Васкулиты – это заболевания, при которых поражаются сосуды. В дальнейшем патологический процесс часто распространяется на разные органы и ткани.
Существует большое количество различных видов васкулитов, каждый из которых сопровождается поражением определенного вида сосудов и собственными специфическими симптомами.
Наиболее распространенные виды васкулитов:
- Уртикарный васкулит – заболевание, при котором происходит поражение мелких сосудов, преимущественно венул (мелких вен) и появление на коже пятен по типу крапивницы.
- Аллергический васкулит – поражение сосудов при различных аллергических реакциях.
- Геморрагический васкулит (болезнь Шенлейна-Геноха) – заболевание, при котором отмечается поражение капилляров и мелких артерий.
- Узелковый периартериит – заболевание, поражающее преимущественно сосуды мелкого и среднего размера.
- Неспецифический аортоартериит (болезнь Такаясу) – заболевание, поражающее аорту и отходящие от нее крупные артерии.
- Гранулематоз Вегенера – васкулит, при котором происходит поражение мелких сосудов верхних дыхательных путей, легких и почек.
Виды системных васкулитов в зависимости от происхождения:
Информация в статье носит справочный характер и не заменяет консультацию врача. Перед применением рекомендаций обратитесь к специалисту.
- первичные – развиваются в качестве самостоятельного заболевания;
- вторичные – возникают в качестве проявления другого заболевания.
Общие признаки всех видов васкулитов:
- Невозможно установить первопричину.Не удается выявить фактор, который первоначально привел к возникновению заболевания.
- Одинаковое развитие. В результате тех или иных причин происходят нарушения иммунитета, развиваются аутоиммунные реакции. Вырабатываются антитела, которые, соединяясь с различными веществами, образуют иммунные комплексы. Последние оседают на стенках сосудов и вызывают воспаление.
- Хроническое течение. Все системные васкулиты протекают в течение длительного времени. Чередуются обострения и ремиссии (улучшение состояния).
- К обострениям обычно приводят одни и те же факторы: введение вакцин, различные инфекции, переохлаждение, длительное пребывание на солнце, контакт с аллергенами.
- Поражение разных органов и тканей: кожи, суставов, внутренних органов. Аутоиммунные процессы развиваются во всем теле, но преимущественно в тех местах, где находятся большие скопления сосудов.
- При всех видах васкулитов помогают лекарственные препараты, подавляющие иммунитет.
- Анатомия сосудов
- Аллергический васкулит
- Причины аллергического васкулита
- Проявления аллергического васкулита
- Диагностика аллергических васкулитов
- Лечение аллергического васкулита
- Уртикарный васкулит
- Причины уртикарного васкулита
- Симптомы уртикарного васкулита:
- Диагностика уртикарного васкулита
- Лечение уртикарного васкулита
- Геморрагический васкулит
- Причины геморрагического васкулита
- Признаки геморрагического васкулита
- Диагностика геморрагического васкулита
- Лечение геморрагическоговаскулита
- Узелковый периартериит
- Причины узелкового периартериита
- Симптомы узелкового периартериита
- Как выглядит узелковый периартериит на фото?
- Диагностика узелкового периартериита
- Лечение узелкового периартериита
- Неспецифический аортоартериит (болезнь Такаясу)
- Причины неспецифического аортоартериита
- Проявления болезни Такаясу
- Диагностика неспецифического аортоартериита
- Лечение неспецифического аортоартериита
- Хирургическое лечение неспецифического аортоартериита
- Гранулематоз Вегенера
- Причины гранулематоза Вегенера
- Признаки гранулематоза Вегенера
- Диагностика при гранулематозе Вегенера
- Лечение гранулематоза Вегенера
Анатомия сосудов
Стенка любой артерии состоит из трех слоев: внутреннего, среднего и наружного. Они могут иметь разное строение и толщину, в зависимости от размеров, положения и функции артерии.
Типы артерий:
- эластический;
- мышечный;
- смешанный.
