Повреждение мениска представляет собой закрытую травму коленного сустава. Травматизация мениска проявляется появлением резкой боли в суставе, а также ограничением в нем активных и пассивных движений. Согласно статистике, повреждения менисков встречается примерно в 80% среди всех внутрисуставных повреждений коленного сустава. Чаще всего с повреждением мениска за медицинской помощью обращаются спортсмены или люди физического труда, чей возраст не превышает 45 лет.
Повреждение мениска может приводить к блокаде сустава (сочетание выраженных болевых ощущений с ограничением в нем любых движений). В некоторых случаях наблюдается мнимое выздоровление, после которого при любом неловком движении происходит повторное возникновение блокады коленного сустава (рецидив). Рецидив блокады коленного сустава может происходить несколько раз в неделю или день и требует консервативного или хирургического лечения.
Интересные факты
- Повреждение мениска в детском возрасте встречается крайне редко.
- У женщин повреждение мениска диагностируется в два раза реже, чем у мужчин.
- Наиболее частой причиной разрыва мениска является непрямой травматизм колена. Данная травма возникает вследствие неловкого поворота голени кнаружи вместе с сочетанием высокой нагрузки на коленный сустав.
- Иногда повреждение или разрыв ткани мениска может происходить вследствие хронических дегенеративных процессов у людей пожилого возраста.
- По своей форме мениски напоминают трехгранную пластинку.
- Разрыв мениска в некоторых случаях может сочетаться с разрывом передней крестообразной связки.
- Анатомия коленного сустава
- Эпифизы бедренной и большеберцовой кости
- Суставная полость
- Суставная капсула
- Синовиальные сумки
- Мениски
- Связки сустава
- Причины повреждений менисков
- Травматический разрыв
- Дегенеративный разрыв
- Симптомы повреждения или разрыва мениска
- Симптом Байкова
- Симптом Штеймана
- Симптом Полякова
- Симптом Ландау
- Симптом Перельмана
- Симптом Мак-Маррея
- Симптом «блокады» коленного сустава
- Диагностика повреждений менисков
- Ультразвуковое исследование
- Компьютерная томография
- Магнитно-резонансная томография
- Первая помощь при подозрении на повреждение мениска
- Лечение повреждений менисков
- Консервативное лечение
- Хирургическое лечение
Анатомия коленного сустава
Коленный сустав представляет собой крайне сложное по своему строению образование. Данный сустав является комплексным, так как в его формировании участвую сразу три кости – бедренная, большеберцовая (самая большая кость голени) и надколенник (коленная чашечка). Внутри сустава между бедренной и большеберцовой костью содержаться мениски (хрящевые пластинки), которые разделяют сустав на две практически равные камеры. Сустав колена относится к суставам мыщелкового типа (суставные части бедренной и большеберцовой кости представлены мыщелками).
Движение в суставе возможно сразу в трех направлениях. В вертикальной (сагиттальной) плоскости коленный сустав может совершать движения сгибательно-разгибательного характера в пределах 130 – 150 градусов. В двух других плоскостях (фронтальной и горизонтальной) движения возможны лишь при согнутом колене. Движения по типу приведение-отведение могут осуществляться лишь в пределах 5 градусов, а внутренняя или наружная ротация в пределах 15 – 25 градусов от нейтрального положения сустава. Также в коленном суставе возможно осуществление движения по типу скольжения и перекатывания. Данный тип движения производится при изменении позиции мыщелков большеберцовой кости по отношению к бедренной.
В формировании коленного сустава участвуют следующие основные элементы:
- эпифизы бедренной и большеберцовой кости;
- суставная полость;
- суставная капсула;
- синовиальные сумки;
- мениски;
- связки сустава.
Эпифизы бедренной и большеберцовой кости
Сверху коленный сустав формирует эпифиз бедренной кости, а снизу — большеберцовой кости. Эпифиз кости представляет собой расширенный концевой отдел, участвующий в образовании сустава со смежной костью. Суставная поверхность мыщелков (утолщения эпифиза) бедренной кости имеет выпуклую форму, а суставная поверхность большеберцовой кости — вогнутую. Суставные поверхности не являются конгруэнтными (симметричными) и поэтому между ними располагаются мениски, которые несколько уравнивают данное несоответствие.
Суставные поверхности большеберцовой и бедренной кости сверху покрыты хрящом. Хрящевая ткань представляет не что иное, как гиалин, который состоит из коллагена (белка, обеспечивающего прочность тканям), хондроцитов (главные клетки хряща), тканевой жидкости, органических веществ и росткового слоя (данный слой находится в надхрящнице и обеспечивает регенерацию хрящевой ткани). При механическом воздействии на коленный сустав во время ходьбы вся нагрузка равномерно распределяется на хондроциты, коллаген и ростковый слой.
Гиалиновый хрящ имеет толщину 0,3 – 0,4 мм. При постоянном трении суставных поверхностей хрящ всегда остается гладким, а его эластичные свойства несколько смягчают толчки во время движения (амортизирующая функция).
Также в формировании коленного сустава участвует надколенник. Коленная чашечка представляет собой сесамовидную кость. Данный тип костей предполагает расположение внутри сухожилия. Надколенник располагается в толще сухожилия четырехглавой мышцы бедра и участвует в разгибательных движениях голени. Внутренняя часть надколенника покрыта массивным хрящом, размер которого достигает 0,6 см. Данный хрящ помогает надколеннику легко перемещаться между суставными поверхностями бедренной и большеберцовой кости. Главная задача надколенника заключается в ограничении смещения бедренной и большеберцовой кости в боковые стороны. Также коленная чашечка повышает эффективность работы мышц, так как сустав колена работает по принципу блока.
Информация в статье носит справочный характер и не заменяет консультацию врача. Перед применением рекомендаций обратитесь к специалисту.
Суставная полость
Суставная полость колена представляет собой закрытое пространство щелевидной формы. Данная полость ограничивается синовиальной оболочкой (внутренний слой капсулы сустава), а также суставными поверхностями бедренной и большеберцовой кости. В суставной полости каждого колена располагаются два мениска.
