Рефлюкс эзофагит - причины, симптомы, современная диагностика и эффективное лечение

Содержание статьи:


Сайт предоставляет справочную информацию. Адекватная диагностика и лечение болезни возможны под наблюдением добросовестного врача. У любых препаратов есть противопоказания. Необходима консультация специалиста, а также подробное изучение инструкции!

Рефлюкс эзофагит - это хроническое заболевание, характеризующиеся патологическим забросом содержимого желудка в пищевод.
 
По данным многочисленных исследований проводимых в Европе, США, России, распространённость данного заболевания среди взрослого населения составляет 40-60%, причём за последние годы отмечается значительный рост данного показателя.
 
Хочется отметить, что у нас ещё не осознали в полной мере опасность рефлюкс - эзофагита и за медицинской помощью обращаются, когда уже развиваются осложнения.

Анатомия и физиология пищевода и желудка

Чтобы понять, как развивается рефлюкс - эзофагит обратимся к строению желудочно-кишечного тракта. Пищевод это полый орган, находящийся позади трахеи. Длина его, как правило, составляет 23-24 см. - у женщин и 25-30 – у мужчин.
 
Пищевод состоит из нескольких слоёв: слизистая оболочка, мышечная оболочка и наружная оболочка. Основная функция пищевода это продвижение комка пищи к желудку. Слизистая оболочка образует 7-10 продольных складок, которые помогают продвижению пищи к желудку.
 
Так же в пищеводе есть множество желез секретирующих слизистую жидкость. Эта жидкость не только помогает продвижению пищи в сторону желудка, но и защищает пищевод от повреждений.
 
Мышечный слой: служит для ускорения движения пищевого комка по пищеводу. Мышцы пищевода образуют 2 сфинктера (клапана) верхний и нижний. Нижний клапан находится на границе между желудком и пищеводом. Когда человек не кушает сфинктер закрыт. При проглатывании же пищи сфинктер открывается, пропуская пищу в желудок.
Очень важна правильная работа сфинктера, так как нарушение её ведёт к рефлюксной болезни.
 
При попадании пищи в желудок вырабатывает желудочный сок. В его состав входят различные ферменты, соляная кислота, которые участвуют в переваривании пищи. Переработке пищи также помогает движения желудка (перистальтика).
 
В норме, в результате перистальтики желудка, у человека бывает 20-30 физиологических рефлюксов (забросов содержимого желудка в пищевод), но никакого дискомфорта (симптомов, о которых поговорим ниже) человек не ощущает. Так как рефлюкс сам по себе не болезнь. Болезнь наступает только тогда, когда защитные механизмы пищевода нарушаются.
 
Так какие же защитные механизмы придумала природа? Первый защитный барьер пищевода это его слизистая. Она защищает пищевод от механических повреждений при прохождении пищи (особенно когда пища плохо пережевана), и соляной кислоты попадающей в пищевод при физиологических рефлюксах.
 
Второй защитный механизм это нижний сфинктер пищевода, который не даёт желудочному содержимому слишком часто попадать в пищевод.
 
Третий защитный барьер - хорошее кровоснабжение пищевода, которое позволяет быстро восстанавливать слизистую пищевода в случае повреждения. Все эти механизмы защищают пищевод.

Причины рефлюкс эзофагита

Основная причина развития рефлюксной болезни это нарушение работы нижнего пищеводного сфинктера, снижение его мышечного тонуса. Нижний пищеводный сфинктер остаётся всё время открытым или частично открытым, что позволяет содержимому желудка свободно попадать в пищевод. Причины этого нарушения:
  1. нервные перегрузки
  2. химические или пищевые факторы
  3. повышение давления в брюшной полости
Ещё одной причиной развития рефлюксной болезни, может быть грыжа пищеводного отверстия диафрагмы. Через расширенное пищеводное отверстие диафрагмы (грыжа), при повышении внутрибрюшного давления (например, подъём тяжести), часть желудка и его содержимое проникает в грудную полость.
 
Предрасполагающие факторы развития рефлюксной болезни:

 
1. вынужденное положение тела с наклоном вперёд
2. избыточная масса тела
3. курение, употребление алкоголя
4. употребление специй, кофе, шоколада
5. беременность
6. приём некоторых препаратов, таких как нитроглицерин, метопролол
7. язвенная болезнь желудка и 12 перстной кишки
 
В принципе, любой фактор может привести к забросу желудочного содержимого в пищевод. Иногда достаточно просто наклониться, и возникает дискомфорт.

