Содержание статьи:
Часто задаваемые вопросы
Содержание статьи:
Часто задаваемые вопросы
Илеит – это воспалительное заболевание подвздошной кишки (конечный отдел тонкого кишечника), которое может распространяться на соседние ткани. Данное заболевание нередко сочетается с воспалением двенадцатиперстной (дуоденит), тощей (еюнит), слепой кишки (тифлит). Илеит часто является симптомом (проявлением) многих заболеваний, таких как болезнь Крона (заболевание кишечника), васкулиты (заболевания сосудов), опухоли (новообразования), эндометриоз (заболевание матки) и другие. При длительном течении илеит может приводить к формированию полипов, язв, трещин, рубцов. В основном, данное заболевание пищеварительной системы диагностируют у людей в возрасте от 20 до 40 лет, немного чаще у мужчин. Замечено, что у жителей крупных городов воспаление подвздошной кишки встречается в два раза чаще, чем у сельских жителей.

Тонкий кишечник является самой длинной частью пищеварительного тракта (канала). Его длина составляет от 2 до 4,5 метров. Тонкий кишечник располагается между желудком и толстым кишечником.
Выделяют три отдела тонкого кишечника:
Двенадцатиперстная кишка является начальным отделом тонкого кишечника. За ней идет непосредственно тощая кишка, которая большей частью располагается в пупочной области. Далее тощая кишка переходит в подвздошную кишку, которая идет из пупочной области в правую половину брюшной полости (живота). Там она переходит в слепую кишку, которая является начальным отделом толстого кишечника. Слизистая оболочка тощей и подвздошной кишки образует большое количество ворсинок, которые увеличивают площадь всасывания питательных веществ. Кроме того, в слизистой оболочке тощей кишки располагаются одиночные лимфоидные узелки, а в подвздошной кишке они объединяются в групповые лимфоидные узлы (пейеровы бляшки). Перечисленные лимфоидные образования в кишечнике выполняют защитную и кроветворную функции.
Тонкий кишечник выполняет следующие функции:
Основной причиной развития острой формы илеита являются бактерии или вирусы. При хроническом течении заболевания к этим причинам добавляются глистные инвазии (заражение глистами). Свое влияние на развитие илеита оказывают различные факторы, на которые человек может не обращать внимания. Это может быть неправильное питание, малоподвижный образ жизни, злоупотребление алкоголем, курение и так далее. Часто илеит развивается на фоне какого-либо заболевания и является одним из его симптомов (проявлений). Важно выявить основную причину, которая привела к развитию воспаления подвздошной кишки, и устранить ее на ранней стадии.

Инфекция в 40 – 60% случаев является причиной развития илеита. Наиболее частой причиной инфекционного илеита является инвазия (вторжение, внедрение) иерсиний (болезнетворные бактерии). Иерсинии попадают в человеческий организм при употреблении зараженной пищи (сырые овощи, молочные продукты), воды или при контакте с зараженными (инфицированными) дикими или домашними животными. Эти бактерии проходят через слизистую оболочку кишечника и проникают в более глубокие слои, поражая лимфоидные ткани, которые обеспечивают защитные реакции в организме.
Реже развитию илеита способствуют сальмонеллы, кишечная палочка, стафилококки. Патогенные (болезнетворные) бактерии заселяют кишечник и начинают выделять особые токсины (вредные вещества), которые приводят к повреждению слизистой оболочки кишечника и вызывают воспаление.
Наиболее частыми возбудителями вирусного илеита являются ротавирусы и энтеровирусы. Эти вирусы попадают в организм человека через ротовую полость вместе с зараженной водой или пищей, при кашле, разговоре. Затем вирусы размножаются, проникают в кровь и разносятся по всему организму. Попадая в желудочно-кишечный тракт, вирусы поражают, преимущественно, тонкий кишечник, а точнее его слизистую оболочку. Развиваются соответствующие симптомы, к которым относят боли в животе, диарею (понос), резкое повышение температуры (38 – 39 градусов), тошноту, рвоту, слабость. При тяжелом течении возможно обезвоживание (недостаточное количество жидкости) организма.
Глистные инвазии (внедрение глистов) или гельминтозы представляют собой группу заболеваний, которые в данном случае возникают при употреблении сырой или недостаточно термически обработанной морской рыбы или морепродуктов, зараженных личинками аскариды (паразитический круглый червь). Этот глист попадает в желудочно-кишечный тракт человека и прикрепляется к его стенкам. Постепенно в месте его прикрепления развивается воспалительная реакция, появляется отек, возможны кровоизлияния и образование язв.
