушенные и неизмененные.
Поражение лимфатических узлов
Саркома лимфатических узлов или лимфосаркома – злокачественная опухоль, образующаяся из клеток лимфатической системы. Преимущественно поражаются шейные, брыжеечные и забрюшинные лимфоузлы, реже подмышечные и паховые. Также опухоль может возникнуть из скоплений лимфатических клеток расположенных в глоточных миндалинах и желудке.
Общие симптомы для различных лимфосарком
- признаки интоксикации, вызванной размножением злокачественных клеток:
- слабость
- снижение работоспособности
- повышение температуры
- потливость, особенно в ночные часы
- изменения в крови, связанные с повышенным разрушением эритроцитов и тромбоцитов аутоиммунного характера, вызывают:
- бледность кожи
- точечные кровоизлияния на коже и слизистых оболочках
- аллергия на токсины, циркулирующие в крови проявляется:
- экзематозными высыпаниями (сгруппированные мелкие пузырьки)
Симптомы различных видов лимфосаркомы.
Лимфосаркома глоточных миндалин
- одностороннее поражение миндалин
- увеличение миндалины, она становится бугристой и синюшной
- изменение голоса
- гнусавость
- выделения из носа
- снижение слуха
- увеличение шейных лимфоузлов при образовании метастазов
Лимфосаркома шейных и надключичных лимфоузлов
- увеличение и уплотнение лимфоузлов
- они подвижные, не спаянные с кожей
- возможен зуд над пораженным лимфоузлом, вызванный аллергической реакцией кожи
- при слиянии близлежащих узлов образуются безболезненные конгломераты
Лимфосаркома средостенья (грудной клетки)
- недомогание
- одышка
- приступообразный сухой кашель
- бледный цвет лица
- синюшность губ
- высокая температура тела
- хрипов при прослушивании практически не выявляется
Лимфосаркома почки
- сдавливание мочеточника и застой мочи в лоханках почки – учащенное болезненное мочеиспускание
- боль в пояснице
Лимфосаркома брыжеечных и забрюшинных лимфоузлов
- обильные поносы, приводящие к быстрому истощению
- быстрое похудание
- асцит – скопление жидкости в брюшной полости
- увеличение селезенки
- непроходимость кишечника при крупной опухоли
- увеличенные лимфоузлы, прощупываются через брюшную стенку
Признаки лимфосаркомы, выявляемые при инструментальном исследовании
- Анализ крови в большинстве случаев без изменений. Возможно:
- незначительное повышение СОЭ
- снижение уровня лейкоцитов
- снижение количества эритроцитов
- снижение уровня тромбоцитов
- Рентгенография
- затемнение в лимфатических узлах
- поражение нескольких лимфоузлов
- Компьютерная томография – преимущественно необходима при поражении лимфатических узлов грудной клетки.
- пораженные лимфоузлы, сливающиеся в конгломераты
- бугристая дольчатая опухоль на месте лимфоузла
- повреждение лимфатических узлов с двух сторон грудной клетки
- УЗИ – применяют при лимфосаркоме в брюшной полости
- одиночное или множественное поражение лимфатических узлов
- неоднородная структура опухоли
- неровные фестончатые края новообразования
Саркома кожи
Саркома кожи или саркома Капоши – злокачественная опухоль, которая происходит из измененных клеток кровеносных сосудов кожи. Ее элементы – бляшки и узелки, состоящие из множества новообразованных кровеносных капилляров и веретенообразных клеток.
Саркома кожи преимущественно поражает пожилых людей и больных СПИДом. Генетически более склонны к болезни африканцы. В Африке болезнь имеет свои особенности – жертвами чаще становятся мальчики и молодые мужчины.
Симптомы саркомы кожи
- элементы множественные, асимметрично расположенные безболезненные пятна и узелки. Появляются на коже и слизистых оболочках.