Подробнее о гастрите, язвенной болезни желудка и язве двенадцатиперстной кишки читайте в статье: Язва желудка, Язва двенадцатиперстной кишки,
Гастрит


Подпишитесь на Здоровьесберегающий видеоканал

Симптомы рефлюкс эзофагита

Самым частым симптомом является изжога - ощущение жжения в области верхней части пищевода. Изжога появляется после еды, особенно после таких продуктов как: кофе, алкоголь, специи, жирная пища, горячая пища. Появляется при наклоне вперёд или в горизонтальном положении.
  •  Отрыжка воздухом или, кислым содержимым - является вторым по частоте симптомом проявления болезни.
  •  Ощущение затруднения при глотания и прохождения пищи (дисфагия). Боль при прохождении пищи по пищеводу, чаще наблюдается при выраженном воспалении слизистой пищевода. Нужно отметить, что бывают и внепищеводные проявления (маски).
  •  «Легочная маска» - на фоне рефлюкса эзофагита развивается бронхообструкция (закупорка бронхов вязким секретом) и проявляется она хроническим (продолжающимся долгое время) кашлем. Кашель появляется чаше всего в ночное время. Механизм появления бронхообструкции состоит в микроаспирации (попаданию небольших частиц) из пищевода в бронхи. В настоящее время рефлюкс эзофагит рассматривается как триггер (запускающий механизм) бронхиальной астмы. Присутствие рефлюксной болезни часто объясняет ночные приступы при бронхиальной астме.
  •  «Кардиальная маска» проявляется за грудинными болями похожими на стенокардию (боль в сердце). В отличие от стенокардии боли при «кардиальной маске» рефлюкс эзофагита появляются после переедания, употребление кислой, острой пищи.
  •  «Отоларингологическая маска» - проявляется развитием ринита (воспаление слизистой носа), фарингита (воспаление слизистой глотки). Появления ринита и фарингита объясняется частым контактом кислого содержимого желудка, которое опять-таки посредством рефлюкса попадает в гортань.
  •  «Стоматологическая маска» - появляется из-за заброса кислоты из пищевода в полость рта. Кислота разрушает эмаль зубов тем самым предоставляя все условия для развития кариеса.
Самое неприятное, что пациенты даже не подозревают о том, что рефлюксная болезнь может так маскироваться. Подчас больные лечат совсем другие заболевания, которые упомянуты выше. Но естественно лечение не даёт результатов. Без помощи врача вам не справиться. Поэтому при появлении выше описанных симптомов, настоятельно рекомендуется, обратится к врачу терапевту или гастрологу.
 
Течение рефлюкс-эзофагита
 Сама болезнь длится годами. Без соответствующего лечения проявления заболевания со временем усиливаются.
 
 Хочется отметить, что данное заболевание успешно лечится, но после прекращения лечения довольно часто происходит рецедивы (возвращение симптомов заболевания), особенно если пациент не меняет образ жизни.

Подробную информацию об иных причинах изжоги читайте в статье: Изжога

Диагностика рефлюкс эзофагита

Диагностика всегда начинается с беседы с врачом. Во время беседы врач выявит жалобы заболевания их тяжесть, продолжительность. Спросит о возможных сопутствующих заболеванию факторах. Особенно тщательно осведомится о продуктах питания, которые вы, чаще всего употребляете. После этого врач вас осмотрит.
 
Осмотр ротовой полости
 
Врач попросит открыть рот и показать язык. При рефлюкс эзофагите язык обложен белым налётом.
 
 Пальпация живота (прощупывание):
 
Производится для исключения панкреатита, гастрита, холецистита.
 
После обследования врач назначает инструментальные обследования.
 
ФЭГДС (фиброэзофагогастродуоденоскопия) - основной метод исследования при рефлюкс эзофагите. Это исследование проводится с помощью оптоволоконного зонда с камерой на конце. Этот зонд, вводят через рот, перемещая камеру в нужный участок пищеварительного отдела.
 
В данном случае исследуется пищевод и частично желудок. Изображение проецируется на монитор компьютера, и врач функционалист видит слизистую пищевода. При рефлюкс эзофагите слизистая красного цвета (гиперемирована), также можно обнаружить и сам рефлюкс (заброс содержимого желудка в пищевод). Некоторые пациенты боятся делать эту процедуру, объясняя это тем, что она крайне неприятна. На самом деле сама процедура вызывает лишь легкий дискомфорт и тем более длится она совсем не долго. Без ФЭГДС нельзя с уверенностью сказать есть ли рефлюкс эзофагит или нет. Так же с помощью этого обследования можно взять биопсию (кусочек ткани из пищевода) в случае надобности.
 