Лямблии являются простейшими паразитами, которые поражают тонкий кишечник. Заражение происходит обычно при употреблении загрязненной воды, недостаточно термически обработанной пищи (фрукты, овощи), через предметы обихода (посуда, белье, игрушки), загрязненные цистами (форма существования паразита) лямблий. Паразиты, попадающие в тонкий кишечник, начинают питаться переваренной пищей (особенно сладостями и мучными изделиями) и выделять специальные вещества, которые приводят к разрушению слизистой кишечника. Клинически лямблиоз проявляется головной болью, болями вокруг пупка, вздутием живота, тошнотой, рвотой, диареей (поносом), слабостью и зудом кожи.
К аллергическим реакциям, которые оказывают негативное влияние на работу тонкого кишечника, относят пищевую аллергию. Пищевая аллергия возникает в том случае, когда иммунитет человека определят какой-либо из продуктов как что-то вредное и начинает вырабатывать специальные антитела против этого продукта. Эти антитела способствуют выработке специального вещества (гистамин), которое приводит к развитию болевых ощущений в животе, диарее (понос), тошноте и рвоте. При отсутствии симптомов (скрытая пищевая аллергия) и должного лечения возникает раздражение и воспаление слизистой оболочки кишечника. Постепенно нарушается способность кишечника всасывать питательные вещества.
Табачный дым оказывает негативное влияние не только на органы дыхания, но и на слизистые оболочки желудочно-кишечного тракта, в частности на тонкий кишечник. При попадании табачного дыма в организм человека начинают выделяться токсические (отравляющие) вещества, которые раздражают слизистые оболочки и ведут к развитию воспаления. Затем нарушается сократительная способность кишечника, то есть нарушается процесс нормального продвижения пищи. Со временем это приводит к появлению спазмов (сокращений) сосудов в кишечнике, нарушается нормальное кровоснабжение и снижается способность к регенерации (восстановлению, заживлению). Возникают боли и вздутие в животе, периодические поносы.
Злоупотребление алкоголем является пагубной привычкой, которая постепенно отравляет организм. Всасывание алкоголя начинается со слизистой оболочки рта, но основная часть выпитого (около 80%) всасывается в слизистой оболочке двенадцатиперстной кишки (начальный отдел тонкого кишечника). Избыточное количество алкоголя может приводить к повреждению тонкого кишечника (от воспаления до кровотечения). Также нарушается сократительная функция кишечника на фоне чего возможно развитие диареи (поноса). Хроническое употребление спиртных напитков вызывает нарушения в усвоении питательных веществ, витаминов (в частности, группы В и Е) и микроэлементов (цинк, железо) из поступающей в организм пищи.
Развитию различных нарушений в работе желудочно-кишечного тракта (в данном случае – кишечника) может способствовать неправильный режим питания. Под этим подразумевают длительные перерывы между приемами пищи (редкие приемы пищи), частые переедания, быстрые приемы пищи (впопыхах) и всухомятку. Также развитию воспаления в кишечнике может способствовать употребление полуфабрикатов, жирной, жареной, соленой, копченой и острой пищи в большом количестве. При неправильном питании возникает воспалительный процесс, нарушается двигательная функция кишечника, происходит раздражение (травмирование) слизистой оболочки.
Отравление ядами и тяжелыми металлами (свинец, ртуть, таллий) отрицательно сказывается на работе многих органов и систем. Больше всего воздействию токсинов (ядовитых веществ) подвержены клетки кишечника, печени и почек. Некоторые яды могут вызывать тяжелые поражения слизистых оболочек всего желудочно-кишечного тракта, а некоторые металлы обладают способностью к накоплению в организме. Токсические продукты выделяются через кишечник и оказывают на его ткани повреждающее действие. В результате этого развивается воспалительный процесс кишечника. Также могут образовываться эрозии (разъедание), омертвление слизистой оболочки, нарушение моторно-эвакуаторной (двигательно-выделительной) функции. Клинические проявления поражения желудочно-кишечного тракта развиваются в сроки от нескольких часов до нескольких дней после попадания ядовитого вещества или тяжелых металлов в организм. Это проявляется в виде тошноты, рвоты, болей в животе, диареи (поноса) или запора.