- диаметр от 2 мм до 5 см
- цвет: чаще всего пурпурный, у стариков коричневый. Реже красный, бурый, фиолетовый. Их внешний вид обусловлен густым сплетением новообразованных кровеносных сосудов.
- границы четкие неправильные. Опухоль незначительно возвышается над здоровой кожей.
- поверхность гладкая или напоминающая апельсиновую корку. При злокачественном течении могут образовываться язвы.
- кровоточивость при травмировании, так как новообразованные сосуды опухоли легко повреждаются.
- локализация – чаще стопы, голени, кисти. На этих участках нарушено кровообращение и снижен местный иммунитет. Поэтому атипичные клетки не уничтожаются достаточно эффективно.
- ощущения больного. Жалобы на зуд и жжение связаны с воспалением и аллергической реакцией кожи на продукты, выделяемые опухолью.
Признаки саркомы кожи, выявляемые при инструментальном исследовании
Биопсия и гистологическое исследование при саркоме кожи
- пучки спутанных веретенообразных клеток
- геморрагический экссудат – жидкость, выходящая сквозь стенки сосудов
- гемосидерин – пигмент, образующийся при распаде гемоглобина
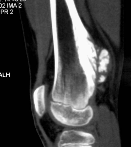
Саркома костей
Саркома костей или саркома Юинга – злокачественная опухоль, преимущественно поражающая бедренные кости (70%), плечевые кости (14%), реже лопатки, ребра, ключицы, позвонки, кости таза. Относится к самым агрессивныи – быстро образует метастазы. Чаще всего встречается у подростков 10-15 лет. Мальчики болеют на 50% чаще, чем девочки.
- Болевой синдром вызван раздражением чувствительных нервных окончаний:
- на начальном этапе боль умеренной интенсивности – может самостоятельно ослабевать
- усиливается в ночное время
- не ослабевает в покое
- не ослабевает при иммобилизации конечности – наложении шины
- через несколько месяцев боль усиливается – нарушает сон и повседневную деятельность
- Внешние проявления болезни связанны с местным воспалительным процессом и застоем венозной крови на пораженном участке:
- при ощупывании кожа над опухолью болезненная и горячая
- отечность и покраснение кожи
- расширение подкожных вен
- Признаки общей интоксикации – отравление продуктами распада поврежденных клеток:
- повышение температуры до 38 градусов
- снижение аппетита
- резкое похудание
- слабость
- увеличение близлежащих лимфатических узлов
- Нарушение функции органов, расположенных поблизости от опухоли связано с быстрым прорастанием саркомы в окружающие ткани:
- хромота и ограничение движения – невозможность полностью согнуть конечность
- нарушение функции органов таза – циститы, недержание мочи, нарушение менструального цикла, бесплодие
- при поражении кишечника – поносы, запоры, непроходимость кишечника
- при сдавливании спинномозговых нервов появляются боли в различные внутренние органы – желудок, сердце, печень, простреливающие боли разных участках спины
- при повреждении опухолью чувствительных волокон спинномозговых нервов наблюдается снижение чувствительности в различных участках тела, утрата подвижности мышц – парезы
- при прорастании внутрь грудной клетки – увеличение количества плевральной жидкости, плеврит, кровохарканье, одышка
- Патологический перелом. Через 6-12 месяцев опухоль достигает значительных размеров, разрушает кость изнутри, приводя к переломам.