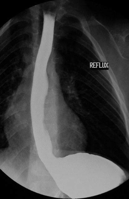
Рентгеновское исследование с использованием контраста. В качестве контраста используют Барий. Это жидкость белого цвета похожая на молоко. По вкусу напоминает мел. Эта жидкость абсолютно не токсична, не всасывается в кишечнике, зато хорошо видна на рентгеновском снимке (белого цвета). Для этой процедуры Вас попросят выпить стакан Бариевой смеси и лечь на спину. В этом положении Вам сделают рентген снимок, где будет виден патологический заброс бария из желудка в пищевод.
 
 Суточная РН метрия: исследование позволяющее определить суточное повышение кислотности (понижение pН) в пищеводе. В норме РН в пищеводе всегда должен быть больше 4 (то есть более щелочной) при частом попадании содержимого желудка (особенно соляной кислоты) в пищевод, pH снижается и становится кислым.
Соответственно по суточному колебанию pН можно судить о частоте рефлюкса (чаще рефлюкс - ниже pН). Чем чаше рефлюкс в течение суток, тем сильнее проявляются симптомы заболевания (тяжелей форма).
 
 Эзофагоманометрия: исследование позволяющее оценить работу (сократительную способность) нижнего пищеводного сфинктера. Для этого вводятся через рот или нос специальные катетеры, которые измеряют давление внутри просвета пищевода. Давление в нижнем пищеводном сфинктере при отсутствии патологии составляет 6-25 мм рт. ст.
При патологии давление снижается (расслабление сфинктера) и происходят рефлюксы.
 
 При присутствии «масок» назначают консультации специалистов и другие анализы, чтобы исключить другие заболевания.
 
 ЭКГ (электрокардиограмма) – осуществляется, чтобы исключить заболевания сердца (стенокардия)
 
 Рентгенография грудной клетки – для исключения легочных заболеваний (бронхит)
 
Консультации стоматолога и отоларинголога при наличии «стоматологических и отоларингологических масок».

Лечение рефлюкс эзофагита


Лечение всегда нужно начинать с устранения возможных причин: бросать курить, избавляться от избыточной массы тела, избегать стрессов. Чаще всего нужно корректировать диету.

 Без коррекции диеты эффект от медикаментозного лечения будет минимальный. Диету нужно держать всё время особенно строго соблюдать её во время присутствия симптомов заболевания.

Режим питания образ жизни больного с рефлюкс эзофагитом

1. Режим дня должен быть построен так, чтобы исключить нервные перегрузки на работе или дома.
 
2. Сон. Немаловажно хорошо высыпаться (если есть возможность по 7-8 часов в день). Причём желательно спать на небольшой подушке, чтобы голова была выше тела на 25-30 градусов. Такое положение необходимо, чтобы снизить число рефлюксов ночью.
 
3. Режим питания нужно составить таким образом, чтобы приём пищи происходил не реже, чем 4-5 раз в день и небольшими порциями. Немаловажно чтобы вечером пища принималась не позже, чем за 2-4 часа до сна.
 
Во время еды стараться не переедать и кушать медленно (центр насыщения активируется на 20 минуте после начала еды), поэтому, если человек ест быстро, ему кажется, что он ещё голоден, продолжая приём пищи, хотя это уже не нужно.
 
После еды нельзя находиться в положении лежа или сидя. Рекомендуется после еды прогулка пешком, которая позволяет пище быстрее усваиваться и скорее перемещаться из желудка в кишечник.
 
4. Не рекомендуется носить обтягивающую живот одежду – она увеличивает внутрибрюшное давление
 
5. Стараться не поднимать тяжести, а также меньше напрягать мышцы брюшного пресса
 
6. Исключить приём препаратов, которые снижают тонус нижнего пищеводного сфинктера (нитраты, в-блокаторы, эуфилин, седативные, снотворные и другие).

 Диета при рефлюкс эзофагите

 
Начнём с продуктов, которые не рекомендуется употреблять при рефлюкс эзофагите
При рефлюкс эзофагите следует исключить:
  •  Алкоголь (повышает кислотность желудочного сока, тем самым увеличивая его агрессивность, и к тому же ещё сильней расслабляет нижний эзофагальный сфинктер)
  • Газированные напитки (попадая в желудок газы раздражают слизистую желудка вызывая увеличение секреции соляной кислоты)
  • Кофе и крепкий чай
  • Шоколад (вызывает расслабление нижнего эзофагального сфинктера)
  • Острые приправы
  • Грибы
  • Бобовые (фасоль горошек) – увеличивают внутрибрюшное давление приводя к увеличению количества рефлюксов
  • Маринады, копчёности
  • Любые консервы
  • Жирные продукты
  • Кислые соки
  • Капуста (свежая и квашенная)
  • Чёрный хлеб
  • Майонез, кетчуп
  • Чипсы и продукты такого рода
  • Жевательная резинка
  • Фастфуды (гамбургеры, картофель фри, хот-доги и так далее)
  • Жареные мясо, рыба, овощи
 В острый период не рекомендуется употреблять свежие овощи и фрукты. Также нужно исключить любые продукты, от которых у вас появляется  изжога.
 