Некоторые лекарственные препараты обладают прямым токсическим (отравляющим) действием на структуру и функцию слизистой оболочки кишечника. К таким медикаментам относится большинство противовоспалительных препаратов (аспирин, диклофенак, ибупрофен), глюкокортикоиды (кортизон), антибиотики (неомицин, левомицетин), препараты, содержащие атомы тяжелых металлов (ртуть, висмут, таллий). Длительный прием контрацептивов (противозачаточных) и слабительных (крушина, алоэ) препаратов также может приводить к поражению кишечника. При этом нарушается моторика (сокращение) кишечника, всасывание питательных веществ, микрофлора (совокупность микробов, обитающих в кишечнике). Лекарственные средства, проходящие через слизистую оболочку тонкого кишечника, могут приводить к его воспалению, отеку и формированию язв. Клинически длительный прием лекарственных средств может проявляться схваткообразными болями в животе, рвотой, нарушением всасывания микроэлементов.
Ферментопатия представляет собой наследственное заболевание, которое характеризуется отсутствием или недостаточной выработкой какого-либо фермента. Данные нарушения вызывают воспаление слизистой оболочки кишечника, препятствуют нормальному пищеварению и всасыванию питательных веществ. В некоторых случаях может развиваться атрофия (истончение, уменьшение) слизистой оболочки тонкого кишечника. Клинически ферментопатии могут проявляться вздутием и болью в животе, тошнотой, рвотой, диареей (поносом).
Клинические проявления при илеите развиваются достаточно быстро (при остром илеите) и характеризуются относительно высокой интенсивностью болей. Как правило, заболевание длится всего несколько дней и может пройти самостоятельно без медикаментозного лечения. В других случаях при отсутствии лечения заболевание переходит в хроническую форму. При хроническом течении симптомы заболевания выражены значительно слабее.

При илеите развиваются очаги воспаления, которые поражают стенку кишечника. Постепенно наблюдается утолщение стенки кишечника и сужение просвета в местах воспаления. Эти изменения приводят к затруднению прохождения пищи, что приводит к дополнительным повреждениям.
Симптомы илеита
| Симптом | Механизм развития | Как проявляется? |
| Боль в животе |
|
|
| Жидкий стул (диарея, понос) |
|
|
| Тошнота и рвота |
|
|
| Повышение температуры |
|
|
| Слабость и недомогание |
|
|
| Снижение веса |
|
|
| Судороги |
|
|
Существует несколько классификаций илеита, которые отличаются между собой по различным критериям. Невозможно выделить какую-либо одну классификацию, так как каждая дает свое представление о причине возникновения, распространенности воспалительного процесса или тяжести течения илеита.

В зависимости от распространенности процесса различают следующие виды илеита:
По причине возникновения различают следующие виды илеита:
По тяжести течения выделяют следующие формы илеита:
В зависимости от момента начала заболевания различают следующие формы илеита:
Различают следующие виды илеита:
Учитывая то, что илеит часто является проявлением (симптомом) другого заболевания, необходимо использовать все доступные методы диагностики. В диагностике илеита большую роль играют лабораторные методы исследования. Это связано с тем, что данный отдел кишечника практически невозможно осмотреть с помощью эндоскопических методов диагностики (осмотр внутренних органов). Необходимо отличать илеит от других заболеваний (неспецифический язвенный колит, синдром раздраженного кишечника и другие), которые могут протекать со схожими клиническими симптомами.

Общий анализ крови является самым простым и доступным методом, с которого начинают диагностику. Данный анализ представляет собой забор крови из пальца или из вены, который проводится натощак (на голодный желудок).
В общем анализе крови при илеите могут быть выявлены признаки, характерные для воспалительных изменений. Будет наблюдаться лейкоцитоз (увеличение количества лейкоцитов), сдвиг лейкоцитарной формулы влево (увеличение количества палочкоядерных нейтрофилов), повышение СОЭ (скорость оседания эритроцитов).
Биохимический анализ крови представляет собой метод лабораторной диагностики, который назначается с целью оценить работу внутренних органов, получить информацию об обмене веществ (метаболизме) и выявить необходимость в микроэлементах. Накануне сдачи анализа из рациона исключают жирную, острую пищу. Забор крови производится из вены, как правило, после 8 – 12 часового голодания. Также необходимо исключить прием алкогольных напитков, кофе, психоэмоциональные и физические нагрузки. В результате данного анализа при илеите могут выявить снижение количества общего белка и микроэлементов.