Суставная капсула
Суставная капсула или сумка коленного сустава играет защитную роль и предохраняет сустав от чрезмерного внешнего механического воздействия. Суставная капсула изнутри покрывается синовиальной мембраной. В колене суставная сумка натянута слабо, что позволяет совершать движения значительной амплитуды в разных плоскостях. Задний отдел суставной капсулы немного толще, чем остальные и содержит многочисленные отверстия, через которые проходят сосуды. На бедренной кости суставная капсула спереди прикрепляется немного выше суставной поверхности мыщелка, по боковым сторонам – практически у хряща. Сзади суставная сумка прикрепляется по краю хрящевой ткани бедренной кости.
В суставной капсуле выделяют следующие оболочки:
- Синовиальная оболочка. Внутренняя поверхность суставной капсулы выстлана синовиальной оболочкой. Данная оболочка покрывает всю поверхность суставной полости кроме суставных поверхностей эпифизов бедренной и большеберцовой костей. Основная задача синовиальной оболочки заключается в выработке синовиальной жидкости для питания хрящевой ткани сустава за счет того, что в ней располагается множество мелких сосудов. Также синовиальная оболочка увеличивает подвижность сустава, защищает от механического воздействия и в случае воспалительного процесса в костной ткани не дает распространиться в полость сустава. Данная оболочка образует особые выросты – ворсинки. Ворсинки увеличивают площадь поверхности синовиальной оболочки и участвуют в выработке синовиальной жидкости.
- Фиброзная мембрана. Снаружи капсула коленного сустава покрыта фиброзной мембраной, которая состоит из коллагена. Фиброзная мембрана постепенно переходит в надкостницу. Синовиальная мембрана, так же как и фиброзная мембрана, в нескольких местах образует синовиальные сумки, которые располагаются рядом с суставом.
Синовиальные сумки
Синовиальные сумки располагаются возле мышечных сухожилий или под самими мышцами. Каждая из синовиальных сумок наполнена синовиальной жидкостью для уменьшения трения сухожилий и мышц при движении. Некоторые синовиальные сумки имеют сообщение с полостью сустава.
Выделяют следующие синовиальные сумки коленного сустава:
- Наднадколенниковая сумка находится между сухожилием четырехглавой мышцы и бедренной костью. Наднадколенниковая сумка имеет сообщение с полостью коленного сустава. В случае если она полностью входит в состав суставной полости, верхний край суставной капсулы может подниматься на несколько сантиметров выше верхнего края надколенника. У новорожденных и грудных детей наднадколенниковая сумка никогда не сообщается с полостью коленного сустава.
- Глубокая поднадколенниковая сумка. Глубокая поднадколенниковая сумка располагается между связкой надколенника и эпифизом большеберцовой кости.
- Подкожная преднадколенниковая сумка располагается в слое подкожно-жировой клетчатки между надколенником (на передней поверхности) и кожей. Данная сумка позволяет коже свободно скользить по надколеннику во время ходьбы.
- Сумка полуперепончатой мышцы залегает между сухожилием полуперепончатой мышцы и одной из головок икроножной мышцы. Иногда данная сумка имеет сообщение с полостью коленного сустава.
- Сумка подколенной мышцы представляет собой выпячивание капсулы коленного сустава, которое располагается под началом сухожилия подколенной мышцы. У детей до двух лет сумка подколенной мышцы может сообщаться с полостью сустава.
Мениски
Мениски представляют собой хрящевые пластинки, увеличивающие соответствие (конгруэнтность) суставных поверхностей бедренной и большеберцовой кости. Мениски выполняют крайне важную роль и являются своеобразными амортизаторами нижних конечностей, смягчая воздействие толчков при движении. Также мениски распределяют нагрузку в коленном суставе и ограничивают в нем амплитуду движений.
Мениски имеют трехгранную форму. Каждый из них имеет передний рог, тело и задний рог. Мениск на три четверти состоит из коллагеновых волокон, которые ориентированы в разные стороны. Радиальные волокна коллагена, перекрещиваясь между собой, образуют особо прочную сеть, что и придает мениску необходимую устойчивость к механическому воздействию. Циркулярные волокна коллагена отвечают за равномерное распределение нагрузки в продольном направлении и встречаются в основном в средней части мениска. Третий вид коллагена представлен перфорантными тяжами (волокнами). Данные тяжи немногочисленны, но имеют очень важную функцию — они связывают циркулярные и радиальные коллагеновые волокна и повышают прочность. Наружный край мениска имеет более толстый слой коллагена и плотно срастается с капсулой сустава, а внутренний край слегка заострен и обращен в суставную полость. Необходимо отметить, что в мениске также присутствует незначительное количество эластина (белок, придающий эластичность ткани).
Необходимо отметить, что у новорожденных мениски пронизаны сетью кровеносных сосудов, однако уже к первому году жизни практически вся данная сеть исчезает. Мениски взрослого человека имеют кровоснабжение только в наружной части, и с каждым годом количество питающих сосудов уменьшается.
Выделяют 3 зоны кровоснабжения мениска:
- Красная зона обладает собственной сетью мелких сосудов. Данная зона располагается возле суставной капсулы.
- Промежуточная зона в незначительной степени получает питание из красной зоны.
- Белая зона характеризуется полным отсутствием кровеносных сосудов, которые могли бы осуществлять питание тканей мениска. Питание данной зоны происходит из синовиальной жидкости.
Питание хрящевой ткани мениска происходит за счет проникновения питательных веществ при диффузии (из синовиальной жидкости), а также при помощи активного транспорта (транспортировка веществ из области пониженной концентрации в область повышенной).
В каждом коленном суставе выделяют два мениска:
- Внутренний или медиальный. Внутренний мениск по своей форме напоминает русскую букву «С». Медиальный мениск с одной стороны прикрепляется к большеберцовой кости, а с другой — к наружному краю суставной капсулы. К центральной части тела внутреннего мениска прикреплена большеберцовая коллатеральная связка. Ограничение мобильности медиального мениска суставной капсулой и большеберцовой коллатеральной связкой в некоторых ситуациях приводят к его разрыву.
- Наружный или латеральный. Наружный мениск по своей форме напоминает полуокружность и покрывает практически всю часть верхней боковой суставной поверхности большеберцовой кости. Рядом с передним рогом наружного мениска находится место, куда прикреплена передняя крестообразная связка. Мениско-бедренные связки (передняя и задняя), прикрепляющиеся к заднему рогу наружного мениска, проходят немного спереди и сзади от задней крестообразной связки. Существует вариант, когда наружный мениск имеет большую, чем обычно площадь суставной поверхности дисковидной формы. Необходимо отметить, что повреждение латерального мениска наблюдается в 7 – 10 раз реже медиального. Это объясняется тем, что наружный мениск не так прочно связан с капсулой сустава, которая ограничивает его мобильность.