Признаки саркомы костей, выявляемые при инструментальном исследовании
- Рентгенография
- на кости видны очаги разрушения, она выглядит, как «изъеденная молью»
- воспаление имеет вид луковицы – «луковичный периостит»
- нечеткость контуров верхнего слоя кости, вызванная его разволокнением
- выросты на поверхности кости игольчатые или наслаивающиеся параллельно надкостнице. Их появление связано с повреждением саркомой верхнего слоя кости
- значительное повреждение мягких тканей без участков обызвествления
- Компьютерная томография
- участки некроза внутри опухоли
- живые опухолевые клетки сосредоточены вокруг сосудов
- поражение мягких тканей вокруг опухоли, превосходящее по размеру саму опухоль
- размягчение связок и сухожилий вблизи опухоли
- очаги поражения костного мозга
- Биопсия опухоли
- мелкие незрелые опухолевые клетки с крупными округлыми ядрами
- участки белка – фибрина, которые разделяют клетки опухоли и размягчают кость
- Биопсия костного мозга
- признаки некроза – мертвые клетки
- веретенообразные или круглые клетки крупного размера
- атипичные тонкостенные клетки с крупными ядрами
- Остеосцинтиграфия с Te99
- изотопы поглощаются первичной опухолью и мелкими метастазами в кости, которые могут не обнаруживаться другими методами
- Ангиография
- контрастное вещество скапливается в разветвленных сосудах опухоли
Саркома суставов
Саркома суставов или синовиальная саркома – злокачественная опухоль, образующаяся из синовиальных оболочек и связок в районе крупных суставов. В большинстве случаев поражает коленные и плечевые суставы. Синовиальную саркому чаще выявляют у женщин среднего возраста.
Симптомы саркомы суставов
- Внешние признаки это результат поражения мягких тканей над опухолью:
- выпячивание в виде шишки на поверхности сустава
- кожа над опухолью изменяется, становится отечной, приобретает красноватый оттенок.
- Болевой синдром:
- боль усиливается при движении, особенно если опухоль растет в полость сустава
- на поздних стадиях боль распространяется на всю конечность
- боль не снимается с помощью болеутоляющих средств
- Нарушение движений. На суставных поверхностях образуются шероховатости и бугры, что нарушает движение в суставе.
- Одностороннее поражение – в абсолютном большинстве случаев поражается один сустав.
- Ишемия конечности. Опухоль сдавливает сосуды, приводя к нарушению кровообращения ниже поврежденного сустава:
- боли в мышцах, усиливающиеся в ночное время
- трофические язвы
- перемежающаяся хромота – боли в икроножных мышцах, возникающие через 30-50 метров ходьбы
- отечность конечности
- онемение конечности
Признаки саркомы суставов, выявляемые при инструментальном исследовании
- Магнитно-резонансная томография МРТ с использованием контрастного вещества гадолиниума выявляет:
- скопление контрастного вещества вокруг опухоли, что позволяет определить ее точные размеры
- выявление мелких и крупных метастазов
- разрушение окружающих тканей (кости и кожи)
- разволокнение надкостницы (верхнего слоя кости)
- утолщения на суставных поверхностях кости
- Биопсия с последующим исследованием образца клеток
- определяется степень злокачественности клеток (низкая, промежуточная или высокая)
- в образце выявляют слизь и кровь
- большое количество атипичных гигантских клеток
- УЗИ
- неоднородная опухоль, внутри которой располагаются кисты, наполненные кровью или слизью
- нечеткие размытые края новообразования
- выпот в полости сустава – большое количество жидкости внутри суставной сумки
Саркома жировой ткани
Липосаркома – злокачественная опухоль жировой ткани. Она образуется на жировой клетчатке бедер и живота, а также в брюшной полости, где может достигать огромных размеров. Средний возраст пациентов старше 50 лет.
Симптомы саркомы жировой ткани
- Внешние проявления:
- уплотнение в толще брюшной стенки на бедре
- через брюшную стенку прощупывается эластичное опухолеобразное образование – саркома, возникшая из жировых капсул внутренних органов.
- Нарушение функции органа, вблизи которого расположена саркома:
- непроходимость кишечника
- желтуха и нарушение пищеварения при прорастании опухоли в печень
- отеки и задержка мочи при повреждении почек и мочеточников
- нарушение менструального цикла и боли внизу живота при поражении детородных органов у женщин
- Болевой синдром на начальных этапах не выражен. Боль возникает, кода опухоль прорастает внутрь органа.