Копрограмма представляет собой лабораторное исследование кала человека. С помощью данного исследования можно оценить активность ферментов, эвакуаторную (выделительную) функцию кишечника, а также определить наличие гельминтов (глистов) и простейших. Для получения наиболее достоверных результатов за несколько дней до сбора кала прекращают прием некоторых лекарственных препаратов (препараты висмута, железа, слабительные). Также отменяются ректальные свечи, клизмы. Кал для исследования собирают в одноразовый пластиковый чистый, сухой контейнер и относят в лабораторию (не позже чем через 10 – 12 часов).
В результате проведенного исследования в пользу илеита могут говорить обнаруженные непереваренные пищевые волокна в большом количестве, углеводы. Также возможно выявление сниженной ферментативной активности. При исследовании кала под микроскопом можно обнаружить организмы простейших (аскариды, лямблии и другие).
Данный метод исследования представляет собой анализ кала, позволяющий выявить наличие различных бактерий и вирусов. Некоторые лекарственные препараты (антибиотики, слабительные, противодиарейные) могут повлиять на результат исследования, поэтому необходимо отменить их прием за несколько дней до сдачи. Для сбора кала понадобится специальный пластиковый контейнер с крышкой. Вначале рекомендуется помочиться, чтобы моча не попала в кал. Затем с помощью специальной ложки (идет в комплекте с контейнером) из разных участков каловых масс (сверху, с боков, изнутри) собирается кал и кладется в контейнер. В данном случае доставить биологический материал (кал) в лабораторию необходимо максимально быстро (в течение 1,5 – 2 часов), так как некоторые микроорганизмы погибают при контакте с кислородом и не смогут быть выявлены.
В случае с илеитом данное исследование позволяет выявить возбудителя заболевания (бактерии или вирусы). В некоторых случаях дополнительно могут определить чувствительность возбудителя к различным антибиотикам (лечению какими антибиотиками поддается выявленный вид возбудителя).
Анализ кала на скрытую кровь необходим для выявления хронического кровотечения, которое может осложнить течение илеита. За несколько дней до сдачи анализа необходимо исключить из рациона мясо, рыбу, печень, яйца, зеленые овощи, помидоры, яблоки. Так как употребление перечисленных продуктов может влиять на результат анализа (может быть ложноположительный). Также отменяется прием некоторых лекарственных средств (препараты железа, висмута, аспирин), введение ректальных свечей, проведение клизм. Анализ кала на скрытую кровь необходимо проводить до различных эндоскопических методов исследования, где возможно повреждение слизистой оболочки кишечника.
Кал для данного исследования собирают в стерильный пластиковый контейнер после самостоятельного опорожнения кишечника. Важно собрать его из разных участков каловых масс (сверху, с боков, изнутри) и максимально быстро доставить в лабораторию.
Рентгенография пассажа бария по тонкому кишечнику представляет собой рентгенологическое исследование с использованием контрастного вещества. При проведении данного исследования можно выявить нарушения моторики (движения, сокращения) кишечника и кишечную непроходимость. Также можно определить наличие стриктур (сужений), фистул (каналов).
Очень важно правильно подготовиться к рентгенологическому исследованию с контрастированием для получения достоверных результатов. За 2 – 3 дня до процедуры пациенту назначают диету, которая исключает прием жирной, жареной пищи, а также продукты, способствующие газообразованию (бобовые, молоко, выпечка). Рекомендуется обильное питье (до двух литров в сутки). Последний прием пищи должен быть за 12 часов до исследования. Для проведения данного метода исследования пациенту дают выпить определенное количество раствора бариевой взвеси (контрастное вещество), которая не всасывается тонким кишечником. По мере ее продвижения по кишечнику делают рентгеновские снимки с интервалом в 30 – 60 минут. Рентген проводится на специальном столе в положении пациента лежа на спине, а рентгеновский аппарат размещается над областью живота.
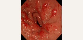
Эндоскопические методы исследования представляют собой диагностические методы, с помощью которых можно визуализировать (увидеть) орган изнутри. Для визуализации тонкого кишечника могут назначать капсульный метод. Суть метода заключается в проглатывании специальной капсулы, в которой расположена камера, делающая снимки по мере продвижения по желудочно-кишечному тракту и передающая данные на специальный приемник. Затем капсула выходит из организма естественным путем. Данная методика используется с целью оценить состояние слизистой оболочки кишечника. Для илеита (при иерсиниозе) характерно наличие афтозных изъязвлений (язвы слизистой оболочки) округлой формы и одинакового размера.