Связки сустава
Коленный сустав укрепляется множеством связок. Связки сустава могут располагаться как в полости, так и за его пределами. Связочный аппарат не только придает прочность коленному суставу, но и принимает непосредственное участие в движении.
Выделяют следующие связки коленного сустава:
- Малоберцовая коллатеральная связка (наружная боковая связка) снизу берет свое начало от головки малоберцовой кости, а сверху прикрепляется к наружному мыщелку бедренной кости. Малоберцовая коллатеральная связка во время сгибательных движений в коленном суставе остается расслабленной, а во время выпрямления – натянутой. Главной задачей малоберцовой коллатеральной связки является удерживание голени в физиологически правильной позиции. Также данная связка принимает участие в ротационных движениях (вращениях).
- Большеберцовая коллатеральная связка (внутренняя боковая связка) способствует удержанию голени и ограничивает ее чрезмерное смещение кнаружи. Данная связка непосредственно связана с медиальным (внутренним) мениском. Между внутренней и наружной боковыми связками расположен тонкий слой жировой ткани.
- Косая подколенная связка идет от внешнего мыщелка бедренной кости искоса вниз и вплетается в капсулу коленного сустава. Также внизу косая подколенная связка переплетается с сухожилием полуперепончатой мышцы. Данная связка в значительной мере укрепляет суставную капсулу.
- Дугообразная подколенная связка берет свое начало от наружного мыщелка бедренной кости, вплетаясь в средний отдел косой подколенной связки, прикрепляется к наружному мыщелку большеберцовой кости. Дугообразная связка фиксирует сустав и ограничивает его от чрезмерных боковых смещений.
- Связка надколенника является продолжением сухожилия четырехглавой мышцы бедра. Сухожилие четырехглавой мышцы, которое направляется от верхней части надколенника, прикрепляется к бугристости большеберцовой кости. Большинство пучков коллагеновых волокон, которые входят в состав данного сухожилия, и представляют собой связку надколенника. Данная связка практически полностью охватывает переднюю поверхность надколенника.
- Медиальная поддерживающая связка надколенника представляет собой, по сути, продолжение сухожилия медиальной (внутренней) широкой мышцы бедра. Часть волокон коллагена медиальной широкой мышцы, направляясь вниз, образуют данную связку.
- Латеральная поддерживающая связка надколенника. Большая часть пучков сухожилия латеральной (наружной) широкой мышцы бедра, спускаясь в вертикальном направлении, образует латеральную поддерживающую связку надколенника.
- Передняя крестообразная связка принимает участие в соединении поверхности мыщелка бедренной кости с передним межмыщелковым полем (зона, которая располагается между внутренним и наружным мыщелком) большеберцовой кости. Данная связка располагается в самом центре коленного сустава. Передняя крестообразная связка не дает голени смещаться кпереди. Передняя крестообразная связка коленного сустава намного более уязвима, чем задняя.
- Задняя крестообразная связка расположена сразу за передней крестообразной связкой. Задняя крестообразная связка необходима, чтобы удерживать голень от чрезмерного смещения кзади. Данная связка сверху прикреплена к внутреннему мыщелку бедренной кости, а снизу – к небольшому углублению в большеберцовой кости (заднему межмыщелковому полю). Передняя и задняя крестообразные связки сверху покрываются синовиальной мембраной и перекрещиваются между собой практически под прямым углом. Крестообразные связки располагаются внутри сустава и состоят из большого количества коллагеновых волокон, что придает им значительную прочность.
Необходимо отметить, что в связочном аппарате коленного сустава существуют некоторые внутрисуставные связки, которые напрямую относятся к менискам.
Выделяют следующие три связки, укрепляющие мениски:
- Поперечная связка колена соединяет оба мениска спереди. Данная связка является единственной, которая связывает непосредственно оба мениска и не прикрепляется к каким-либо костным выступам.
- Передняя мениско-бедренная связка берет свое начало с передней поверхности внутреннего мениска, далее направляется искоса вверх к наружному мыщелку бедренной кости.
- Задняя мениско-бедренная связка в своей нижней части прикрепляется к заднему краю наружного мениска и следует вверх к внутренней поверхности внутреннего мыщелка бедренной кости.
Причины повреждений менисков
Наиболее частой причиной, по которой возникает повреждение менисков в молодом возрасте, является травма коленного сустава. Повреждение мениска может быть изолированным или сочетаться с другими внутрисуставными повреждениями коленного сустава. Иногда сочетанная травма может приводить к разрыву передней крестообразной связки и мениска. Примерно в половине случаев разрыв менисков диагностируется вместе с переломами мыщелков большеберцовой кости. Также разрыв мениска возникает чаще у лиц, которые ранее имели разрыв передней крестообразной связки.
Различают следующие типы разрыва мениска:
- травматический разрыв;
- дегенеративный разрыв.
Травматический разрыв
Повреждение мениска происходит во время непрямого или комбинированного травматизма. Чаще всего данный механизм повреждения сопровождается вращением голени кнутри для латерального мениска и кнаружи – для медиального.
Как правило, травматический разрыв происходит при следующих обстоятельствах:
- коленный сустав является опорным;
- в коленном суставе происходит ротационное движение;
- сустав немного согнут.
Нередко разрыв мениска наблюдается при форсированном разгибании коленного сустава из согнутого положения, а в некоторых случаях и во время получения прямой травмы (удар приходится непосредственно на сам сустав). У некоторых спортсменов довольно часто наблюдаются повторные травмы коленного сустава, что ведет к хроническим повреждениям менисков сустава (менископатия). В дальнейшем любое резкое движение в колене может стать отправной точкой для разрыва мениска (во время приседания или при резком повороте колена).
В зависимости от типа ротации голени выделяют следующие виды повреждения менисков:
- Повреждение внутреннего мениска может проявляться разрывом самого мениска, разрывом связки, которая фиксирует мениск, а также разрывом патологически измененного мениска. Чаще всего происходит повреждение по продольной оси с разрывом средней части мениска. При этом передний и задний рог мениска остаются целыми. Данный разрыв получил название «ручки лейки» (данное повреждение напоминает лейку). Также нередко происходят разрывы переднего или заднего рога мениска. Реже всего наблюдаются поперечные разрывы в центральной части мениска под большеберцовой коллатеральной связкой.