Признаки саркомы жировой ткани, выявляемые при инструментальном исследовании
- УЗИ
- новообразование разных размеров без четких границ
- очаги распада внутри опухоли
- Компьютерная томография
- опухоль с неоднородной структурой
- новообразование без капсулы с нечеткими краями
- располагается на границе подкожной жировой клетчатки и мышц или между органов брюшной полости
- Биопсия
- атипичные клетки, ядра которых занимают более трети пространства
- большое количество погибших клеток (если проба взята с участка некроза)
- полиморфизм (разнообразие форм) клеток
Саркома мышечной ткани
Саркома мышечной ткани или миосаркома – злокачественная опухоль, возникающая из скелетных (рабдомиосаркома) и гладких (лейомиосаркома) мышц. Болезнь чаще диагностируется у мужчин среднего и пожилого возраста.
Саркома скелетных мышц: симптомы:
- преимущественно возникает на конечностях
- внешне напоминает бледный узел
- залегает глубоко в толще мышц
- прощупывается, как подвижный, плотный и эластичный узел
- не имеет четких границ, поскольку прорастает в окружающие ткани
- опухоль склонна к разрушению с образованием язв и узлов
Саркома гладкой мускулатуры: симптомы:
Поражает внутренние органы, состоящие из гладкомышечных волокон, и нарушает работу поврежденного органа.
| Локализация опухоли | Проявления саркомы |
| Органы желудочно-кишечного тракта | Поносы, запоры, вздутие, тошнота, боли в животе |
| Матка, влагалище | Боль в низу живота, кровянистые выделения из влагалища, нарушения менструального цикла |
| Мошонка | Тяжесть и ноющая боль в мошонке, эластичный узел |
| Почки | Отеки ног, кровь в моче, болезненные ощущения в пояснице, повышение артериального давления |
- боль появляется, когда опухоль достигает крупных размеров и сдавливает внутренний орган
- резкое похудение. Часто наблюдается при поражении желудка и кишечника. Снижение веса связано с нарушением переваривания пищи и усвоения питательных веществ.
- интоксикация – отравление продуктами распада опухоли:
- повышение температуры
- слабость
- потеря аппетита
- ломота в теле
- землистый цвет лица
Признаки миосаркомы, выявляемые при инструментальном исследовании
- УЗИ
- неоднородная опухоль с очагами разрушения в толще мышц или внутренних органов
- множественные миосаркомы – метастазы первичной опухоли
- Биопсия
- атипичные клетки с признаками активного деления
- в клетках опухоли обнаруживаются гладкомышечные или поперечнополосатые фибриллы – нитевидные белковые соединения характерные для мышечных клеток
-
Компьютерная томограмма
- опухоль без четких границ
- участки некроза внутри саркомы
- опухоль раздвигает здоровую ткань и прорастает в нее
Саркома головного мозга
Саркома головного мозга – злокачественная опухоль, развивающаяся из соединительной ткани мозга и мозговых оболочек. Она может появиться в любом возрасте.
Симптомы саркомы головного мозга
- Головные боли:
- боли разлитые или соответствуют расположению опухоли
- боли появляются регулярно, со временем приобретают постоянный характер
- не ослабевают после приема обезболивающих препаратов
- Повышение внутричерепного давления развивается в том случае, если опухоль препятствует циркуляции спинномозговой жидкости в желудочках мозга:
- отек глазного нерва
- ухудшение периферического зрения
- головная боль, усиливающаяся к утру
- головокружение
- рвота
- Нарушение произвольных движений :
- судороги при сдавливании мозга образуются очаги судорожной готовности. При этом возникают припадки, напоминающие эпилепсию.
- при повреждении центральной борозды в лобной доле нарушаются активные движения – человек теряет контроль над определенными группами мышц. Развиваются параличи и парезы.