В качестве дополнительных методов исследования могут назначаться эзофагогастродуоденоскопия (для исключения гастрита), когда пациенту через ротовую полость вводят специальную трубку (гастроскоп), оснащенную источником света и камерой, которая передает изображение на монитор. При подозрении на желчнокаменную болезнь, панкреатит, асцит могут назначать ультразвуковое исследование (УЗИ) органов брюшной полости. В тяжелых случаях для комплексной оценки состояния внутренних органов назначают мультиспиральную компьютерную томографию (МСКТ) органов брюшной полости.
Своевременно начатое лечение илеита может привести к полному выздоровлению. При выборе тактики лечения илеита в обязательном порядке требуется консультация гастроэнтеролога. В некоторых случаях (при остром инфекционном илеите) дополнительно может понадобиться консультация врача-инфекциониста. Лечение острых форм заболевания проводится в стационаре (в больнице).

Медикаментозное лечение илеита направлено на уменьшение воспалительного процесса в тканях кишечника. Основными задачами такого лечения являются заживление слизистой оболочки подвздошной кишки и наступление ремиссии (отсутствие клинических симптомов) заболевания при хроническом течении. Длительность приема лекарственных средств и их дозировка назначается индивидуально в каждом конкретном случае.
Медикаментозное лечение
| Группа препаратов | Представители | Механизм лечебного действия |
| Антибактериальные препараты |
|
|
| Спазмолитики |
|
|
| Инфузионная терапия |
|
|
| Ферменты | ||
| Вяжущие средства |
|
|
| Сорбенты |
|
|
| Витамины |
|
|
| Пробиотики |
|
Народные методы лечения илеита могут применяться как при остром, так и при хроническом течении заболевания вместе с медикаментозным лечением. Перед началом лечения народными средствами необходимо проконсультироваться со своим лечащим врачом. В данном случае таким специалистом должен стать гастроэнтеролог. Врач поможет трезво оценить необходимость в применении альтернативных методов лечения. Некоторые методики народного лечения помимо полезного действия могут вызвать и побочные эффекты. Это могут быть аллергические реакции или усугубление общего состояния пациента.
Для большей эффективности при лечении илеита применяют различные отвары, настои на основе растительных трав, обладающие вяжущим действием. Это обеспечивает формирование защитной пленки (уплотнению) слизистой оболочки кишечника, что препятствует дальнейшему ее разрушению.
Народные методы лечения
| Народный метод лечения | Как готовить и принимать? | Какой эффект обеспечивает? |
| Алтей лекарственный |
|
|
| Анис |
|
|
| Зверобой |
|
|
| Черника |
|
|
| Календула |
|
|
Одним из ключевых моментов в лечении илеита является назначение диеты. Лечебное питание при данной патологии направлено на улучшение регенераторных (восстановительных) процессов в слизистой оболочке тонкого кишечника, щажение и нормализацию нарушенных функций, устранение нарушений обмена веществ.
Основная масса пищевых веществ (белки, жиры, углеводы, витамины, минеральные вещества) всасываются в тонком кишечнике. При его поражении могут возникать гиповитаминоз (недостаток витаминов), трофические нарушения (нарушения питания органа), остеопороз (заболевание скелета).
При назначении диеты необходимо учитывать тяжесть и особенности течения основного заболевания, а также состояние других органов желудочно-кишечного тракта. Основными принципами диетотерапии, которых придерживаются – механическое, химическое и термическое щажение тонкого кишечника.
При обострениях илеита важно разгрузить работу тонкого кишечника. В первые дни заболевания рекомендуют употреблять пищу, которая будет оказывать минимальное раздражающее, обволакивающее (окутывающее, формирующее защитную пленку), закрепляющее действие. Таким действием обладают рисовый или овсяный отвары, черничный кисель, отвар черной смородины. Через 1 – 2 дня рацион расширяют таким образом, чтобы обеспечивалась достаточная энергетическая ценность. Для этого рекомендуют употреблять нормальное количество белков и несколько ограничивают количество жиров и углеводов. Белок способствует естественному восстановлению слизистой оболочки тонкого кишечника и стимулирует процессы ее заживления. Также он необходим для выработки многих ферментов и гормонов. Ограничение потребления жира связано с тем, что он способствует опорожнению кишечника.