Строение стенок артерий в зависимости от типа:

Аллергический васкулит
Аллергический васкулит – это аллергически-воспалительное заболевание, которое поражает преимущественно мелкие сосуды, расположенные в коже. Оно может протекать по-разному и сопровождаться возникновением различных кожных высыпаний. Отдельные его формы выделяют в качестве самостоятельных заболеваний. Это создает сложности во время диагностики. Аллергический васкулит может развиваться в любом возрасте, одинаково часто у мужчин и женщин.
Причины аллергического васкулита
Несмотря на слово «аллергический» в названии, этот вид васкулита вызван сочетанием разных факторов:
- инфекции: стафилококки и другие бактерии, вирусы, грибки;
- хронические очаги воспаления в организме: туберкулез, хронический цистит, аднексит, гайморит, тонзиллит и пр.;
- частые простуды;
- прием некоторых медикаментозных препаратов: антибиотиков, обезболивающих, успокаивающих, контрацептивов и пр.;
- контакт с некоторыми химическими веществами (в основном профессиональные вредности);
- аллергия;
- действие радиации, частые облучения во время проведения лучевой терапии при онкологических заболеваниях;
- сердечно-сосудистые заболевания: артериальная гипертония, варикозная болезнь, сердечная недостаточность;
- некоторые хронические заболевания: ожирение, сахарный диабет II типа, подагра и пр.
Проявления аллергического васкулита
Симптомы аллергического васкулита зависят от того, в какой форме он протекает.
Проявления аллергического васкулита в зависимости от формы течения болезни:
Диагностика аллергических васкулитов
Проявления разных видов аллергических васкулитов различаются между собой очень сильно. Поэтому после выявления жалоб и осмотра пациента поставить диагноз очень сложно.
Обследование при аллергическихваскулитах:
Также при аллергическом васкулите проводят обследование, направленное на:
- выявление хронических очагов, которые могли способствовать возникновению заболевания;
- выявление инфекций, которые могли способствовать возникновению заболевания;
- выявление осложнений со стороны суставов, сердца и пр.
Программа обследования составляется врачом индивидуально.
Лечение аллергического васкулита
| Название препарата | Описание, эффекты | Способ применения |
Противоаллергические препараты:
|
Подавляют аллергические реакции, которые лежат в основе воспаления сосудов при аллергическом васкулите. | Супрастин:
Пипольфен:
Телфаст |
| Венорутон (син.: Рутозид) | Эффекты:
|
Форма выпуска: В капсулах по 300 мг. Способ применения: |
| Дицинон (син.: Этамзилат) | Эффекты:
|
Формы выпуска:
Способы применения:
Срок лечения определяется лечащим врачом. |
| Аскорутин | Комбинированный витаминный препарат, сочетание аскорбиновой кислоты (витамин C) и рутина (витаминтH). Оба витамина оказывают укрепляющее действие на сосудистую стенку, защищают клетки и ткани от окисления свободными радикалами. | Форма выпуска: таблетки светло-зеленого цвета, в каждой из которых содержится по 50 мг рутина и аскорбиновой кислоты.
Способ применения: |
| Продектин (син.: Пирикарбат) | Данный лекарственный препарат относится к группе ангиопротекторов– средств, защищающих стенки сосудов от повреждений. Эффекты:
|
Формы выпуска:
Способы применения:
|
| Аминокапроновая кислота | Является кровоостанавливающим средством. Применяется при аллергическом васкулите, сопровождающемся кровоизлияниями из мелких сосудов. | Формы выпуска:
Способы применения:
|
| Эскузан | Препарат растительного происхождения, экстракт конского каштана. Является ангиопротектором, защищает сосуды от повреждений. Эффекты:
|
Формы выпуска:
Способ применения:
|
Методы лечения при тяжелом течении аллергического васкулита:
- глюкокортикоиды – препараты коры надпочечников, подавляющие иммунитет;
- цитостатики – препараты, подавляющие иммунную систему;
- гемосорбция и плазмаферез – аппаратные методы очистки крови от иммунных комплексов и токсических веществ (см. ниже при описании узелкового периартериита).
