Феохромоцитома – опухоль мозгового слоя надпочечников, выделяющая гормоны-катехоламины: адреналин или норадреналин. Повышенный уровень этих веществ вызывает: стойкое повышение давления, сердцебиение, боль за грудиной, тошноту, рвоту, нервное возбуждение. Преимущественно болезнь проявляется в виде гипертонических кризов.
Феохромоцитома – достаточно редкое заболевание: 2 случая на 1 миллион населения. Средний возраст больных 20-50 лет, но 10% дети. В детском возрасте чаще болеют мальчики, но среди взрослых больных большинство женщины.
Феохромоцитома – опухоль, имеющая хорошее кровообращение и окруженная капсулой. Ее размеры могут варьироваться от 0,5 до 14 см. Ежегодно она увеличивается на 3-7 мм. В 90% случаев феохромоцитома – доброкачественная опухоль, но в 10% – это злокачественное новообразование, состоящее из раковых клеток.
Опухоль может локализироваться на самом надпочечнике или поблизости от него. Вне надпочечника феохромоцитома выделяет только норадреналин. При этом симптомы болезни менее выражены, так как этот гормон оказывает более мягкое действие на организм. У подавляющего большинства больных опухоль диагностируют на одном надпочечнике, у 1/10 поражение двухстороннее.
Информация в статье носит справочный характер и не заменяет консультацию врача. Перед применением рекомендаций обратитесь к специалисту.
Что такое надпочечники?
Надпочечники – парные железы внутренней секреции, находящиеся у верхних полюсов почек. Масса каждого органа 4 г.
Функция надпочечников – выработка гормонов, регулирующих обмен веществ и облегчающих адаптацию организма к неблагоприятным условиям.
Надпочечники имеют 2 слоя:
- корковое вещество – расположено на поверхности;
- мозговое вещество – внутренняя часть надпочечника.
Гормоны коркового слоя – стероидные гормоны
| Зона коркового слоя | Гормоны | Функции |
| Клубочковая | Минералокортикоиды: альдостерон, дезоксикортикостерон, 18-оксикортикостерон, 18-оксидезокси-кортикостерон | Регулируют минеральный обмен. Провоцируют задержку воды, уменьшают выделение мочи, повышают артериальное давление. Способствуют развитию воспалительных реакций. |
| Пучковая | Глюкокортикоиды: кортизол, кортизон, кортикостерон, 11-дезоксикортизол, 11-дегидрокортикостерон. | Регулируют обмен белков, жиров и углеводов. Повышают уровень сахара в крови. Вызывают распад белков – снижают мышечную массу, замедляют заживление ран, провоцируют остеопороз. Угнетают воспалительные и аллергические реакции. Угнетают иммунитет, уменьшают образование лимфоцитов и антител. |
| Сетчатая | Половые гормоны | Играют роль только в детском возрасте. Способствуют развитию вторичных половых признаков. |
Гормоны мозгового слоя надпочечников – катехоламины.
| Гормон | Функция |
| Адреналин 80% | Стимулирует работу сердца Сужает сосуды, способствуя повышению давления Расширяет сосуды сердца, головного мозга и работающих мышц, усиливая их питание и работоспособность. Расширяет просвет бронхов. Замедляет перистальтику кишечника. Расширяет зрачки. Уменьшает отделение пота. Повышает содержание глюкозы в крови. Активизирует сжигание жиров и образование энергии. Повышает температуру тела. |
| Норадреналин 20% | Является предшественником адреналина. Сужает кровеносные сосуды и повышает артериальное давление. Заставляет сердце сокращаться чаще и интенсивнее и выбрасывать в артерии большее количество крови, повышает кровяное давление. Повышает потребность сердца в кислороде. Способствует прохождению нервных импульсов через синапс (место соединения нервных клеток). Повышает потливость. |
| Дофамин | Является предшественником адреналина и норадреналина. Обеспечивает прохождение импульсов в нервной системе. Улучшает внимание, обеспечивает чувство удовольствия. Повышает сопротивление сосудов и артериальное давление. Увеличивает силу сокращений сердца и количество выбрасываемой крови. Улучшает фильтрацию в почках. Вызывает рвоту, стимулируя рвотный центр головного мозга. Усиливает желудочно-пищеводный и дуодено-желудочный рефлюкс – заброс пищи из желудка в пищевод или из тонкого кишечника в желудок. Повышение его содержания в головном мозге вызывает нарушения в центральной нервной системе – шизофрению и неврозы. |
Содержание катехоламинов увеличивается в крови людей с феохромоцитомой. При этом значительно усиливаются эффекты, оказываемые этими гормонами.