В первую очередь, назначают частый прием пищи (4 – 5 раз в день) маленькими порциями. При данной патологии пища должна быть легкоусвояемой, богатой витаминами. Также пища должна быть хорошо измельчена (механически щадящая) и не горячая (термически щадящая). Исключается прием острой, жареной, жирной пищи. Диетический стол включает в себя употребление молочнокислой продукции. Необходимо составить такое меню, чтобы пациент получал достаточное количества белков, жиров, углеводов, витаминов и минералов.
При илеите рекомендуется употребление следующих продуктов:
При илеите запрещается употребление следующих продуктов:
Соблюдение диеты в комплексе с приемом некоторых лекарственных средств улучшают качество жизни пациентов. Диета способствует улучшению пищеварения, помогает избежать истощения.


У детей чаще наблюдается развитие острой формы илеита. Острая форма данного заболевания характеризуется резким (внезапным) началом и быстрым нарастанием клинических симптомов. Основными проявлениями илеита являются схваткообразные боли справа внизу живота, дискомфорт (урчание, вздутие) в животе, жидкий стул (диарея). В тяжелых случаях диарея может быть до 20 раз в сутки. Также ребенок может жаловаться на слабость, которая сопровождается тошнотой, рвотой, повышением температуры тела до 38 – 39 градусов.
Наиболее часто острая форма заболевания вызвана бактериальными или вирусными инфекциями. Возбудителями бактериального илеита у детей, так же как и у взрослых часто являются иерсинии, сальмонеллы, кишечная палочка, стафилококки. Эти микроорганизмы могут попасть в детский организм с зараженной пищей, водой или через грязные руки (при контакте с зараженными животными). Перечисленные микроорганизмы при попадании в кишечник начинают выделять вредные вещества (токсины), которые, в свою очередь, способствуют повреждению слизистой оболочки кишечника и ведут к развитию воспалительного процесса. При этом снижаются защитные силы (иммунитет) организма и появляются симптомы заболевания.
При вирусном илеите частыми возбудителями являются ротавирусы и энтеровирусы. Они попадают в желудочно-кишечный тракт с зараженными продуктами питания, водой, а также при кашле, разговоре. Перечисленные вирусы оказывают негативное влияние, преимущественно, на слизистую оболочку тонкого кишечника. При этом развивается воспалительный процесс в месте обитания вируса и соответствующие симптомы. При длительном течении заболевания с тяжелыми проявлениями (частая рвота, частый жидкий стул) и в отсутствии адекватного лечения возможно развитие обезвоживания организма (недостаточное количество жидкости).
Во многом, на течение беременности влияет активность воспалительного процесса в кишечнике. В случае, когда беременность наступила в стадии ремиссии (отсутствие симптомов заболевания) илеита, тогда в большинстве случаев ремиссия сохраняется на протяжении всей беременности. При сочетании воспалительного процесса в слизистой оболочке подвздошной кишки, с воспалением в других отделах кишечника существует вероятность преждевременных родов и самопроизвольных выкидышей. Если же илеит дебютирует (появляется впервые) в период беременности, тогда повышается риск развития различных осложнений как беременности, так и самого заболевания.

Легкие формы илеита могут протекать без существенных изменений в состоянии беременной женщины. Легкие и среднетяжелые формы илеита при щадящем лечении вместе с соблюдением диеты дают положительные результаты, и беременность протекает без осложнений. В случае тяжелых форм илеита, отказа пациентки от лечения или при несоблюдении врачебных рекомендаций возможно развитие осложнений. Наиболее опасными считается кровотечение, формирование язв, судороги, ДВС-синдром (нарушение свертывающей системы крови). Перечисленные осложнения требуют экстренного вмешательства и могут влиять на процесс вынашивания ребенка.
Прогноз при острой форме илеита, как правило, благоприятный. При своевременно начатом лечении заболевание часто заканчивается полным выздоровлением. В некоторых случаях возможно даже самопроизвольное (без лечения) выздоровление. На благоприятный прогноз влияет соблюдение диеты и прием ферментных препаратов, которые облегчают переваривание пищи и способствуют улучшению качества жизни пациента. К ухудшению прогноза может привести неправильно выявленная причина илеита и соответственно неправильно назначенное лечение.