Уртикарный васкулит
Уртикарный васкулит можно рассматривать как разновидность аллергического васкулита. Синоним названия заболевания — Заболевание встречается редко. Внешне напоминает аллергическую реакцию по типу крапивницы.
Причины уртикарного васкулита
Уртикарныйваскулит имеет аллергическое происхождение. В отличие от обычной аллергии, симптомы не проходят сразу после прекращения контакта с предполагаемым аллергеном. Этот вид васкулита склонен к хроническому течению.
Симптомы уртикарного васкулита:
Основной симптом уртикарного васкулита – сыпь. Она напоминает таковую при крапивнице: на коже появляются волдыри красного цвета.
Различия между сыпью при крапивнице и уртикарном васкулите:
| Характеристика | Крапивница | Уртикарный васкулит |
| Плотность волдырей | Средняя | Очень плотные |
| Как долго держится сыпь? | Кратковременная, быстро проходит после прекращения контакта с аллергеном. | Держится дольше 24 часов, обычно 3 – 4 суток. |
| Есть ли зуд? | Есть. | Нет, вместо него отмечается боль, жжение. |
| Что остается на месте сыпи после ее исчезновения? | Проходит бесследно. | Остаются подкожные кровоизлияния, синяки зеленого и желтого цвета, пигментные пятна. |
| Нарушается ли при этом общее состояние пациента? | Практически не нарушается. Основные проблемы связаны с зудом. | Нарушается, отмечается повышение температуры тела. |
| Поражаются ли другие органы? | Характерные симптомы аллергических реакций:
|
|
Диагностика уртикарного васкулита
Лечение уртикарного васкулита
Лечение уртикарного васкулита проводится по тем же принципам, что и лечение всех остальных аллергических васкулитов (см. «аллергический васкулит», «геморрагический васкулит»):
- противоаллергические препараты;
- противовоспалительные препараты;
- при неэффективности указанных лекарственных средств – глюкокортикоиды (препараты гормонов коры надпочечников) и цитостатики (препараты, подавляющие иммунитет).
Геморрагический васкулит
Геморрагический васкулит (болезнь Шенлейна-Геноха) – разновидность васкулита, при которой поражаются мелкие сосуды, а вслед за ними – кожа, суставы, внутренние органы. Заболевание наиболее распространено в детском возрасте и среди молодых лиц.
Причины геморрагического васкулита
Геморрагический васкулит является аутоиммунным заболеванием. Из-за избыточной реакции иммунной системы в крови образуется большое количество иммунных комплексов. Оседая на стенках сосудов изнутри, они приводят к развитию воспаления.
Факторы, провоцирующие развитие геморрагического васкулита:
- ангина – воспаление миндалин, вызванное бактериями-стрептококками;
- обострение хронического воспаления миндалин (тонзиллита);
- фарингит – воспаление глотки, вызванное инфекцией;
- введение некоторых вакцин и сывороток, по отношению к которым у пациента имеется непереносимость;
- переохлаждение.