- Повреждение наружного мениска в большинстве случаев возникает при ротации голени кнутри. Для взрослых данный травматизм нетипичен, так как латеральный мениск обладает относительно хорошей мобильностью.
Дегенеративный разрыв
Дегенеративный или хронический разрыв мениска наблюдается у людей старше 45 – 50 лет. Нередко дегенеративные изменения в коленном суставе, в том числе и на уровне менисков, возникают при повторных микротравмах (чрезмерные нагрузки во время тренировок или во время трудовой деятельности).
Чаще всего причиной дегенеративного разрыва менисков становятся следующие патологии:
- Острая ревматическая лихорадка или ревматизм. Ревматизм может приводить не только к воспалительному поражению оболочек сердца (кардиальная форма ревматизма), но и к поражениям крупных суставов, таких как локтевой, коленный и/или голеностопный. Ревматизм чаще всего появляется через 2 – 3 недели после перенесенной ангины или скарлатины. Ревматический полиартрит (поражение нескольких суставов) вызывает патологические изменения в капсуле коленного сустава и приводит к отеку околосуставных тканей, что в некоторых случаях может приводить к нарушению кровоснабжения менисков и, как следствие, к дегенеративным изменениям. Коллагеновые волокна мениска теряют свою прочность и не способны выносить большие нагрузки, что и приводит к их разрыву.
- Подагра представляет собой острое или хроническое заболевание, которое проявляется отложением в тканях и суставах кристаллов мочевой кислоты. Данные кристаллы, попав в сустав, вызывают воспалительный процесс с выраженным болевым синдромом. В некоторых случаях воспаление коленного сустава при подагре может приводить к травматизации менисков кристаллами мочевой кислоты. Коллагеновые волокна менисков подвергаются дезорганизации (повреждение клеток и межклеточного вещества), что проявляется их истончением и потерей прочности.
Симптомы повреждения или разрыва мениска
При повреждении или разрыве мениска принято выделять острый и хронический периоды. Сразу же после получения травмы в коленном суставе возникает боль различной интенсивности, а само колено опухает. Боль появляется в месте проекции повреждения мениска, а также нередко по ходу всей суставной щели. Поврежденный или оторвавшийся сегмент мениска может в значительной степени мешать выполнять движения в пораженном коленном суставе. Если повреждение невелико, то пациент может жаловаться на болезненные щелчки в колене или ощущать в нем некоторый дискомфорт. В случае, если происходит разрыв довольно большой части мениска, то это приводит к блокаде сустава.
Оторвавшийся фрагмент мениска, перемещаясь в центральную часть сустава, делает невозможным выполнение некоторых движений, вследствие чего сустав блокируется. В редких случаях разрыв происходит в той части, где располагаются немногочисленные сосуды (красная зона мениска). Повреждение в красной зоне приводит к скоплению излившейся крови в полости коленного сустава (гемартроз). Гемартроз представляет собой отек чуть выше надколенника.
При разрыве переднего рога коленный сустав блокируется таким образом, что становится невозможным полное разгибание колена. Пострадавший не может совершить конечных 25 – 30º разгибания. Если происходит разрыв по типу «ручки лейки», то ограничение при разгибании происходит на последних 10 – 15º. При повреждении или разрыве заднего рога или тела мениска, как правило, в коленном суставе ограничиваются сгибательные движения.
Болевые ощущения при разрыве мениска могут быть крайне выраженными. Это приводит к невозможности наступать на поврежденную ногу. Чаще всего такое наблюдается при значительном разрыве или размозжении одного или двух менисков вместе с переломом эпифизов большеберцовой кости. Необходимо отметить, что иногда боль практически не приносит дискомфорта и выявляется только во время выполнения определенных движений, например, во время спуска с горки или с лестницы.
После стихания болевых ощущений и отека наступает хронический период (через 15 – 20 дней). Появляется локализированная боль, выпот в суставе (скопление жидкости в суставе в результате воспалительного процесса), а также блокада самого сустава. В некоторых случаях можно прибегнуть к ряду особых тестов.
Для подтверждения диагноза разрыв мениска используются следующие тесты:
- симптом Байкова;
- симптом Штеймана;
- симптом Чаклина;
- симптом Полякова;
- симптом Ландау;
- симптом Перельмана;
- симптом Мак-Маррея;
- симптом «блокады» коленного сустава.
Симптом Байкова
Коленный сустав необходимо согнуть под прямым углом. Далее пальцем производят пальпацию (прощупывание) суставной щели и вместе с этим пассивно разгибают коленный сустав. Появление резкой боли говорит о повреждении мениска.
Симптом Штеймана
При согнутом колене под углом в 90º производят ротационные движения голени. Если болевой синдром усиливается при внутренней ротации – то поврежден медиальный мениск, а если при наружной ротации – латеральный мениск.
Симптом Чаклина
Для определения повреждения мениска можно воспользоваться двумя вариантами симптома Чаклина. Данные тесты направлены на выявление повреждения внутреннего мениска коленного сустава.
Для определения повреждения мениска используют следующие симптомы Чаклина:
- Симптом «щелчка». Сгибательные и разгибательные движения в коленном суставе приводят к возникновению характерного щелчка в области медиального мениска. Также голень в области внутреннего мениска как будто переваливается через некое препятствие.
- Симптом портняжной мышцы. Если попросить пациента поднять разогнутую ногу, то при этом можно выявить атрофию медиальной части широкой мышцы берда (уменьшение мышечной массы), а также сокращение портняжной мышцы.
Симптом Полякова
Пациент ложиться на спину и поднимает вверх здоровую ногу. Также он должен слегка приподнять туловище и опираться на лопатки и на пяточную кость травмированной ноги. При данной манипуляции болевые ощущения возникают в зоне разрыва мениска.
Симптом Ландау
Пациента просят сесть в позу со скрещенными ногами («по-турецки»). При попытке сесть в данной позе возникает локальная боль в коленном суставе.
Симптом Перельмана
Симптом Перельмана, так же как и симптом Чаклина, имеет два варианта.
Для определения повреждения мениска используют следующие тесты по Перельману:
- Симптом «лестницы». Болезненные ощущения в коленном суставе усиливаются при спуске с горки или с лестницы. Также боль появляется при попытке произвести полное разгибательное движение в коленном суставе.