Прогноз при хронической форме илеита зависит от причины возникновения и распространенности воспалительного процесса. Для этой формы характерно рецидивирующее течение (возобновление болезни после кажущего выздоровления), поэтому важно соблюдать диету и назначенное лечащим врачом лечение для достижения длительной ремиссии (отсутствие симптомов заболевания). Соблюдение всех врачебных рекомендаций позволит избежать развития осложнений и улучшит общее состояние пациента.
Илеит представляет собой воспалительное заболевание подвздошной кишки (конечный отдел тонкого кишечника), а колит объединяет в себе группу воспалительных заболеваний толстого кишечника.
Толстый кишечник состоит из нескольких отделов:
Основной функцией толстого кишечника является всасывание воды и формирование кала.
Клинические проявления колита зависят от того какой отдел толстого кишечника поврежден. Общими симптомами для всех колитов являются боли различной интенсивности и локализации (расположения), частые позывы на дефекацию (опорожнение кишечника) иногда с кровью или слизью. При присоединении инфекции колит может сопровождаться слабостью, тошнотой, рвотой, повышением температуры. Воспалительный процесс в толстом кишечнике характеризуется отечностью слизистой оболочки, нарушением сокращения стенки кишечника. При отсутствии своевременного лечения колит может осложняться перитонитом (воспаление брюшины), кишечной непроходимостью (нарушение продвижения содержимого по кишечнику), сепсисом (заражение крови).
Терминальный илеит или болезнь Крона – это воспаление пищеварительного канала с преимущественным поражением терминального (дистального, конечного) отдела подвздошной кишки. Заболевание характеризуется сужением пораженных участков кишечника, образованием свищей (каналов) и внекишечными проявлениями (поражения глаз, кожи, суставов). Причины заболевания на сегодняшний день до конца неизвестны. Рассматривается наследственная предрасположенность, инфекционные факторы. Воспалительный процесс начинается с формирования инфильтратов (гранулем, узелков), которые распространяются на все оболочки кишечника. Стенка кишечника становится плотной, слизистая оболочка неровной, а на ее поверхности можно заметить образование множественных эрозий (разъеданий), язв, затрагивающих все слои кишечника. В некоторых случаях может возникать перфорация (прободение, нарушение целостности) и как результат данного процесса образуются каналы между кишечником (межкишечные свищи).

Различают следующие формы терминального илеита:
Клинические проявления терминального илеита зависят от расположения и активности патологического процесса. Наиболее общими симптомами являются диарея (понос), боли в животе, высокая температура, снижение массы тела. Лечение болезни Крона направлено на купирование (прекращение, избавление) воспалительного процесса, профилактику осложнений и рецидивов (повторное развитие заболевания).
Илеит и болезнь Крона являются разными заболеваниями. Илеит представляет собой воспаление подвздошной кишки (конечный отдел тонкого кишечника), которое нередко развивается на фоне болезни Крона (терминальный илеит). В данном случае илеит рассматривается не как самостоятельное заболевание, а как симптом болезни Крона. Отличием является и то, что при илеите происходит воспаление только подвздошной кишки, в то время как при болезни Крона может поражаться любой отдел пищеварительного тракта. Наиболее часто при болезни Крона в воспалительный процесс вовлекается терминальный (дистальный, конечный) отдел подвздошной кишки, поэтому заболевание еще называют терминальным илеитом. Также при данной патологии происходит сужение пораженного кишечника, могут формироваться каналы (свищи) между органами, а также возможно поражение глаз, кожи, суставов, что не является характерным для илеита.
Рефлюкс-илеит или ретроградный илеит представляет собой воспаление конечной (терминальной) части подвздошной кишки, которое обусловлено недостаточностью илеоцекального клапана (баугиниевой заслонки). Илеоцекальный клапан располагается на границе тонкого и толстого кишечника. Его основной функцией является перемещение пищевого комка (частично переваренная пища, химус) из подвздошной кишки (конечный отдел тонкого кишечника) в слепую кишку (начальный отдел толстого кишечника). При этом баугиниева заслонка препятствует (не допускает) попаданию содержимого толстого кишечника в тонкий. Вне приема пищи клапан закрыт (в норме), а после приема пищи он периодически открывается и пропускает переваренную пищу небольшими порциями в толстый кишечник. При рефлюкс-илеите происходит нарушение этой функции и содержимое толстого кишечника может забрасываться обратно в тонкий кишечник.
Войдите при помощи профиля в социальной сети или ранее зарегистрированного профиля на сайте