Продукты, которые можно использовать в пищу при рефлюкс эзофагите:
  • Молоко и сметана с низкой жирностью
  • Свежие куриные или перепелиные яйца варёные всмятку
  • Обезжиренный протёртый творог
  • Сухарики или размоченный белый хлеб
  • Всевозможные каши, варённые на воде
  • Паровые котлеты из телятины
  • Печёные не кислые яблоки
  • Запеченные в духовке овощи
  • Из вареных овощей также можно делать различные салаты или рагу
  • Вареная и печеная рыба не жирных сортов
  • Конечно, это далеко не весь список возможных блюд.

Медикаментозное лечение рефлюкс эзофагита

Вылечить диетой рефлюкс эзофагит можно только в лёгкой форме. В остальных случаях требуется также и медикаментозное лечение.
 
 Существует несколько групп препаратов назначаемых при рефлюксной болезни.
 
 1. Прокинетики – препараты, которые увеличивают тонус нижнего эзофагального сфинктера. Действующее вещество называется домперидон, он входит в состав таких препаратов как (мотилиум, мотилак). Или другое действующее вещество итоприд (генатон).
  • Мотилиум - взрослым по 20 мг. (2 таблетки) 3 раза в сутки, за 20-30 минут до еды, когда присутствуют симптомы и ночью, то и перед сном.

2. Антациды – препараты снижающие кислотность посредством её нейтрализации.
 
Типичным представителем данной группы является Алмагель.
  •  Алмагель - 5-10 мг. (1-2 мерные ложечки) 3-4 раза в день за 10-15 минут до еды.
В случае сильных болей после приёма пищи рекомендуют Алмагель А, так как он помимо нейтрализации кислоты еще и боль снимает. Длительность лечения препаратом Алмагель А не дольше 7 дней, после чего переходят на обычный Алмагель.
 
3. Антисекреторные препараты – препараты снижающие кислотность посредством подавления её образования.
  • Омепразол – по 20- 40 мг (1-2 капсулы в сутки), запивая капсулу небольшим количеством воды. Капсулу нельзя разжевывать.
  • Фамотидин 20 мг. 2 раза в сутки.
Длительность лечения и количество препаратов зависит от тяжести болезни. В среднем лечение производится как минимум 2 группами препаратов (Мотилиум + Алмагель, Мотилиум + Омепразол). Длительность лечения 4-6 недель. В тяжелых случаях назначается 3 группы препаратов в течение более чем 6 недель.

Осложнения рефлюкс эзофагита

Язва пищевода – возникает при продолжительном и частом рефлюксе.Часто язва осложняется кровотечением, в этом случае требуется эндоскопическая операция (через рот вводят трубку в пищевод и с помощью специального коагулятора прижигают кровоточащий сосуд)
 
Стеноз (сужение просвета) пищевода – из-за хронического воспаления пищевода его стенки утолщаются и появляется стеноз. Жалобы: боль при глотании, а также чувство комка в горле (пище плохо проходит через пищевод). Лечение хирургическое и довольно сложное.
 
Пищевод Баррета – эпителий пищевода меняется на эпителий желудка, тем самым увеличивая в 10 раз вероятность появления злокачественной опухоли пищевода.
 
Намного проще лечить рефлюкс эзофагит в лёгкой форме, чем осложнения. Ранее обращение к врачу означает быстрое и эффективное лечение.

 Профилактика рефлюкс эзофагита

 Лучшая профилактика любого заболевания, включая и рефлюкс эзофагит это здоровый образ жизни:
1. избегание стрессов
2. умеренное употребление алкогольных напитков
3. бросить курить
4. правильное питание особенно избегать острого, кислого, копченого и конечно же фастфудов.  
5. соблюдение правильного режима питания (3-4 раза в день и понемногу).
6. нельзя ложится сразу после еды, а лучше прогуляться.