- Симптом «калош». Раньше данный тест проводился с использованием калош. Больного просили их обуть без использования рук. Болезненные ощущения в коленном суставе появляются вследствие вращательных движений голени.
Симптом Мак-Маррея
Больного просят лечь на спину и согнуть ноги в коленях. Далее производят ротационные движения в коленном суставе. Данная манипуляция выявляет болевые ощущения у пациента. Также во время выполнения теста по Мак-Маррею можно услышать хруст в суставе.
Симптом «блокады» коленного сустава
Симптом «блокады» коленного сустава обычно проводится в хроническом периоде. Пациента просят произвести ротационные движения в суставе, после чего колено остается в вынужденном положении под углом 120º. Если пациент пытается произвести сгибание или разгибание коленного сустава, то это приводит к появлению выраженного болевого синдрома. Данные болезненные ощущения зависят от степени ущемления оторвавшегося сегмента мениска, попавшего между суставными поверхностями костей коленного сустава. Нередко когда блокада сустава может сопровождаться щелчком.
Также необходимо отметить, что блокада коленного сустава может возникать и при наличии другой внутрисуставной патологии.
Разрыв мениска необходимо дифференцировать со следующими заболеваниями:
- Разрыв передней крестообразной связки. При разрыве передней крестообразной связки в некоторых случаях слышен специфический звук в глубине сустава – треск. Также разрыв передней крестообразной связки сопровождается ощущением «подвывиха» голени кпереди или в боковую сторону. В отличие от разрыва мениска данная травма в большинстве случаев приводит к гемартрозу. Главные признаки разрыва передней крестообразной связки при пальпации – ощущение «проваливания» (так как данная связка занимает центральное положение в суставе) и возникновение нестабильности в коленном суставе.
- Рефлекторная контрактура представляет собой ограничение пассивных движений. Характеризуется данная патология невозможностью в полной мере согнуть или разогнуть сустав, а также возникновением болезненных ощущений в суставе. Рефлекторная контрактура может являться следствием различных прямых травм с поражением нервов коленного сустава.
- Болезнь Кенига или рассекающий остеохондрит. Болезнь Кенига приводит к отслаиванию небольшого участка хряща суставной поверхности, который может смещаться в полость сустава и приводить к болезненным ощущениям. Данная патология характерна для лиц молодого возраста 15 – 30 лет. Болезнь Кенига может приводить к блокаде коленного сустава в случае отделения фрагмента надколенника.
- Болезнь Гоффа проявляется в виде воспаления жировой клетчатки (тела Гоффа) коленного сустава. Со временем жировая прослойка полностью заменяется на соединительную ткань, что приводит к появлению отека, а также болевых ощущений в суставе. В большинстве случае болезнь Гоффа ограничивает полное сгибание и разгибание коленного сустава. В дальнейшем данное заболевание приводит к блокаде сустава.
- Перелом мыщелков большеберцовой кости. Внутрисуставной перелом мыщелка большеберцовой кости проявляется выраженным болевым синдромом, отеком коленного сустава, нарушением чувствительности голени и/или стопы. Болевые ощущения усиливаются при попытке встать на поврежденную ногу. В некоторых случаях происходит разрыв внутрисуставных сосудов осколками кости, что приводит к ишемии (снижению кровоснабжения) тканей и проявляется бледностью голени и стопы.
Диагностика повреждений менисков
Диагноз повреждения мениска чаще всего устанавливается на основе жалоб пациента и объективного исследования поврежденной области. Чтобы конкретизировать диагноз, тяжесть и характер повреждения назначают инструментальные исследования. Простую рентгенографию коленного сустава назначать считается нецелесообразным, так как мениск на обычном рентгеновском снимке не виден. Более точно поставить диагноз могут помочь рентгеновские снимки с контрастированием коленного сустава, однако и этот метод потерял свою актуальность по сравнению с более современными методами диагностики.
Основными методами, с помощью которых можно обнаружить повреждения менисков, являются:
- ультразвуковое исследование;
- компьютерная томография;
- магнитно-резонансная томография.
Ультразвуковое исследование
Принцип работы ультразвукового исследования основан на том, что разные ткани организма по-разному пропускают и отражают ультразвуковые волны. Датчик аппарата УЗИ принимает отраженные сигналы, которые далее проходят специальную обработку и отображаются на экране аппарата.
Преимущества ультразвукового метода исследования:
- безвредность;
- оперативность;
- низкая стоимость;
- простота чтения результатов;
- высокая чувствительность и специфичность;
- неинвазивность (не нарушается целостность тканей).
Специальной подготовки для проведения УЗИ коленного сустава не требуется. Единственным требованием является то, что не следует проводить внутрисуставные инъекции за несколько дней до исследования. Для лучшей визуализации менисков обследование проводят в положении пациента полулежа с согнутыми ногами в коленных суставах.
Патологические процессы в менисках, которые обнаруживаемые при помощи УЗИ:
- разрывы заднего и переднего рогов менисков;
- чрезмерная подвижность;
- появление кист менисков (патологическая полость с содержимым);
- хроническое травмирование и дегенерация менисков;
- отрыв мениска от места его прикрепления в области заднего и переднего рогов и тела мениска в паракапсулярной зоне (зона вокруг капсулы сустава).
Также УЗИ коленного сустава может находить не только патологические процессы, но и некоторые признаки, которые косвенно подтверждают диагноз разрыва мениска.
Симптомы, которые указывают на повреждение менисков при ультразвуковом исследовании коленного сустава:
- нарушение линии контура мениска;
- наличие гипоэхогенных участков и полос (участки с низкой акустической плотностью, которые на УЗИ выглядят более темными по сравнению с окружающими тканями);
- наличие выпота в суставной полости;
- признаки отека;
- смещение боковых связок.
Компьютерная томография
Компьютерная томография является ценным методом в исследовании повреждений коленного сустава, но именно поражения менисков, связочного аппарата и мягких тканей определяются на КТ на не очень высоком уровне. Эти ткани лучше видны на МРТ, поэтому целесообразнее в случае повреждения менисков назначать именно магнитно-резонансную томографию коленного сустава.