Признаки геморрагического васкулита
| Группа симптомов | Описание |
| Общие симптомы |
|
| Поражение кожи | |
| Признаки поражения суставов (выявляются у 75% пациентов) |
|
| Признаки поражения внутренних органов |
|
Диагностика геморрагического васкулита
Лечение геморрагическоговаскулита
| Препарат | Описание | Способ применения |
| Общее лечение при геморрагическом васкулите | ||
| Аскорутин | Комбинированный витаминный препарат, сочетание аскорбиновой кислоты (витамин C) и рутина (витамин Р). Оба витамина оказывают укрепляющее действие на сосудистую стенку, защищают клетки и ткани от окисления свободными радикалами. | Форма выпуска: таблетки светло-зеленого цвета, в каждой из которых содержится по 50 мг рутина и аскорбиновой кислоты. Способ применения: Взрослым принимать по 1 таблетке после еды 1 – 2 раза в сутки. Продолжительность курса устанавливается врачом индивидуально. |
| Индометацин | Противовоспалительный препарат. Подавляет воспалительный процесс в сосудах и устраняет симптомы заболевания. Назначается при длительном упорном течении геморрагическоговаскулита. | Формы выпуска:
Способ применения: |
| Хингамин (син.: Делагил) | Противомалярийный препарат, способный подавлять иммунную систему. | Принимается по назначению врача. |
| Гидроксихлорохил (син.: Плаквенил) | Аналог Хингамина. Обладает противобактериальным эффектом, подавляет иммунитет. | Принимается по назначению врача. |
| При поражении внутренних органов живота | ||
| Гепарин | Гепарин является антикоагулянтом – он снижает свертываемость крови. | Доза препарата подбирается в зависимости от тяжести симптомов. Назначается врачом в стационаре. |
| Свежезамороженная плазма | Свежезамороженную плазму получают от доноров на пунктах переливания крови. Она содержит естественные органические вещества, которые нормализуют свертываемость крови, другие ее свойства. | Вводят внутривенно 300 – 400 мл плазмы. Процедуру проводят только в условиях стационара, в течение 3 – 4 дней. |
| Курантил (син.: Дипиридамол) | Эффекты:
|
Форма выпуска: Драже и таблетки по 25 и 75 мг. Способ применения: Принимать по 75 – 225 г лекарственного препарата в сутки, разделив общую дозу на несколько приемов (по назначению врача). Таблетки принимают натощак. |
| Трентал (син.: Пентоксифиллин) | Эффекты:
|
Формы выпуска:
Способы применения:
|
| При поражении почек | ||
| Делагил (син.: хлорохин) | Противомалярийный препарат, обладающий способностью подавлять иммунитет и аутоиммунные реакции. | Принимается строго по назначению врача. |
| Плаквенил | См. выше. | См. выше. |
Узелковый периартериит
Узелковый периартериит – это аллергический васкулит, при котором происходит преимущественное поражение мелких и средних артерий. Чаще всего заболевание развивается в возрасте 30 – 50 лет. Мужчины страдают в 2 – 4 раза чаще женщин.
Причины узелкового периартериита
Факторы, способствующие развитию данного вида васкулита:
- прием некоторых лекарственных препаратов: антибиотиков, обезболивающих, противотуберкулезных, рентгенконтрастных средств;
- вирусные инфекции: гепатит B, герпес, цитомегаловирусная инфекция;
- генетическая предрасположенность.
Процессы, происходящие в сосудах при узелковом периартериите:
- развитие аутоиммунного воспаления в сосудистой стенке, в результате которой происходит ее разрушение, разрастание и повышение свертываемости крови;
- перекрытие просвета сосудов, в результате чего нарушается кровоснабжение органов;
- тромбоз сосудов;
- аневризмы (истончение стенки) и разрывы сосудов;
- инфаркты (гибель ткани в результате прекращения кровообращения) во внутренних органах, после которых развивается атрофия и рубцевание, нарушаются функции.
Симптомы узелкового периартериита
| Симптом | Пояснение |
| Повышение температуры тела, лихорадка |
|
| Снижение массы тела |
|
| Боли в мышцах и суставах |
|
| Высыпания на коже | Виды сыпи на коже при узелковом периартериите:
|
| Поражение сердечнососудистой системы |
|
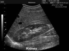
| Поражение почек |
|
| Поражения нервной системы |
|
| Поражение легких |
|
| Поражение органов брюшной полости |
|
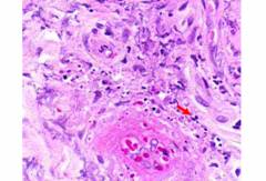
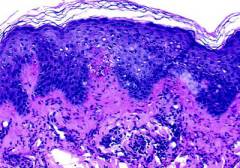
Как выглядит узелковый периартериит на фото?