Причины феохромоцитомы
Причины развития феохромоцитомы до конца не выяснены. Появление болезни может быть связано с рядом патологий:
- Наследственная предрасположенность. В 10% случаев у больных есть родственники с опухолью надпочечников. Болезнь связана с мутациями гена, ответственного за работу надпочечников. В результате клетки мозгового вещества надпочечников неконтролируемо растут.
- Множественная эндокринная неоплазия 2А типа (синдром Сиппла) и 2В типа (синдром Горлина). Это наследственные заболевания, которые характеризуются разрастанием клеток эндокринных желез. Помимо надпочечников поражается ряд других органов: щитовидная и околощитовидные железы, слизистые оболочки и опорно-двигательный аппарат.
В большинстве случаев причину феохромоцитомы установить не удается.
Симптомы феохромоцитомы
Феохромоцитома выделяет гормоны, которые оказывают влияние на весь организм. От повышения адреналина и норадреналина больше всего страдают сердечно-сосудистая, эндокринная и нервная система.
| Симптом | Механизм возникновения | Внешние проявления |
| Повышение кровяного давления | При каждом ударе сердце выбрасывает в сосуды увеличенное количество крови. Под действием катехоламинов гладкие мышцы сосудов сокращаются, уменьшая их просвет. Это сопровождается значительным повышением кровяного давления в артериях и венах. | Одновременно повышается систолическое (верхнее) и диастолическое (нижнее) давление. Выделяют две формы течения болезни: —Пароксизмальная – периодически случаются резкие подъемы давления до -300 мм рт. ст. Во время гипертонического криза проявляются все симптомы болезни. Криз заканчивается внезапно через несколько минут или часов: бледность сменяется покраснением кожи, выделяется обильный пот и большое количество мочи. —Постоянная – стойкое повышение артериального давления. Остальные симптомы выражены умеренно. |
| Нарушения сердечного ритма | Гормоны стимулируют адренорецепторы сердца. В связи с этим увеличивается сила и частота сердечных сокращений. Рефлекторно происходит возбуждение центра блуждающих нервов, которые замедляют деятельность сердца. Результатом такого разнонаправленного воздействия становятся нарушения сердечного ритма – аритмии. | «Трепетание» в груди или шее – проявление тахикардии. Чувство «провала» во время перебоев в работе сердца. Периоды ускорения или замедления сердечного ритма. Боль за грудиной. Слабость. Одышка. |
| Возбуждение нервной системы | Катехоламины активизируют процессы возбуждения в спинном мозге, коре и стволе головного мозга, повышают передачу импульсов от ЦНС к органам. | Беспокойство, чувство страха. Озноб, дрожь. Повышенная утомляемость, перепады настроения. Пульсирующая головная боль. |
| Усиление активности желез | Активность желез повышается, они выделяют больше секрета. | Слезотечение. Выделение вязкой слюны. Усиленное потоотделение. Конечности прохладные и влажные. |
| Боль в животе, поносы, запоры | Адреналин стимулирует α- и β-адренорецепторы кишечника. Это замедляет продвижение пищи по кишечнику и вызывает сокращение сфинктеров. Однако если исходный тонус кишечника был понижен, то адреналин ускоряет перистальтику и вызывает ускоренные сокращения кишечника. |
Тошнота. Боли в животе вызванные спазмами кишечника. Задержка пищевых масс в кишечнике – запоры. Жидкий стул — поносы. |
| Бледность кожи | Адреналин вызывает сужение сосудов кожи. | Кожа бледная и прохладная на ощупь. Однако при резком повышении давления кожа краснеет, больные ощущают приливы крови к лицу. |
| Нарушение зрения | Повышенное давление может привести к кровоизлиянию в сетчатку глаза и ее отслоение. |
Ухудшение зрения. Подвижные темные пятна в поле зрения. Световые вспышки перед глазами. Гифема – красное образование на белковой оболочке глаза. Изменение глазного дна, обнаруживаемое при обследовании у окулиста. |
| Похудание | Снижение веса связано с усилением обмена веществ. | Похудание на 6-10 кг без изменения режима питания. |
Преимущественно феохромоцитома проявляется в виде гипертонических приступов, которые продолжаются от 5 минут до нескольких часов.