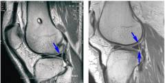
Магнитно-резонансная томография
МРТ представляет собой высокоинформативный метод диагностики повреждений менисков. Метод основывается на явлении ядерно-магнитного резонанса. Данный метод позволяет измерить электромагнитный отклик ядер на их возбуждение определенной комбинацией электромагнитных волн в постоянном магнитном поле высокой напряженности. Точность этого метода в диагностике повреждений мениска составляет до 90 – 95%. Для проведения исследования обычно не требуется специальной подготовки. Непосредственно перед проведением МРТ обследуемый должен снять все металлические предметы (очки, ювелирные изделия и др.). Во время исследования пациент должен лежать ровно, не двигаться. Если пациент страдает нервозностью, клаустрофобией, то предварительно ему дадут успокоительный препарат.
Классификация степени изменения менисков, визуализируемых на МРТ (по Stoller):
- нормальный мениск (без изменений);
- появление в толще мениска очагового сигнала повышенной интенсивности, который не достигает поверхности мениска;
- появление в толще мениска литейного сигнала повышенной интенсивности, который не достигает поверхности мениска;
- появление сигнала повышенной интенсивности, который достигает поверхности мениска.
Истинным разрывом мениска считают только изменения третьей степени. Третью степень изменений также можно условно разделить на степень 3-а и 3-б. Степень 3-а характеризуется тем, что разрыв распространяется только до одного края суставной поверхности мениска, а для степени 3-б характерно распространение разрыва до обоих краев мениска.
Также установить диагноз повреждения мениска можно по форме мениска. На снимках в норме в вертикальной плоскости мениск имеет форму, которая напоминает бабочку. Изменение формы мениска может служить признаком его повреждения.
Признаком повреждения мениска может также служить симптом «третей крестообразной связки». Появление данного симптома объясняется тем, что в результате смещения мениск оказывается в межмыщелковой ямке бедренной кости и практически прилегает к задней крестообразной связке.
Первая помощь при подозрении на повреждение мениска
Первое, что необходимо сделать при подозрении на повреждение мениска, это обеспечить иммобилизацию (обездвиживание) коленного сустава. Как правило, иммобилизацию сустава проводят в той позиции, в которой произошла блокировка сустава. Для этого необходимо воспользоваться лангетной повязкой или съемным тутором (особый вид фиксатора). Строго запрещено самостоятельно пытаться устранить блокаду коленного сустава. Данную процедуру может выполнить лишь врач, имеющий необходимую квалификацию.
Далее для того чтобы снизить отек коленного сустава необходимо приложить холод. Для этого подойдет пузырь со льдом или смоченный в холодной воде платок или марля. Холодный компресс нужно прикладывать к травмированному коленному суставу в наиболее болезненном месте. Данная процедура поможет сузить поверхностные и глубокие сосуды и не даст скапливаться жидкости в полости сустава (уменьшение выпота). Также холод способствует понижению чувствительности болевых рецепторов и, как следствие, уменьшит болевые ощущения. Продолжительность использования холодного компресса должна быть не менее 10 – 15 минут, но и не более 30 минут.
В случае, если происходит комбинированная травма и пострадавший жалуется на сильную нестерпимую боль, необходимо воспользоваться обезболивающими препаратами.
Обезболивающие препараты, применяемые для купирования болевых ощущений
| Название препарата | Групповая принадлежность | Механизм действия | Показания |
| Кетопрофен | Нестероидные противовоспалительные препараты. Неизбирательные ингибиторы циклооксигеназы 1 и 2 (фермент, который участвует в развитии воспалительного процесса). |
Блокируют выработку простагландинов, что приводит к существенному снижению болевого синдрома при внутрисуставных повреждениях коленного сустава. Обладают значительным противовоспалительным и умеренным обезболивающим эффектом. | Умеренная степень болевого синдрома при повреждениях капсульно-связочного аппарата коленного сустава (в том числе и менисков). Внутрь по одной таблетке 2 – 3 раза в день. |
| Индометацин | |||
| Диклофенак | |||
| Напроксен | |||
| Диклофенак | |||
| Промедол | Агонисты опиоидных рецепторов (вещества, которые регулируют болевые ощущения). | Блокирует мю-рецепторы (рецепторы, находящиеся преимущественно в головном и спином мозге), а также активирует антиноцицептивную систему организма (обезболивающая), что приводит к нарушению передачи болевых импульсов. Обладает выраженным обезболивающим, умеренным противошоковым, а также легким снотворным эффектом. | Выраженный болевой синдром при разрыве мениска в сочетании с другой внутри- или внесуставной травмой. Внутрь по 25 – 50 мг, внутримышечно по 1 мл 1% раствора или по 2 мл 2% раствора. |
При подозрении на повреждение мениска необходимо обратиться к врачу-травматологу для уточнения точного диагноза. Также только врач может назначить лечение (консервативное или хирургическое). Нередко пациенты приходят на консультацию после нескольких травм с уже имеющейся менископатией. В данном случае период реабилитации проходит намного дольше.
Лечение повреждений менисков
Выбор метода лечения зависит от степени повреждения мениска, которое было установлено в ходе диагностического обследования коленного сустава при помощи УЗИ или МРТ. Врач-травматолог выбирает более рациональный тип лечения в каждом отдельном случае.
Для лечения повреждения менисков используются следующие методы:
- консервативное лечение;
- хирургическое лечение.
Консервативное лечение
Консервативное лечение заключается в устранении блокады коленного сустава. Для этого необходимо пунктировать (сделать пункцию) коленный сустав, эвакуировать содержимое сустава (выпот или кровь) и ввести 10 мл 1% раствора прокаина или 20 – 30 мл 1% раствора новокаина. Далее больного сажают на высокий стул так, чтобы при этом угол между бедром и голенью составлял 90º. Через 15 – 20 минут после введения прокаина или новокаина выполняют процедуру по устранению блокады коленного сустава.
Манипуляция по устранению блокады сустава выполняется в 4 этапа:
- Первый этап. Врач выполняет вытяжение (тракцию) стопы вниз. Тракция стопы может проводиться руками или при помощи импровизированного приспособления. Для этого на стопу надевается петля из бинта или плотной ткани, охватывающая голень сзади и перекрещивающаяся на тыльной части стопы. Доктор выполняет вытяжение, вставив ногу в петлю и надавливая вниз.
- Второй этап заключается в выполнении отклонения голени в сторону, противоположную ущемленному мениску. При этом происходит расширение суставной щели, и мениск может занять свое первоначальное положение.