Диагностика узелкового периартериита
| Название исследования | Для чего проводится и что выявляет | Как проводится |
| Общий анализ крови | Помогает выявить воспалительный процесс в организме:
|
Для исследования берут небольшое количество крови из пальца или из вены. |
| Биохимический анализ крови | Помогает выявить воспалительный процесс:
|
Для исследования берут небольшое количество крови из вены утром натощак. |
| Исследования, направленные на выявление патологических изменений во внутренних органах. |
|
|
Лечение узелкового периартериита
| Название препарата | Описание и цель назначения | Способ применения |
| Преднизолон (син.: Преднизол, Преднигексал, Медопред) | Препарат гормона коры надпочечников, обладающий выраженной способностью подавлять иммунные реакции и воспаление. | Формы выпуска: При узелковом периартериите препарат применяется в таблетках по 0,005 г (соответственно, 5 мг). Способ применения: Дозировка препарата определяется лечащим врачом, в зависимости от активности процесса и выраженности симптомов. Лечение проводится в течение 1 – 2 месяцев. Сначала назначается максимальная доза, затем она снижается. |
| Циклофосфан (син.: Циклофосфамид, Цитоксан, Эндоксан) | Относится к группе цитостатиков. Подавляет размножение лимфоцитов – иммунных клеток, вырабатывающих антитела. Таким образом, подавляет иммунные реакции и устраняет аутоиммунное воспаление. | Препарат назначается при достаточно тяжелом течении узелкового периартериита. Применяется в строго определенных дозировках, исключительно по назначению врача. Принимается в течение 3 – 5 лет. |
| Азатиоприн (син.: Имуран) | Является иммунодепрессантом – подавляет иммунитет, тем самым устраняя аутоиммунное воспаление. | Применяется в строго определенных дозировках, исключительно по назначению врача. |
| Гемосорбция и плазмаферез | Гемосорбция – процедура, во время которой кровь пропускается через специальные слои сорбента вне организма. Плазмаферез – очищение плазмы различными методами:
Обе процедуры направлены на очищение крови от иммунных комплексов, которые вызывают поражение сосудов при узелковом периартериите. |
Процедура плазмафереза продолжается в среднем около 1,5 часов. Пациент ложится в специальное кресло, в его вену вводится игла, подключенная к аппарату. Для эффективного очищения крови обычно требуется 3 – 5 процедур. Гемосорбция проводится похожих условиях, в помещениях, которые оборудованы наподобие операционных. В вену вводят иглу, соединенную с аппаратом. Кровь прокачивают при помощи насоса через специальную емкость, заполненную сорбентом. В среднем процедура продолжается 1 – 2 часа, за это время очищают 6 – 9 литров крови. |
| Никотиновая кислота (син.: витамин B3, ниацин, витамин PP) | Эффекты:
Никотиновая кислота используется при узелковом периартериите в качестве симптоматического средства для улучшения кровообращения. |
При узелковом периартериите используются таблетки никотиновой кислоты по 0,05 г. Способ применения:
|
| Пармидин (син.: Продектин) | Является ангиопротектором – лекарственным веществом, которое укрепляет сосудистую стенку, защищает ее от повреждений. | Форма выпуска: таблетки по 0,25 г. Способ применения: По 1 – 3 таблетки 3 – 4 раза в день. Курс лечения, по назначению врача, может продолжаться от 2 до 6 месяцев. |
| Электрофорез с новокаином на ноги | Электрофорез – разновидность физиолечения, при которой лекарственные препараты вводятся в организм через кожу при помощи электрического тока. Электрофорез с новокаином применяется с целью устранения болевого синдрома. |
Во время процедуры врач накладывает на кожу нижних конечностей пациента два электрода, обернутые материей, смоченной в растворе лекарства. Затем настраивают аппарат таким образом, чтобы пациент ощущал легкое покалывание. Процедура обычно проводится в течение 5 – 15 минут. В общем курс состоит из 10 сеансов. |
Лечение узелкового периартериита включает обязательную коррекцию артериального давления. Пациенту назначают препараты, снижающие уровень артериального давления, мочегонные средства.
Неспецифический аортоартериит (болезнь Такаясу)
Неспецифический аортоартериит – хроническое заболевание, при котором развивается воспалительный процесс в аорте и отходящих от нее крупных сосудов. Реже поражение при заболевании может захватывать легочные артерии.