- Очаговые неврологические симптомы, указывающие на повреждение участка мозга, отвечающего за определенную функцию.
| Локализация опухоли | Проявления |
| лобная доля | нарушение речи |
| затылочная часть | нарушение зрения |
| височная часть | нарушение слуха |
| теменная доля | снижение кожной чувствительности |
| мозжечок | нарушение координации движений |
| таламус | снижение объема памяти и внимания |
| лимбические структуры | эмоциональные расстройства – гнев, плаксивость, апатия, раздражительность |
Признаки саркомы мозга, выявляемые при инструментальном исследовании:
- Люмбальная (спинномозговая) пункция:
- в спинномозговой жидкости обнаруживаются атипичные клетки разнообразных форм и размеров
- следы крови
- Биопсия опухоли:
- небольшие клетки с крупным ядром, в котором содержится одно или два ядрышка
- цитоплазма клеток однородная, беззернистая
- КТ:
- неоднородная опухоль без четких границ
- если опухоль расположена на мозговых оболочках, то может иметь четкие очертания
- признаки прорастания саркомы в мозговую ткань
- метастазы в легких и костях
По симптомам саркому трудно отличить от кисты, доброкачественной или злокачественной опухоли. Определить к какому типу относится новообразование, можно исключительно по результатам биопсии.
Диагностика саркомы
- Обследование у врача.
На консультации врач-онколог соберет информацию, которые позволяют правильно поставить диагноз. При осмотре врач обращает внимание на внешние диагностические признаки саркомы.
- истощение
- желтуха
- бледность
- цианотичный оттенок губ
- отечность лица
- переполнение поверхностных вен головы
- бляшки и узелки при саркоме кожи
- изменение кожи над опухолью
Кроме того, при саркоме с высокой степенью злокачественности всегда сильно выражены симптомы интоксикации:
- повышенная температура тела
- слабость
- ночная потливость
- снижение аппетита
Онколог обязательно выяснит, как давно появились симптомы саркомы, как быстро они прогрессируют, были ли у близких родственников злокачественные опухоли.
После опроса врач даст направление на обследование для уточнения типа опухоли, ее локализации, определения уровня злокачественности, наличия метастазов.
- Лабораторные анализы.
- Биопсия и гистологическое исследование при саркоме. Специальной биопсийной иглой или щипцами берут небольшой кусочек опухоли для исследования под микроскопом.
При любом типе саркомы обязательно обнаруживаются:
- извивистые капилляры с тонкими стенками
- разнонаправленные пучки нетипичных злокачественных клеток
- измененные клетки с тонкой клеточной оболочкой и крупными ядрами
- отсутствие нормальных клеток, характерных для данной ткани
- большое количество межклеточного вещества, которое содержит много элементов соединительной ткани (гиалиновых, хрящевых)
- Цитогенетическое исследование выявляет аномалии в хромосомах злокачественных клеток.
- Исследование крови.
Специфических онкомаркеров при саркоме нет. Это означает, что по анализу крови нельзя однозначно определить эту разновидность опухоли.
- Общий анализ крови при саркоме
На начальных стадиях заболевания изменений нет. В дальнейшем появляются отклонения:
- значительное снижение гемоглобина и количества эритроцитов – анемия, менее 100 г/л
- незначительное повышение уровня лейкоцитов – лейкоцитоз свыше 9,0*109/л.
- снижение числа тромбоцитов – тромбоцитопения менее 150․109/л.
- повышение СОЭ – свыше 15 мм/час
- Биохимический анализ крови при саркоме
- Повышение уровня лактатдегидрогеназы свыше 250 Ед/л. Высокие концентрации этого фермента свидетельствуют об агрессивном течении болезни.
- Повышение уровня лактатдегидрогеназы свыше 250 Ед/л. Высокие концентрации этого фермента свидетельствуют об агрессивном течении болезни.