Повышение давления в 95% случаев проявляется тремя симптомами:
- головная боль
- сердцебиение
- повышенное потоотделение
Такое обострение может быть спровоцировано эмоциональными и физическими перегрузками, переохлаждением, резкими движениями. В зависимости от тяжести заболевания кризов может быть от одного в месяц до 15 в день.
Диагностика феохромоцитомы
Опухоль может выделять гормоны не постоянно, поэтому имеет смысл проводить анализы на протяжении нескольких часов после приступа. В крови и моче определяют адреналин, норадреналин, дофамин, а также метанефрин и норметанефрин (продукты распада адреналина и норадреналина).
Стимулирующие пробы
Проба с α-адреноблокаторами – фентоламином или тропафеном. Эти препараты блокируют влияние адреналина и норадреналина на организм. Пробу проводят людям, у которых артериальное давление стабильно держится свыше 160/110 мм. рт.ст.
Внутривенно вводят 1 мл 1% фентоламина или 2% раствора тропафена. Если в течение 5 минут давление снизилось на 40/25 мм рт.ст, то это дает основание предположить феохромоцитому. Для предупреждения развития побочных эффектов (ортостатического коллапса) больным необходимо лежать на протяжении 2 часов после теста.
Остальные стимулирующие пробы представляют опасность для здоровья больных, поэтому не применяются.
Лабораторные анализы
Исследование крови
- Общий анализ крови
Во время приступа в крови отмечаются изменения связанные с сокращением гладких мышц селезенки под влиянием катехоламинов.
- лейкоциты повышены: свыше 9,0×109/л
- лимфоциты повышены: свыше 37% от общего числа лейкоцитов
- эозинофилы повышены: свыше 5% от общего числа лейкоцитов
- эритроциты повышены: свыше 5,0·1012/л
- уровень глюкозы повышен: свыше 5,55 ммоль/л
- Определение уровня катехоламинов в плазме крови
Норма:
- адреналин: 10 — 85 пг/мл.
- норадреналин: 95 — 450 пг/мл.
- дофамин: 10 — 100 пг/мл.
Симптомы феохромоцитомы:
- Уровень гормонов увеличен в десятки и сотни раз во время приступов. В остальное время он может быть нормальным или пониженным. При гипертонии уровень гормонов увеличен в 2 раза.
- Уровень норадреналина выше, чем уровень адреналина.
- Уровень дофамина значительно повышается при злокачественной опухоли надпочечников.
Исследование мочи
Для анализа отбирают мочу на протяжении 3-х часов после криза или суточную.
- Суточный анализ мочи. Всю мочу на протяжении суток собирают в емкость не менее 2 л. Емкость необходимо хранить в холодильнике, В качестве консерванта добавляют 10 мл 30% раствора H2SO4. Последнюю порцию мочи берут в то же время, что и первую. Объем мочи записывают. Содержимое емкости взбалтывают и отливают в стерильную емкость 100 мл для исследования.
- Анализ трехчасовой порции мочи. Наиболее точный результат можно получить во время приступа, но в этот момент сбор мочи может быть затруднен. Поэтому пробу берут на протяжении 3-х часов после приступа.
Симптомы:
- Норма катехоламинов 200 мкг/дл. При феохромоцитоме уровень повышен в несколько раз.
- В моче присутствуют цилиндры.
- Повышен уровень глюкозы: свыше 0,8 ммоль/л.
- Повышен уровень белка: свыше 0,033 г/л.
Вне приступов анализ мочи в норме.
Определение общей концентрации метанефринов (метанефрина и норметанефрина) в плазме и моче Гормоны быстро разрушаются в крови и связываются с рецепторами, а метанефрин и норметанефрин (продукты распада адреналина и норадреналина) сохраняются на протяжении 24 часов. Чувствительность метода составляет 98%.
Симптомы феохромоцитомы:
Уровень метанефринов в плазме крови:
- метанефрин свыше 2-3690 пг/мл.
- норметанефрин свыше 5-3814 пг/мл.
Уровень метанефринов в моче:
- метанефрин свыше 345 мкг/сут.
- норметанефрин свыше 440 мкг/сут.
Инструментальные методы исследования
УЗИ внутренних органов
Неинвазивное и безопасное исследование внутренних органов, основанное на свойстве ультразвуковых волн. Ткани по-разному отражают ультразвук, а аппарат анализирует полученные результаты и составляет изображение. Точность исследования 80-90%. Результативность возрастает, если размер опухоли превышает 2 см.