Симптомы ГЭРБ

Лечение ГЭРБ

Народная медицина

Диета

Кисляков Илья Александрович
Автор:
Специальность: Практикующий врач-микробиолог 2-й категории

Опубликовано: 22.5.2012

Дополнено: 13.12.2023

Просмотров: 917052

Поделиться
Восстановление микрофлоры кишечника: выбираем лучшее средство
27489
0
Восстановление микрофлоры кишечника: выбираем лучшее средство
Аденокарцинома желудка. Причины, симптомы, диагностика и лечение патологии
26401
0
Аденокарцинома желудка. Причины, симптомы, диагностика и лечение патологии
Исследование микрофлоры кишечника помогает в выявлении гепатоцеллюлярной карциномы
12334
0
Исследование микрофлоры кишечника помогает в выявлении гепатоцеллюлярной карциномы
Чрезмерно обработанная пища приводит к развитию синдрома раздражённого кишечника
10908
0
Чрезмерно обработанная пища приводит к развитию синдрома раздражённого кишечника
Лечение гастроэзофагеального рефлюкса у детей
11174
0
Лечение гастроэзофагеального рефлюкса у детей
Роль пробиотиков в лечении желудочно-кишечных расстройств
17211
0
Роль пробиотиков в лечении желудочно-кишечных расстройств
Гастроэнтеролог. Чем занимается данный специалист, какие исследования производит, какие заболевания лечит?
88846
0
Гастроэнтеролог. Чем занимается данный специалист, какие исследования производит, какие заболевания лечит?
Полип желудка. Причины, симптомы, диагностика, лечение и профилактика
183550
1
Полип желудка. Причины, симптомы, диагностика, лечение и профилактика
Фиброгастродуоденоскопия (ФГДС). Что такое ФГДС, показания, какие болезни выявляет
280155
0
Фиброгастродуоденоскопия (ФГДС). Что такое ФГДС, показания, какие болезни выявляет
УЗИ поджелудочной железы. Что такое УЗИ, показания, какие болезни выявляет
58745
0
УЗИ поджелудочной железы. Что такое УЗИ, показания, какие болезни выявляет
Желудочно - кишечное кровотечение. Причины, симптомы и признаки (рвота, кал с кровью,) диагностика, первая помощь при кровотечении.
440250
4
Желудочно - кишечное кровотечение. Причины, симптомы и признаки (рвота, кал с кровью,) диагностика, первая помощь при кровотечении.
Дефект межжелудочковой перегородки
85781
0
Дефект межжелудочковой перегородки
Рентген толстого кишечника. Ирригоскопия, ирригография - показания, противопоказания. Как подготовиться к обследованию, как оно производится, расшифровка результата
135421
0
Рентген толстого кишечника. Ирригоскопия, ирригография - показания, противопоказания. Как подготовиться к обследованию, как оно производится, расшифровка результата
Рентген желудка - как производится обследование, как подготовиться
189197
0
Рентген желудка - как производится обследование, как подготовиться
Бактериологическое исследование кала - анализ кала на дисбактериоз и на кишечную инфекцию. Расшифровка и нормальные значения. Как подготовиться и  собрать материал
443725
4
Бактериологическое исследование кала - анализ кала на дисбактериоз и на кишечную инфекцию. Расшифровка и нормальные значения. Как подготовиться и собрать материал
Дисбактериоз кишечника - причины, симптомы, современная диагностика и эффективное лечение
318317
6
Дисбактериоз кишечника - причины, симптомы, современная диагностика и эффективное лечение
Синдром раздраженного кишечника - причины, симптомы, диагностика и эффективное лечение
1199134
4
Синдром раздраженного кишечника - причины, симптомы, диагностика и эффективное лечение
Язва двенадцатиперстной кишки - причины, симптомы, современная диагностика и эффективное лечение
292848
2
Язва двенадцатиперстной кишки - причины, симптомы, современная диагностика и эффективное лечение
Язва желудка - причины, симптомы, современная диагностика и эффективное лечение
204643
0
Язва желудка - причины, симптомы, современная диагностика и эффективное лечение
Изжога - причины, болезни при которых появляется изжога, современное лечение, изжога при беременности
98905
3
Изжога - причины, болезни при которых появляется изжога, современное лечение, изжога при беременности
Гастрит. Причины возникновения, современная диагностика и эффективное лечение болезни.
435451
3
Гастрит. Причины возникновения, современная диагностика и эффективное лечение болезни.

Комментировать или поделиться опытом:


Архивы:

Регистрация временно закрыта

Вход в профиль

Войдите при помощи профиля в социальной сети или ранее зарегистрированного профиля на сайте

Ваша эл. почта
Проверочный код
Вернуться к логину
Ваша эл. почта
Пароль
Я забыл пароль
Закрыть