- Биопсия и гистологическое исследование при саркоме. Специальной биопсийной иглой или щипцами берут небольшой кусочек опухоли для исследования под микроскопом.
- Рентген грудной клетки
Рентгенография при саркоме применяется для обнаружения опухолей и их метастазов в грудной клетке и костях.
Саркома средостенья (грудной клетки)
- опухоль округлой или неправильной формы
- размер от нескольких миллиметров до десятков сантиметров
- структура неоднородная
Саркома кости
- неровный контур кости. Бугристость или выпуклость без разрушения наружного слоя кости и без признаков воспаления
- поражение костного мозга
- наросты на поверхности кости в виде бахромы или наслоений
- опухоль имеет вид луковицы, расположенной перпендикулярно оси кости
Недостаток этого рентгенографии в том, что он не позволяет отличить саркому от других злокачественных опухолей.
- Компьютерная томография при саркоме
Признаки саркомы, выявляемые при КТ, зависят от локализации опухоли.
- новообразование неправильной формы
- контуры неровные размытые
- неоднородная структура опухоли
- повреждение окружающих тканей
- скопление контрастного вещества в извивистых сосудах
Часто перед процедурой в вену вводят рентгеноконтрастное вещество, которое помогает определить границы опухоли.
- УЗИ

Ультразвуковое исследование применяется при саркоме, расположенной в брюшной полости и мягких тканях.Исследование позволяет оценить размер и структуру опухоли.
- новообразование без капсулы, которое раздвигает и сдавливает окружающие ткани
- узловые образования в мышцах или внутренних органах (матка, почки)
- опухоль с неоднородной структурой
- очаги некроза внутри новообразования
Лечение саркомы
Максимальный эффект в лечении саркомы обеспечивает комбинированная терапия. Это хирургическое удаление опухоли, перед или после которого проводится курс химиотерапии и лучевой терапии. Благодаря такому подходу удается предотвратить рецидив заболевания и повысить выживаемость с 30% до 70%. Длительность лечения саркомы до года.
Лечение саркомы медикаментами
| Группа препаратов | Представители | Механизм лечебного действия | Способ применения |
| Химиотерапия | Комбинация препаратов: винкристин, адриамицин (доксорубицин) и циклофосфан | Препараты нарушают синтез ДНК, останавливая деление клеток и рост опухоли. В высоких концентрациях приводят к некрозу клеток саркомы. | Препараты назначаются курсом на 3-4 недели. После чего их заменяют другими, чтобы повысить эффективность лечения. Препараты вводят внутривенно. Доза рассчитывается индивидуально с учетом веса пациента, формы и стадии развития саркомы. |
| Комбинация препаратов ифосфамид и этопозид | |||
| Противоопухолевые препараты, группа цитостатики | Оксорубицин, цисплатин, фторурацил, гидроксимочевина, циклофосфан | Повреждают ядро и оболочку злокачественных клеток, вызывая их гибель и уменьшение опухоли. | Препараты вводят внутривенно или внутримышечно ежедневно или через день. Схему лечения подбирают индивидуально. |
Саркома чувствительна к лучевой терапии, которая дополняет медикаментозное лечение. На опухоль направляют излучатель ионизирующих лучей. На саркому воздействуют средними дозами 45-55 грей. Лучше всего лучевой терапии поддается саркома Юинга.
Когда нужна операция по удалению опухоли?
Этот вид опухолей отличается агрессивным течением и ранним появлением метастазов, поэтому удалить саркому необходимо как можно раньше. Особенности и методика проведения операции зависят от расположения органа и стадии заболевания.
Перед операцией проводят предварительное обследование, которое включает:
- общий и биохимический анализы крови
- исследование на ВИЧ, сифилис, гепатит
- определение свертываемости крови
- кардиографию
- компьютерную томографию, в ходе которой уточняется расположение опухоли и степень поражения окружающих тканей.