На кожу наносят гидрогель, который обеспечивает прохождение ультразвука в ткани. Датчик посылает ультразвуковые волны и улавливает их отражение от органов. Феохромоцитома отличается по плотности и структуре от ткани надпочечников, поэтому ее хорошо заметно на экране монитора.
Цель диагностики: выявить локализацию и размер опухоли.
Симптомы:
- небольшое округлое образование на верхнем полюсе надпочечников
- четко просматривается капсула
- ровные границы опухоли
- акустическая плотность повышена – феохромоцитома имеет вид светлого пятна
- внутри опухоли есть полости (участки некроза) заполненные жидкостью
- участки отложения кальция
КТ надпочечников
Компьютерная томография исследование во время которого пациенту делают серию рентгеновских снимков с разных ракурсов. С помощью компьютерного оборудования их результаты сопоставляют для получения послойного изображения внутренних органов. При введении внутривенно контрастного вещества можно получить больше информации об опухоли и ее сосудах. Результативность такого исследования при феохромоцитоме приближается к 100%.
Цель исследования – оценить размеры опухоли надпочечника и уточнить ее характер. Обязательное исследование при подготовке к операции.
Симптомы:
- образование округлой или овальной формы
- структура неоднородная. Опухоль может иметь капсулу или участки отложения кальция, кровоизлияния, полости
- при введении контрастного вещества видны многочисленные сосуды, питающие опухоль
- скорость выведения контрастного вещества из феохромоцитоме более 50% за 10 минут
- опухоль – участок повышенной плотности (25–40 ед)
МРТ органов забрюшинного пространства
Нерентгеновский метод исследования, позволяющий визуализировать надпочечники и другие органы забрюшинного пространства. В постоянном магнитном поле атомы водорода в клетках создают электромагнитные колебания, которые улавливаются с помощью чувствительных датчиков. Внутривенно вводят контрастное вещество для визуализации сосудов, питающих надпочечник и саму опухоль.
Пациент ложится на стол, а вокруг него, внутри туннеля аппарата, сканер снимает показания. Полученные результаты суммируются и создают послойные изображения (срезы) интересующего участка.
С помощью МРТ удается выявить феохромоцитому от 2-х мм и точно определить ее местоположение. Как правило, МРТ назначают, если по результатам КТ с контрастированием не удается точно установить диагноз. Точность исследования 90-100%.
Симптомы:
- округлое образование от нескольких мм до 15 см;
- при доброкачественном течении контуры правильные при раке коры надпочечника контуры нечеткие;
- может иметь капсулу;
- структура неоднородная, может иметь твердые включения или кистозные полости заполненные жидкостью.
Сцинтиграфия надпочечников
Внутривенно вводят изотопы веществ (йодхолестерина, сцинтадрена), которые накапливаются в ткани надпочечников. После чего их присутствие регистрируют с помощью сканера – детекторной гамма-камеры.
Данный метод позволяет выявить феохромоцитомы, которые находятся не только на самом надпочечнике, но и поблизости от него, а также метастазы опухоли при злокачественном течении болезни.
Симптомы:
- несимметричное накопление радиоизотопа в надпочечниках;
- скопление изотопа на участке мозгового вещества надпочечника;
- скопление изотопа вне надпочечника.
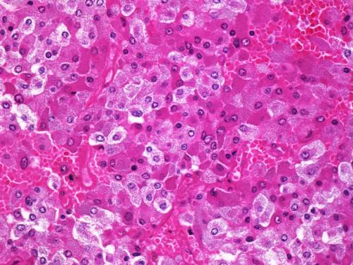
Тонкоигольная аспирационная биопсия
Если феохромоцитома не имеет характерного вида на КТ и МРТ, то требуется тонкоигольная биопсия. Проводят местное обезболивание участка новокаином или лидокаином. Под контролем УЗИ или КТ в опухоль вводят иглу и, потянув за поршень шприца, отбирают материал для исследования под микроскопом.
Цель биопсии – дифференцировать феохромоцитому от воспалительного процесса или злокачественной опухоли, определить из каких клеток состоит опухоль. Является ли она доброкачественной или это рак надпочечников.
Симптомы феохромоцитомы:
- клетки коры и мозгового вещества надпочечника
- клетки крови
- коллоидная жидкость
- атипичные злокачественные клетки, указывающие на раковую природу опухоли
Проведение биопсии может спровоцировать гипертонический криз, поэтому этот метод исследования применяют не часто.