- Третий этап. На третьем этапе в зависимости от повреждения внутреннего или наружного мениска производят ротационные движения голени кнутри или кнаружи.
- Четвертый этап заключается в свободном разгибании коленного сустава в полном объеме. Разгибательные движения должны проводиться без усилий.
В большинстве случаев, если данная манипуляция на всех этапах проводилась правильно, то блокада коленного сустава устраняется. Иногда после первой попытки блокада сустава сохраняется, и тогда можно заново произвести данную процедуру, но не более 3 раз. В случае успешного устранения блокады необходимо наложить заднюю гипсовую лонгету, начиная от пальцев стопы и заканчивая верхней третью бедра. Данная иммобилизация проводиться сроком на 5 – 6 недель.
Консервативное лечение выполняется по следующей схеме:
- УВЧ-терапия. УВЧ или ультравысокочастотная терапия представляет собой физиотерапевтический метод воздействия на организм электрического поля ультравысокой или сверхвысокой частоты. УВЧ-терапия повышает барьерную способность клеток, улучшает регенерацию и кровоснабжение тканей мениска, а также имеет умеренное обезболивающее, противовоспалительное и противоотечное действие.
- Лечебная физкультура. Лечебная физкультура является комплексом специальных упражнений без использования или с использованием определенного оборудования или снарядов. В периоде иммобилизации необходимо выполнение общеразвивающих упражнений, которые охватывают все группы мышц. Для этого совершают активные движения здоровой нижней конечностью, а также специальные упражнения – напряжения бедренных мышц травмированной ноги. Также для улучшения кровоснабжения в травмированном коленном суставе необходимо на короткое время опускать конечность, а затем поднимать ее для придания возвышенного положения на специальную опору (данная процедура позволяет избежать венозного стаза в нижней конечности). В периоде постиммобилизации кроме общеукрепляющих упражнений должны выполняться активные вращательные движения стопой, в крупных суставах, а также поочередное напряжение всех мышц травмированной нижней конечности (мышц бедра и голени). Необходимо отметить, что в первые несколько дней после снятия лонгеты выполнение активных движений должно производиться в щадящем режиме.
- Лечебный массаж. Лечебный массаж является одним из составляющих комплексного лечения при повреждениях и разрывах мениска. Лечебный массаж помогает улучшить кровоснабжение тканей, понижает болевую чувствительность поврежденного участка, снижает отечность тканей, а также восстанавливает мышечную массу, тонус и эластичность мышц. Массаж необходимо назначать в постиммобилизационном периоде. Данная процедура должна начинаться с передней бедренной поверхности. В самом начале проводится подготовительный массаж (2 – 3 минуты), который заключается в поглаживании, разминании и выжимании. Далее переходят к более интенсивному поглаживанию травмированного коленного сустава, предварительно положив под него небольшую подушку. После этого проводят прямолинейные и кругообразные растирания колена в течение 4 – 5 минут. В дальнейшем интенсивность массажа должна быть увеличена. При проведении массажа на задней поверхности коленного сустава пациент должен лечь на живот и согнуть ногу в коленном суставе (под углом 40 – 60º). Массаж необходимо завершить чередованием активных, пассивных движений с движениями с сопротивлением.
- Прием хондропротекторов. Хондропротекторы представляют собой медицинские препараты, которые восстанавливают структуру хрящевой ткани. Хондропротекторы назначаются в случае, если врач установил не только повреждение мениска, но также и повреждение хрящевой ткани коленного сустава. Стоит отметить, что использование хондропротекторов имеет действие как при травматическом, так и при дегенеративном разрыве мениска.
Хондропротекторы, используемые для восстановления хрящевой ткани
| Название препарата | Фармакологическая группа | Механизм действия | Способ применения |
| Глюкозамин | Корректоры метаболизма (обмена веществ) костной и хрящевой ткани. | Стимулирует выработку компонентов хрящевой ткани (протеогликана и гликозаминогликана), а также усиливает синтез гиалуроновой кислоты, входящей в состав синовиальной жидкости. Оказывает умеренное противовоспалительное и обезболивающее действие. | Внутрь за 40 минут до приема пищи по 0,25 – 0,5 г 3 раза в день. Курс лечения составляет 30 – 40 дней. |
| Хондроитин | Улучшает регенерацию хрящевой ткани. Способствует нормализации фосфорно-кальциевого обмена в хрящах. Останавливает процесс дегенерации в хрящевой и соединительно ткани. Повышает выработку гликозаминогликанов. Обладает умеренным обезболивающим эффектом. | Наружно наносят на кожу 2 – 3 раза в сутки и втирают до полного впитывания. Курс лечения составляет 14 – 21 день. | |
| Румалон | Репаранты и регенеранты (восстанавливают поврежденные участки хрящевой и костной ткани). | Содержит экстракт хрящей и костного мозга молодых животных, который способствует ускорению процесса регенерации хрящевой ткани. Усиливает выработку сульфатированных мукополисахаридов (компоненты хрящевой ткани), а также нормализует обмен веществ в гиалиновом хряще. | Внутримышечно, глубоко. В первый день по 0,3 мл, во второй день по 0,5 мл, а далее по 1 мл 3 раза в неделю. Курс лечения должен составлять 5 – 6 недель. |
При правильном и комплексном консервативном лечении, а также при отсутствии осложнений (повторная блокада коленного сустава) восстановительный период, как правило, длится от полутора до двух месяцев.
Хирургическое лечение
Хирургическое лечение показано в тех случаях, когда не удается устранить блокаду коленного сустава или при повторных блокадах. Также к хирургическому лечению прибегают в хроническом периоде.
Показания для проведения хирургического лечения при разрыве мениска:
- раздавливание хрящевой ткани мениска;
- гемартроз;
- разрыв переднего или заднего рога мениска;
- разрыв тела мениска;
- разрыв мениска с его смещением;
- повторная блокада коленного сустава в течение нескольких недель или дней.
В зависимости от характера и типа повреждения, наличия осложнений, возраста пациента оперативное лечение может проводиться различными способами.
Хирургическое лечение может осуществляться следующими методами:
- Менискэктомия представляет собой частичное или полное удаление мениска. Данная хирургическая операция необходима в случае разрушения хрящевой ткани мениска вследствие дегенеративных процессов. Также менискэктомия показана при отрыве всего или большей части мениска или при появлении различных осложнений. У данной операции существует ряд существенных недостатков. Менискэктомия является очень травматичной операцией, может приводить к хроническому артриту коленного сустава. Также одним из недостатков является тот факт, что данная хирургическая операция помогает лишь в 60 – 65% случаев.