Цель операции – удалить все злокачественные клетки, которые могут распространиться за пределы опухоли и стать причиной появления новой саркомы. Во время операции врач делает разрез на коже, чтобы обеспечить доступ к опухоли.
Он удаляет саркому и 2 см здоровой ткани вокруг нее. Хирурги стараются максимально сохранить функции органа, чтобы операция не привела к инвалидизации.
Противопоказания к операции
- возраст старше 75 лет
- тяжелые заболевания сердца, печени, почек
- крупная опухоль жизненно важных органов, которая не может быть удалена
В этом случае операция может быть заменена лучевой терапией.
Питание при саркоме
Лечебное питание при саркоме играет большую роль. Соблюдение диеты способствует укреплению иммунитета, естественной борьбе организма со злокачественными клетками и предупреждению роста метастазов.
Основные требования к питанию:
- достаточное количество витаминов – для укрепления иммунитета
- легкоусвояемые белки, которые являются строительным материалом для антител, борющихся со злокачественными опухолями
- большое количество клетчатки, которая ускоряет опорожнение кишечника и выведение токсинов
- нормальное потребление жидкости для очищения крови от продуктов распада клеток
Рекомендуемые продукты:
- Овощи – огурцы, кабачки, картофель, томаты, свекла, баклажаны, тыква, морковь, лук, чеснок. Рекомендуемая норма 500-600 г.
- Зелень – укроп, петрушка, листья салата.
- Фрукты – яблоки, груши, сливы, гранаты, цитрусовые до 1,5 кг в день.
- Кисломолочные продукты, богатые бифидо и лакто бактериями – свежий кефир, йогурт, простокваша, творог, а также свежее козье молоко.
- Мясо до 100 г в день. Бульоны и колбасы не желательны.
- Крупы – источник сложных углеводов для поддержания сил. Рекомендованы овсяная, гречневая и ячневая каши. Дневная норма – 200 г.
- Орехи и семечки – бразильский орех, косточки абрикос, фундук, грецкий орех кешью до 40 г.
- Сухофрукты 40-60 г.
- Отруби и пророщенные злаки (2 ст. л.) – источник клетчатки, микроэлементов и антираковых веществ.
- Хлеб из муки грубого помола до 300 г.
- Растительные масла 20-30 г – желательно оливковое, первого холодного отжима.
Продукты, блокирующие образование метастазов:
- Жирная морская рыба – сайра скумбрия, сардина, сельдь, треска, форель, лосось.
- Желтые и зеленые овощи – тыква, морковь, зеленый горошек, спаржа, капуста, кабачки.
- Чеснок.
Продукты, которых стоит избегать:
- Кондитерские изделия – являются источником глюкозы, которая стимулирует деление раковых клеток.
- Продукты, богатые танином – чай, кофе, хурма, черемуха. Танин обладает кровоостанавливающим свойством, что может привести к образованию тромбов у больных саркомой.
- Копченые продукты – копченая рыба и колбасные изделия содержат много канцерогенных веществ.
- Кислые ягоды – клюква, брусника, лимоны. Кислотная среда способствует развитию раковых клеток.
- Алкоголь, особенно пиво. Пивные дрожжи обеспечивают клетки опухоли простыми углеводами.
Последствия саркомы
- Сдавливание окружающих органов.
- Образование метастазов.
- Непроходимость и перфорация кишечника. Эта ситуация может привести к перитониту – воспалению листков брюшины, что требует немедленной операции.
- Слоновость при сдавливании лимфатических узлов и нарушении оттока лимфы.
- Деформация конечностей и ограничение движений при крупных опухолях в мышцах и костях.
- Внутренние кровотечения, вызванные распадом опухоли.
Прогноз при саркоме зависит от стадии заболевания. Поэтому необходимо регулярно проходить профилактические осмотры, которые помогают выявить саркому на ранних этапах. Чем раньше приступить к лечению саркомы, тем выше шансы на выздоровление.