Лечение феохромоцитомы
Во время криза больному необходим строгий постельный режим. Изголовье кровати должно быть приподнято. Если не удалось нормализовать давление, то необходимо вызвать бригаду скорой помощи. Для установления диагноза и подбора лечения больных госпитализируют в стационар.
Медикаментозное лечение феохромоцитомы
| Группа препаратов | Представители | Механизм лечебного действия | Способ применения |
| Альфа-адреноблокаторы | Тропафен | Блокирует адренорецепторы, делая их нечувствительными к высокому содержанию адреналина. Уменьшает негативное влияние гормонов на внутренние органы. | 1 мл 1% раствора разводят в 10 мл изотонического раствора NaC. Вводят внутривенно каждые 5 минут до купирования криза. |
| Фентоламин | Нормализует давление и сердечный ритм, улучшает кровообращение в периферических сосудах. | Принимают внутрь по 0,05 г, 3-4 раза в день после еды. Курс лечения 3-4 недели. | |
| Бета-адреноблокаторы | Пропранолол | Снижает чувствительность к адреналину. Устраняет нарушения сердечного ритма и снижает артериальное давление. | Для снятия криза внутривенно вводят 1-2 мг каждые 5-10 мин. Внутрь по 20 мг 3-4 раза в день. При необходимости дозу постепенно увеличивают до 320-480 мг в сутки. |
| Ингибитор синтеза катехоламинов | Метирозин | Подавляет выработку адреналина и норадреналина. Уменьшают проявления болезни на 80%. | Принимают внутрь. Начальная доза по 250 мг 4 раза в сутки. В дальнейшем ее увеличивают до 500-2000 мг в сутки. |
| Блокаторы кальциевых каналов | Нифедипин | Блокирует поступление кальция в клетки гладкой мускулатуры и миокарда, препятствует спазму сосудов. Уменьшает силу сердечных сокращений и понижает артериальное давление. | Принимают внутрь по 10 мг 3–4 раза в сутки. |
Хирургические операции при феохромоцитоме
Подготовка к операции. В период подготовки пациенту необходимо повторно сдать анализы, пройти МРТ, рентгенографию и кардиографию. Для снижения риска осложнений в ходе операции всем пациентам проводят медикаментозную подготовку. За 5 дней до предполагаемой операции назначают препараты для нормализации давления, улучшения работы сердца и общеукрепляющие средства.
Показания к проведению операции:
- гормонально-активная феохромоцитома;
- гормонально неактивная опухоль более 4-х см.
Противопоказания:
- нарушения свертывания крови;
- чрезмерно высокое или низкое давление, не поддающееся коррекции;
- тяжелое состояние больного;
- возраст старше 70 лет.
Операции при феохромоцитоме проводят двумя способами:
- Открытый доступ – традиционная операция, когда для обнаружения опухоли хирург делает большой косой разрез под ребрами. Такая операция довольно травматичная. Этот способ выбирают в том случае, когда не удалось определить точное местоположение феохромоцитомы, при злокачественной опухоли и поражении обоих надпочечников. Период восстановления занимает несколько недель.
- Лапароскопический доступ – современный малотравматичный метод лечения. Для получения доступа к надпочечнику хирург делает на брюшной стенке 3 небольших разреза длиной 1,5 см. Через них вводят хирургический инструмент и эндоскоп с видеоаппаратурой. Через отверстие в брюшине, инструмент проводят в забрюшинное пространство и удаляют опухоль вместе с надпочечником. После этого врач восстанавливает целостность брюшины и брюшной стенки. Восстановление занимает 3-5 дней.
Последние 20 лет используют ретроперитонеоскопической операции на надпочечнике, когда доступ к опухоли осуществляется через поясницу. Для того чтобы не допустить попадания гормонов в кровь и развития криза, сразу отсекают сосуды, питающие феохромоцитому. Опухоль помещают в пластиковый контейнер и измельчают, после чего выводят через отверстия. При таком варианте операции не травмируется чувствительная брюшина.
Эффективность операции. Многие врачи считают операцию единственным эффективным методом лечения. Она быстро устраняет симптомы болезни и снижает риск инсультов. У 90% больных давление нормализуется сразу, после удаления феохромоцитомы. Риск повторного появления опухоли минимальный.