Заболевание, как и другие системные васкулиты, встречается редко. Женщины болеют в 3 – 8 раз чаще мужчин.
Причины неспецифического аортоартериита
Причины заболевания пока еще до конца не выяснены. Считается, что в развитии неспецифического аортоартериита принимают участие два фактора:
- Аутоиммунный процесс. Как и при узелковом периартериите, образуются специфические иммунные комплексы, вызывающие поражение сосудистой стенки.
- Наследственная предрасположенность. Наличие определенных генов повышает вероятность развития заболевания.
Проявления болезни Такаясу
Патологические изменения в сосудах при неспецифическом аортоартериите протекают в две стадии:
- В начале под действием иммунных клеток на внутренней стенке сосуда появляются специфические разрастания – гранулемы.
- В дальнейшем воспалительный процесс сменяется рубцеванием, происходит склероз сосудов.
| Группа симптомов | Признаки |
| Признаки, свидетельствующие о развитии воспалительного процесса. Обычно возникают в самом начале заболевания, у молодых людей (около 20 лет) |
|
| Нарушение поступления крови к головному мозгу |
|
| Повышение артериального давления | Возникают симптомы, характерные для артериальной гипертонии. При поражении брюшной части аорты и отходящих от нее почечных сосудов нарушается поступление крови и кислорода в почки. Запускаются патологические механизмы, приводящие к повышению уровня артериального давления.
Если поражена дуга аорты и сосуды, отходящие к верхним конечностям, то отмечаются различающиеся показатели артериального давления на правой и левой руке. |
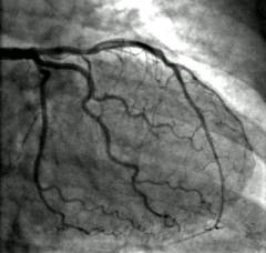
| Поражение коронарных (венечных) артерий, отходящих от аорты и несущих кровь к сердечной мышце. |
|
| Поражение брюшной части аорты и сосудов, которые отходят от нее к органам живота. |
|
| Поражение легочных артерий, которые несут венозную кровь к легким. |
|
Все описанные симптомы возникают при большом количестве других заболеваний. Поэтому во время непосредственного осмотра врачу бывает сложно установить точный диагноз. Он подтверждается только после проведения комплекса лабораторных и инструментальных исследований.
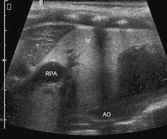
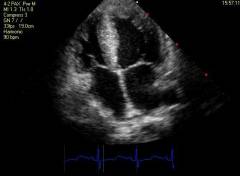
Диагностика неспецифического аортоартериита
Лечение неспецифического аортоартериита
| Лекарственный препарат | Описание | Способ применения |
| Преднизолон | Препарат, созданный на основе гормонов коры надпочечников. Угнетает размножение и функцию иммунных клеток. Способствует снижению выработки антител. За счет этого подавляет аутоиммунные процессы, приводящие к воспалению сосудистой стенки при неспецифическом аортоартериите. | Преднизолон для длительного применения выпускается в таблетках. Дозировки назначаются исключительно лечащим врачом в зависимости от тяжести заболевания и степени выраженности симптомов.
Преднизолон принимают в максимальных дозировках в течение 1 – 2 месяцев. Затем дозу снижают и прием продолжают в течение 1 – 2 лет. |
| Азатиоприн | Цитостатик. Мощное средство, подавляющее иммунную систему. | Применяется строго по назначению врача, в зависимости от тяжести течения заболевания и степени выраженности симптомов. В течение первого месяца назначается наиболее высокая доза. Затем, в течение года, — более низкая, поддерживающая. |
Противовоспалительные препараты:
|
Подавляют воспалительный процесс. Назначаются при хроническом течении заболевания. | Дозировки и продолжительность курса терапии – строго по назначению врача. |
Препараты, снижающие свертываемость крови:
|
Препятствуют образованию тромбов. Применяются при хроническом течении заболевания. | Дозировки и продолжительность курса – строго по назначению врача. |
Препараты, расщепляющие тромбы:
|
Данные препараты растворяют уже образовавшиеся в кровеносных сосудах тромбы. | Применяются при осложнениях, связанных с нарушением кровообращения во внутренних органах (сердце, почках и пр.). |
При неспецифическом аортоартериите обязательно проводится борьба с повышенным артериальным давлением. Врач должен подобрать для своего пациента препараты с учетом того, что артериальная гипертония вызвана нарушением кровообращения в почках.