- Восстановление мениска является наиболее щадящей для пациента. Данная операция используется в основном для лечения разрыва мениска у людей молодого возраста для сохранения нормальной биомеханики коленного сустава. Операция по восстановлению мениска проводится при определенных условиях.
Периферический разрыв мениска
Периферический разрыв может возникать в переднем или заднем роге мениска. Как правило, происходит отрыв небольшого сегмента мениска от зоны прикрепления.
Периферический разрыв со смещением к центру
В некоторых случаях периферический разрыв может происходить в области тела мениска, и тогда оторвавшийся фрагмент хрящевой ткани мениска изменяет свою позицию, попадая в межмыщелковую зону большеберцовой кости.
Отсутствие дегенеративных процессов в хрящевой ткани мениска
Одним из основных условий для проведения операции по восстановлению служит отсутствие дегенеративных процессов в самом мениске. Данный тип операции является малоэффективным, так как в последующем патологические изменения в мениске и дальше будут разрушать хрящевую ткань.
Вертикальный продольный разрыв мениска по типу «ручка лейки»
Повреждение происходит в зоне тела мениска и напоминает ручку лейки. Восстановление мениска при вертикальном продольном разрыве мениска дает положительный результат в большинстве случаев.
Возраст пациента
Операция по восстановлению мениска осуществляется, как правило, пациентам, чей возраст не превышает 40 – 45 лет. Возраст имеет первостепенное значение, так как у более молодых людей процесс регенерации происходит значительно быстрее.
- Артроскопический метод является самым безопасным и наиболее предпочтительным методом, применяемым для хирургического лечения повреждений и разрывов мениска. Для этого проводят диагностическую артроскопию с последующим сшиванием поврежденного сегмента хрящевой ткани мениска. В отличие от артротомии данный метод позволяет осмотреть весь сустав в целом. Также преимуществом артроскопии является минимальная травматичность. Для того чтобы зашить мениск применяют особы иглы с нерассасывающимися нитями (полипропилен, капрон, шелк). Через артроскоп (эндоскоп, который позволяет через маленькое отверстие наблюдать за ходом хирургических манипуляций на суставе) в полости коленного сустава производят сшивание поврежденного мениска. Как правило, для артроскопии необходимо два маленьких отверстия – одно для артроскопа, а второе для хирургических инструментов. Швы на мениск должны накладывать перпендикулярно линии разрыва для наибольшей фиксации. Артроскопический метод используется при разрыве переднего рога или тела мениска. Положительный эффект наблюдается в 75 – 90% случаев.
- Скрепление мениска внутри сустава является относительно новым способом в лечении разрывов мениска. Данный метод, по сути дела, не является хирургическим и осуществляется с помощью особых фиксаторов. Преимущество данного метода заключается в малой травматичности. Для проведения скрепления мениска не нужно использовать специальные приборы (артроскоп), а также выполнять разрезы в области коленного сустава для доступа к нему. Также восстановление мениска происходит за меньшее время, чем при артроскопии. Сущность метода состоит в использовании особых фиксаторов, которые могут иметь стреловидную или дротикообразную форму. Необходимый эффект достигается в 60 – 90% случаев.
- Трансплантация мениска представляет собой довольно дорогую процедуру. Трансплантация необходима в случае полного размозжения ткани мениска, а также в случае, когда остальные способы оказываются неэффективными. Необходимо отметить, что в случае хронических дегенеративных изменений тканей мениска, пожилого возраста, а также некоторых заболеваний трансплантация мениска противопоказана.
На 5 – 7 день после артроскопической операции для лучшего восстановления тканей мениска необходимо проводить физиотерапевтические процедуры. Данные процедуры проводят через повязку до снятия швов. Также в течение 20 дней после хирургической операции предпочтительно использовать бинтование коленного сустава.
Физиотерапевтические процедуры в послеоперационном периоде
| Вид процедуры | Механизм лечебного действия | Длительность лечения |
| УВЧ-терапия | Воздействует на организм человека с помощью электрического поля ультравысокой или сверхвысокой частоты. Ультравысокочастотная терапия существенно усиливает кровоток и лимфоток в коленном суставе, улучшает синтез компонентов хрящевой ткани менисков, нормализует обмен веществ, повышает барьерную способность поврежденных клеток. Также УВЧ-терапия обладает умеренным анальгезирующим, противоотечным и противовоспалительным эффектом. |
Ежедневно в течение 10 – 15 минут. Курс лечения составляет 5 – 10 процедур. Вначале используется низкоинтенсивное поле, а затем – высокоинтенсивное. |
| Магнитотерапия | Применение статического магнитного поля улучшает регенерацию тканей мениска. Наблюдается усиление местных иммунных процессов. Улучшается кровоснабжение в коленном суставе. Нормализует внутриклеточные процессы. | Ежедневно в течение 15 – 20 мин. Курс лечения составляет 10 – 15 процедур. |
| Электрофорез обезболивающих препаратов | Использование постоянного электрического тока способствует быстрому проникновению обезболивающего препарата в поверхностные и глубокие ткани организма. Процедура позволяет воздействовать на пораженный коленный сустав и создавать там лекарственное депо из анестетиков (1% раствор дикаина, 1 – 5% раствор новокаина, 0,5 – 2% раствор тримекаина, 1 – 2% раствор лидокаина). Обладает выраженным обезболивающим эффектом с длительным периодом действия (за счет лекарственного депо). | Ежедневно в течение 15 – 20 мин до прекращения болевого синдрома. Возможно введение обезболивающих препаратов в сочетании с адреналином (1 мл 0,1% раствора). |
Стоит отметить, что в послеоперационном периоде также как и при консервативном лечении необходимо назначать лечебную физкультуру. В каждом отдельном случае тип упражнений и объем подбираются индивидуально. Также для ускорения восстановительного периода назначают лечебный массаж.
Восстановление трудоспособности происходит в среднем в течение 2 – 3 месяцев и зависит от целого ряда параметров.
Период восстановления зависит от следующих факторов:
- возраст пациента;
- тип повреждения;
- степень повреждения;
- зона повреждения;
- метод хирургического лечения;
- наличие хронических дегенеративных процессов в хрящевой ткани мениска.