Хирургическое лечение неспецифического аортоартериита
Показания к хирургическому лечению неспецифического аортоартериита:
- значительное нарушение кровотока в почках;
- значительное нарушение кровообращения в головном мозге;
- нарушение кровообращения в конечностях, гангрена.
Обычно выполняется операция шунтирования – врач замещает пораженный участок сосуда на взятый из другой области тела или на искусственный имплантат.
Гранулематоз Вегенера
Гранулематоз Вегенера – системный васкулит, при котором поражаются мелкие сосуды органов дыхания и почек. Заболевание возникает у мужчин и женщин с одинаковой частотой. В среднем его начало приходится на возраст 40 лет.
Причины гранулематоза Вегенера
Точные причины этой разновидности сосудистоговаскулита не известны.
Факторы, играющие определенную роль в его возникновении:
- различные инфекционные заболевания;
- аутоиммунные реакции.
Признаки гранулематоза Вегенера
Группы симптомов при гранулематозе Вегенера:
- симптомы поражения верхних дыхательных путей;
- симптомы поражения легких;
- симптомы поражения почек.
Виды гранулематозаВегенера в зависимости от течения заболевания:
- Локальный: поражение захватывает только верхние дыхательные пути.
- Ограниченный: поражение захватывает верхние дыхательные пути и легкие. При этом сосуды почек не страдают.
- Генерализованный: отмечается поражение легких, верхних дыхательных путей и почек.
| Группа симптомов | Проявления |
| Поражение носа |
|
| Гнойное воспаление уха (отит) |
|
| Поражение глотки и гортани |
|
| Поражение легких |
|
| Поражение почек |
|
| Поражение суставов (редкое проявление) |
|
| Поражение сердца (редкое проявление) |
|
| Поражение пищеварительной системы (редкое проявление) |
|
Как видно, симптомы гранулематоза Вегенера очень многообразны, далеко не всегда однозначны. Заболевание протекает в разных формах, само его течение тоже часто бывает различным. Поэтому заподозрить данную патологию во время осмотра очень сложно. Обычно врач задумывается о гранулематозе Вегенера в том случае, когда пациент длительно болеет «простудным» заболеванием, которое никак не поддается обычному лечению, а в общем анализе мочи выявляется белок.
Точный диагноз устанавливается после проведения обследования.
Диагностика при гранулематозе Вегенера
Лечение гранулематоза Вегенера
| Лекарственный препарат | Описание | Способ применения |
| Преднизолон | Гормональные препарат (гормоны коры надпочечников). Обладает выраженной способностью подавлять иммунные реакции, размножение и функции иммунных клеток. | Во время активной фазы заболевания преднизолон назначается в максимальных дозировках.
Через 1,5 – 2 месяца дозировка снижается, препарат продолжают принимать в течение 1 – 2 лет. |
| Циклофосфан | Цитостатик. Угнетает размножение и функции иммунных клеток. | Назначается по схеме, аналогичной схеме применения преднизолона. Эти два препарата применяются вместе. |
| Азатиоприн | Цитостатик. Угнетает размножение и функцию иммунных клеток. Но слабее циклофосфана в этом отношении. | Может быть назначен при снижении активности процесса вместо циклофосфана. |
| Плазмаферез и гемосорбция | Специальные процедуры, направленные на очищение крови от иммунных комплексов и токсинов. | Назначаются в том случае, если медикаментозная терапия при гранулематозе Вегенера не имеет эффекта. |




























